Как вылечить асцит брюшной полости у кошек
Асцит у кошек — это опасный синдром, сопровождающийся выходом жидкости в брюшную полость животного. У кошек он проявляется преимущественно в зрелом и престарелом возрасте. Спровоцировать симптом могут многие внутренние болезни, начиная от заболеваний почек и заканчивая разрывом мочевого пузыря. Этиология и проявления патологии будут рассмотрены в этой статье.
Асцит у кошек: симптомы и лечение
Особенности асцита у котов
Асцит не относится к категории самостоятельных заболеваний. Этот тревожный симптом сигнализирует об избытке жидкости в абдоминальной зоне.
При здоровом функционировании организма жидкость в брюшине присутствует, но в минимальном количестве. Основное ее назначение — борьба с инфекциями и поддержание стерильности брюшинного пространства.
Превышение нормы чревато сбоями в работе органов и систем, возникающими вследствие передавливания. В большинстве случаев асциту не свойственны внезапные проявления.
За исключением перитонита, субстанция аккумулируется в организме постепенно.
Хронический перитонит часто становится причиной асцита
Патогенез синдрома
Асцит появляется вследствие многих болезней. На молекулярном уровне основной причиной его возникновения считается низкое содержание в крови альбуминов. Если рассматривать патологию с симптоматической точки зрения, то она сопровождает следующие заболевания:
- гепатит;
- диабет;
- цирроз;
- перитонит;
- недостаточность правого желудочка сердца;
- злокачественные новообразования;
- гипоальбуминемия;
- разрыв мочевого пузыря.
Цирроз печени у кошек
Инфекционные процессы, кровотечения, сбои в работе лимфатической системы, болезни органов ЖКТ, усиленная выработка почками белков также могут спровоцировать водянку.
Таблица 1. Основные виновники патологии
| Заболевание | Описание |
|---|---|
| Гипоальбуминемия | Низкий уровень содержания альбумина — одной из белковых фракций, чреват нарушением коллоидно-осмотического давления. Этот сбой запускает процесс накопления жидкости, содержащейся в кровеносных сосудах, в брюшине |
| Недостаточность правого желудочка сердца | Ввиду того, что уменьшается пропускная проводимость сердца, отток крови от внутренних органов затрудняется. Нагрузка на сосуды, в которых застаивается плазма, увеличивается, и жидкость выходит в брюшину |
| Перитонит | Оболочка, устилающая брюшную полость, иногда воспаляется. Это вызвано как воздействием вирусных инфекций, так и заболеваниями органов брюшины. Вследствие патологического процесса возникает водянка |
| Доброкачественные и злокачественные опухоли | В процессе роста новообразований происходит сдавливание внутренних органов. Нарушается целостность сосудов и движение кровотока. Как следствие — выброс жидкости в брюшинное пространство |
| Травмы | При сильных повреждениях кровь попадает в брюшину. Особо опасными считаются травмы селезенки, являющейся кровяным резервуаром, и больших кровеносных сосудов |
Корановирус FIPY приводит к стремительному накоплению жидкости в брюшине.
Видео — Асцит брюшной полости у кошек
Симптоматика асцита
Наиболее типичный признак синдрома — увеличение живота в объеме. Симптомы раскрываются постепенно, в зависимости от скорости накопления вещества. При чрезмерном количестве транссудата брюшина становится большой и тугой.
Домашним тестом для определения асцита служит одна простая манипуляция. Кота следует поставить на задние лапы. Если живот стал похожим на грушу, с характерным для этого фрукта расширением в нижней части, нужно немедленно показать питомца ветеринару.
Главным проявлением асцита считается грушевидная форма живота животного в стоячем положении
По возвращении животного в исходное положение через несколько минут брюшко приобретает прежние очертания. Подобный эффект происходит в результате стекания жидкости вниз.
У кошек с длинным подшерстком присущее асциту увеличение брюшины будет малозаметно. Симптоматика обусловлена степенью тяжести недуга и скоростью накопления транссудата.
У питомцев наблюдаются следующие проявления:
- уменьшение активности;
- метеоризм;
- изменение цвета урины или фекалий;
- затрудненное дыхание;
- лихорадка;
- снижение аппетита;
- кашель;
- расстройства стула;
- рвота.
Потеря интереса к внешней деятельности является одним из симптомов асцита
Иногда животное дышит ртом, напоминая собаку. Это вызвано сдавливанием диафрагмы брюшной полостью. Как следствие, появляется одышка. Возможна даже потеря сознания.
Прогноз лечения
Ветеринары во многих случаях огорчают владельцев котов неутешительной статистикой. Однако при своевременном выявлении спровоцировавшего асцит заболевания возможно полное излечение.
Несмотря на печальные прогнозы, этот синдром поддается купированию
Выздоровление животного зависит от следующих факторов:
- степени запущенности недуга;
- продолжительности периода накопления жидкости в организме;
- точностидиагноза;
- правильности подобранной схемы лечения.

Если болезнь находится в стадии обострения, возможен летальный исход.
Самостоятельное лечение асцита противопоказано
Диагностика асцита
Выявить патологию возможно в домашних условиях. Чтобы определить наличие жидкости в брюшине, необходимо выполнить следующие действия:
- поместить ладони на бока кота параллельно друг другу;
- сделать мягкий толчок одной рукой по направлению к другой.
Если имеется патология, характерная волна дойдет до второй руки и вернется в исходное положение. Это явление называется флюктуацией. Иногда за этот феномен ошибочно принимают жир, находящийся под кожей. Под воздействием пальцев он имеет склонность к незначительным подкожным колебаниям.
Точно установить наличие водянки легко с помощью УЗИ диагностики или посредством прокола брюшины. Если у животного присутствует асцит, из живота вытечет прозрачная жидкость светло желтого цвета.
УЗИ является ведущим методом определения асцита
Помимо этого, следует сделать комплексное обследование.
Таблица 2. Способы диагностики асцита
| Диагностический способ | Описание |
|---|---|
| Анализ крови | Проводят 2 анализа: биохимический и общий. Первый необходим для оценки деятельности органов, второй — для выявления анемии и воспалительных процессов |
| Анализ мочи | Полученные данные дают возможность оценить фильтрационную способность почек. Также изучается количество белка в урине. Повышенное содержание чревато возникновением водянки |
| Рентгенография | Позволяет визуализировать жидкость в брюшине, проверить состояние органов и наличие новообразований. Однако при большом объеме транссудата метод оказывается неэффективным |
| УЗИ | Основной способ диагностики. Поскольку жидкость отлично проводит волны устройства, она хорошо видна на экране, независимо от присутствующего объема |
| Эхокардиографическое обследование сердца | Показывает наличие кардиологических отклонений |
| Абдоминоцентез | Прокол стенки живота дает возможность увидеть наличие жидкости в брюшине и взять материал для исследования |
Во время пальпации стенок абдоминальной зоны животное испытывает дискомфортные ощущения.
В запущенной форме патологии к асциту прибавляются признаки сердечно-сосудистой недостаточности, что чревато остановкой сердца.
Дифференциальное диагностирование
При осмотре животного необходимо научиться отличать асцит от перитонита.
Для асцита не характерно увеличение температуры тела
Таблица 3. Основные позиции для дифференциации
| Асцит | Перитонит | |
|---|---|---|
| Повышенная температура. | – | + |
| Сильные болевые ощущения. | – | + |
| Удельный вес жидкости. | 1.016 | выше |
| % белка | от 2 до 3 | выше |
Лечение асцита
Водянку лечат как сопутствующее отклонение. Основной акцент при терапии делается на борьбе с недугом, спровоцировавшим этот синдром.
При определении метода лечения принимают во внимание схему терапии основного заболевания
Особенности лечения в клинике:
- Абдоминоцентез.
Оценка скорости накопления транссудата осуществляется с помощью УЗИ. При большом скоплении жидкости делается прокол. - Мочегонные средства. Диуретики помогают вывести избыточную жидкость из организма.
- Кислородотерапия. При сильной одышке организм животного насыщают кислородом.
- Переливание крови. Задействуют при обильных кровотечениях и анемии.
- Коллоидные растворы. Внутривенные вливания практикуют при значительном снижении уровня белка в крови.
- Лечебная «антисолевая» диета. Помогает организму избавиться от лишней жидкости.
- Оперативное вмешательство. Применяется преимущественно при остром перитоните.
Если этиология патологии инфекционная, ветеринары прибегают к антибиотикотерапии
Поскольку у старых и у страдающих диабетом питомцев асцит возникает в течение нескольких часов, обращаться в клинику следует при появлении первых признаков.
Медикаментозная терапия
Отличительной особенностью этого подхода является поддержка жизненных ресурсов питомца.
В первую очередь внимание следует уделить сердцу, печени и почкам. Все используемые в терапии препараты необходимо давать животному только по назначению специалиста. Лечение проводят как с помощью таблеток, так и уколов.
В терапевтических целях используют следующую схему:
- Кардиотоники. «Кардиовален», «Коргликон», «Диаглизид», «Гитален», трава горицвета, настойки ландыша и наперстянки. Поддержка сердечно-сосудистой системы обязательна на весь период лечения.
«Кардиовален» — популярное средство при лечении асцита
- Хлористый калий. Поможет уменьшить повышенную проводимость сосудов. Вводит лекарство внутривенно ветеринар.
- Мочегонные. «Верошпирон», «Фуросемид», «Новурит», «Лазикс», «Этамид», «Дихлотиазид», «Уродан», плоды можжевельника, листья толокнянки и брусники, почечный и печеночный чай. Эти средства успешно выводят лишнюю жидкость из организма.
- Калий. Любые калийсодержащие пищевые добавки подойдут для восполнения этого элемента в организме.
Ввиду того, что диуретики вымывают калий, следует восстановить уровень его содержания. - Витамин К. Инъекции делаются внутримышечно. Процедура очень болезненная, но этот элемент способствует улучшению свертываемости крови.
Витамин К способствует скорейшему выздоровлению питомца
- Антибиотики. «Лизолин», «Цефамезин», «Цефалексин» хорошо переносятся котами и считаются малотоксичными. Эта мера необходима для предотвращения роста патогенной микрофлоры.
- Иммуностимулирующие средства. «Гамавит», «Амиксин», «Интерферон», «Фелиферон». Повышают защитные функции организма.
«Гамавит»
Кошки — гипериммунные животные. Поскольку они обладают сильным иммунитетом, употребление иммуномодуляторов возможно лишь по назначению ветеринара.
