Узнаем как много хромосом у кошки? Количество, функции
- Геном и хромосомы
- Количество хромосом у животных
- Кариотип и хромосомный комплекс кошки
- Хромосомы яйцеклетки кошки
- Наследственность котов
- Наследуемые признаки
- Окрас шерсти
Кошки… Домашние любимцы многих людей. Кому-то нравятся рыжие, кому-то черные, кому-то мозаичные. Других привлекают персы, сиамские коты или египетские кошки. Это все дело вкуса.
Однако окрас животного, его экстерьер, характер, болезни, патологии, мутации зависят не только от породы или образа жизни, но и от хромосомного набора (в первую очередь от него), который является постоянным и определенным.
И все же, сколько хромосом у кошки, какое их количество и функции? Об этом и пойдет речь ниже.
Геном и хромосомы
Говорить о том, сколько хромосом у кошки, крайне сложно без основополагающих знаний генетики.
Геном представляет собой структуру, в которую заключена генетическая информация об организме.
Практически любая клетка содержит геном. А вот хромосома вмещает в себя всю информацию о строении клетки. Хромосома представляет собой нуклеопротеидные структуры в ядре эукариотической клетки. В хромосоме содержится значительная часть наследственной информации, которая хранится, реализуется и передается будущему поколению.
Хромосома – это структура клеточного ядра, состоящая из дезоксирибонуклеиновой кислоты (ДНК) и белков. Стоит напомнить, что ДНК — это макромолекула, обеспечивающая хранение, передачу из поколения в поколение, реализацию генетической программы развития живого организма.
Существует два вида хромосом у разных организмов:
Эукариотический тип – характерен для живых организмов (эукариот), клетки которых содержат ядерную оболочку, молекулы ДНК в ядре и митохондриях.
Прокариотический тип – встречается у организмов, в клетках которых отсутствует ядерная оболочка, а молекулы ДНК заключены в гистоны (прокариоты).
Внешне хромосома похожа на длинную нить с нанизанными бусинами, каждая из которой – ген.
Помимо этого, ген находится на своем строго зафиксированном участке хромосоме — локусе.
Количество хромосом у животных
Сколько хромосом в клетках кошки? У любого живого организма имеются гомологические или парные хромосомы и гаплоидные или непарные (половые) хромосомы. К последним относятся яйцеклетка и сперматозоид, они имеют набор ХХ и ХУ соответственно. При делении они распадаются на X, X и X, У. В зависимости от новой комбинации пары в оплодотворенной клетке будет определяться пол нового организма (в нашем случае, котёнка).
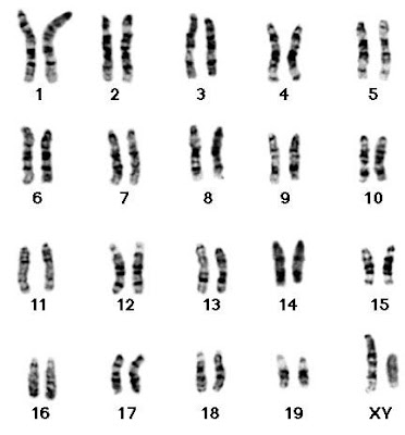
На вопрос: «Сколько хромосом в клетках кошки?», генетика дает точный ответ. У домашней кошки хромосомный набор включает 19 пар хромосом (18 парных и 1 непарная: ХХ — у самок и ХУ — у самцов). Общее количество хромосом у кошки равно 38.
У других животных количество хромосом неизменно и индивидуально для каждого вида (например, у собак — 78 хромосом, у лошадей — 64, у коров — 60, у зайца — 48).
Напомним, что у людей количество хромосом равно 46.
Кариотип и хромосомный комплекс кошки
Кариотип – это парный набор хромосом со специфическим для каждого вида животного числом, размером и формой. Признаки каждого вида живого организма наследуются по кариотипу. Например, кариотипическим признаком может являться наличие хобота у слонов. Рождение слоненка без хобота будет являться отклонением от кариотипической нормы, то есть патологией.
Все клетки парные, от них зависит будущий вид, экстерьер, окрас, характер кошки. Последняя – 19 пара содержит половую информацию и половину хромосомного набора. В процессе оплодотворения обе части соединяются, образуя полноценную клетку.
Хромосомы яйцеклетки кошки
Какой набор хромосом имеет яйцеклетка кошки? В соматической клетке кошки 38 хромосом, которые является диплоидными клетками. Яйцеклетка – это половая гаплоидная клетка. Соответственно, 38 нужно разделить на два, получим 19, то есть в яйцеклетке кошки девятнадцать хромосом.
Наследственность котов
В соматической клетке кошки 38 хромосом, в которых содержатся молекулы ДНК с генотипической информацией. Генотипические проявления, которые отражаются во внешнем облике живого организма, называются фенотипом. Фенотипические проявления котят различаются по цвету, размеру животного.
Гены у потомства парные – один ген от самки, а другой — от самца. Как известно, гены делятся на доминантные (сильные) и рецессивные (слабые). Доминантные гены обозначаются прописными, латинскими буквами, рецессивные — строчными. В зависимости от их сочетания выделяют гомозиготные (АА или аа) и гетерозиготные (Аа) типы. Доминантный ген проявляется как в гомо-, так и в гетерозиготном состоянии. Рецессивный ген проявит свои признаки лишь в гомозиготном типе (аа). Эти генетические знания полезны при вычислении признаков будущих котят по фенотипическим проявлениям их родителей. Здесь важно знать, какой ген, отвечающий за проявление определенного признака, является рецессивным или доминантным.
