Остеосаркома у собак и кошек
Остеосаркома или остеогенная саркома —онкологическое заболевание, поражающее костные ткани.
В основном, болезнь возникает у собак в костях, несущих наибольшую нагрузку — бедренной кости, коленного сустава, большеберцовой кости, тазобедренного и плечевого сустава.
Остеогенная саркома формируется непосредственно из костной ткани в виде злокачественной мутации на клеточном уровне. В основном новообразование возникает в трубчатых костях и в области суставов. Особенно распространена остеогенная саркома бедренной, плечевой, берцовой кости.
Средний возраст заболевания 7 лет. Наиболее подвержены заболеванию собаки крупных пород. Кошки болеют реже, чем собаки.
Причины возникновения
Причины возникновения саркомы кости до сих пор неизвестна. Предполагается, что появление раковой опухоли костной ткани связано с физической акселерацией. Предрасположенность к заболеванию передается генетически, но механизм наследования неизвестен.
Некоторые исследователи связывают появление подобных раковых опухолей с ранее перенесенными травмами, но на самом деле травмы лишь форсируют развитие уже существующей патологии.
Виды остеосаркомы
На сегодняшний день выделяют три вида остеосаркомы :
- Остеолитическая. Процесс разрушения тканей доминирует над процессом роста опухоли. Очаг разрушения очень быстро увеличивается как в длину, так и в ширину кости, происходит разрушение кортикального слоя, поражаются окружающие мягкие ткани, а затем и весь организм.
- Остеопластическая. Образование опухоли доминирует над разрушением костной ткани.
- Смешанная. Процесс разрушения ткани и формирования опухоли сочетаются между собой в разных пропорциях
Остеогенная саркома очень тяжелое, но довольно редкое заболевание. От 2-7% злокачественных новообразований приходится на остеосаркому. Летальность высокая вследствие частого метастазирования.
Остеосаркома: симптомы
Нечасто удается распознать начальную стадию остеосаркомы. Симптомы заболевания, как правило, мало что говорят о его подлинном характере.
Наиболее часто наблюдается:
- хромота,
- локальное опухание конечности,
- нарушение опороспособности.
Могут наблюдаться патологические переломы.
При пальпации отмечается локальная болезненность, отечность окружающих мягких тканей, может отмечаться утолщение трубчатой кости в области метафиза. Отмечаются неврологические нарушения при остеосаркоме позвонка или метастазах.
Диагностика остеосаркомы
Современные методы диагностики включают рентгенографию, компьютерную томографию, которая позволяет определить объем поражения кости, близлежащих мягких тканей, обнаружить метастазы в легких.
Магнитно-резонансная томография дает возможность наиболее подробно изучить мягкие ткани и костный мозг. С помощью МРТ нередко удается выявить самые мелкие локализации остеогенной саркомы, что особенно важно для благоприятного прогноза заболевания.
Анализы крови и мочи при остеосаркоме обычно в норме.
Для определения типа опухоли под местной или общей анестезией проводят её биопсию.
Остеосаркома: лечение
Существует два основных вида лечения остеосаркомы:
- Хирургическое
- Химиотерапия
Лучевая терапия малоэффективна.
Хирургическое лечение
При хирургическом лечении может потребоваться ампутация всей конечности. Если остеосаркома локализованной формы — возможно сохранить конечность и удалить только новообразование и окружающие его ткани (экономная резекция конечности). При поражении злокачественным процессом лимфатических узлов, их тоже необходимо удалить.
После экономной резекции конечности возможно в последующем её реконструировать посредством специальных приспособлений или кости из других частей тела для замены недостающего дефекта. Возможности восстановления пораженной конечности определяются такими факторами как:
- локализация опухоли и ее размеры,
- возраст пациента,
- продолжительность роста его костей.
.jpg)
Химиотерапия
Во всех случаях после оперативного вмешательства проводят химиотерапию. Химиотерапия сегодня — самый эффективный способ лечения остеосаркомы. В большинстве случаев использование интенсивной химиотерапии предоставляет возможность обойтись без ампутации конечности.
Действие препаратов, используемых при химиотерапии направлено прежде всего на уничтожение раковых клеток и предотвращение метастазирования. Иногда проводят региональную химиотерапию, т.е. непосредственно в месте новообразования.
При остеосаркоме часто можно полностью удалить локализированную опухоль, а потом с помощью химиотерапии уничтожить все оставшиеся в организме опухолевые клетки. Также химиотерапию иногда проводят и перед операцией с целью уменьшения размеров опухоли, а следовательно и объемов операции.
Прогноз
Возможен рецидив опухоли, инфекция, развитие метастазов. Поэтому каждые 3 месяца проводят рентгенографию грудной клетки и периодически обследуют животное.
Без своевременного лечения опухоль может метастазировать в легкие и кости, в результате чего возникают патологические переломы.
Средняя выживаемость собак после ампутации 4 мес., химиотерапия позволяет продлить жизнь пациента до 1-2 лет. Выживаемость кошек более 4 лет.
Лечение остеосаркомы в ветцентре доктора Воронцова
Любое онкологическое заболевание требует своевременной диагностики и скорейшего начала лечения. Чем раньше выявлен рак, тем благоприятнее прогноз на выздоровление или ремиссию. Наш ветеринарный центр является профильной клиникой для лечения онкологических заболеваний животных. Доверяйте своих питомцев опытным профессионалам.
Мы находимся в Москве ЮАО, недалеко от пересечения МКАД и Каширского шоссе. Точный адрес: Совхоз имени Ленина, дом 3а (карта проезда), метро Домодедовская, Зябликово, Красногвардейская
По всем вопросам можно проконсультироваться по телефонам:
+7(495) 740-48-59
+7(936) 001-03-04
Остеосаркома у собак: симптомы
- Симптомы остеосаркомы у собак
- Диагностика остеосаркомы у собак
- Лечение остеосаркомы у собак
Остеосаркома наиболее распространенная опухоль кости у собак, которая может поражать не только конечности, но и любые кости в организме животного.
Остеосаркома чаще встречается у собак среднего и старшего возраста. Предрасположены к этой опухоли собаки средних и гигантских пород, такие как сенбернары, овчарки, доберманы, доги и т.д.
Остеосаркома нередко встречается и у кошек.
Симптомы остеосаркомы у собак
При росте такой опухоли наблюдается болевой синдром, он может усиливаться с ростом опухоли. При остеосаркоме на конечностях, наблюдается хромота, увеличение конечности в объеме. Из-за потери прочности кости не редко бывают переломы.
Диагностика остеосаркомы у собак
Для постановки диагноза потребуется рентгенографическое исследование и биопсия.
При рентгенографическом исследовании можно увидеть патологический перелом, лизис кости, и другие признаки, по которым уже можно поставить предварительный диагноз.
При биопсии берут часть костной ткани для исследования, что позволяет поставить окончательный диагноз. Иногда эту процедуру проводят под наркозом из-за болезненности.
При постановке диагноза — остеосаркома, требуется незамедлительное приятие мер.
Лечение остеосаркомы у собак
Остеосаркома склонна к быстрому распространению и метастазированию, так что в любом случае прогноз неблагоприятный. В лечении этой опухоли применяют лучевую и химиотерапию.
В данном случае лечение продлевает жизнь на 1– 2 года максимум.
Для снятия болевых ощущений применяют ампутацию пораженной конечности. Эта процедура полностью избавляет животное от боли. Животные хорошо переносят данную операцию, на двигательную функцию ампутация не влияет, собака также может играть и бегать. Без проведения химиотерапии, при наличии ампутации, животное может прожить без боли 4-5 месяцев.
Так же для снятия боли можно применять обезболивающие и противовоспалительные препараты.