Гомеопатическое лечение
Независимо от причин, спровоцировавших асцит, гомеопатические средства «Энгистол» и «Траумель» оказывают благоприятное воздействие на организм животного.
Инъекции выполняются подкожно 2 раза в день до полного выздоровления. При первых признаках улучшения самочувствия питомца рекомендуемую дозу можно уменьшить до 1 раза ежедневно.
«Траумель» может использоваться в качестве дополнительного препарата
Народные средства
Среди множества средств, разработанных народными умельцами, особой эффективностью обладает пищевая сода. Отлично борется с водянкой отвар из березовых почек. Для приготовления настоя понадобятся следующие ингредиенты:
- 200 мл крутого кипятка;
- 25 гр молотых почек березы;
- 0,2 гр бикарбоната натрия (соды).
Соду следует смешать с полученной смесью, налить в термос и настаивать на протяжении 6 часов. Давать животному по 100 мл 2 раза в день. Поскольку щелочное вещество придает напитку неприятный вкус, коты неохотно его пьют. Для лучшей усвояемости можно вливать жидкость с помощью шприца через ротовую полость.
Сода убирает вздутый живот, но не спровоцировавшее его заболевание
Помимо соды и березовых почек, к лечению асцита привлекают следующие растительные компоненты:
- сабельник;
- княжик сибирский;
- стальник;
- дрок красильный;
- дудник;
- подмаренник желтый;
- копытень европейский;
- корень аира.

С помощью этого сырья делают отвары и дают животному по 1 ч.л. 5 раз в день.
Почки березы широко используются для лечения асцита
Лечебное питание
Поддержать питомца при борьбе с недугом поможет лечебное питание.
Избыток натрия в организме приводит к возникновению асцита. Поэтому диета должна быть основана на употреблении продуктов и кормов с минимальным содержанием этого элемента.
Желательно сделать акцент на кормах с большим количеством белка, как, например, Hill’s Рrescriрtion Diet. Если животное страдает от сердечной патологии, полезным будет Hill’s Рrescriрtion Diet Feline h/d, при гипопротеинемии подойдет серия a/d, если необходимо уменьшить объем натрия — k/d.
Hill’s Рrescriрtion Diet — хорошо сбалансированные корма, которые можно использовать при лечении асцита
Рацион заболевшего животного должен основываться на нежирных продуктах:
- Мясо. Говядина, индейка или курица. Употребление субпродуктов нежелательно.
Мясная составляющая — 50% от всей пищи. - Рыба. Можно использовать только морских, речные представительного водного мира запрещены.
- Кисломолочная продукция. Творог, ряженка и кефир.
- Крупы. Возможны любые варианты, за исключением бобовых культур.
Если питомец любит фрукты или овощи, не следует отказывать ему в таком удовольствии. Однако акцент желательно сделать на мясе. Лучшим блюдом для кота на период лечения будет отварная куриная грудка. Если питомец страдает от запора, полезно давать остуженный рисовый отвар. Если наблюдаются проблемы с сердечной деятельностью, следует перевести кошку на дистиллированную воду. Сбалансированный рацион также важен для профилактики асцита.
Во время терапии запрещено давать животному сырое мясо
Своевременное выявление асцита поможет на ранней стадии определить вызвавшее его заболевание. При правильной диагностике возможно полное излечение патологии. При обнаружении любых проявлений, имеющих место при асците, следует немедленно обратиться к ветеринару.
ᐉ Асцит (брюшная водянка) у кошек
Асцит у кошек: симптомы и лечение
Асцит (водянка живота) у кошек – это не самостоятельное заболевание, а синдром, который характеризуется скоплением жидкости в брюшной полости.
Причины асцита у кошек
Асцит развивается как следствие заболеваний печени, почек, желудочно-кишечного тракта, сердца, при нарушении белкового, углеводного, ионного обменов веществ и наличии опухолей, инфекционных процессов, а также при диабете, перитоните и травмах.
Такое состояние, как гипоальбуминемия, то есть низкое содержание белков (альбуминов) в плазме крови, приводит к нарушению онкотического давления и выпоту жидкости за пределы сосудов в брюшную полость.
Гипоальбуминемия развивается в следующих случаях:
- при недостаточном поступлении белка в организм, на фоне расстройства функций кишечника при его воспалении, инфекционных заболеваниях;
- при снижении продукции альбуминов печенью в частности при гепатите и циррозе;
- при повышенном выделении белка почками, если нарушена их фильтрационная способность.

Недостаточность правого желудочка сердца приводит к застойным явлениям в организме: снижается пропускная способность сердца, и затрудняется отток крови от органов брюшной полости, вследствие чего в сосудах повышается давление, жидкость выходит за их пределы и развивается асцит.
Вирусный инфекционный перитонит кошек (FIP) – заболевание, характеризующееся воспалением брюшины – серозной оболочки, выстилающей брюшную полость. При данном заболевании у кошек наблюдается водянка живота.
Кроме того, перитонит может развиваться при патологиях внутренних органов, в частности желудочно-кишечного тракта, вследствие чего также развивается асцит.
Неопластические образования как доброкачественные, так и злокачественные, являются одной из причин водянки у кошек. Разрастаясь, они зачастую вызывают компрессию органов, кровеносных сосудов, нарушают их целостность, тем самым нарушая отток крови, или же напрямую вызывают развитие кровотечения.
При травмах кровь выходит в полость, что особенно опасно при непрекращающихся капиллярных кровотечениях селезёнки и нарушениях целостности крупных кровеносных сосудов.
Симптомы асцита у кошек
Самым характерным признаком асцита у кошек является увеличение объёма живота. При большом количестве жидкости он становится тугим и большим.
Специфическим признаком асцита в данном случае служит следующий тест: кошку ставят на задние лапы, после чего форма живота приобретает вид груши в результате стекания жидкости вниз. После возвращения кошки в естественное положение через некоторое время живот снова становится равномерно увеличенным с обоих боков.
Однако при малом скоплении асцитной жидкости, а также у кошек с длинным и пушистым шёрстным покровом увеличение объёма будет малозаметно.
При пальпации брюшной стенки кошка испытывает дискомфорт, а при наличии перитонита ещё и боль.
У больных животных отмечается снижение активности, они быстрее устают после нагрузок, больше лежат. Аппетит снижается, зачастую наблюдаются расстройства пищеварения: диарея или запоры, возможна рвота и метеоризм кишечника.
Вследствие повышения давления в брюшной полости возрастает и давление на диафрагму.
Животное учащённо дышит, появляется одышка, случается, что кошка начинает дышать ртом, как собака.
В некоторых случаях возможны истощение, лихорадка.
Диагностика асцита
Обнаружение асцита не представляет трудностей. Однако важно установить причину его возникновения, так как он является лишь следствием патологического состояния организма.
Проводится комплексное исследование животного: собираются общие данные о животном и конкретные жалобы владельцев на изменение общего состояния их питомца.
Необходимо сдать анализы крови: биохимический для оценки функции внутренних органов и подтверждения низкого содержания белка в сыворотке крови и общий клинический анализ, по которому определяют наличие и степень анемии, воспаления и т.д.
По анализу мочи судят о фильтрационной способности почек, особое внимание обращают на количество белка в моче (оно повышается).
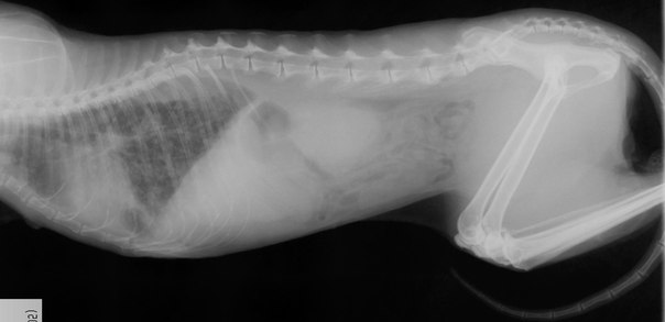
Для визуализации жидкости в брюшной полости используют такие методы диагностики, как рентгенография и ультразвуковое исследование.
На рентгенологическом снимке при небольшом количестве асцитной жидкости оценивают размеры печени, почек, лёгких, сердца, обращают внимание на наличие или отсутствие новообразований. Если же количество жидкости велико, то рисунок органов брюшной полости становится нечётким.
Асцит у кошки
Обзорное ультразвуковое исследование позволяет оценить количество жидкости, а поскольку она является анэхогенной средой (хорошо проводящей через себя волны датчика), то органы лучше визуализируются.
Асцит у кошки
Эхокардиографическое исследование сердца, в том числе допплерография, позволяет оценить наличие и степень кардиологических отклонений.
Определить вид жидкости можно только путём абдоминоцентеза, то есть прокола брюшной стенки и взятия материала для лабораторного исследования.
Встречаются следующие виды асцитной жидкости:
- транссудат – жидкость с низким содержанием белка и малым количеством клеток
- экссудат – жидкость с высоким содержанием белка и большим количеством клеток
- кровь, вышедшая за пределы сосудов при их разрыве (травма, хрупкость сосудов и др.
) - содержимое мочевого или желчного пузырей при их разрыве
- содержимое новообразований в случае их вскрытия
- лимфа при поражении лимфатической системы
Кроме того, различают стерильную (неинфекционную) и инфекционную жидкость, что важно учитывать при проведении терапии.
Лечение асцита у кошек
Лечение асцита у кошек должно быть одновременно симптоматическим, направленным на облегчение общего состояния, и этиологическим, направленным на устранение или коррекцию основного заболевания.
Обращают внимание на скорость развития данной патологии: развитие водянки может происходить как медленно, в течение нескольких недель, так и быстро, за несколько дней.
Симптоматическое лечение заключается в следующем:
- в случае если жидкости много и общее состояние животного тяжёлое, необходимо отведение жидкости путём прокола (абдоминоцентеза) под контролем УЗИ и дальнейшая оценка скорости её накопления;
- при затруднённом дыхании, одышке в условиях клиники применяют кислородотерапию, которую прекращают при улучшении дыхания и стабилизации состояния кошки;
- для того чтобы увеличить выведение жидкости из организма, назначают мочегонные (диуретические) средства;
- при сильных кровотечениях и выраженных анемиях требуется переливание донорской крови или отдельных её фракций;
- в случаях, когда количество белка в крови снижено, применяют внутривенные инфузии коллоидных растворов.
Они корректируют осмотическое давление в кровеносном русле.
Параллельно проводится лечение заболевания, повлекшее за собой развитие водянки; если же болезнь инфекционная, то необходима антибиотикотерапия.