Гены окраски животных располагаются в Х-хромосоме, они представлены в таблице ниже:
| a | Серый |
| b | Шоколад |
| c | Платина, лиловый |
| d | Рыжий |
| e | Кремовый |
| f | Черепаховый |
| g | Черепаховый голубокремовый |
| h | Черепаховый шоколадный |
| j | Черепаховый лиловый |
| n | Черный |
| o | Сорель, медовый |
| p | Желто-коричневый |
| q | Черепаховый красно-коричневый |
| r | Черепаховый желто-коричневый |
| s | Дымчатый |
| w | Белый |
| y | Золотой |
| x | Незарегистрированный окрас |
Наследуемые признаки
Хромосомы кошки передают потомству определенные наследственные признаки, такие как:
- уши – их расположение и габариты, размер ушной раковины;
- шерсть – окрас и характер ворса;
- глаза – цвет пигмента;
- хвост – его длинна, толщина;
- болезни.

Селекционеры делают выбраковку слабых и дефективных особей для того, чтобы последующее потомство было сильнее, здоровее и совершеннее.
Окрас шерсти
В тысяче генов кошек находятся те, которые отвечают и за их окраску, и за мутацию, приводящую к изменению цвета и структуры шерсти. Неполовая соматическая клетка содержит в протоонкогене элементы мутации по цвету шерсти, который тормозит миграцию меланобластов. Поэтому последние не могут попасть в кожу, а пигмент, соответственно, не доходит волоска шерсти. Этим и объясняется белый шерстяной покров животного.
Некоторым меланобластам удается попасть в волосяные мешочки на голове кота, тогда на шёрстке появляются окрашенные пятна. Эти клетки вполне могут достичь и сетчатки глаз: при малом количестве меланобластов глаза становятся голубыми, а при большом — зрачки у животного будут жёлтыми.
Эта же хромосома отвечает и за окрас шерсти. Обычная структурная форма меланобластов дает полосатый окрас животного.
Встречаются также и полудоминантные изменения, к примеру, у абиссинского тэби. Гомозиготные особи не имеют полос, окрас однородный, а гетерозиготные особи с такой мутацией отличаются полосами на мордочке, лапках, хвосте. В случае рецессивного изменения поперечные полосы на шёрстке животного деформируются в неправильные линии на его спинке, проявляясь в продольных мощных полосах чёрного цвета.
Генная мутация, влияющая на фермент тирозиназу, ведет к альбинизму. Это происходит не только у кошек, но и у других млекопитающих.
Тирозиназа снижает свою активность в зависимости от температуры кошек – чем она меньше, тем активнее фермент. В таких случаях имеется интенсивное окрашивание периферийных частей тела: носа, кончиков лап и хвоста, ушей у бирманских кошек.
Мозаичность котов
Набор хромосом кошки, отвечающих за расцветку, локализован в X-хромосоме. Мозачность котов — нередкое явление, но все же трехцветных котов меньше, чем двухцветных.
В данном случае окраска определяется аллелями гена О:
О — влияет на желтую (или рыжую) окраску меха;
о — отвечает за черный цвет.
Черепаховые кошки гетерозиготны по этому гену, их генотип — Оо.
Желтые и черные пятна у них развиваются в результате случайной инактивации в раннем эмбриогенезе Х-хромосомы аллелем О или о. Коты могут быть только гомозиготами по этому признаку (ОУ — рыжие или оУ — черные).
Коты черепаховой окраски встречаются крайне редко — они характеризуются хромосомной конституцией ХХУ и генотипом ОоУ. Этим обусловлена редкая рождаемость мозаичных котов (или котов черепаховой окраски).
Наследование трехцветной окраски кошек:
Окрас черный – ген ХВ – генотип – ХВ ХВ; ХВУ;
Окрас рыжий – ген ХЬ – генотип – ХЬ ХЬ; ХЬУ;
Окрас черепаховый – ген – ХВ; ХЬ – генотип- ХВ; ХЬ.
Белый окрас котов
Белый цвет на хромосомном уровне – это отсутствие пигмента. Пигментные клетки блокирует один ген – W. Если в генотипе котов присутствуют рецессивные признаки этого гена (ww), то потомство будет цветным, а если имеется доминантный признак (WW, Ww) и при этом в геноме котов будет много иных обозначений генных хромосом (BOoSsddWw), то мы будет видеть все равно абсолютно белую кошку.
Однако такие коты могут нести и пятнистость, и рисунок, но только в том случае, что потомство не унаследует ген W.
Хромосомы кошки с синдромом Дауна
Эта болезнь встречается не только у людей, но и у животных, кошки здесь не исключение.
На просторах Интернета «висит» много историй и фотографий из жизни таких животных. Равно как и люди, такие животные вполне могут жить и быть активными, но визуально они отличаются от здоровых. Как и людям, таким животным нужен определенный уход, забота и лечение.
На вопрос: «Сколько хромосом у кошки Дауна?», можно ответить определенно: 39.
Синдром Дауна имеет место тогда, когда в генном наборе молекул хромосом появляется еще одна лишняя хромосома – нечетная. В случае кошек, это 39 хромосома.