К сожалению, остеосаркома плохо поддается лечению, поэтому любые лечебные меры должны быть направлены на улучшение качества жизни животного и снятия болевых ощущений.
Комплексной диагностикой, лечением и профилактикой онкологических заболеваний у животных уже более 10 лет занимается Городской Ветеринарный Онкологический центр «Прайд».
+7 (812) 249-49-49
24/7 Круглосуточно
Записаться в клинику
Статьи по теме
Злокачественные новообразования у молодых животных
В последнее время наблюдается четкая тенденция к омоложению наших пациентов со злокачественными…
Злокачественные новообразования, индуцируемые вирусом лейкоза кошек
Данная инфекция распространена по всему миру. Возбудителем вирусного лейкоза кошек является РНК содержащий…
Комплексное лечение злокачественных новообразований, с использованием лучевых и рентгенотерапевтических методов воздействия
Лучевая терапия злокачественных опухолей применяется в гуманной медицине более ста лет. За это время…
Лимфома у кошек
Лимфома у кошек — злокачественное онкологическое заболевание лимфатической системы. У здорового животного.
Немного о лейкемии у кошек
Вирусный лейкоз у кошек (или кошачья лейкемия) – это вирусное инфекционное заболевание, поражающее систему…
Новообразования у птиц
Как кошки и собаки, попугаи и другие комнатные птицы восприимчивы к различным формам рака. Птица может…
Новообразования у хорьков
У домашних хорьков как и у других животных могут развиваться новообразования того или иного вида. Чаще у…
Онкология у кошек — симптомы и лечение
Раковые клетки могут развиться в любом органе или тканях, чаще всего у кошек диагностируется рак легких, рак…
Опухоли у крыс и других домашних грызунов
Декоративные крысы и домашние хомяки в среднем живут в неволе около двух лет. Отдельные здоровые животные в…
Опухоль молочной железы у кошки
Опухоль молочной железы у кошек – явление довольно-таки не редкое.
Это новообразование, которое поражает…
Опухоль молочной железы у собаки
Опухоль молочной железы у собаки –- это новообразование, которое может нести как доброкачественный, так и…
Саркомы мягких тканей у собак и кошек
Саркомы мягких тканей представляют собой одну из наименее изученных групп злокачественных опухолей у собак…
Услуги
Акушерство Анестезиология Вакцинация животных Груминг Дерматология Диетология Кардиология КТ Лаборатория МРТ Неврология Онкология Ортопедия Офтальмология Рентген Стационар Стоматология Терапия Травматология УЗИ Хирургия Чипирование Экзотические животные Эндокринология
Наши клиники
Ветеринарная клиника на Д. Бедного Ветеринарная клиника на Дыбенко Ветклиника на Кондратьевском Ветклиника на Ушинского Ветклиника на Софийской Ветклиника в Парнасе Ветклиника на Сизова Ветклиника на Кораблестроителей Ветклиника на Симонова Ветклиника на Зины Портновой Ветклиника на Луначарского
Записаться на прием
Выбрать клиникуВетеринарная клиника на Д.
БедногоВетеринарная клиника на ДыбенкоВетклиника на УшинскогоВетклиника на СофийскойВетклиника в ПарнасеВетклиника на СизоваВетклиника на КораблестроителейВетклиника на КондратьевскомВетклиника на СимоноваВетклиника на Зины ПортновойВетклиника на Луначарского
Я согласен на обработку моих персональных данных
Записаться к специалисту
Я согласен на обработку моих персональных данных
Напишите нам
Я согласен на обработку моих персональных данных
Вызов врача
Я согласен на обработку моих персональных данных
Остеосаркома собак и кошек | Ветеринарная клиника доктора Шубина
Заболеваемость и факторы риска
Остеосаркома собак
Остеосаркома собак – самая частая первичная костная опухоль собак, занимает порядка 85% от всех новообразований костной системы.
В Соединенных Штатах Америки, каждый год регистрируют порядка 10.000 собак с остеосаркомой, но эти данные несколько занижены, ввиду того что не включают в себя не подтвержденные случаи.
Остеосаркома собак отмечается в первую очередь у животных крупных и гигантских пород со средним возрастом развития болезни порядка 7 лет. Самый ранний случай развития остеосаркомы описан у 6 месячного щенка, в возрасте 18-24 месяцев отмечается небольшой пик повышения заболеваемости остеосаркомой. Первичная остеосаркома ребер собак отмечается у более молодых животных, средний возраст ее развития составляет 4,5-5,4 лет.
Как уже было сказано выше, к развитию остеосаркомы предрасположены собаки больших и гигантских пород, однако размер собаки и особенно рост животного может играть большую роль в предрасположенности к остеосаркоме чем конкретная порода. В США наибольшая заболеваемость первичной остеосаркомой собак выявлена у сенбернара, ирландского сеттера, доберман пинчера, ротвейлера, немецкой овчарки и золотистого (голден) ретривера.
В одном из обзоров, 29% случаев первичной остеосаркомы отмечено у собак с массой более 40 кг, и только 5% данного вида опухоли развились в аксиальном скелете. У собак массой менее 15 кг, заболеваемость первичной остеосаркомой собак составляет всего лишь 5% от общего числа заболевших остеосаркомой в популяции животных, но у мелких собак порядка 59% случаев остеосаркомы локализуются в аксиальном скелете. Существуют также данные о некоторой половой предрасположенности к заболеванию остеосаркомой собак, но они несколько противоречивы.
Поражение аппендикулярного скелета при остеосаркоме собак отмечается в ¾ случаев (75%), и лишь ¼ (25%) всех случаев опухоли приходится на поражение аксиального скелета. Характерная локализация опухоли при поражение аппендикулярного скелета – метафиз длинных костей, при этом, передние конечности поражаются в два раза чаще задних. На передних конечностях характерным местом локализации остеосаркомы собак является дистальный отдел лучевой кости и проксимальный отдел плечевой кости.
Локализация остеосаркомы собак возле локтевого сустава отмечается крайне редко (поражение дистального отдела плечевой и проксимального отдела лучевой костей). На задних конечностях, излюбленным местом локализации остеосаркомы собак является дистальный отдел бедренной кости, проксимальный отдел голени, и дистальный отдел голени, развитие опухоли в данных участках примерно одинаково по частоте. Первичная остеосаркома собак с локализацией дистально к запястному и скакательному суставу отмечается достаточно редко. Локализация опухоли не оказывает какого либо влияния на прогноз заболевания. В одном описании 116-ти случаев первично остеосаркомы аксиального скелета, локализация поражений распределилась следующим образом: нижняя челюсть – 27%, верхняя челюсть – 22%, позвоночник – 15%, череп – 14%, ребра 10%, носовая полость и параназальные синусы – 9%, таз – 6%.
Существует единичные описания развития остеосаркомы собак в кости полового члена и коленной чашечке. Случаи многоочаговой остеосаркомы на момент начальной диагностики составляют порядка 10%.
Первичная остеосаркома собак развивающаяся вне скелета отмечается крайне редко, но есть описания ее развития в тканях молочных желез, подкожных тканях, селезенке, кишечнике, семенниках, влагалище, глазах, связках желудка, синовии, менингеальных оболочках и надпочечниках.
Остеосаркома кошек
У кошек по сравнению с собаками, первичные опухоли костной системы встречаются гораздо реже, средняя заболеваемость всеми опухолями костей составляет 4,9 на 100.000 животных в популяции. По разным данным, от 67% до 90% всех костных опухолей кошек злокачественные, от 70% до 80% от данных опухолей составляет остеосаркома.
К развитию остеосаркомы кошек более предрасположены пожилые животные, со средним возрастом развития опухоли порядка 9 лет, самый ранний случай болезни описан в возрасте 1 года животного. Аксиальный скелет поражается в более пожилом возрасте по сравнению с аппендикулярным. Ряд авторов предполагают некоторую половую предрасположенность, но данные несколько противоречивы.