Раннее обнаружение асцита позволяет не допустить развития тяжёлого состояния кошки и скорректировать основное заболевание. Ветеринарный врач определяет целесообразность использования тех или иных методов исследования в каждом конкретном случае и назначает соответствующее лечение.
Автор статьи:
ветеринарный врач
Попова Елизавета Витальевна
Асцит
Пару десятилетий назад диагноз асцит у кошки звучал как приговор. Водянку домашних животных не лечили, полагая гуманным усыпить питомца. Современные препараты вкупе с хирургическими методами позволяют продлить жизнь и даже полностью вылечить кошку при условии, что болезнь не запущена.
Описание
В брюшной полости постоянно идет процесс выделения и обратного впитывания жидкости, похожей на плазму.
Она защищает внутренние органы от склеивания и травм, служа амортизатором при ходьбе. Если выделяемой влаги больше, чем эпителий способен впитать, у кота развивается асцит.
Нарушение баланса происходит вследствие избыточного выпота через стенки сосудов. Причина в снижении онкотического давления, отвечающего за удержание влаги в кровеносном русле. Если оно понижается, вода выходит за пределы сосудистых стенок, что приводит к отечности тканей.
Асцит – хроническое состояние, при котором свободная жидкость скапливается в животе. Без лечения асцита брюшная полость кошки начинает давить на диафрагму, затрудняя дыхание, нарушая работу сердца. Это угрожающий жизни симптом, требующий немедленного обращения в клинику.
По количеству различают три стадии – небольшое, среднее, значительное скопление. По составу выделяют бактериальный перитонит, инфицированный и стерильный асцит у кошек. Обычно течение хроническое вялое – транссудат копится месяцами. Иногда владельцы принимают увеличение живота за ожирение, беременность, переедание, скопление газов.
Причины
Водянка живота или асцит брюшной полости у кота – осложнение, последствие или симптом хронической болезни. Чаще всего речь о печеночной недостаточности. В группе риска пожилые питомцы с нарушениями функций печени, почек, легких, сердца – 70% всех случаев. Оставшиеся случаи возникают по следующим причинам:
Болезни лимфатических сосудов
Инфекции, инвазии, перитонит
Нарушение белкового, водно-солевого обмена
Воспаление серозных оболочек
Внезапный асцит у кошки – симптом инфекционного перитонита (FIP). Диагностируется комплексно, специальных анализов не разработано. При FIPе возможны выпоты в плевральную полость и сухая форма перитонита без скопления жидкости. Это тяжелая мутация коронавируса, лечению не поддается.
У котенка асцит развивается из-за врожденных патологий внутренних органов, чаще печени, желчевыводящей системы или сердца. Иногда речь о несовместимости матери и новорожденного, приводящей к стремительному ухудшению состояния.
К сожалению, у котенка с водянкой почти нет шансов на выздоровление.
Симптомы
В большинстве случаев у кошек асцит брюшной полости начинается с едва заметного для владельца снижения активности. Привычные нагрузки утомляют быстрее, питомец меньше играет, не прыгает на высоту, больше спит. На первом этапе наблюдается диарея, которая с развитием болезни сменяется хроническим запором.
Ранний симптом асцита у кошки – снижение веса при сохранении аппетита. Владелец начинает усиленно подкармливать питомца, но позвоночник и ребра прощупываются все легче. На этом этапе уже формируется плотный округлый живот. Визуально изменения пока малозаметны, особенно если кот пушистый или упитанный, но нащупать можно.
Вторичные симптомы асцита у котов развиваются по мере увеличения объема транссудата:
снижение аппетита, жажда
яркая рыжая или красноватая моча
Со временем живот все больше, а скелет прощупывается все легче. При явной худобе вес остается на прежнем уровне или даже растет за счет скопившейся в брюшной полости жидкости.
Когда она давит на диафрагму, кошка ложится на бок, тяжело дыша открытым ртом. Если поставить питомца на задние лапы, «перетекший» вниз живот образует грушевидный силуэт.
Диагностика
Заподозрить асцит у кошки можно на основании пальпации и выстукивания тугого безболезненного живота. Для подтверждения диагноза проводят УЗИ – нормальное количество транссудата в брюшной полости не видно, при водянке на мониторе заметен передвигающийся темный очаг.
Только после комплексной диагностики станет ясно, можно ли вылечить асцит брюшной полости. У кошек, страдающих установленной хронической болезнью, которая поддается терапии, есть шанс. Если основное заболевание не удается взять под контроль, водянка возвращается даже в случае адекватного лечения.
Рентген брюшной и грудной полости при массивном асците у кошек подтверждает наличие жидкости, при умеренном или среднем позволяет оценить состояние органов и исключить новообразования. Эхокардиографию сердца проводят для оценки состояния и функциональной полноценности органа.
Анализ мочи покажет количество белка, даст возможность оценить работоспособность почек. Общий анализ крови – анемия, воспаления. Биохимия крови – оценка органов и систем в целом. Анализ транссудата необходим для эффективного лечения асцита у кошек, забор проводят через небольшой прокол. При подозрении лабораторно исключают вирусы и другие инфекции.
Лечение
Основная терапия направлена на устранение или взятие под контроль причины, которая привела к водянке. Симптоматическое лечение асцита у кошек носит комплексный индивидуальный характер. Задачи общие – выведение излишков жидкости, предотвращение осложнений, поддержание организма.
Можно ли вылечить асцит у кошки
Брюшная водянка, или асцит, у кошки встречается довольно редко и является не самостоятельным заболеванием, а признаком определенных патологий. Излишки внутрибрюшной жидкости сдавливают внутренние органы, затрудняют работу сердца и могут стать причиной серьезных осложнений в состоянии здоровья домашнего питомца.
Поэтому необходимо знать, что может стать причиной асцита, и как его устранить.
Причины асцита
Одной из главных причин скопления транссудата в брюшной полости у кошки является нарушение кровообращения при сердечно-сосудистых патологиях и заболеваниях других внутренних органов. Например, асцит брюшной полости у кошек развивается при функциональных расстройствах почек и печени.
Транссудат представляет собой серозную жидкость не воспалительного характера. Наиболее частыми причинами скопления внутрибрюшной жидкости у кошки могут быть:
- злокачественные новообразования в органах брюшной полости;
- цирроз печени, хронический гепатит;
- сердечная недостаточность;
- нарушение водного и минерального обмена;
- заболевания почек;
- туберкулезная инфекция;
- сахарный диабет, ожирение;
- неправильное кормление: избыток солей натрия в рационе;
- травмы живота с развитием воспалительного процесса во внутренних органах.

Проникновение жидкости в брюшную полость из кровеносных сосудов происходит через стенки сосудов с повышенной проницаемостью.
Механизм образования транссудата при различных патологиях
При поражениях печени различными токсическими агентами развивается гепатит или цирроз печени, что приводит к застою крови в воротной вене и усиленному выпоту транссудата в брюшную полость.
При сердечной недостаточности венозная кровь из-за малой скорости скапливается в венах брюшной полости, что затрудняет ее отток и приводит к выпоту фильтрата крови в полость брюшины.
Патология почек приводит к задержке жидкости и скоплению ее в брюшине.
В норме небольшое количество серозной жидкости должно быть в полости живота. Она поддерживает нормальное функционирование внутренних органов. Но если жидкость начинает скапливаться в большом объеме, то это становится опасно для нормальной жизнедеятельности организма животного.
Симптомы асцита
Внутрибрюшная жидкость у кошки скапливается постепенно в течение некоторого времени.
Проявление внешних признаков наступает с развитием изменений во внутренних органах. Признаками асцита являются:
- неестественно большой живот кошки;
- взъерошенная, тусклая шерсть;
- затрудненное дыхание, одышка;
- снижение двигательной активности, кошка большую часть времени лежит;
- желтый оттенок слизистой десен;
- частое сердцебиение;
- отказ от пищи, стремительное истощение.
Определить асцит у кота можно по перемещающемуся животу. Он смещается при смене положения тела животного. При прощупывании живота ощущается передвижение жидкости под пальцами. Но, чтобы точно определить наличие жидкости в брюшной полости кота, необходимо обратиться к ветеринарному специалисту. Истинную причину асцита можно установить с помощью диагностического обследования животного.
Диагностика асцита
Осмотр кошки обнаруживает симметричное двустороннее увеличение боковых брюшных стенок. Если поставить животное на задние лапы, то живот приобретает грушевидную форму с расширением книзу.
У кота затрудненное дыхание, одышка, отеки в области промежности и нижних конечностей. При сборе анамнеза обращается внимание на имеющиеся хронические инфекционные и системные заболевания у животного, проявление симптоматики, ее длительность.
Для подтверждения диагноза проводится исследование перитонеальной жидкости. Для этого врач-ветеринар выполняет прокол брюшины для забора транссудата на исследование.
Также назначаются лабораторные анализы мочи и крови, УЗИ и рентгенография брюшной полости.
Дифференциальная диагностика асцита
При диагностировании асцита его следует дифференцировать от экссудативного перитонита, внешние проявления которого сходны с признаками асцита. Отличительными признаками асцита являются:
- Нормальная температура тела. При перитоните она значительно повышается.
- Безболезненное состояние. При перитоните кошка болезненно реагирует на прикосновения к животу.
- Различный химический состав и удельный вес жидкости в брюшной полости.
Основное различие — при перитоните в экссудате большое количество белка и лейкоцитов. - Асцит имеет постепенное и продолжительное развитие, тогда как перитонит развивается быстро в течение нескольких часов.
Лечение
Так как водянка брюшной полости у кошки не является основным заболеванием, то асцит у кошек можно вылечить при устранении причины, ее вызвавшей. Признаки асцита убирают как сопутствующие основному заболеванию. Для выведения излишков жидкости из брюшины врач делает пункцию. Эта манипуляция проводится в стерильных условиях ветклиники. Самостоятельно проводить пункцию категорически нельзя.
После проведения обследования животного на основании дифференциальной диагностики назначается медикаментозное лечение. Среди лекарственных препаратов используются мочегонные средства, лекарства, нормализующие работу печени, почек и сердца, витамины и иммуностимуляторы.
Если у животного имеется инфекционное заболевание, вызванное бактериальными агентами, то ему назначаются антибиотики ряда цефалоспорина.
Препараты для поддержания работы сердечно-сосудистой системы: Кардиовален, Коргликон, Дигитоксин, Олиторизид, Строфантин и др.