Кошка с лишней хромосомой в природе встречается редко по той простой причине, что животное не употребляет наркотики, спиртное, не курит, т.е. исключаются провоцирующие причины генной мутации. Но все же, это живой организм, иногда в нем тоже бывают сбои.
Ученые и биологи не имеют определенного мнения о лишней хромосоме. Одни говорят, что быть такого не может, другие говорят, что может, а третьи утверждают, что такое встречается при искусственном выведении животного в качестве подопытного.
Кошка с 20 хромосомами (двадцатая пара хромосом – лишняя) встречается, но она практически не имеет шансов для воспроизведения здорового потомства. Это, конечно, не говорит о том, что такое животное нельзя любить. Они вполне милые, но немного необычные, иные, но все же они живые. К примеру, кошка с таким синдромом (Майя из Америки) стала любимицей своих хозяев (Харрисона и Лорен). Они создали кошке свою страничку в «Инстаграме», регулярно выкладывают ее фотографии и видео. Майя стала любимицей пользователей сети Интернет, она вполне активна и жизнерадостна, хотя страдает одышкой и постоянно чихает. Но жить в свое удовольствие и ради удовольствия своих хозяев ей никто не мешает.
Кстати, не стоит путать синдром Дауна кошки с генетическими мутациями, приводящими к физическому изменению (деформации) лиц животного.
Такое встречается в природе чаще, чем болезнь Дауна, и обусловлено скрещиванием между кошками-родственниками (межродовое скрещивание). Если в потомстве много животных одного рода, то рано или поздно наступят физиологические изменения не только во внешнем виде животных, но и скажутся на их развитии в целом. Если заводчики это могут контролировать, то хозяева кошек, бегающих по дворам, практически не могут это отследить. Некоторые люди, такое потомство выкидывают, другие, напротив, относятся к этому философски и также любят своих питомцев.
Сколько у кошки жизней
Всем известно, что в 1996 году в мире было проведено первое клонирование (знаменитая овечка Долли). Через пять лет ученые клонировали кошку, имя дали ей – Копирка (по-русски) или Carbon Copy (это латынь).
Для клонирования была взята кошка черепаховой серо-рыжей расцветки – Радуга. Из яичников Радуги извлекли яйцеклетки и соматические клетки. Из всех яйцеклеток удалили ядра и заменили ядрами, выделенными из соматических клеток.
Затем была проведена стимуляция электрошоком, и после этого реконструированные яйцеклетки трансплантировали в матку серой полосатой кошки. Именно эта суррогатная мать родила Копирку.
Но у Копирки не было рыжих пятен. При исследовании удалось выяснить следующее: в геноме кошки (самки) находятся две X-хромосомы, отвечающие именно за окрас животного.
В оплодотворенной клетке (зиготе) активны обе Х-хромосомы. В процессе деления клеток и дальнейшей дифференцировке во всех клетках тела, включая и будущие пигментные клетки, одна из Х-хромосом инактивируется (т.е. у клетки теряется либо сильно уменьшается активность). Если кошка гетерозиготна (к примеру, Оо) по гену окраски, то в одних клетках может инактивироваться хромосома, несущая аллель рыжей окраски, в других — несущая аллель черной окраски. Дочерние клетки строго наследуют состояние Х-хромосомы. В последствие этого процесса и формируется черепаховая окраска.
При клонировании кошки в ядре реконструированной яйцеклетки, извлеченном из обычной соматической клетки трехцветной кошки, не произошла полная реактивация (восстановление жизнеспособности или активности) выключенной Х-хромосомы.
Полное репрограммирование ядра хромосом при клонировании живого организма (в данном случае — кошки) не происходит. Вполне вероятно, что именно поэтому клонированные животные болеют и не всегда могут вывести здоровое потомство. Копирка жива до сих пор. Она стала мамой трех очаровательных котят.
Заключение
В данной статье было рассмотрено, сколько хромосом у кошки, за что они «отвечают» и как влияют на животное.
На вопрос: «Сколько хромосом в яйцеклетке кошки?», ответ однозначный – 19 хромосом. Гены окраски кошек расположены в Х-хромосоме. Меланобласты (т.е. клетки, которые дают начало пигментным клеткам, производящим меланин) еще не содержат пигмент и отвечают за рисунок на шубке и за цвет радужки глаз. Фермент тирозиназа отвечает за проявление альбинизма, однако этот фермент нельзя путать с геном W (дает белый окрас шубки).
Мозаичные коты имеют хромосомную конституцию ХХУ и генотип ОоУ, поэтому они встречаются не так уж часто. Аллель (участок) гена мозаичных котов — Оо, именно он отвечает за мозаичную окраску.
В хромосомном наборе иногда происходят сбои или мутации генов, тогда рождаются на свет либо кошки с синдромом Дауна, либо кошки с деформированной внешностью. Второе можно спрогнозировать, а вот с первым гораздо сложнее. Возможно, потому, что это явление не самое распространенное и исследований его причин не так уж и много.
Кошку, как и любой другой живой организм, можно клонировать, и, как показывает практика, такие животные вполне жизнеспособны.
Вообще, генетика — это очень интересная и познавательная наука, занимающаяся изучением закономерностей наследственности и изменчивости, передающихся от родителей потомкам. Расшифровав гены животного, можно понять, какое у него будет потомство, можно исключить генные мутации, вывести чистые породы. А девиз заводчиков котов: «Чистые породы — здоровые коты».