Остеосаркома кошек может развиваться в аппендикулярном и аксиальном скелете животного, а также вне скелета. В аппендикулярном скелете остеосаркома кошек развивается приблизительно в два раза чаще чем в аксиальном (данные несколько противоречивы по разным источникам). При локализации остеосаркомы кошек в аксиальном скелете, чаще поражаются челюсти животного (особенно ротовая полость) и таз, но также описаны случаи остеосаркомы ребер и позвонков. При локализации в аппендикулярном скелете, остеосаркома кошек чаще локализуется в дистальном отделе бедра и проксимальном отделе большеберцовой кости. При внескелетной локализации остеосаркомы кошек, опухоль чаще развивается в месте вакцинации (межлопаточная область, дорсальная поясничная область, зона бедра). Другие места локализации внескелетной остеосаркомы кошек включают глаза, ротовую полость и молочные железы.
Этиология
Точные причины развития остеосаркомы не определены, наибольшую значимость в развитии данной опухоли отводят воздействию различных механических факторов.
Остеосаркома собак и кошек может развиваться в местах расположения металлических имплантов, используемых в лечении переломов костей. Развитие остеосаркомы собак также описано в месте расположений костного аллографта. Определенную роль в развитии остеосаркомы собаки и кошек отводят применению ионизирующей радиации, заболевание достаточно часто регистрируют у животных получающих лечение других видов опухолей посредством лучевой терапии, и это коррелирует с данными гуманной медицины. Существуют единичные описании развития остеосаркомы собак после тотальной замены тазобедренного сустава, в месте расслаивающегося остеохондрита плечевой кости и в месте кисты кости. Одна из теорий предполагает влияние на возникновение остеосаркомы собак повышенной механической нагрузки в определенных участках кости, мотивируя это развитием аппендикулярной остеосаркомы в определенной локализации (см. выше) у собак крупных пород, но данное предположение не нашло должного подтверждения.
Проводятся исследования о роли генетических и молекулярных факторов в развитии остеосаркомы, но достоверные окончательные данные пока не получены.
Есть предположения о вирусной природе опухоли, так как остеосаркома может поражать целый помет и может индуцироваться инъекцией клеток опухоли плодам собак, однако, вирус не был изолирован.
Патология и поведение
Остеосаркома собак и кошек – злокачественная мезенхимальная опухоль примитивных клеток кости. Эти клетки производят экстрацеллюлярный матрикс остеоидной ткани, и наличие опухоли остеоида – основа гистологического диагноза, отличающая остеосаркому от других сарком кости. Гистологический паттерн остесаркомы может значительно варьировать в пределах одной опухоли, малые образцы биопсии остеосаркомы могут привести к постановки ошибочного диагноза хондросаркомы, фибросаркомы или гемангиосаркомы или простой реакции кости, поэтому важно проводить гистологический анализ всей опухоли для постановки окончательного диагноза.
Остеосаркома собак и кошек — злокачественная опухоль с высоким потенциалом метастазирования уже в начале заболевания (у собак значительно выше чем у кошек).
На момент постановки диагноза, менее 15% животных имеют радиографически определяемые легочные или костные метастазы, но среднее время жизни после диагностики составляет всего лишь 19 недель, и сокращение жизни определяет именно формирование метастазов. Для остеосаркомы характерно метастазирование опухоли гематогенным путем, в редких случаях – отмечается распространение в региональный лимфатические узлы. Характерное место для развития метастазов – легкие, но опухоль может также метастазировать в кости и другие мягкие ткани.
Клинические признаки
При локализации остеосаркомы собак в аппендикулярном скелете, первичным поводом обращения в ветеринарную клинику чаще служит нарастающая хромота и пальпируемая припухлость в зоне локализации опухоли. Иногда владельцы рассказывают о случае не значительного травматического воздействия, произошедшего непосредственно перед проявлением хромоты.
У собак больших и гигантских пород среднего возраста, хромота и припухлость в зоне метафиза длинных трубчатых костей ставит остеосаркому на первом месте в списке дифференциальных диагнозов.
Хромота при остеосаркоме собак характеризуется прогрессирующим течением и со временем только ухудшается, боль развивается при формировании микропереломов в зоне опухоли или разрушения периоста на фоне остеолизе кортикальной кости и распространения опухоли от мозгового канала наружу. Иногда, поводом обращения может служить острое развитие хромоты на фоне патологического перелома, но данный вид переломов при остеосаркоме регистрируется достаточно редко.
При поражении аксиального скелета, признаки значительно варьируют в зависимости от локализации, но в любом случае отмечается прогрессирующий рост остеосаркомы и сдавливание окружающих тканей. Так, при поражении остеосаркомой ротовой полости, может отмечаться нарушение приема пищи, деформация лица при локализации в костях черепа, различные неврологические нарушения при локализации в позвоночнике и прочее. При локализации остеосаркомы на ребрах, первичные признаки обычно связаны с формированием масс различной степени болезненности, нарушения дыхания и формирование плеврального выпота отмечается достаточно редко.
Метастазирование остеосаркомы в легкие характеризуется медленным развитием признаков дыхательной недостаточности по сравнению с другими видами метастатических поражений легких, даже при радиографическом обнаружении метастазов, собаки длительное время могут оставаться асимптоматичными на протяжении многих месяцев, но у большинства отмечается снижение аппетита и общее недомомогание. У собак с легочными метастазами остеосаркомы может отмечаться развитие гипертрофической остеопатии.
У кошек при остеосаркоме, характерными признаками являются хромота, формирование припухлости и деформация, клинические проявления во многом зависят от конкретной локализации первичной опухоли. У кошек, в отличии от собак, может развиваться значительная припухлость в зоне роста опухоли не сопровождающаяся развитием тяжелых клинических признаков (пр. хромота). Так же, у кошек реже обнаруживаются метастазы в легких на момент постановки диагноза остеосаркомы.
При диагностике остеосаркомы собак поражающей скелет, первым методом обследования является качественное радиографическое обследование животного.
Общие отклонения на снимках при остеосаркоме заключаются в почти полном лизисе кости в зоне поражения совместно с остеобластическими и остеокластическими изменениями различной степени выраженности на периферии. Радиографическими особенностями остеосаркомы кости являются выраженный лизис кортикального слоя (вплоть до патологических переломов), формирование новой кости вокруг опухоли (типа вспышки солнца) с приподнятием надкостницы и значительное увеличение объема окружающих мягких тканей. На ранних этапах развития опухоли, радиографические изменения могут заключаться в потере ясного трабекуллярного паттерна метафиза и размытии переходной зоны в месте локализации опухоли. Радиографические изменения остеосаркомы собак зависят от размера, гистологического подтипа, локализации и времени развития опухоли. Радиографические признаки остеосаркомы сходны с таковыми при остеомиелите, особенно грибковом. Радиографические изменения при остеосаркоме кошек сходны с таковыми при остеосаркоме собак.
При проведении радиографического исследования животного, также проводится попытка идентификация метастазов в легких и исключение других заболеваний из списка дифференциальных диагнозов (пр.
вторичные метастатические опухоли костей). Метастазы остеосаркомы в легких не определяются радиографически пока не достигают размера 6-8 мм в диаметре. В обследовании животного с остеосаркомой могут играть роли более современные методы визуального исследования (пр. КТ, МРТ, ядерная сцинтиграфия), но современные требования к стадированию опухоли и лечению, все же основываются на данных радиографического обследования.