Мочегонные и слабительные (при запорах) препараты: Фуросемид, лист толокнянки, почечный и печеночный чаи, Темисал.
Сосудоукрепляющие средства, снижающие проницаемость стенок кровеносных сосудов: хлористый кальций — 10% раствор внутривенно; витамин К внутримышечно.
Большое внимание в терапии брюшной водянки у кошки должно уделяться укреплению ее ослабленного иммунитета. С этой целью больному животному назначаются комплексные витамины и обогащенная белками диета. В рационе животного должны присутствовать такие продукты, как нежирное мясо, рыба, молоко, творог.
В первые дни лечения стоит контролировать количество выпиваемой кошкой воды. Оно должно быть ограниченным. Ни в коем случае нельзя использовать в кормлении животного продукты, в составе которых есть поваренная соль.
На фоне медикаментозного лечения количество жидкости в брюшине кошки уменьшается.
Но пункцию, как правило, проводят несколько раз (2 раза в неделю). Весь курс лечения зависит от его результативности. Лечение довольно длительное и продолжается до полного исчезновения всех симптомов.
Профилактика
Предупредить развитие асцита можно только своевременным лечением заболеваний сердца, почек, печени, болезней обмена веществ. Важным условием предупреждения развития асцита на фоне основных заболеваний является правильный уход за животным в сочетании с качественным рациональным питанием.
Предупредить заболевания у кошки легче, чем их лечить. Поэтому необходимо регулярно проводить профилактические осмотры животного у ветеринарных специалистов, вовремя делать необходимые прививки.
Источники:
http://oncovet.ru/terapiya/ascit-u-koshek
http://koshek.ru/asczit.html
http://kotmurka.ru/bolezni/astsit-koshek.html
ᐉ Гидроторакс (грудная водянка) у кошки
Гидроторакс у кошки
Гидроторакс (грудная водянка) –Hydrothorax – накопление транссудата в плевральной полости.
Гидроторакс у кошек может быть одно- и двусторонним .
Как самостоятельное заболевание у кошек регистрируется редко, преимущественно в большинстве случаев гидроторакс является симптомом общей водянки организма, сердечно-сосудистой недостаточности, заболеваниях печени и почек.
Этиология. К гидротораксу у животных приводит их переболевание миокардитом, миоардозом, расширение сердца, декомпенсированные пороки сердечных клапанов. Реже причиной болезни могут быть местные расстройства кровообращения или лимфооттока при сдавливании сосудов или грудного лимфатического протока опухолями (онкология у кошек), увеличенными лимфатическими узлами, эхинококковыми пузырями (глисты у кошек). Возникновению гидроторакса способствуют гидремия тканей организма, гиповитаминозы К и С, анемия (анемия у кошек), недостаточность кобальта в кормах, дистрофия печени и почек, интоксикации, при которых происходит повышение проницаемости кровеносных сосудов. Гидроторакс часто встречается одновременно с отеком кожи, с асцитом и гидроперикардитом, закрытой травме грудной клетки, инфекционных заболеваниях (панлейкопения кошек, кальцивирусная инфекция у кошек).
Патогенез. При сердечной недостаточности накопление жидкости в плевральной полости у больного животного происходит в результате гидростатического давления в большом и малом кругах кровообращения. При болезнях почек, алиментарной дистрофии накопление жидкости происходит в результате снижения онкотического давления плазмы крови в результате гипоальбуминемии. При циррозах печени гидроторакс обуславливается как гипоальбуминемией, так и проникновением асцитичной жидкости из брюшной полости в плевральную полость (болезни печени у кошек). При опухолях средостенья гидроторакс бывает в результате местного нарушения оттока крови и лимфы.
Клиническая картина. У больной кошки появляется одышка, во время которой кошка делает с трудом сильный длинный вдох и короткий выдох, сильно выражена общая слабость, нарастают симптомы сердечно – сосудистой недостаточности и цианоз видимых слизистых оболочек. Появляются отеки клетчатки в различных частях тела. У кошки с целью облегчения своего состояния появляется характерная поза – кошка лежит с широко раздвинутыми передними ногами, свою голову направляет вперед.
Также, чтобы легче дышалось кошка стремится поставить свои передние лапы на возвышенное место (скамейку, стул, ступеньку и т.д.).
Все эти симптомы болезни проходят при нормальной или субнормальной (ниже физиологической нормы) температуре тела. При пальпации грудной клетки отсутствует болезненность. Типичным для гидроторакса у кошки является наличие притупления или тупости в нижней половине легочного поля, с горизонтальной верхней границей притупления, выше которой перкуторный звук атимпанический. При перемене положения кошки верхняя граница притупления всегда остается горизонтальной. При рентгеноскопии – затемнение в нижней части грудной полости. При проведении торакоцентеза получаем большое количество слегка желтоватой, прозрачной или опалесцирующей жидкости – транссудата. Течение гидроторакса у кошки может быть острым и хроническим с периодами улучшения или ухудшения состояния животного.
Диагноз. Диагноз на гидроторакс у кошки ставится на основании клинических признаков болезни.
При рентгенологическом исследовании находим сплошное затенение нижней половины легочного поля с горизонтальной верхней границей, которая колеблется во время дыхания. Для диагностики гидроторокса ветеринарные специалисты делают УЗИ грудной клетки. Транссудат содержит до 3% белка и имеет удельный вес ниже 1,016 – 1,018. При микроскопическом исследовании в транссудате находим небольшое количество клеток эндотелия, лейкоцитов, эритроцитов.
Дифференциальный диагноз. При проведении дифференциальной диагностики ветеринарные специалисты у больного животного исключают экссудативный плеврит, при котором (в отличие от гидроторакса) находим повышение температуры тела, болезненность реберных стенок, шумы трения плевры, а при пункции плевральной полости получаем экссудат (плеврит у кошки).
Лечение. Ветеринарные специалисты клиники свое лечение гидроторокса в первую очередь направляют на причину его появления у животного.
Больным животным необходимо предоставить полный покой, ограничить употребление воды.
Кормить кошку следует небольшими порциями, но часто. Питание должно быть сбалансированным.
При инфекционной этиологии заболевания лечебные мероприятия в первую очередь направляются на борьбу с возбудителем данного инфекционного заболевания.
При паразитарной этиологии – проводится дегельминтизация против выявленного паразита.
При развитии гидроторакса в результате заболевания печени и почек лечение направляется на лечение основного заболевания.
В случае развития у кошки гипопротеинемии в результате кахексии в основе лечения лежит лечебная диета, витаминотерапия и укрепление иммунитета животного.
При выявлении у кошки гиповитаминоза С и К животному назначается витаминотерапия.
Одновременно с этиологическим лечением больной кошке ветеринарные специалисты назначают симптоматическое лечение. В первую очередь проводится удаление из плевральной полости скопившейся жидкости, путем пункции плевральной полости. С этой целью проводится пункция плевральной полости.
Для уменьшения симптомов сердечно-сосудистой недостаточности и снижения нагрузки на сердечную мышцу кошке назначают сердечные средства (кордиамин, камфора, препараты кофеина и т.д.).
При гидротороксе эффективно применение препаратов обладающих мочегонным действием (фурасемид, препаратов калия), растительных препаратов – толокнянки, полевого хвоща в виде отваров и настоев.
По назначению врача животному может проводится инфузионная терапия(глюкоза, раствор хлористого кальция).
Прогноз. Прогноз при гидротораксе чаще всего осторожный или неблагоприятный.
Профилактика. Профилактика возникновения гидроторокса у кошек в первую очередь должна быть направлена на предупреждение причин приводящих к данному заболеванию.
Владельцы животных должны своевременно вакцинировать своих питомцев против инфекционных заболеваний кошек имеющих место в регионе проживания.
Регулярно проводить дегельминтизацию кошек против глистных заболеваний.
При возникновении заболевания сердечно сосудистой системы, почек и печени своевременно обращаться в ветеринарную клинику.
Рацион кормления кошки обогащать витаминами С и К.
Гидроторакс
Гидроторакс
Описание
Симптомы
При данной болезни отмечают такие симптомы:
- животное угнетенное;
- отекает подкожная клетчатка;
- отекает область промежности;
- животное тяжело дышит;
- цианоз.
Первые признаки заболевшего животного – его поведение. Температура тела остается нормальной, но из-за нарушенного газообмена, видимые слизистые оболочки приобретают синюшный окрас – цианоз. Появляется одышка, которая развивается по нарастающей.
При прощупывании области боль, как правило, отсутствует, но, когда животное меняет положение, можно рассмотреть в подкожной клетчатке отеки в грудном отделе, области промежности, около глаз, на лапах в дистальной части. Болезнь то отступает, то вновь возвращается.
Заболевание характеризуется тем, что протекает в острой или хронической форме.
Важно знать! Периоды обострения сменяются временным облегчением. Хозяева могут ошибочно принять это за выздоровление. Но заболевание требует немедленного лечения.
У кошки пропадает аппетит и желание играть. Она старается уединиться и как можно меньше контактировать как с человеком, так и с другими животными. Можно заметить, что кошка лежит, широко расставляя лапы вперед, а голову вытягивает вверх. Дыхание сопровождается более длинным вдохом и быстрым выдохом. При попытке взять на руки животное или под грудную клетку вызывает у него страх и боль, а также желание вырваться. В отдельных случаях может повышаться температура тела.
Причины
Возникает грудная водянка чаще всего из-за сердечной недостаточности. Это может быть:
- пороки сердца;
- поражение сердечной мышцы;
- перикардит.
Из-за этой недостаточности повышается внутрикапиллярное гидростатическое давление.
Другая группа причин – поражение внутренних органов, из-за чего показатель белка в плазме крови снижается до аномальных показателей. Такое явление возможно вследствие патологических процессов в почках или печени.
Все эти негативные изменения, которые связаны с сердцем, эндокринной системой, анемией, кахексией, почечной недостаточностью, приводят к накоплению жидкости в плевральном мешке. Она занимает все больше пространство в легких, тем самым уменьшая объем дыхания.
Это приводит к появлению одышки и нехватке воздуха. Животное пугается, оно вынуждено занять позу, в которой дискомфорт будет ощущаться меньше всего. Горизонтальное положение ухудшает самочувствие у кошки, приступ паники вырастает до такой степени, что она даже боится уснуть.
Диагностика
Если у кота наблюдаются симптомы, которые указывают на гидроторакс, необходимо сразу же идти к врачу-ветеринару. Точный диагноз можно поставить после квалифицированного осмотра, опираясь на клинические признаки и на результат рентгена.