Автор:
Катерина Галеева
Похожие статьи
Узнаем как много хромосом у кота? Генетика приводит данные по .
..
Геномы различных организмов имеют разное количество хромосом. Это относится как к животным, так и к растениям. Это объясняется не столько различной сложностью организации живых организмов, сколько размерами хромосом и массой молекулы ДНК, которая …
далее
Лишняя хромосома у человека. Хромосомные аномалии
Организм человека – это сложная многоплановая система, которая функционирует на различных уровнях. Для того, чтобы органы и клетки могли работать в правильном режиме, в конкретных биохимических процессах должны участвовать определённые вещества. …
далее
Синдром тетраамелии: основные сведения, генетика и прогноз
Синдромом тетраамелии называется одно из самых редких генетических заболеваний, связанное с мутацией гена WMT3. Основной симптом заболевания — полное отсутствие у человека всех четырех конечностей. Наблюдаются и другие серьезные пороки развития.
далее
Теломера — что это? Отвечаем на вопрос.
Все мы знаем свой хронологический возраст — тот, о котором говорит паспорт. Но при этом замечаем, что далеко не все выглядят на свои года — кто-то моложе, а кто-то — старше. Тут уже дело в возрасте биологическом, который уж точно не определить по …
далее
Что это — хромосома? Набор хромосом. Пара хромосом
Наследственность и изменчивость в живой природе существуют благодаря хромосомам, генам, дезоксирибонуклеиновой кислоте (ДНК). Хранится и передается генетическая информация в виде цепочки нуклеотидов в составе ДНК.
далее
Что это — хроматин: определение, строение и функции
Биохимические исследования в генетике – важный способ изучения основных её элементов – хромосом и генов. В данной статье мы рассмотрим, что такое хроматин, выясним его строение и функции в клетке.
далее
- Главная
- Образование
- / Колледжи и университеты
Синдром Прадера-Вилли: описание, методы диагностики, фото, терапия
Синдром Прадера-Вилли считается очень редким генетическим нарушением, при котором семь генов, находящихся в 15-й отцовской хромосоме, полностью либо частично отсутствуют и не функционируют в нормальном режиме.
далее
Бывает ли у кошек синдром Дауна?
Может ли быть синдром Дауна у кошек? Ветеринарные врачи слышат этот вопрос достаточно часто. Обычно люди спрашивают об этом, когда им кажется, что их кошка выглядит и ведёт себя не совсем нормальным образом, который напоминает синдром Дауна.
Кошки с необычными чертами и определёнными отклонениями в поведении становятся звёздами интернета.
Некоторые владельцы, утверждающие, что синдром Дауна у кошек бывает, создают для них отдельные аккаунты в социальных сетях, тем самым убеждая окружающих в своей правоте.
Может ли у кошек быть синдром Дауна
Несмотря на весь ажиотаж в интернете, у кошек не бывает такой патологии. В действительности это просто физически невозможно.
Синдром Дауна — это заболевание, которым страдает каждый 700-й ребёнок, рождённый в США. Оно возникает, когда генетический материал развивающегося плода копируется неправильно. Это приводит к дополнительной 21-й хромосоме или частичной 21-й хромосоме. Также оно называется трисомией по 21-й хромосоме.
По сути, хромосомы организуют ДНК в каждой клетке в пучки, помогая клеткам передавать генетический материал при делении. Дополнительная 21-я хромосома или частичная 21-я хромосома вызывают множество врождённых дефектов, которые придают людям с синдромом Дауна общие физиологические черты.
По данным Национального общества синдрома Дауна, люди с такой патологией, как правило, обладают некоторыми или всеми следующими чертами:
- низкий мышечный тонус;
- маленький рост;
- косой разрез глаз;
- поперечная ладонная складка.

Но не все люди с синдромом Дауна выглядят одинаково.
Почему кошек с синдромом Дауна не существует
У человека 23 пары хромосом. У кошек их 19. Таким образом, у кошки просто физически не может возникнуть лишняя 21-я пара хромосом. Однако это не значит, что у кошек в принципе не может быть лишних хромосом.
Например, статья, опубликованная в Американском журнале ветеринарных исследований в 1975 году, поведала о выявленной редкой хромосомной аномалии у котов, которая допускает одну дополнительную хромосому. Это приводит к состоянию, аналогичному синдрому Клайнфельтера у человека. Такие коты особенно примечательны, потому что дополнительная хромосома содержит генетический материал, влияющий на их окрас. В результате эти питомцы имеют трёхцветный окрас, который ещё называют черепаховым, встречающийся только у самок.
Нарушения, которые могут напоминать синдром Дауна
В Instagram были размещены фотографии нескольких особо примечательных кошек, которые стали сенсацией в интернете после того, как их владельцы заявили, что эти кошки обязаны своим необычным внешним видом лишним хромосомам.
Несмотря на сомнительные утверждения и биологические реалии, термин «кошачий синдром Дауна» стал популярным. Однако важно отметить, что ветеринарное сообщество не признает синдром Дауна у кошек в качестве ветеринарного состояния. Оно также не поддерживает перенос человеческих состояний на животных на основании внешнего вида или поведения. Это может быть истолковано как неуважение к людям, живущим с такими патологиями.