У животного также выполняется полное физикальное и ортопедическое обследование, внимание должно быть уделено исследованию региональных лимфатических узлов, при их увеличении – проводится тонкоигальная аспирация с последующим цитологическим исследованием. Результаты цитологического исследования образцов не ведут к постановки окончательного диагноза остеосаркомы, но могут сыграть значительную вспомогательную роль в выборе опций лечения. Существуют определенные цитологические критерии, помогающие в постановке окончательного диагноза, но данные диагностические манипуляции должен проводить опытный специалист референсной клиники.
Особое внимание при обследовании пациента с остеосаркомой уделяется выявлению заболеваний которые могут повысить риск наркозной смертности, особенно это касается функции сердца. Минимальные данные для обследования животного должны включать общий анализ крови, подсчет количества тромбоцитов, биохимическое исследование сыворотки и анализ мочи.
Диагностика
Предположительный диагноз остеосаркомы основывается на предрасположенности к заболеванию определенных животных, данных физикального обследования и характерных радиографических изменениях. Список дифференциальных диагнозов при этом включает другие первичные опухоли костей (хондросаркома, фибросаркома, гемангиосаркома), метастатические опухоли костей, множественная миелома или лимфома костей, системные микозы с костной локализацией, остеомиелит и кисты кости (последнее отмечается достаточно редко). Окончательный диагноз остеосаркомы требует патоморфологического исследования после удаления всей опухоли.
Лечение
Основу лечения остеосаркомы кошек и собак составляют контроль роста первичной опухоли и контроль развития отдаленных метастазов.
Удаление очага первичной опухоли избавляет животное от источника боли (улучшает качество), но у собак не увеличивает время жизни (не отражается на продолжительности). Хирургическое лечение остеосаркомы у собак без химиотерапевтического лечения, расценивается как временная (паллиативная) мера, ввиду того, что на момент постановки диагноза – у большинства животных уже существуют микрометастазы, и ампутация не предотвращает их дальнейшего развития и роста.
Ампутация
При аппендикулярной остеосаркоме собак, ампутация пораженной конечности является стандартом лечения. При поражении расположенном на передней конечности, проводится ее полная ампутация, при локализации аппендикулярной остеосаркомы на задней конечности – ампутация проводится посредством дизартикуляции тазобедренного сустава. При данном уровне ампутации, достигается оптимальный уровень контроля остеосаркомы и наилучший косметический эффект.
Даже у собак крупных и гигантских пород после ампутации удается сохранить адекватную функцию перемещения и избавить животное от боли, большинство владельцев животных довольны качеством жизни своего животного ампутации.
Дегенеративные поражения суставов на противоположной стороне – редко служат противопоказанием к ампутации. Следует тщательно взвешивать решение об ампутации пораженной конечности у животного с остеосаркомой, совместно с тяжелыми неврологическими и ортопедическими поражения на противоположной стороне и других системных заболеваниях, при этом может возникнуть ряд противопоказаний ведущих к отказу от ампутации. В таких случаях, контроль боли у животного может быть проведен посредством наркотических и ненаркотических анальгетиков, а также локального облучения опухоли.
Операция с сохранением конечности
Не смотря на то, что у большинства собак при остеосаркоме удовлетворительные результаты могут быть получены после ампутации конечности, у небольшого числа пациентов предпочтительно проводить операции направленные на сохранение конечности. Это касается пациентов с предшествующими неврологическими или ортопедическими поражениями на противоположной от остеосаркомы стороне, или при категорическом отказе владельцев от ампутации.
На сегодняшний день произведен значительный объем сохранных операций в специализированных ветеринарных клиниках, с сохранением функции конечности и без ухудшения общего срока жизни. Подходящими кандидатами для сохранных операций у собак являются пациенты с отсутствием вторичных заболеваний и поражением остесоаркомой кости не более чем на 50% (определяется радиографически). Другими критериями для подбора кандидатов на сохранную операцию являются: отсутствие патологических переломов; вовлечение мягких тканей менее чем на 360 градусов, и наличие твердых определимых масс мягких тканей а не отечных поражений. У большинства собак перед операцией проводится локальное или системное химиотерапевтическое лечение.
Наиболее подходящими кандидатами для операция с сохранением конечности являются животные с поражением остеосаркомой дистального участка лучевой кости, при этом отмечаются наилучшие результаты по сохранению опорной функции. При локализации опухоли в других отделах аппендикулярного скелета, прогнозы на восстановление функции конечности гораздо хуже.
Операция с сохранением конечности должна проводиться только в узкоспециализированных ветеринарных клиниках с квалифицированным персоналом. Другой вариант терапии направленной на сохранения функции конечности является лучевая терапия, данный метод также обладает хорошими результатами направленными на контроль роста локальной опухоли, но может быть воспроизведен только в специализированных клиниках. При неаппендикулярной локализации остеосаркомы, решение об оперативном вмешательстве зависит от локализации первичной опухоли.
Химиотерапевтическое лечение
Для наиболее эффективного лечения остеосаркомы, применяется мультимодальная терапия для контроля как локального заболевания так и отдаленных метастазов. Хотя ампутация, операции с сохранением конечности и лучевая терапия – высоко эффективны для контроля первичной опухоли, основу лечения остеосаркомы собак, все же составляет химиотерапевтическое лечение, именно оно способно увеличить продолжительность жизни животного.
Улучшение схем химиотерапевтического лечения и введение в схему новых химиотерапевтических препаратов значительно улучшило исход заболевания.
В случаях остеосаркомы собак, в качестве химиотерапевтических препаратов используют в основном доксорубицин, цисплатин и карбоплатин в различных комбинациях. Для химиотерапевтического лечения используется множество протоколов, но ни один из используемых химиотерапевтических протоколов химиотерапевтического лечения собак не проявил значимого преимущества.
Прогнозы
При проведении только ампутации на фоне остеосаркомы собак, средний срок жизни составляет порядка 4 месяцев, порядка 90%-100% животных погибают в течение года с момента постановки диагноза. При ампутации совместно с химиотерапевтическим лечением, шанс прожить один год появляется у 40%-50% пациентов, 2 года выживают порядка 20%-25% пациентов с остеосаркомой.
При остеосаркоме собак установлены несколько прогностических факторов, включая адьювантную химиотерапию, гистологический тип, уровень щелочной фосфатазы (нормальной и костно-специфической) и, вероятно, малый размер тела животного.
Процент некроза опухоли полученный при скане остеосаркомы, также может предсказать исход. Собаки с остеосаркомой развившейся в возрасте до 5 лет, имеют худший прогноз, также как и собаки с идентифицируемыми на момент постановки диагноза метастазами в легких и региональных лимфатических узлах. Внескелетное расположение опухоли и большой объем опухоли также ухудшает прогнозы.
У кошек при остеосаркоме в отличие от собак, прогнозы хорошие или отличные, множество животных может быть вылечено только посредством ампутации, метастазы могут развиваться также как у собак, но регистрируются значительно реже.