Также нужно помнить об особенностях. Например, проведение рентгенографии требует внимания и осторожности. Во время обследования животное нужно положить на стол для детального осмотра. У питомца может появиться одышка, которая стимулирует проявление у него сопротивления или агрессии. Проблема в том, что это может вызвать остановку дыхания у животного.
Плеврит сопровождается высокой температурой, болят стенки ребер при прощупывании, ощущается шум трения плевры.
Разница отечной жидкости при гидротораксе и при плеврите в цвете – транссудат характеризуется минимальным количеством белка, жидкость прозрачная с низкой плотностью. Как для лечения, так и для диагностики важен торакоцентез от гидроторакса у кошек. Это процедура, при которой отбирается выпот. Полученный материал позволяет поставить точный диагноз. С другой стороны, за счет уменьшения количества жидкости в плевральном мешке увеличивается объем легких для дыхания.
Лечение
Принцип лечения заключается в том, чтобы устранить развитие болезни и полностью выбрать скопившуюся отечную жидкость в плевральном мешке.
Больному животному необходима полная тишина и спокойствие, его ограничивают в употреблении воды и жидкой пищи.
Проводится специальная терапия, чтобы поддержать животное. Внутривенно дают:
- гипертонические растворы;
- препараты для поддержания работы сердца;
- мочегонные препараты.
Чтобы животное хорошо дышало, раз в два-три дня проводят пункцию плевральной полости и удаляют около 300 мл транссудата. Также дают курс антибиотика, сульфаниламиды, витамины.
В целях профилактики хозяин кошки должен добавить в питание витамин С и К, разнообразить ее рацион. Кроме того, ему необходимо своевременно обращаться за медицинской помощью в случае ухудшения самочувствия питомца и появления у него признаков гидроторакса, почечной, печеночной и сердечно-сосудистой недостаточности.
Симптомы
При этом заболевании у собаки проявляются такие признаки:
- Раздувается живот;
- Затрудняется дыхание;
- Появляется отёчность;
- Животное испытывает жажду;
- Диурез;
- Прибавление в весе;
- Вялость, слабость питомца;
- Рвота.

Раздувшийся живот легко заметить у худых собак. У более полных этот симптом менее выражен. При скоплении жидкости становится тяжело дышать, наблюдается одышка, могут посинеть слизистые оболочки. Если болезнь сопровождается патологическими процессами в печени, слизистые оболочки будут желтоватого цвета.
Заболевшая собака выбирает одно положение. Она вынуждена сидеть, потому что ей тяжело дышать. Избыток жидкости в брюшном отделе давит на область диафрагмы и легких. Отёчность можно увидеть при водянке, гипоальбуминемии или при диагнозе – почечная недостаточность.
Желание много пить чаще всего проявляется при почечной недостаточности. При ней также появляется диурез. После обильного питья собака часто мочится. Снижается физическая активность, тяжело ходить, собака много спит, отказывается от еды, животное без настроения. Накопление лишней жидкости в организме провоцирует прибавку веса у животного.
Важно знать! Появление рвоты при асците может указывать на заболевания печени или почек.
Поэтому животное нужно немедленно показать ветеринару для проведения необходимой диагностики.
Причины
Основная причина заболевания – нарушение оттока лимфы и циркуляции крови животного. Как указано выше, это может появиться на почве сердечной недостаточности, при болезнях печени, циррозе, гиподинамии и т.п.
Причины, по которым может скапливаться жидкость:
- Опухоли в организме, метастазы молочных желез;
- Гипоальбуминемия – процесс, когда происходит потеря белка через почки (хроническая почечная недостаточность) или через кишечник;
- Инфекции: вторичное заболевание животного после травмы в связи с ослаблением организма, бактерии или присутствие инородных тел, вследствие укусов;
- Воспаление асептического характера. Возникает после закрытой травмы, панкреатита, отравления или дренажа грудного отдела;
- Слабое кровообращение. Характеризуется застоем крови в венах и лимфатических сосудах. Нарушается соотношение ресорбции грудного отдела, в процессе чего возникает асцит;
- Плохая сворачиваемость крови.
Может быть врожденной и приобретённой. - Эрозия, дисплазия или опухоль лимфатических сосудов. Врождённая патология, опухоль в краниальном средостении.
Диагностика
К стандартным процедурам диагностики относят рентген, анализы мочи и крови, ультразвуковое исследование (УЗИ). Как правило, диагностику проводят комплексно, основываясь на истории текущей болезни собаки, результатах крови полученных после исследований в лаборатории, асцитной жидкости и других методов. Причиной скопившейся жидкости может быть не только водянка, есть и другие:
- Кровь, если возникло внутреннее кровотечение;
- Моча, в случае травмы мочевого пузыря или лимфа.
Распространенный способ диагностики асцита – это парацентоз брюшной полости. Предварительно удаляются волосы на брюшной полости на участке от мочевика до пупка. Данный участок тщательно обрабатывается спиртом, и обезболивается при помощи местной анестезии. Затем в брюшную полость вводится стерильная игла 20-го калибра, к которой присоединен шприц 20 мл.
Питомец может лежать на боку или стоять. Все зависит от количества набравшегося транссудата. Полученная жидкость собирается в стеклянные пробирки, в которые добавляется гепарин, затем они отсылаются для исследований. Жидкость светло-желтого цвета и без резкого запаха указывает на асцит. Наличие в ней крови свидетельствует про гемоабдомен, а наличие мочи – на уроперитонеум.
Лечение
Чтобы лечение было быстрым и качественным, необходимо дать полную информацию ветеринару обо всех перенесенных болезнях животного, его образе жизни, физической активности и питании. Лечение длительное и применяется до полного исчезновения асцита. Нужно вылечить основное заболевание, которое вызвало асцит у собаки.
Для терапии в брюшную полость вводятся растворы антисептика и антибиотика от гидроторакса у собак. Широко используются сердечные, мочегонные препараты и витамины. Из гомеопатии два раза в день применяют подкожные инъекции препаратов, которые назначает лечащий врач.
После улучшения состояния препарат дают только один раз.
Также важно выстроить правильный рацион. Необходимо применять пищу, которая легко переваривается и содержит большое количество белка. Соль исключается вовсе. Количество потребляемой жидкости сводится к минимуму.
Водянка или гидроторакс у кошки: причины появления и методы удаления
Как самостоятельное заболевание грудная водянка встречается у домашних животных крайне редко. Чаще всего гидроторакс является следствием многообразных нарушений со стороны органов дыхательной системы, сердца, а также при патологиях печени и почек. Скопление транссудата в грудной полости животного имеет выраженную клиническую картину и побуждает владельца немедленно обратиться за квалифицированной помощью.
Читайте в этой статье
Причины появления гидроторакса
Защитная плевра, предохраняющая грудную клетку от трения с ребрами, в норме вырабатывает небольшое количество специальной жидкости-смазки.
Если по различным причинам серозной жидкости становится слишком много, она скапливается в грудной клетке, приводя к развитию грудной водянки. В ветеринарной практике причинами, провоцирующими развитие гидроторакса, принято считать следующие факторы:
- а) Правосторонний и б) левосторонний гидроторакс
Закрытая травма грудной клетки. К выпоту серозной жидкости приводят механические сдавливания и повреждения кровеносных и лимфатических сосудов.
Сдавливание сосудов эхинококковыми пузырями в печени нередко приводит к развитию гидроторакса.
Ветеринарные врачи отмечают также, что к развитию гидроторакса могут приводить интоксикации организма животного, аутоиммунные заболевания и аллергические реакции.
Когда появляются метастазы
При наличии злокачественного процесса в организме домашней кошки, как правило, имеет место метастазирование опухоли в другие органы и ткани. Например, часто встречающийся у кошек рак молочных желез дает метастазы в плевру. Развивающаяся опухоль сдавливает лимфатические и кровеносные сосуды, приводит к нарушению выпота транссудата в грудную полость.
На рентгенограмме у кошки: метастазы в легких, гидроторакс
Кроме того, токсины, вырабатываемые онкологическими клетками, приводят к увеличению проницаемости капилляров и лимфатических сосудов, что увеличивает количество серозной жидкости в грудной клетке.
Симптомы у кошки, которые должны насторожить
Течение заболевания может быть в острой форме и хронической. Интенсивность проявления клинической картины будет зависеть от тяжести патологического процесса.
Одышка
Владелец больного животного, как правило, сталкивается со следующей симптоматикой:
- Снижение аппетита.
- Вялое, апатичное состояние. Кошка предпочитает затемненные уголки, мало контактирует с домочадцами, уменьшается двигательная активность.
- Насторожить владельца может необычная поза питомца. Кошка лежит с широко раздвинутыми передними конечностями. Голова направлена вперед и вверх, напоминая сфинкса. Такая поза вызвана давлением жидкости в грудной клетке. Облегчит состояние при гидротораксе больное животное пытается, поставив передние лапы на возвышение (стул, скамейку, ступеньку и т.д.). В такой позе происходит отток скопившегося транссудата и уменьшение дискомфорта и болезненности.
- Характерным симптомом развития грудной водянки является одышка. Животное совершает длинный вдох, дающийся ему с трудом, и затем следует короткий выдох. У кошки часто наблюдается кашель.
- При осмотре видимых слизистых оболочек владелец может наблюдать признаки цианоза.
Синюшный оттенок связан с развивающегося вследствие прогрессирования сердечной недостаточности нарушения снабжения тканей кислородом. - Отеки подкожной клетчатки в различных частях тела.
- Попытки ощупать у питомца область грудины вызывают негативную реакцию из-за болезненности.
- В запущенных случаях во время кашля можно услышать характерные звуки, свидетельствующие о скоплении серозной жидкости в плевральной полости.
Термометрия при заболевании показывает, как правило, нормальные значения, либо у животного наблюдается гипотермия.
Диагностика патологии
Предварительный диагноз ветеринарный специалист может поставить на основании визуального обследования больной кошки. При перкуссии грудной клетки врч-терапевт обнаружит притупление в нижней части легкого. Верхняя граница притупления расположена в горизонтальном направлении даже в случае изменения положения тела животного.
Эффективным диагностическим методом при подозрении на гидроторакс является рентгенологическое исследование области грудной клетки.
Скопившаяся серозная жидкость при этом обнаруживается в виде сплошного затемнения нижней половины легочного поля. Горизонтальная верхняя граница затемнения колеблется в период дыхания животного.