Тем не менее существуют некоторые физиологические и поведенческие черты, глядя на которые люди, не имеющие в виду ничего дурного, ошибочно приписывают кошкам человеческие заболевания. Так называемые «кошки с синдромом Дауна» обычно имеют некоторые отличительные особенности, в том числе:
- широкий нос;
- косой разрез глаз, которые могут быть широко расставлены;
- маленькие или необычной формы уши;
- низкий мышечный тонус;
- трудности при ходьбе;
- проблемы с мочеиспусканием или дефекацией;
- отсутствие слуха или зрения;
- проблемы с сердцем.

Кошки с физическими и поведенческими отклонениями
Физические особенности и аномалии поведения кошек с так называемым «синдромом Дауна» обычно указывают на другое заболевание, которое может даже не иметь генетического происхождения.
Внешний вид и поведение этих кошек может быть связано с самыми разными проблемами — инфекциями, неврологическими заболеваниями, врождёнными аномалиями и даже травмами. Некоторые из соответствующих физических и поведенческих аномалий могут развиться у кошек, инфицированных внутриутробно вирусом панлейкопении. У некоторых питомцев наблюдается гипоплазия мозжечка — состояние, которое может привести к появлению физических и поведенческих черт, присущих «кошкам с синдромом Дауна».
Кошки, матери которых подверглись воздействию определённых токсинов, иногда страдают различными врождёнными пороками развития. Они могут влиять на черты внешности и неврологическую систему. Более того, травмы головы и морды, особенно в очень молодом возрасте, нередко вызывают необратимые неврологические и костные повреждения, которые могут казаться врождёнными.
Как жить с кошками с особыми потребностями
Если кошка демонстрирует некоторые поведенческие и физические отклонения, она может стать кошкой с особыми потребностями. Такие питомцы часто проявляют многие черты, которые для случайного наблюдателя могут напоминать синдром Дауна, хотя на самом деле это состояние у кошек развиваться не может.
Кошки с особыми потребностями требуют особого ухода. Их хозяева должны проявлять особую осторожность, чтобы защитить их от опасностей — бассейнов и лестниц, хищников и других рисков, перед которыми они уязвимы. Им может потребоваться помощь в выполнении основных функций: умывании, приёме пищи и воды и т. п. или ориентации в пространстве при наличии нарушений зрения или слуха.
Любой человек, у которого есть кошка с особыми потребностями, должен узнать обо всех возможных вариантах ухода за её здоровьем. Поэтому важно заручиться поддержкой и помощью компетентного ветеринарного специалиста.
Читайте также:
10 мифов о стерилизации
Можно ли пускать кошку в свою кровать
В вашем доме появился котенок
Contributor Bio
Доктор Пэтти Кули
Доктор Пэтти Кули с отличием окончила Колледж Уэллсли и Школу ветеринарной медицины при Пенсильванском университете.
В настоящее время она является счастливой владелицей клиники Sunset Animal в г. Майами, Флорида. Но это не все. Доктор K. всезнайка, заядлая вязальщица, горячий фанат йоги и музыки и неутомимый гурман, который с трудом пытается заставить себя бегать по утрам. Она живет в Южном Майами с тремя собаками, бесчисленными кошками, двумя спасенными козами и шумной стаей кур.
Вы можете следить за ее статьями на сайте DrPattyKhuly.com и SunsetVets.com.
Геном кошек и его клиническое значение
1. Benveniste RE, Todaro GJ. Разделение последовательностей, связанных с RD-114 И FeL-V, при скрещивании домашней кошки и леопардовой кошки. Природа. 1975; 257:506. [Бесплатная статья PMC] [PubMed] [Google Scholar]
2. Centerwall WR, Benirschke K. Животная модель синдрома XXY Клайнфельтера у человека: черепаховые и ситцевые самцы кошек. Am J Vet Res. 1975; 36:1275. [PubMed] [Google Scholar]
3. Чо К.В., Юн Х.И., Ватари Т. Предлагаемая номенклатура кариотипа домашней кошки.
Цитогенет Клеточный Генет. 1997;79:71. [PubMed] [Google Scholar]
4. Chu EHY, Thuline HC, Norby DE. Триплоид-диплоидный химеризм у самца черепахового кота. Цитогенетика. 1964; 24:1. [PubMed] [Google Scholar]
5. Cooper MP, Fretwell N, Bailey SJ. Белые пятна у домашней кошки (Felis catus) сопоставляются рядом с KIT на кошачьей хромосоме B1. Аним Жене. 2006; 37:163. [Бесплатная статья PMC] [PubMed] [Google Scholar]
6. Cox DR, Burmeister M, Price ER. Радиационное гибридное картирование: генетический метод соматических клеток для построения карт хромосом млекопитающих с высоким разрешением. Наука. 1990;250:245. [PubMed] [Google Scholar]
7. Донкастер Л. О наследовании черепахового и родственных окрасов у кошек. Proc Camb Philol Soc. 1904;13:35. [Google Scholar]
8. Fyfe JC, Menotti-Raymond M, David VA. Делеция размером примерно 140 т.п.н., связанная со спинальной мышечной атрофией кошек, предполагает важную функцию LIX1 для выживания двигательных нейронов.