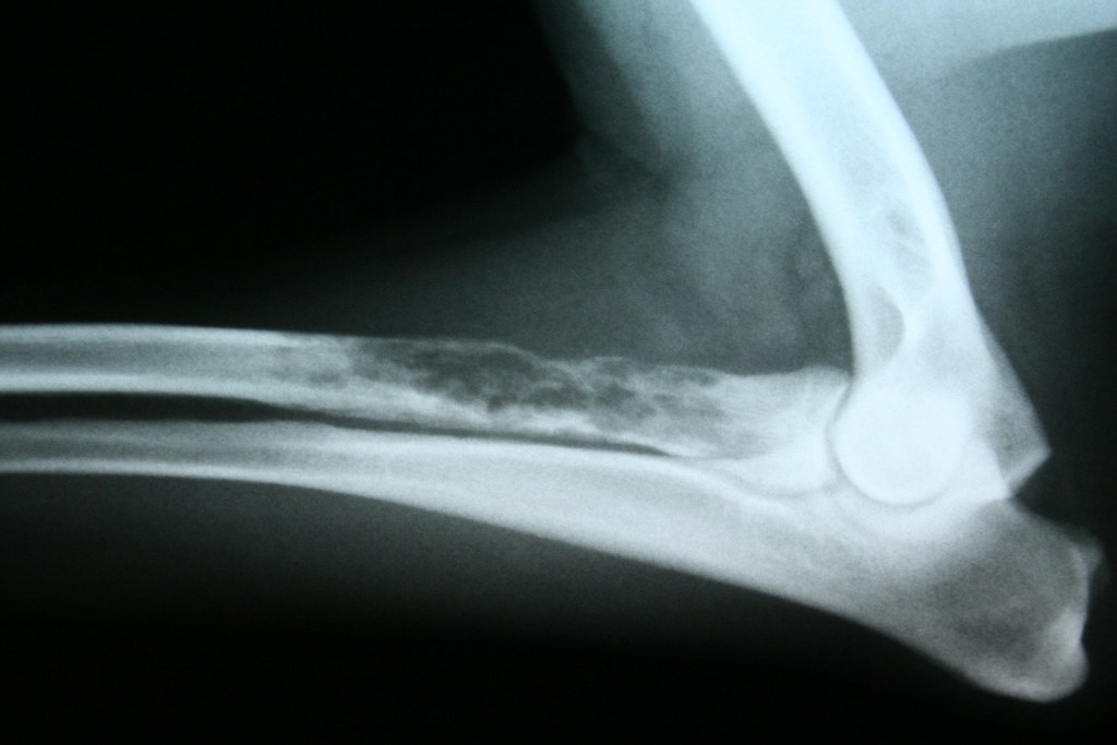
Фото 1. 6-летний кобель ротвейлера на приеме в ветеринарной клинике, месяц назад владельцы обратили внимание на хромоту левой задней конечности. При прощупывании области коленки, ветеринарный врач отметил утолщение тканей чуть выше коленки, было принято решение провести радиографическое исследование. На фотографии собака стоит поджав пораженную конечность.
Фото 2. Скрининговое радиографическое исследование у собаки с фото 1. Выше коленки отмечены изменения характерные для остеосаркомы с классической локализацией поражения.
Фото 3. Остеосаркома (предположительно) у пожилого кота, владельцы обратились по поводу хромоты и изменений конфигурации конечности. От дальнейшей диагностики владельцы отказались.
Фото 4. Ортогональная проекция фото 3.
Валерий Шубин, ветеринарный врач, г. Балаково.
Информационный бюллетень об остеосаркоме собак | Ветеринарные специалисты Дэвиса
Остеосаркома у собак представляет собой первичную опухоль костей. Обычно она возникает в костях конечностей, но может развиваться в костях черепа, позвоночнике или грудной клетке, и в редких случаях эта опухоль возникает в некостных тканях, таких как молочные железы и мышцы.
Что такое остеосаркома у собак?
Остеосаркома чаще всего встречается у крупных или гигантских пород собак.
Есть несколько научных работ, которые связывают развитие этой опухоли с весом и ростом собак, и хорошо известно, что у определенных пород собак эта опухоль развивается чаще, чем у других. В нашей клинике его часто наблюдают у ротвейлеров и, в частности, у ирландских волкодавов. Остеосаркома костей конечностей может быть чрезвычайно болезненной, и типичной жалобой этих собак является перемежающаяся хромота. Сначала хромота может уменьшиться на стандартные дозы болеутоляющих средств, но редко дольше недели или около того. В это время может отмечаться припухлость кости в месте опухоли, часто болезненная, красная и горячая на ощупь.
Остеосаркома у собак после ампутации
Появление остеосаркомы в большеберцовой кости собаки после удаления опухоли (ампутации) необходимо четко осознавать тот факт, что остеосаркома у собак быстро распространяется через кровоток. Поэтому любой план лечения должен учитывать вторичное распространение рака, а также саму первичную опухоль.
Появление остеосаркомы в кости голени у собаки после удаления опухоли (ампутации)
Хотя самой серьезной проблемой у этих пациентов, несомненно, является боль, связанная с первичной опухолью, мы также должны остро осознавать тот факт, что остеосаркома в собак быстро распространяется через кровоток. Поэтому любой план лечения должен учитывать вторичное распространение рака, а также саму первичную опухоль.
Оценка
Первым шагом у пациента с подозрением на остеосаркому является рентгенография пораженного участка. В то время как остеосаркома у собак не может быть окончательно диагностирована только с помощью рентгена, можно поставить предположительный диагноз, и во многих случаях биопсия не требуется. Кроме того, делается рентген легких, чтобы исключить наличие обнаруживаемых видов рака в легких. Любые другие болезненные поражения костей должны быть исследованы, и если в области первичной опухоли есть увеличенные лимфатические узлы, их следует оценить с помощью тонкоигольной аспирационной биопсии.
Лечение
Лечение остеосаркомы у собак сосредоточено как на первичных, так и на вторичных опухолях.
Лечение: первичная опухоль
Идеальная терапия включает полную резекцию первичной опухоли, что чаще всего требует ампутации. Многие собаки очень хорошо справляются с ампутацией, но очевидно, что есть пациенты, для которых это было бы неуместно. Сопутствующие неврологические проблемы или тяжелый артрит являются причинами отказа от ампутации. Умеренный артрит можно очень хорошо лечить с помощью подходящих лекарств, и он не должен быть причиной для отказа от ампутации; очевидно, что это вопрос, который следует оценивать в каждом конкретном случае. Ампутация неизменно оказывает огромное влияние на психическое состояние пациента, и, хотя это явно серьезная операция, эти пациенты, кажется, испытывают такое облегчение, освободившись от болезненной опухоли, что очень быстро выздоравливают.
В случае, если ампутация считается нецелесообразной, есть другие варианты.
При остеосаркомах дистального отдела лучевой кости (у собак это нижняя передняя конечность чуть выше лучезапястного сустава) может быть проведена операция, при которой опухоль удаляется и заменяется индивидуальным титановым имплантатом. Затем лучезапястный сустав должен быть слит, чтобы вся кость и металлическая конструкция могли быть адекватно стабилизированы, чтобы собаки могли спокойно заниматься своими обычными повседневными делами.
Целью этой процедуры является восстановление нормальной подвижности собаки в кратчайшие сроки. Хотя этот подход имеет определенную привлекательность, важно подчеркнуть, что степень контроля над опухолью, обеспечиваемая этим подходом, в лучшем случае может быть эквивалентна ампутации; существует также риск рецидива опухоли конечности в месте первичной опухоли в какой-то момент в будущем. Что еще более важно, эта процедура связана с высоким риском осложнений, худшим из которых является инфекция, связанная с металлическими имплантатами.
Для пациентов, у которых ампутация и так называемая органосохраняющая хирургия не подходят, может быть назначена паллиативная терапия в виде лучевой терапии и химиотерапии.
Золотой стандарт протокола паллиативной терапии включает совместное назначение лучевой терапии в течение трех из четырех последовательных недель с химиотерапией в сочетании с первой и последней дозами.
Хирургическое лечение опухоли кости путем резекции первичной опухоли и замены имплантатами из титановых стержней и пластин
Лечение: вторичное распространение
К сожалению, развитие метастатического вторичного рака приводит к эвтаназии многих пациентов с остеосаркомой. Оптимальные результаты достигаются при лечении как первичных, так и вторичных опухолей. Лучший контекст для лечения вторичного рака — это когда нет признаков распространения на начальных диагностических рентгеновских снимках и других тестах. Используемое лечение – химиотерапия. В нашей клинике такое лечение переносится очень хорошо. Пациенты проходят химиотерапевтическое лечение, которое проводится одним из ветеринарных онкологических бригад один раз в три недели, всего четыре дозы.