Рентгенограмма грудной клетки кошки при гидротораксе
Информативностью обладает такой метод диагностики, как исследование транссудата. Образец жидкости получают путем проведения пункции. Отличительной чертой транссудата при грудной водянке является содержание в нем белка ниже 3%.
В первую очередь необходимо исключить у животного плеврит, протекающий, как правило, с повышением температуры. При обнаружении в исследуемой жидкости, взятой при пункции грудной полости более высокой, чем 3% концентрации белка, врач может заподозрить у питомца воспаление плевры.
С целью проведения дифференциального диагноза животному назначают клинический и биохимический анализ крови, мочи, копрологическое исследование, электрокардиографию сердца, ультразвуковое исследование миокарда, печени, почек и других органов.
Прогноз чаще носит осторожный или неблагоприятный характер.
О том, как выглядит гидроторакс у кошки при УЗ-исследовании, смотрите в этом видео:
Лечение гидроторакса у кошки
Терапевтические мероприятия при грудной водянке направлены прежде всего на устранение причины скопления жидкости в грудной полости. С этой целью после тщательного обследования животного выявляют истинную причину гидроторакса.
При обнаружении у питомца инфекционного заболевания все усилия направляют на борьбу с патогенными микроорганизмами. При паразитарной этиологии водянки кошке проводят дегельминтизацию под наблюдением ветеринарного специалиста.
В случае развития гипопротеинемии вследствие кахексии в основе лечения лежит лечебная диета, витаминотерапия и укрепление иммунитета животного. При развитии гидроторакса вследствие поражения почек или печени проводят комплексное лечение основного заболевания.
При обнаружении дефицита витамина С, К животному назначается витаминотерапия.
С целью облегчения состояния животного проводится симптоматическая терапия. В первую очередь удаляется скопившаяся жидкость. С этой целью проводится пункция плевральной полости.
Животному в обязательном порядке назначаются сердечные средства для уменьшения явлений сердечно-сосудистой недостаточности и снижения нагрузки на миокард (Камфора, Кардиамин, препараты кофеина и т.д.).
При необходимости больной кошке могут быть назначены антибактериальные препараты, например, Кобактан, Сумамед и т.д. В некоторых случаях хороший терапевтический эффект оказывает применение глюкокортикоидных средств, например, Дексаметазона.
Эффективно применение препаратов, обладающих мочегонным эффектом, с целью уменьшения выпота серозной жидкости, например, Фуросемида, препаратов калия. Полезно давать больному животному растительные препараты: толокнянку, полевой хвощ в виде отваров и настоев.
По показаниям врач-терапевт может назначить инфузионную терапию (инъекции глюкозы, раствора хлористого кальция).
Больным животным необходимо предоставить полный покой, ограничить употребление воды. Кормить кошку следует небольшими порциями, но часто. Питание должно быть сбалансированным.
Профилактика появления сердечно-сосудистых проблем
Предупредить развитие грудной водянки у любимого питомца можно, руководствуясь советами ветеринарных специалистов:
- Анализ крови и мочи
профилактика травм и механических повреждений грудной клетки;

Гидроторакс у домашних животных представляет собой симптоматический комплекс, проявляющийся при основном заболевании. Выявление причины патологического процесса дает шанс животному на адекватное лечение и отсутствие рецидивов и осложнений в будущем.
Симптоматическое лечение направлено на устранение жидкости из плевральной полости и облегчение состояния. Прогноз при инфекционной этиологии носит благоприятный характер, при болезнях внутренних органов – осторожный. При развитии в организме онкологического процесса, осложненного метастазами, прогноз неблагоприятный.
При обнаружении у больной кошки гидроторакса в условиях специализированной клиники проводится прокол грудной клетки с целью откачивания плеврального.
Своевременное распознание симптомов пневмонии у кошек способно спасти им жизнь. На то, как лечить ее у кота, влияет форма.
Выявить цирроз у кошек и котов непросто, поскольку симптомы проявляются при сильном поражении печени.
Например, асцит — один из них.
Источники:
http://vetvo.ru/%D0%B3%D0%B8%D0%B4%D1%80%D0%BE%D1%82%D0%BE%D1%80%D0%B0%D0%BA%D1%81-%D1%83-%D0%BA%D0%BE%D1%88%D0%BA%D0%B8.html
http://vetatlas.ru/deseases/gidrotoraks/
http://zootvet.ru/gidrotoraks-u-koshki/
Откуда берется жидкость в животе у кошки, как лечить заболевание?
На чтение 6 мин. Просмотров 513
Жидкость в животе у кошек не является отдельным заболеванием, асцит образуется в следствие других проблем в огранизме животного.
Причины асцита у кошек
Асцит развивается как следствие заболеваний печени, почек, желудочно-кишечного тракта, сердца, при нарушении белкового, углеводного, ионного обменов веществ и наличии опухолей, инфекционных процессов, а также при диабете, перитоните и травмах.
Такое состояние, как гипоальбуминемия, то есть низкое содержание белков (альбуминов) в плазме крови, приводит к нарушению онкотического давления и выпоту жидкости за пределы сосудов в брюшную полость.
Гипоальбуминемия развивается в следующих случаях:
- при недостаточном поступлении белка в организм, на фоне расстройства функций кишечника при его воспалении, инфекционных заболеваниях;
- при снижении продукции альбуминов печенью в частности при гепатите и циррозе;
- при повышенном выделении белка почками, если нарушена их фильтрационная способность.
Недостаточность правого желудочка сердца приводит к застойным явлениям в организме: снижается пропускная способность сердца, и затрудняется отток крови от органов брюшной полости, вследствие чего в сосудах повышается давление, жидкость выходит за их пределы и развивается асцит.
Вирусный инфекционный перитонит кошек (FIP) – заболевание, характеризующееся воспалением брюшины – серозной оболочки, выстилающей брюшную полость. При данном заболевании у кошек наблюдается водянка живота.
Кроме того, перитонит может развиваться при патологиях внутренних органов, в частности желудочно-кишечного тракта, вследствие чего также развивается асцит.
Неопластические образования как доброкачественные, так и злокачественные, являются одной из причин водянки у кошек. Разрастаясь, они зачастую вызывают компрессию органов, кровеносных сосудов, нарушают их целостность, тем самым нарушая отток крови, или же напрямую вызывают развитие кровотечения.
Полезно знать! При травмах кровь выходит в полость, что особенно опасно при непрекращающихся капиллярных кровотечениях селезёнки и нарушениях целостности крупных кровеносных сосудов.
Симптомы асцита у кошек
Самым характерным признаком асцита у кошек является увеличение объёма живота. При большом количестве жидкости он становится тугим и большим.
Специфическим признаком асцита в данном случае служит следующий тест: кошку ставят на задние лапы, после чего форма живота приобретает вид груши в результате стекания жидкости вниз. После возвращения кошки в естественное положение через некоторое время живот снова становится равномерно увеличенным с обоих боков.
Однако при малом скоплении асцитной жидкости, а также у кошек с длинным и пушистым шёрстным покровом увеличение объёма будет малозаметно.
При пальпации брюшной стенки кошка испытывает дискомфорт, а при наличии перитонита ещё и боль.
У больных животных отмечается снижение активности, они быстрее устают после нагрузок, больше лежат. Аппетит снижается, зачастую наблюдаются расстройства пищеварения: диарея или запоры, возможна рвота и метеоризм кишечника.
Отметим! Вследствие повышения давления в брюшной полости возрастает и давление на диафрагму. Животное учащённо дышит, появляется одышка, случается, что кошка начинает дышать ртом, как собака. В некоторых случаях возможны истощение, лихорадка.
Диагностика асцита
Обнаружение асцита не представляет трудностей. Однако важно установить причину его возникновения, так как он является лишь следствием патологического состояния организма.
Проводится комплексное исследование животного: собираются общие данные о животном и конкретные жалобы владельцев на изменение общего состояния их питомца.
Необходимо сдать анализы крови: биохимический для оценки функции внутренних органов и подтверждения низкого содержания белка в сыворотке крови и общий клинический анализ, по которому определяют наличие и степень анемии, воспаления и т.д.
По анализу мочи судят о фильтрационной способности почек, особое внимание обращают на количество белка в моче (оно повышается).
Для визуализации жидкости в брюшной полости используют такие методы диагностики, как рентгенография и ультразвуковое исследование.
На рентгенологическом снимке при небольшом количестве асцитной жидкости оценивают размеры печени, почек, лёгких, сердца, обращают внимание на наличие или отсутствие новообразований. Если же количество жидкости велико, то рисунок органов брюшной полости становится нечётким.
Обзорное ультразвуковое исследование позволяет оценить количество жидкости, а поскольку она является анэхогенной средой (хорошо проводящей через себя волны датчика), то органы лучше визуализируются.
Эхокардиографическое исследование сердца, в том числе допплерография, позволяет оценить наличие и степень кардиологических отклонений.
Определить вид жидкости можно только путём абдоминоцентеза, то есть прокола брюшной стенки и взятия материала для лабораторного исследования.
Встречаются следующие виды асцитной жидкости:
- транссудат – жидкость с низким содержанием белка и малым количеством клеток
- экссудат – жидкость с высоким содержанием белка и большим количеством клеток
- кровь, вышедшая за пределы сосудов при их разрыве (травма, хрупкость сосудов и др.)
- содержимое мочевого или желчного пузырей при их разрыве
- содержимое новообразований в случае их вскрытия
- лимфа при поражении лимфатической системы
Примечание! Кроме того, различают стерильную (неинфекционную) и инфекционную жидкость, что важно учитывать при проведении терапии.
Лечение асцита у кошек
Лечение асцита у кошек должно быть одновременно симптоматическим, направленным на облегчение общего состояния, и этиологическим, направленным на устранение или коррекцию основного заболевания.
Обращают внимание на скорость развития данной патологии: развитие водянки может происходить как медленно, в течение нескольких недель, так и быстро, за несколько дней.
Симптоматическое лечение заключается в следующем:
- в случае если жидкости много и общее состояние животного тяжёлое, необходимо отведение жидкости путём прокола (абдоминоцентеза) под контролем УЗИ и дальнейшая оценка скорости её накопления;
- при затруднённом дыхании, одышке в условиях клиники применяют кислородотерапию, которую прекращают при улучшении дыхания и стабилизации состояния кошки;
- для того чтобы увеличить выведение жидкости из организма, назначают мочегонные (диуретические) средства;
- при сильных кровотечениях и выраженных анемиях требуется переливание донорской крови или отдельных её фракций;
- в случаях, когда количество белка в крови снижено, применяют внутривенные инфузии коллоидных растворов. Они корректируют осмотическое давление в кровеносном русле.