Геном Res. 2006; 16:1084. [Бесплатная статья PMC] [PubMed] [Google Scholar]
9. Grahn RA, Lemesch BM, Millon LV. Локализация сцепленного с Х-хромосомой фенотипа оранжевого окраса с использованием ресурсных семейств кошек. Аним Жене. 2005;36:67. [PubMed] [Академия Google]
10. Грегсон Н.М., Измаил Дж. Диплоидный триплоидный химеризм у трех черепаховых кошек. рез. вет. 1971; 12:275. [PubMed] [Google Scholar]
11. Хаскинс М. Генная терапия лизосомных болезней накопления (LSD) на моделях крупных животных. Илар Дж. 2009; 50:112. [Бесплатная статья PMC] [PubMed] [Google Scholar]
12. He Q, Lowrie C, Shelton GD. Наследственное заболевание двигательных нейронов у домашних кошек: модель спинальной мышечной атрофии. Педиатр рез. 2005; 57:324. [PubMed] [Академия Google]
Hill’s Press Release, Topeka, Kansas, 20 июля 2008 г.
13. Imes DL, Geary LA, Grahn RA. Альбинизм у домашней кошки (Felis catus) связан с мутацией тирозиназы (TYR) .
Аним Жене. 2006; 37:175. [Бесплатная статья PMC] [PubMed] [Google Scholar]
14. Исихара Т. Цитологические исследования черепаховых самцов кошек. Цитология. 1956; 21:391. [Google Scholar]
15. Питомник Johnson G. Gogees; Гринвелл-Спрингс, Луизиана: 1991. Бенгальская кошка. [Академия Google]
16. Джонсон В., О’Брайен С.Дж. Филогенетическая реконструкция Felidae с использованием 16S рРНК и митохондриальных генов NADH-5. Дж Мол Эвол. 1997;44:с98. [PubMed] [Google Scholar]
17. Джонсон В.Е., Эйзирик Э., Пекон-Слэттери Дж. Позднемиоценовое излучение современных кошачьих: генетическая оценка. Наука. 2006; 311:73. [PubMed] [Google Scholar]
18. Ke X, Kennedy LJ, Short AD. Оценка функциональности полногеномных массивов SNP собак и значение для исследований ассоциации заболеваний собак. Аним Жене. 2010 в печати. [PubMed] [Академия Google]
19. Косовская Б., Янушевский А., Токарская М. Цитогенетические и гистологические исследования черепаховых кошек.
Мед Ветер. 2001; 57:475. [Google Scholar]
20. Kuiper H, Hewicker-Trautwein M, Distl O. [Цитогенетическое и гистологическое исследование четырех черепаховых кошек] Dtsch Tierarztl Wochenschr. 2003; 110:457. [PubMed] [Google Scholar]
21. Louwerens M, London CA, Pedersen NC. Кошачья лимфома в поствирусную эру кошачьего лейкоза. J Vet Intern Med. 2005;19:329. [PubMed] [Академия Google]
22. Лайонс Л.А., Бейли С.Дж., Байсак К.С. Локус кошки Tabby сопоставляется с кошачьей хромосомой B1. Аним Жене. 2006; 37:383. [Бесплатная статья PMC] [PubMed] [Google Scholar]
23. Lyons LA, Imes DL, Rah HC. Мутации тирозиназы , связанные с сиамским и бирманским окрасом у домашней кошки (Felis catus) Anim Genet. 2005; 36:119. [PubMed] [Google Scholar]
24. Менотти-Раймонд М., Дэвид В.А., Агарвала Р. Радиационное гибридное картирование 304 новых микросателлитов в геноме домашней кошки. Цитогенет Геном Res. 2003; 102:272. [PubMed] [Академия Google]
25.
Менотти-Раймонд М., Дэвид В.А., Чен З.К. Интегрированные гибридные карты генетического сцепления/радиации второго поколения домашней кошки (Felis catus) J Hered. 2003;94:95. [PubMed] [Google Scholar]
26. Menotti-Raymond M, David VA, Lyons LA. Карта генетического сцепления микросателлитов у домашней кошки (Felis catus) Геномика. 1999;57:9. [PubMed] [Google Scholar]
27. Менотти-Раймонд М., Дэвид В.А., Шаффер А.А. Мутация CEP290 обнаружена на кошачьей модели дегенерации сетчатки человека. Дж. Херед. 2007;98:211. [PubMed] [Google Scholar]
28. Menotti-Raymond M, David VA, Schaffer AA. Карта аутосомного генетического сцепления домашней кошки Felis silvestris catus . Геномика. 2008 [бесплатная статья PMC] [PubMed] [Google Scholar]
29. Менотти-Раймонд М., Декман К., Дэвид В. Мутация обнаружена в кошачьей модели врожденной слепоты сетчатки человека. Invest Ophthalmol Vis Sci. 2010;51:2852. [Бесплатная статья PMC] [PubMed] [Google Scholar]
30.
Murphy WJ, Davis B, David VA. Радиационно-гибридная карта генома кошки с разрешением 1,5 Мб и сравнительный анализ с геномами собак и человека. Геномика. 2006 [Бесплатная статья PMC] [PubMed] [Google Scholar]
31. Мерфи В.Дж., Менотти-Раймонд М., Лайонс Л.А. Разработка панели радиационного гибрида полного генома кошек и сравнительное картирование локусов хромосом 12 и 22 человека. Геномика. 1999;57:1. [PubMed] [Google Scholar]
32. Murphy WJ, Sun S, Chen Z. Радиационно-гибридная карта генома кошки: значение для сравнительного картирования. Геном Res. 2000;10:691. [Бесплатная статья PMC] [PubMed] [Google Scholar]
33. Murphy WJ, Sun S, Chen ZQ. Обширная консервация организации половых хромосом между кошкой и человеком, обнаруженная с помощью гибридного картирования с параллельным излучением. Геном Res. 1999;9:1223. [Бесплатная статья PMC] [PubMed] [Google Scholar]
34. Nash WG, O’Brien SJ. Консервативные области гомологичных G-полосатых хромосом между отрядами эволюции млекопитающих: плотоядные и приматы.