За последние несколько лет ветеринарные онкологи протестировали новые комбинации химиотерапевтических агентов для лечения вторичного рака при остеосаркоме у собак. Несмотря на повышение уровня побочных эффектов, убедительных доказательств улучшения результатов, связанных с этими протоколами лечения, по-прежнему нет. С нашим постоянным акцентом на качество жизни, в нашей клинике мы выбираем химиотерапию, направленную на уменьшение побочных эффектов, сохраняя при этом те же положительные результаты с точки зрения контроля над опухолью и общей выживаемости. В большинстве случаев химиотерапевтическое лечение проходит без осложнений. Все владельцы полностью осведомлены о рисках введения химиотерапии до начала курса лечения.
Spok, через 48 часов после органосохраняющей операции
Прогноз
После постановки диагноза остеосаркомы у собак ожидаемая продолжительность жизни может быть резюмирована следующим образом:
- Среднее время выживания без лечения составляет приблизительно два месяца.
Это в первую очередь определяется дискомфортом, связанным с первичной опухолью. - Если выполняется ампутация, среднее время выживания увеличивается до шести с половиной месяцев, при этом 2% пациентов выживают через два года.
- Средняя продолжительность жизни пациентов, получающих паллиативное облучение и химиотерапию, составляет шесть месяцев.
- Ампутация с химиотерапией делает среднее время выживания немногим меньше одного года, при этом 20% собак по-прежнему наслаждаются хорошим качеством жизни через два года после операции.
- Собаки, перенесшие органосохраняющую операцию и химиотерапию, имеют такое же время выживания, что и собаки, перенесшие ампутацию и химиотерапию.
Не все описанные варианты лечения подходят для всех пациентов. Хотя владельцам важно знать о вариантах и причинах выбора того или иного метода лечения, окончательное решение о том, какой план лечения является наиболее подходящим, лучше всего принимать совместно с ветеринарным онкологом.
Если вас беспокоит здоровье вашего питомца, обратитесь к ветеринарному врачу.
Linnaeus Veterinary Limited, действующая как Davies Veterinary Specialists 01582 883950
© 2022 Davies Veterinary Specialists
РАК КОСТЕЙ У СОБАК — Flint Animal Cancer Center
Рак костей является распространенным раком у собак, особенно у крупных и гигантских пород. Приблизительно 85 процентов опухолей костей собак являются остеосаркомами ( остео = кость, саркома = рак ). Остеосаркомы являются высокоагрессивными опухолями, характеризующимися болезненной деструкцией кости в месте роста опухоли. Остеосаркома обычно поражает конечности собак, но может возникать и в других частях тела (череп, ребра, позвонки, таз). Это случается у мелких собак, но гораздо реже, чем у собак крупных пород. Примерно у 80 процентов пациентов рак распространяется на легкие. Биологическое поведение, прогноз и лечение опухолей костей зависят от типа опухоли, первичной локализации и степени распространения заболевания.
Для определения наиболее подходящего лечения требуются различные диагностические тесты, такие как рентген, анализы крови, а иногда и биопсия.
Признаки, связанные с опухолью кости, могут быть неспецифическими. Припухлость, мягкая или твердая, которая со временем увеличивается, может быть связана с опухолью кости, где бы она ни росла на теле. Эти опухоли обычно болезненны, потому что рак разрушает здоровую кость. Опухоли конечностей обычно вызывают хромоту различной степени, которая может быть прерывистой в начале, и она может улучшиться в краткосрочной перспективе с помощью обезболивающих, назначенных вашим ветеринаром. По мере увеличения степени дискомфорта это может вызвать другие признаки, такие как раздражительность, агрессия, потеря аппетита, потеря веса, бессонница или нежелание заниматься спортом. Некоторые собаки могут обратиться к ветеринару из-за перелома, вызванного ослаблением пораженной кости. Другие клинические признаки могут различаться в зависимости от первичной локализации и вовлечения нижележащих структур.
Первоначальная оценка собаки с подозрением на опухоль кости часто включает полное физическое обследование, анализы крови, рентген (как пораженного участка, так и легких), сканирование костей для поиска других области вовлечения костей, а иногда и тонкоигольную аспирацию или биопсию. Может быть предложено сканирование ПЭТ-КТ для оценки всего тела на наличие распространения. Окончательная операция, такая как ампутация в случае опухоли конечности, может быть выполнена без предварительной биопсии, если возраст, порода, расположение и внешний вид опухоли очень наводят на мысль об остеосаркоме. Проработка и постановка необходимы по двум причинам. Во-первых, необходимо определить тип опухоли и степень рака. Диагностическое тестирование также предоставляет онкологу информацию об общем состоянии здоровья собаки и может выявить сопутствующие заболевания, проблемы с костями/суставами или нервами/позвоночником, все из которых могут повлиять на рекомендации по лечению.
Цель лечения каждого пациента в Онкологическом центре животных Flint – помочь каждому питомцу прожить максимально долгую и качественную жизнь, несмотря как на рак, так и на лечение. В случае опухолей костей есть много вариантов, и наша команда экспертов объяснит вам все из них, включая плюсы и минусы для вашего питомца и семьи, и поможет вам принять взвешенное решение. Обезболивание всегда является частью плана ухода, и наша команда всегда готова помочь и поддержать владельцев на каждом этапе пути, включая принятие решений в конце жизни. Это наша приверженность сострадательной заботе.
Остеосаркома конечности обычно вызывает хромоту и боль из-за инвазии и разрушения здоровой кости, что требует местного лечения первичной опухоли. Это также очень агрессивная форма рака с высокой скоростью метастазирования, требующая системной терапии (химиотерапия и / или иммунотерапия), чтобы помочь замедлить распространение опухолевых клеток кости в дополнение к местному лечению первичной опухоли.
Медиана выживаемости при местном лечении только первичной опухоли составляет около четырех месяцев, в то время как добавление химиотерапии может продлить выживаемость до года и более.
Наилучший вариант зависит от конкретного случая и пациента и обычно включает хирургическое вмешательство (например, ампутацию конечности: посмотрите это видео, чтобы узнать больше) или лучевую терапию. В случае опухолей конечностей возможны хирургические или лучевые методы сохранения конечностей. По нашему опыту, многие владельцы переносят ампутацию по поводу опухоли костей конечностей тяжелее, чем их питомцы! Большинство пациентов переносят ампутацию и даже чувствуют себя лучше после удаления болезненной опухоли и конечности. Это, однако, не всегда верно, и обсуждение с вашим онкологом, а также консультация с ветеринарным физиотерапевтом и/или ортопедом могут помочь в разговоре о том, что лучше для каждого отдельного пациента. В большинстве ситуаций собаки с тремя ногами могут делать практически все, что могут делать собаки с четырьмя ногами.
Собаки с опухолями дистального отдела лучевой кости (нижней части передней конечности) могут быть кандидатами на органосохраняющую хирургическую или лучевую процедуру. Хирургия служит двум целям; он удаляет первичную опухоль, что необходимо для борьбы с раком, но также устраняет источник боли и, следовательно, может значительно улучшить качество жизни. Однако этот вариант зависит от конкретного места, а также требует интенсивного последующего наблюдения, чтобы снизить частоту осложнений.
Иногда можно использовать 3-5 высоких доз хорошо переносимой формы лучевой терапии, чтобы «убить» опухоль в кости, а также облегчить боль. Это, однако, требует наличия достаточно хорошей кости, чтобы выдержать вес животного после лечения, поскольку сохраняется риск перелома. Паллиативная лучевая терапия предназначена в первую очередь для обезболивания. Он дает значительный эффект примерно у 75 процентов собак в среднем в течение 2-4 месяцев, после чего его можно повторить. Эта терапия в сочетании с инъекционным препаратом под названием золедронат, уменьшает разрушение костей и, как было показано, уменьшает боль в костях, связанную с раком, у людей.