Параллельно проводится лечение заболевания, повлекшее за собой развитие водянки; если же болезнь инфекционная, то необходима антибиотикотерапия.
Отметим! Раннее обнаружение асцита позволяет не допустить развития тяжёлого состояния кошки и скорректировать основное заболевание. Ветеринарный врач определяет целесообразность использования тех или иных методов исследования в каждом конкретном случае и назначает соответствующее лечение.
Источник: https://oncovet.ru/terapiya/ascit-u-koshek
Бесплатная консультация ветеринара
Водянка у кошек: симптомы и лечение
Водянка у кошек, или по медицинской классификации – асцит, не относится к самостоятельным патологиям. Этот симптом даёт понять, что со здоровьем любимца творится что-то неладное. В этом случае квалифицированная медицинская помощь должна быть оказана как можно быстрее. Не стоит ни в коем случае заниматься самолечением, в этой ситуации промедление способно привести к летальному исходу.
Главное в лечении асцита не упустить драгоценного времени.
Признаки
Основной признак, по которому определяется водянка у кошек – это тугой и надутый живот. Дело в том что брюшная полость раздувается под воздействием большого количества жидкости. Если питомца с таким признаком поднять на руки, то вода перетечёт в нижнюю часть живота и тело станет похоже на грушу. На самом деле этот простой способ можно применять для того чтобы отличить асцит от других заболеваний с похожими симптомами. У возрастных, ослабленных и больных диабетом животных водянка прогрессирует очень быстро. Объём скапливающейся жидкости достигает показателя в два литра меньше чем за пару суток.
На ранних этапах заболевания ещё сложно выявить скопившуюся жидкость, да и животное не выглядит больным, признаков беспокойства не проявляет.
Однако, чем дальше, тем хуже. Стремительно накапливающаяся жидкость вызывает болезненное состояние любимца. Появляется метеоризм, рвота, животное плохо ест, находится в подавленном настроении.
Порой наблюдается повышенная температура, а также резкие боли в брюшной полости. Животное не ухаживает за собой, мало передвигается, в основном лежит на боку и тяжело дышит.
Причины
В основном причиной водянки у кошек является обостренное осложнение хронического заболевания какого-либо из внутренних органов.
К заболеваниям группы риска относится: панкреатит, заболевания печени, почек, сердца. Также скопление жидкости внутри брюшной полости бывает вызвано серьёзной травмой.
Также скопление жидкости может произойти из-за ожирения, повышенного количества натрия, нарушения обмена веществ и т.д.
Лечение
Вылечить кошачий асцит возможно только после выявления основного провоцирующего заболевания. Так что совместно с симптоматической терапией необходимо провести глубокую диагностику для того чтобы обнаружить причину патологии. Так как не устранив основную причину заболевания невозможно полностью предотвратить повторное появление симптомов.
Прежде чем идти к ветеринару вспомните все болезни, которыми когда-либо переболел ваш питомец, какие лекарства принимал, была ли у него аллергическая реакция на те или иные вещества.
Кроме сдачи всех необходимых биологических анализов желательно провести исследование УЗИ, рентген, лапароскопию и КТ. Обязательно необходимо произвести забор жидкости, для определения её состава и назначения эффективного лечения.
Чтобы уменьшить объём жидкости животное должно употреблять мочегонные препараты, также необходимо до минимума снизить потребление жидкости, обогатить рацион продуктами с высоким содержанием белка, а также постараться полностью исключить из рациона соль. В том случае, если объём жидкости после всех произведённых манипуляций не уменьшается, то проводят её принудительную откачку. Для этого необходимо совершить прокол в брюшной стенке.
Как лечить и предотвращать инфекции мочевыводящих путей у кошек
Проблемы с мочеиспусканием, такие как инфекции мочевыводящих путей (ИМП), часто встречаются у кошек.
Они вызываются микроорганизмами, которые проникают в мочевыводящие пути, проходят через уретру и обычно оседают в мочевом пузыре.
Проблема чаще встречается у кошек старше 10 лет, у кошек или у кошек с другими заболеваниями, такими как диабет, заболевание почек или ожирение. Кроме того, более высокому риску подвержены кошки, перенесшие операцию на мочевых путях.
Некоторые симптомы ИМП у кошек включают мочеиспускание вне туалетного лотка, более частое посещение туалетного лотка, кровь в моче, признаки боли в позе и употребление большего количества воды, чем обычно.
Кошек с диагнозом ИМП обычно лечат антибиотиками широкого спектра действия. Чрезвычайно важно вводить антибиотик точно в соответствии с указаниями ветеринара и в течение всего курса лечения.
Помимо антибиотиков, некоторые изменения в питании и образе жизни могут помочь решить проблему и предотвратить будущие ИМП у вашей кошки.
Вот несколько способов лечения и профилактики инфекций мочевыводящих путей у кошек.
1. Яблочный уксус
Если ваша кошка страдает ИМП, лучшим домашним лечением является яблочный уксус. Фактически, регулярное употребление яблочного уксуса может предотвратить частые случаи ИМП. Вы также можете использовать его для лечения цистита у кошек и избавления от блох от кошек, собак и даже в вашем доме.
Уксусная кислота в яблочном уксусе помогает нейтрализовать вредные бактерии, вызывающие инфекцию. Кроме того, некоторые другие питательные вещества в нем помогают повысить иммунитет вашей кошки, чтобы бороться с любыми инфекциями.
Чтобы вылечить инфекцию, можно добавлять в корм кошке нефильтрованный яблочный уксус. Количество зависит от веса вашей кошки. Кошкам весом:
- от 15 до 20 фунтов следует давать ½ чайной ложки.
- От 7 до 14 фунтов следует дать чайной ложки.
- От 4 до 6 фунтов следует дать ⅛ чайной ложки.
- Менее 4 фунтов следует дать 5 капель.
Во время лечения ИМП вам необходимо следить за тем, чтобы ваша кошка пила больше воды.
Фактически, употребление большего количества воды также является наиболее важной мерой профилактики заболеваний мочевыводящих путей, таких как ИМП.
Достаточное потребление воды обеспечивает мочеиспускание, что помогает вывести из организма вредные токсины, а также бактерии в мочевыводящих путях.
Всегда держите под рукой свежую воду, чтобы кошка часто пила небольшие количества.Вы также можете давать кошке консервы, которые могут содержать до 75 процентов воды.
3. D-манноза
D-манноза, безвкусный сахар, — еще одно хорошее средство от ИМП у вашей кошки. Бактерии, вызывающие инфекцию, связываются с D-маннозой и выводятся из организма при мочеиспускании.
Хотя это сахар, он не влияет на уровень сахара в крови или pH, а также безопасен для кошек с диабетом. Этот вид сахара также безопасен для беременных и кормящих кошек.
Порошок D-маннозы легко доступен на рынке, и его можно давать один или два раза в день. Рекомендуемая доза составляет от до ½ чайной ложки, смешанной с 1 столовой ложкой воды.
Добавьте его в корм или воду вашей кошке.
4. Влажный корм
Сухие коммерческие корма могут быть одной из основных причин, почему у вашего друга-кошки частые ИМП.
Настоятельно рекомендуется избегать кормления кошки сухими коммерческими кормами, а также ингредиентами из морепродуктов, особенно при ИМП.
Вместо этого кормите кошку качественными консервами или влажным кормом как можно больше. Кроме того, кошкам можно давать домашний суп или тушеное мясо, чтобы укрепить иммунитет и бороться с инфекциями.
Если у вашей кошки диабет, меняйте пищу с осторожностью. Всегда помните, что углеводы должны составлять менее 7–10 процентов от общего суточного потребления калорий вашей кошки.
5. Несладкий клюквенный сок
При любых проблемах с мочевым пузырем у кошек вы всегда можете положиться на несладкий клюквенный сок.Клюквенный сок способствует подкислению мочи и делает мочевыводящие пути менее уязвимыми для бактерий. Фактически, клюквенный сок также можно использовать для лечения цистита у кошек.
Большинству кошек не нравится вкус клюквенного сока, поэтому, чтобы скрыть вкус, смешайте немного с едой или водой вашей кошки. Вы также можете использовать экстракт клюквы, но только после консультации с ветеринаром.
6. Масло печени трески
Будучи мощным антибиотиком, масло печени трески также очень помогает при лечении ИМП у кошек.Он убивает вредные микробы в мочевыводящих путях.
Масло печени трески также предотвращает образование кристаллов и камней в моче, а также предотвращает появление запаха мочи.
Кормите кошку маслом печени трески, как только заметите, что кошка напрягается над туалетным лотком. Добавляйте 1 чайную ложку масла печени трески в консервы вашей кошки один раз в день.
7. Повышение иммунитета
Вы можете помочь своей кошке укрепить иммунитет, чтобы предотвратить рецидивы ИМП или других инфекций мочевого пузыря.
Чтобы повысить иммунитет, вы можете добавить в рацион кошки несколько добавок, которые улучшают работу иммунной системы.
Некоторые полезные добавки включают омега-жирные кислоты и витамины C, E и V. Прежде чем добавлять какие-либо добавки в рацион кошки, проконсультируйтесь с ветеринаром.
8. Отдых
Заболевание ИМП может сказаться на уровне энергии вашей кошки. Поэтому важно, чтобы ваша кошка отдыхала как можно больше.
Правильный отдых поможет укрепить иммунитет вашей кошки и ускорит процесс заживления.
Обеспечьте кошке удобное место для сна и отдыха в течение дня. В то же время не позволяйте кошке заниматься спортом или бегать вокруг.
Дополнительные советы
- Поскольку стресс часто является триггером проблем с мочевыводящими путями у кошек, убедитесь, что у вашего друга-кошки есть спокойная обстановка.
- Содержите туалетный лоток в чистоте, чтобы кошка не задерживала мочу в течение длительного времени. Многие кошки не используют грязный туалетный лоток.
- Очистите область половых органов кошки, чтобы убедиться в отсутствии бактерий, которые могут попасть в мочевыводящие пути и усугубить симптомы.
Чтобы очистить область гениталий, добавьте в воду немного экстракта корня лопуха и промойте им область. Перед применением экстракта проконсультируйтесь с ветеринаром. - Всегда информируйте ветеринара о том, как ваша кошка реагирует на лечение.