Proc Natl Acad Sci U S A. 1982; 79:6631. [Бесплатная статья PMC] [PubMed] [Google Scholar]
35. O’Brien SJ, Cevario SJ, Martenson JS. Сравнительное картирование генов домашней кошки (Felis catus) J Hered. 1997; 88:408. [PubMed] [Google Scholar]
36. O’Brien SJ, Haskins ME, Winkler CA. Хромосомное картирование бета-глобиновых и альбиносных локусов у домашней кошки. Консервативная группа хромосом млекопитающих. Дж. Херед. 1986;77:374. [PubMed] [Google Scholar]
37. O’Brien SJ, Nash WG. Генетическое картирование млекопитающих: хромосомная карта домашней кошки. Наука. 1982; 216:257. [PubMed] [Google Scholar]
38. O’Brien SJ, Wienberg J, Lyon LA. Сравнительная геномика: уроки кошек. Тенденции Жене. 1997;13:393. [PubMed] [Google Scholar]
39. Pedersen NC, Allen CE, Lyons LA. Патогенез кишечной коронавирусной инфекции кошек. J Feline Med Surg. 2008;10:529. [Бесплатная статья PMC] [PubMed] [Google Scholar]
40. Pedersen NC, Barlough JE.
Клинический обзор вируса иммунодефицита кошек. J Am Vet Med Assoc. 1991;199:1298. [PubMed] [Google Scholar]
41. Pontius JU, Mullikin JC, Smith DR. Исходная последовательность и сравнительный анализ генома кошки. Геном Res. 2007; 17:1675. [Бесплатная статья PMC] [PubMed] [Google Scholar]
42. Pyle RL, Patterson DF, Hare WC. Конституция половых хромосом XXY у гималайской кошки с черепаховыми отметинами. Дж. Херед. 1971;62:220. [PubMed] [Академия Google]
43. Рашид С., Гарднер М.Б. Выделение вируса кошачьего лейкоза из клеточной линии леопардовой кошки и поиск ретровируса у диких кошачьих. J Natl Cancer Inst. 1981;67:929. [PubMed] [Google Scholar]
44. Rettenberger G, Klett C, Zechner U. Анализ ZOO-FISH: кариотипы кошек и людей очень похожи на предполагаемый кариотип предков млекопитающих. Хромосомный Рез. 1995; 3:479. [PubMed] [Google Scholar]
45. Roca AL, Nash WG, Menninger JC. Инсерционные полиморфизмы эндогенных вирусов лейкемии кошек. Дж Вирол.
2005;79:3979. [Бесплатная статья PMC] [PubMed] [Google Scholar]
46. Roca AL, Pecon-Slattery J, O’Brien SJ. Геномно интактные эндогенные вирусы кошачьего лейкоза недавнего происхождения. Дж Вирол. 2004; 78:4370. [PMC free article] [PubMed] [Google Scholar]
47. Ronne M. Локализация ломких участков в кариотипе Felis catus . наследственность. 1995;122:279. [PubMed] [Google Scholar]
48. Ronne M, Storm CO. RBG-кариотип высокого разрешения Felis catus . В Виво. 1992;6:517. [PubMed] [Google Scholar]
49. Ronne M, Storm CO. Локализация ориентиров и полос в кариотипе Felis catus . Цитобиос. 1995;81:213. [PubMed] [Google Scholar]
50. Schlafer DH, Valentine B, Fahnestock G. Случай SRY — положительный 38,XY истинный гермафродитизм (изменение пола XY) у кошки. Вет Патол. 22 сентября 2010 г. [Epub перед печатью] [Бесплатная статья PMC] [PubMed] [Google Scholar]
51. Schmidt-Kuntzel A, Eizirik E, O’Brien SJ.
9Аллели 0011 тирозиназы и родственного тирозиназе белка 1 определяют фенотипы окраски шерсти домашних кошек локусов альбиносов и коричневых. Дж. Херед. 2005; 96:289. [PubMed] [Google Scholar]
52. Shibasaki Y, Flou S, Ronne M. R-диапазонный кариотип Felis catus . Цитобиос. 1987; 51:35. [PubMed] [Google Scholar]
53. Stanyon R, Yang F, Cavagna P. Реципрокная картина хромосом показывает, что геномная перестройка между крысой и мышью происходит в десять раз быстрее, чем между людьми и кошками. Цитогенет Клеточный Генет. 1999;84:150. [PubMed] [Google Scholar]
54. Thuline HC. Самец черепаховый, химеризм и истинный гермафродитизм. Джей Кэт Жене. 1964; 4:2. [Google Scholar]
55. Wienberg J, Stanyon R. Окраска хромосом у млекопитающих как подход к сравнительной геномике. Curr Opin Genet Dev. 1995; 5:792. [PubMed] [Google Scholar]
56. Wienberg J, Stanyon R, Nash WG. Сохранение организации генома человека по сравнению с кошачьей, выявленное с помощью реципрокной окраски хромосом.