Химиотерапия обычно используется в качестве дополнения к основной терапии, такой как хирургическое вмешательство или лучевая терапия, для замедления скорости метастазирования любой опухоли кости, что, к сожалению, характерно для опухолей костей. Химиотерапия вряд ли вылечит большинство собак с остеосаркомой, но может продлить жизнь хорошего качества . Наиболее часто используемым препаратом является инъекционный препарат под названием карбоплатин, который вводят один раз в три недели, в общей сложности четыре процедуры. Большинство собак хорошо переносят химиотерапию, у некоторых собак наблюдаются легкие, самоограничивающиеся побочные эффекты, такие как снижение аппетита, тошнота, периодическая рвота и диарея в течение нескольких дней. Менее пяти процентов собак будут испытывать серьезные побочные эффекты, требующие госпитализации. При возникновении тяжелых побочных эффектов дозы этих препаратов могут быть уменьшены при последующих курсах лечения.
После завершения химиотерапии мы рекомендуем проводить регулярный мониторинг на наличие признаков рецидива или метастазирования.
Ваш онколог установит график повторных осмотров, подходящий для вашего питомца с учетом его конкретных медицинских потребностей. Среднее время выживания у собак с остеосаркомой, пролеченных хирургическим путем и химиотерапией, составляет примерно один год. Однако 20-25 процентов собак могут жить дольше двух лет.
Клинические испытания предлагают еще один вариант лечения. Клинические испытания — это исследовательские исследования, которые предоставляют пациентам доступ к новым и перспективным методам лечения рака. Это возможность для потенциально лучшего результата и помогает внести свой вклад в науку на благо будущих больных раком. Онкологический центр Flint Animal Cancer Center предлагает 20–30 клинических испытаний для различных типов опухолей в любой момент времени. Узнайте больше о текущих клинических испытаниях в Онкологическом центре животных Флинта.
Центр рака животных Флинта CSU Всесторонняя клиническая практика Центра рака животных Флинта предлагает специалистов в области медицинской, хирургической и радиационной онкологии, которые работают вместе как единая команда для разработки индивидуальной диагностики и лечения для каждого пациента.
Центр предлагает новейшие методы химиотерапии, хирургии и лучевой терапии как для распространенных, так и для редких видов рака. Если вы беспокоитесь о здоровье своего питомца, лучше всего сначала записаться на прием к местному ветеринару.
Остеосаркома собак – направление Фитцпатрика
Что такое остеосаркома (СОАС)?
OSA — это злокачественная опухоль костей, наиболее часто встречающаяся у собак. Он в основном поражает конечности (добавочный скелет), но может также развиваться в черепе, позвоночнике и ребрах (осевой скелет).
Опухоль чаще возникает на передних конечностях, обычно поражая нижнюю часть лучевой кости (лучезапястный сустав) или верхнюю часть плечевой кости. OSA также может возникать в бедренной и большеберцовой кости задней конечности.
ОАС может возникнуть в любом возрасте и у любой породы, но обычно он развивается у более старых, крупных и гигантских пород.
Как узнать, есть ли у моей собаки ОАС?
Приложение
Если ОАС поражает лапу вашей собаки, вы можете заметить или не заметить локальную плотную припухлость на конечности.
Вы могли также или только заметить, что у вашей собаки развилась постоянная хромота, которая не проходит после отдыха и часто от болеутоляющих средств. ОАС — это болезненное состояние, поэтому они также могут проявлять признаки беспокойства. Тем не менее, некоторые собаки очень смелые и очень хорошо скрывают боль, поэтому у них могут проявляться лишь незначительные изменения в поведении, которые вы только сможете идентифицировать, например. потеря аппетита, дрожь или озноб, изменение поведения и снижение уровня активности. Иногда из-за изменений, которые рак вызывает в костной архитектуре, он ослабляет кость и в конечном итоге дает переломы, также известные как патологические переломы.
Отек дистального отдела лучевой кости, вызванный остеосаркомой
Отек дистального отдела большеберцовой кости, вызванный остеосаркомой зубы или десны. Если у вашего питомца СОАС костей черепа, опухоль может вызвать изменения внешнего вида и симметрии лица или прорасти в полость головного мозга, что может вызвать судороги.
ОАС позвоночника может сдавливать спинной мозг или нервы и вызывать у вашей собаки трудности при ходьбе, частично или даже полностью. Реберный СОАС может выглядеть как твердая фиксированная припухлость под кожей над грудной клеткой, часто примерно на 2/3 длины ребра.
Какова причина СОАС?
Определенной причины СОАС нет, но считается, что он связан с генами, которые стимулируют и подавляют рост опухолевых клеток. Это определенно наблюдается у некоторых пород больше, чем у других, например, у борзых, немецких догов, мастифов, ирландских волкодавов, доберманов и ротвейлеров.
Как диагностируется ОАС?
Диагностика направлена не только на исследование первичной опухоли, но и на определение распространенности рака в организме (стадия) на момент выявления.
Анализ крови и мочи
Взятие образцов крови и мочи является обычной процедурой. Это дает нам бесценную информацию об общем состоянии здоровья пациента, что, в свою очередь, позволяет нам при необходимости разрабатывать индивидуальные протоколы анестезии.
Он также может предоставить нам информацию о самом раке.
Рентгенограммы
Рентгеновские снимки пораженной ноги делаются для исключения любых других проблем, например, перелома или инфекции, а также для определения степени инфильтрации рака в кость и соседние суставы.
Во-вторых, рентгенологическое исследование может быть использовано для определения степени распространения опухоли на другие части тела, особенно на грудную клетку и легкие, которые являются наиболее распространенным местом распространения ОАС.
Рентгенограмма, иллюстрирующая остеосаркому дистального отдела лучевой кости (OSA)
Компьютерная томография (КТ)
КТ делает виртуальные «срезы» органов (так называемая визуализация «поперечного сечения») и представляет собой гораздо более совершенный метод визуализации по сравнению с рентгенографией лучи, способные обнаруживать гораздо более тонкие изменения в костях и легких. КТ также можно использовать для реконструкции опухоли кости в 3D, чтобы помочь вашему врачу-онкологу принять решение о возможности сохранения ноги (сохранение конечности).
Биопсия кости
Под седацией тонкую иглу можно ввести через тонкий дефект в костной стенке, чтобы собрать некоторое количество клеток, которые можно исследовать под микроскопом для подтверждения диагноза рака. Иногда таким путем получают недостаточно материала, и под общей анестезией берут тонкие стержни костной ткани и исследуют под микроскопом для подтверждения злокачественности. Не всегда необходимо проводить биопсию поражений кости перед лечением, но ваш врач-онколог обсудит с вами этот процесс.
Аспирация костных клеток под контролем УЗИ
Окрашенный препарат костных клеток, полученный после аспирации клеток под контролем УЗИ
Как лечится СОАС? – Appendicular OSA
Не существует «лучшего» способа лечения рака кости. Каждый путь, который мы выбираем, зависит от обсуждений с вами и вашей семьей, то есть с людьми, которые лучше всего знают пациента. Где-то ниже будет вариант, подходящий именно вам, а может быть комбинация нескольких разных вариантов.
Наша цель в Fitzpatrick Referrals Oncology and Soft Tissue Service состоит в том, чтобы демистифицировать лечение рака и вернуть вам контроль. Мы будем работать с вами на каждом этапе пути.
Важно понимать, что к тому времени, когда мы диагностируем ОАС, раковые клетки почти наверняка уже покинули первичную массу и переместились в другое место в организме (метастазировали). Эти клетки, скопления или по отдельности, слишком малы, чтобы их можно было обнаружить до операции, даже с помощью компьютерной томографии с самым высоким разрешением. Они часто остаются бездействующими в течение многих месяцев или лет, и мы используем химиотерапию, чтобы попытаться замедлить прогрессирование этих метастатических клеток в поддающиеся обнаружению вторичные опухоли.