Как лечить водянку у бойцовой рыбы
Уход за рыбой может оказаться сложной задачей, особенно для новичков. Есть много проблем со здоровьем, которые могут нанести вред вашей рыбе. Рыба Бетта — более выносливый выбор, но иногда даже Бетта может заболеть определенными недугами.
Эта статья расскажет вам о первых признаках водянки и о том, как она действует в организме Бетты. Мы поговорим о том, как вылечить водянку у бойцовой рыбы, и рассмотрим некоторые распространенные способы предотвращения инфекции с помощью простых шагов.
Что такое водянка?
Водянка — это не болезнь, а бактериальная инфекция, которая может накапливаться на рыбе. Это очень распространенное заболевание, и его довольно легко обнаружить, если вы изучите признаки и внимательно понаблюдаете за своей рыбой.
Однако, если ее быстро не лечить, водянка смертельна и может быстро ухудшить жизнь ваших рыб.
Бактерии медленно проникают в чешую вашей рыбы. Он влияет на почки, печень и заставляет организм вашей Betta удерживать неестественное количество жидкости. Скопление жидкости доставляет рыбе дискомфорт, что приводит к потере обычных функций, таких как активное плавание и еда.
Накопление жидкости увеличивается до тех пор, пока органы вашей рыбы буквально полностью не выталкиваются в сторону. Инфекция проявляется только у бойцовой рыбы с ослабленной иммунной системой. Причиной этого обычно является нечистая вода.
Часто Водянка — вторичная инфекция и всегда требует лечения!
Симптомы водянки у бетта-рыбы
Dropsy изменит внешний вид вашей Бетты.
Вы можете заметить, что чешуя вашей Бетты неестественно торчит наружу, как бы в виде сосновой шишки. Рыба также будет выглядеть раздутой и заметно крупнее, чем была несколько дней назад.
Вы также можете заметить, что они начинают выглядеть пугающими или вылезают наружу.Жабры на вашей Betta потеряют цвет и станут бледными. Искривление позвоночника также распространено из-за того, что вздутие живота неестественно формирует тело.
По активности рыба станет меньше плавать и просто будет плавать. Они перестанут есть или будут клевать пищу. Также может наблюдаться заметное обесцвечивание их помета или они могут перестать плавать в верхней части аквариума.
Эти симптомы будут ухудшаться по мере прогрессирования инфекции и изменять организм рыб из-за задержки жидкости.Жидкость будет медленно отодвигать органы рыбы в сторону и вызывать анемию. При появлении любого из этих симптомов лечение следует начинать немедленно, чтобы спасти жизнь рыб.
Причины отеков
Бактериальной причиной водянки обычно являются Aeromonas, грамотрицательные бактерии, не реагирующие на обычные тесты.
Считается, что это серьезный штамм бактерий, которые быстро действуют, попав в окружающую среду. Ряд факторов может способствовать появлению водянки.
Водянка может быть вызвана рядом причин, ослабляющих иммунные симптомы рыб. Как правило, все это связано с тем, что ваша рыба испытывает стресс в окружающей среде. Следует отметить, что это не произойдет из-за кратковременного стресса от таких вещей, как очистка резервуара, а только из-за долгосрочных факторов.
Самая частая причина водянки — плохое качество воды или нечистая среда. Неустойчивая температура воды — еще один распространенный фактор; это может включать в себя содержание вашей рыбы в холодном помещении.
Другие возможные причины — раздражители, такие как агрессивные товарищи по танкам. Плохое питание также может привести к ослаблению иммунной системы рыб. Наконец, длительная транспортировка может привести к водянке, что означает, что она может быть обычным явлением у неправильно импортированной рыбы из зоомагазинов.
Как вылечить водянку у бойцовой рыбы
Водянка — это трудноизлечимая инфекция, с которой спорят многие рыбные эксперты. Несмотря на это, есть несколько способов спасти рыбу от водянки; особенно рано.Прежде всего, удалите петушков из зараженной воды, особенно если у них есть товарищи по аквариуму,
Для их безопасного перемещения установите больничный резервуар с чистой водой — посмотрите на использование соли для аквариума. Рекомендуется давать одну чайную ложку соли на галлон воды, чтобы очистить воду. (всегда следуйте инструкциям на упаковке)
Затем начните кормить рыбок кормом с высоким содержанием питательных веществ. Если рыба находится на начальной стадии заражения, то правильного питания может быть достаточно, чтобы уничтожить бактерии.Если состояние вашей рыбы не улучшается, мы переходим к лечению.
Для лечения водянки вам понадобится антибиотик, который избавляет от всех грамотрицательных бактерий. При правильном использовании большинство лекарств вылечит вашу рыбу в течение недели.
Большинство экспертов по рыбам рекомендуют до 10 дней лечения, чтобы гарантировать, что бактерии исчезнут.
Как только вы заметите улучшения у рыбок, понаблюдайте за ними около двух недель. В течение этого времени рекомендуется держать их в больничном резервуаре отдельно.В течение этого периода обязательно поддерживайте воду в максимально чистом состоянии, чтобы инфекция не вспыхнула.
Профилактика водянки
Профилактика водянки — сравнительно простой процесс. Одна из основных вещей, которые вам нужно сделать, — это просто содержать резервуар в чистоте. Составьте еженедельный или двухнедельный график уборки и придерживайтесь его.
Вы также должны регулярно менять воду. Во время смены воды также убедитесь, что все фильтры в резервуаре очищены.Если кажется, что резервуар слишком быстро загрязняется, подумайте о замене фильтра.
Чтобы сократить расходы на очистку резервуара, попробуйте кормить гранулы петрушки кормом. За гранулами легко следить, наблюдайте, как он их ест.
Если что-то упало и у вас нет нижних кормушек, чтобы полакомиться упавшей / несъеденной пищей, воспользуйтесь пипеткой, чтобы собрать мусор.
Наконец, убедитесь, что для всех рыбок в вашем аквариуме достаточно места. Если вы заметили какие-либо защемления или преследования, считайте, что ваши резервуары переполнены.Потеря территории или агрессивный товарищ по танку могут привести к быстрому росту стресса.
Симптомы водянки у бойцовой рыбки
Водянка — это не сама болезнь, а скорее симптом другой проблемы. Водянка — это термин, который мы используем для описания сильного вздутия живота или появления шишек, которые появляются у наших бойцовых рыб в результате органной недостаточности. Рыбоводы обычно считают, что водянка может быть вызвана множеством причин, включая бактериальные заболевания, вирусы и даже паразиты.Иногда вы слышите истории о том, что Дропси ужасно заразна и убивает много рыб за раз. Технически это неправда. Первоначальная инфекция может быть заразной и заразить нескольких рыб, что приведет к множеству случаев водянки, но сама водянка не заразна.
Чаще всего Dropsy всплывает в наших аквариумах как отдельный случай. Это особенно верно в отношении бетта-держателей, поскольку они обычно держат рыбу в изолированных контейнерах. В то время как любая рыба может заболеть водянкой, похоже, она больше всего влияет на Betta Fish и Goldfish.Я не совсем понимаю, почему это так, но у меня есть некоторые предположения. Во-первых, я подозреваю, что в их физиологии есть что-то, что предрасполагает их к органной недостаточности. Что это такое, я не могу сказать. Возможно, дело в том, что петушков и золотых рыбок так интенсивно разводили из-за их физических качеств, что они стали более восприимчивыми к стрессовым факторам. Во-вторых, эти рыбы могут попадать в плохие водные условия чаще, чем большинство других аквариумных рыб. И петушков, и золотых рыбок обычно содержат начинающие аквариумисты, и они могут быть подвержены большему количеству ошибок, сделанных новыми любителями.Другой общий фактор, вызывающий стресс, — это то, что они часто содержатся в слишком маленьких для них резервуарах.
Рыбные магазины часто продают петушков в маленьких мисках, не рассказывая покупателям об опасности отравления аммиаком и нитритами. Золотые рыбки тоже часто отравляются собственными отходами. Золотые рыбки очень грязные и выделяют большое количество отходов для своего размера. У каждой золотой рыбки среднего размера должно быть не менее 10 галлонов воды, но их часто держат в резервуарах гораздо меньшего размера. Условия аквариума могут быть причиной того, что мы так часто видим водянку у петушков и золотых рыбок.
Симптомы водянки многочисленны; вздутие живота, увеличенная чешуя, потеря цвета, потеря аппетита, летаргия, зажатые плавники, нарушение плавательного пузыря и т. д. Я хочу сосредоточить внимание на двух контрольных признаках — вздутии живота и шишковидном шее. Я регулярно получаю электронные письма от читателей, в которых говорится, что у их петушки есть один симптом, а другой нет. Важно понимать, что эти симптомы не исключают друг друга. У вашей петушки может быть один или оба, а может и ни один из этих симптомов, но водянка все равно может быть.
СИЛЬНОЕ НАДУВАНИЕ
Также может случиться так, что ваша петушок сильно вздута, но у нее вообще нет водянки. Вздутие живота может быть результатом перекармливания или, у самок, связанными яйцами. В редких случаях вздутие живота могло быть опухолью. Очень сильное вздутие живота обычно является результатом органной недостаточности и вызвано накоплением жидкости внутри. По моему опыту, я не видел петушков одновременно с сосновой шишкой и сильным вздутием живота.Не сбрасывайте со счетов Водянку только потому, что вы не видите выступающих чешуек.
ВЫПУСКНЫЕ ВЕСЫ — PINECONE
Выступающие чешуйки, обычно называемые шишковидной из-за внешнего вида, являются наиболее частым симптомом, связанным с водянкой. Этот симптом преобладает как у петушков, так и у золотых рыбок. Сосновость указывает на серьезную проблему. У петушков это часто указывает на тяжелую органную недостаточность и последующую смерть. В некоторых случаях петушиные петушки выходят из этого состояния.
Этот сбой запускает процесс накопления жидкости, содержащейся в кровеносных сосудах, в брюшине

Оценка скорости накопления транссудата осуществляется с помощью УЗИ. При большом скоплении жидкости делается прокол.
Ввиду того, что диуретики вымывают калий, следует восстановить уровень его содержания.
Мясная составляющая — 50% от всей пищи.
)

Основное различие — при перитоните в экссудате большое количество белка и лейкоцитов.
Может быть врожденной и приобретённой.
Синюшный оттенок связан с развивающегося вследствие прогрессирования сердечной недостаточности нарушения снабжения тканей кислородом.
Чтобы очистить область гениталий, добавьте в воду немного экстракта корня лопуха и промойте им область. Перед применением экстракта проконсультируйтесь с ветеринаром.