В дополнение к нацеливанию на распространившиеся клетки следующие варианты воздействуют на первичную опухоль кости и, более конкретно, на связанную с ней боль в костях;
Уход на дому
Мы можем выписать несколько комбинаций лекарств; все можно отдать дома.
Эти болеутоляющие средства по-разному воздействуют на организм, воздействуя на боль и воспаление по-разному. раковая боль. Препараты вводят внутривенно, как правило, каждые 3-4 недели. Их можно использовать в сочетании с протоколом домашнего ухода. Их использование уменьшит боль в костях, уменьшит разрушение кости и, следовательно, снизит риск патологического перелома.
Лучевая терапия
Лучевая терапия, проводимая с помощью линейного ускорителя, может использоваться для лечения боли в костях, связанной с раком. В зависимости от протокола могут быть назначены 1–4 дозы («фракции») в сочетании с домашним уходом и бисфосфонатами. Радиация нацелена только на опухоль в кости и не влияет на отдаленное распространение.
Ампутация
Ампутация хорошо переносится большинством собак, даже передних конечностей гигантских пород. При принятии решения о пожертвовании конечности необходимо учитывать другие факторы, такие как сопутствующие ортопедические и неврологические заболевания.
Изъятие пораженной конечности является распространенной хирургической процедурой, выполняемой для удаления первичной опухоли, и является самым быстрым, надежным и наиболее предсказуемым способом прекращения боли в костях, минимизации осложнений опухоли кости и предотвращения развития патологического процесса. перелом.
Немецкий дог, полностью выздоровевший после ампутации левой передней конечности
Операция по сохранению конечности
Операция по сохранению конечности описывает любой метод, при котором опухоль кости удаляется без удаления конечности. Простые примеры включают удаление части локтевой кости (ульнэктомия) или части лопатки (скапулэктомия), если опухоль хорошо ограничена частями этих костей. Если опухоль находится в крупных длинных костях, на которые приходится большая часть веса собаки; например, лучевая кость, плечевая кость, бедренная или большеберцовая кость, тогда необходимо использовать имплантаты для замены отсутствующего костного дефекта.
Это может быть внутренний протез, например, металлическая конструкция, заполняющая костный дефект на месте раковой кости и крепящаяся к соседним костям винтами; или внешний протез, обычно прикрепленный непосредственно к концу кости и проходящий через герметичный кожный коридор, с резиновой ногой, прикрепленной для ходьбы, такой как наш протез для ампутации, называемый PerFiTS. Профессор Ноэль Фитцпатрик разработал этот инновационный эндопротез для ампутации, имплантат PerFiTS (чрескожная фиксация к скелету), который представляет собой инновационную хирургическую технику, доступную только в центрах Fitzpatrick Referrals, используемую для лечения животных, у которых нижняя часть конечности облитерирована раком (раком кости или раком мягких тканей). -рак тканей) или тяжелой травмой костей, мышц, нервов и/или кровеносных сосудов.
Эти методы являются специализированными хирургическими процедурами, которые тщательно подбираются для каждой конкретной собаки и семьи. Благодаря сотрудничеству между хирургами-ортопедами и хирургами-онкологами Fitzpatrick Referrals ни один центр в Соединенном Королевстве не имеет большего опыта в хирургических методах и технологиях сохранения конечностей.
В Fitzpatrick Referrals мы можем предоставить радиальный эндопротез или эндопротез большеберцовой кости для передней и задней конечности соответственно. Это метод, который профессор Ноэль Фитцпатрик разработал как вариант спасения конечности с остеосаркомой длинных костей.
эндопротезис большеберцовой кости в задней конечности
Радиальный эндопротез в передней конечности
Персоны
Хандистные конечности
Химиотерапия
Цель номер один для обработки OSA- рельеф от боны и заново-бон создание хорошего качества жизни. Вторая цель – долголетие – мы точно знаем, что химиотерапия продлевает жизнь собак, страдающих ОАС длинных костей. Режим лечения, который мы используем, обычно представляет собой внутривенную инъекцию химиотерапевтического препарата каждые три недели, чаще всего препарата под названием карбоплатин. Мы придерживаемся самых строгих стандартов безопасности при восстановлении, доставке и утилизации химиотерапевтических препаратов и отходов.
Наши врачи-онкологи и медсестры-онкологи имеют многолетний опыт химиотерапии ОАС, и их цель — сделать так, чтобы пациенты и их семьи чувствовали себя максимально комфортно и получали информацию об этом процессе.
Собаки обычно не испытывают тех же побочных эффектов, что и люди, хотя иногда мы наблюдаем временное отсутствие аппетита, тошноту, вялость и жидкий стул. Они часто длятся всего день или около того после лечения и улучшаются при симптоматической терапии в домашних условиях. Большинство ваших друзей и родственников не будут знать, что ваш питомец проходит курс химиотерапии. Когда это возможно, мы используем сосудистые порты доступа (VAP) для доставки химиотерапии, которые обычно используются в онкологии человека. Это металлические диски, помещаемые под кожу, с выходной трубкой прямо в кровеносный сосуд. Диск может оставаться под кожей в течение месяцев или лет, если это необходимо. Это позволяет животным получать химиотерапевтические препараты в более спокойной обстановке, не прибегая к таким ограничениям, бритью ног или катетеризации.
Порт сосудистого доступа перед введением под кожу. Металлический диск имеет центральную камеру из смолы, через которую вводят наркотики. Один конец белой трубки подсоединяется к этой камере, другой конец вставляется и остается в кровеносном сосуде. Это устройство устраняет необходимость в постоянном удержании и инъекциях ног.
Вытяжной шкаф для химиотерапии для безопасного обращения и приготовления химиотерапевтических препаратов
Собака, получающая химиотерапию через металлический VAP, введенный под кожу. Процесс значительно менее стрессовый и более безопасный для пациентов.
Как лечится СОАС? – Аксиальный ОАС
Лечение осевого ОАС обычно зависит от локализации опухоли. Существуют некоторые из тех же вариантов, что и выше, для аксиального ОАС, например, уход на дому, бисфосфонаты, облучение и хирургия.
Операция по поводу аксиального ОАС может включать удаление пораженного ребра, части челюсти или даже части таза. Это процедуры, с которыми наши хирурги-онкологи очень хорошо знакомы, и они смогут показать вам много фотографий и видео предыдущих случаев, чтобы познакомить вас с тем, как (хорошо) домашние животные функционируют после этих операций, и какие косметические изменения вы можете ожидать увидеть, если таковые имеются.
.
Каков прогноз СОАС?
Несмотря на все наши усилия, собаки с ОАС аппендикулярного отдела (длинных костей) почти наверняка погибнут из-за болезни либо из-за первичной опухоли (кости), вызывающей неконтролируемую боль, либо из-за вторичных опухолей (метастаз), влияющих на качество жизнь собаки. Наиболее распространенным местом распространения являются легкие, и прогрессирующее заболевание здесь чаще всего вызывает потерю веса и слабость (кахексию), а не проблемы с дыханием, как можно было бы ожидать.
Следующие факторы могут влиять на прогноз; наличие распространения опухоли в легкие при постановке диагноза, насколько агрессивна опухоль определяется гистопатологией, специфическими повышениями показателей крови, распространением заболевания на регионарные лимфатические узлы, проводится ли химиотерапия, какая кость поражена, вес пациента , и возраст пациента
Среднее время выживания было сообщено для следующих методов лечения. Важно понимать, что эти цифры являются средними: половине пациентов будет лучше, чем эти цифры, а половине, к сожалению, хуже.