Цитогенет Клеточный Генет. 1997;77:211. [PubMed] [Google Scholar]
57. Wurster-Hill DH, Centerwall WR. Взаимосвязь паттернов распределения хромосом у псовых, куньих, гиен и кошачьих. Цитогенет Клеточный Генет. 1982; 34:178. [PubMed] [Google Scholar]
58. Wurster-Hill DH, Doi T, Izawa M. Изучение полосатых хромосом кошки Iriomote. Дж. Херед. 1987; 78:105. [PubMed] [Google Scholar]
59. Wurster-Hill DH, Gray CW. Паттерны полос Гимзы в хромосомах двенадцати видов кошек (Felidae) Cytogenet Cell Genet. 1973;12:388. [PubMed] [Google Scholar]
60. Wurster-Hill DH, Gray CW. Взаимосвязь паттернов дискретизации хромосом у проционид, виверровых и кошачьих. Цитогенет Клеточный Генет. 1975; 15:306. [PubMed] [Google Scholar]
61. Ян Ф., Графодацкий А.С., О’Брайен П.С. Реципрокная картина хромосом проливает свет на историю эволюции геномов домашней кошки, собаки и человека. Хромосомный Рез. 2000;8:393. [PubMed] [Google Scholar]
62. Young AE, Biller DS, Herrgesell EJ.
Поликистоз почек у кошек связан с ПКД1 обл. Геном Мамм. 2005;16:59. [PubMed] [Google Scholar]
Сколько хромосом у кошек?
Область генетики — довольно новое дополнение к науке. Хотя мы давно знаем о доминантных и рецессивных признаках, передающихся от родителей к потомству, наиболее значительные изменения произошли только в течение последних нескольких столетий.
Хромосомы являются жизненно важным компонентом генетики. Эти структуры находятся в ядре клетки и состоят из ДНК, которая определяет, как будет развиваться каждое живое существо. Каждое растение и животное имеет совершенно разное количество хромосом. Итак, сколько хромосом у кошек? Кошки имеют 38 хромосом или 19 пар , но об исключении из этого правила мы поговорим ниже.
Как образуются хромосомы?
Все живые существа представляют собой набор клеток, каждая из которых имеет ядро. Ядро содержит хромосомы, которые составляют то, что мы есть, и защищает их.
Каждая клетка содержит ядро с хромосомами, поэтому по всему телу имеется множество копий.
Хромосомы имеют разную форму. Некоторые образуют букву «X», а другие образуют форму «V» или одну полосу. Независимо от формы хромосома построена из белков, окруженных ДНК.
Независимо от вида ДНК содержит гены, контролирующие развитие одного или нескольких признаков, которые передаются от родителя потомству. Вся эта информация распределяется между хромосомами, чтобы сформировать полный генетический состав.
Неполная или поврежденная хромосома может привести к генетическому заболеванию, такому как глухота, болезни накопления гликогена или кардиомиопатия у кошек.
Хромосомы обычно состоят из пар, которые включают информацию от матери и отца, образуя полный набор. И сперма, и яйцеклетка содержат половину генетического состава родителя, и когда они объединяются в хромосому, экспрессируются отдельные гены.
Идея доминантных и рецессивных генов заключается в том, что одна хромосома может «доминировать» над сопутствующим геном, благоприятствуя определенному генетическому признаку.
Рецессивный ген подавлен, и этот ген не будет выражен, но все же может быть передан потомству.
Генетика кошек
Как уже упоминалось, у кошек 38 хромосом в 19 парах. Одна пара определяет пол, который может быть либо X, либо Y. У женщин есть две Х-хромосомы, а у мужчин есть X и Y-хромосомы. Мать поставляет Х-хромосому, в то время как отец поставляет либо Х, либо Y, определяя пол будущего потомства.
После секса большая часть генетического состава кошки определяется оставшимися хромосомами. Если вы когда-нибудь задумывались, почему у кошек практически нет физических различий между самцом и самкой, то это потому, что так мало их ДНК определяет пол.
Все кошки, будь то ленивая домашняя кошка или бенгальский тигр, имеют сходные хромосомы, называемые кариотипами. Из-за этого сходства виды кошек можно успешно скрещивать. Некоторые примеры включают лигра или помесь льва и тигра, а также домашнюю бенгальскую кошку, помесь азиатского леопардового кота и домашней кошки.
Несмотря на успешное потомство, небольшие хромосомные различия могут привести к бесплодию среди потомства и более высокому риску врожденных дефектов.
Кошки против людей
Люди и кошки выглядят совершенно по-разному и имеют разный генетический состав. У людей 23 пары хромосом по сравнению с 19 у кошек. Люди и кошки произошли от общего предка более 100 миллионов лет назад, каждый из которых прошел свой уникальный путь эволюции.
Несмотря на это, у нас с кошками 90% ДНК совпадает. У нас общие половые хромосомы, и мы получаем X от наших матерей и X или Y от наших отцов. Многие из наших хромосом похожи или идентичны хромосомам кошек, что является полезным инструментом в области медицины для понимания болезней и лекарств.
Изображение предоставлено: ART STOCK CREATIVE, ShutterstockУникальная экспрессия генов у кошек
Большинство людей знают, что трехцветные кошки почти всегда самки, а рыжие кошки почти всегда самцы. Цвет кошачьего меха требует множества генов и хромосом, хотя основной цвет определяется геном в Х-хромосоме.
Самки кошек имеют две Х-хромосомы, что означает, что одна может иметь черный ген, а другая — оранжевый. Когда это происходит, оба гена экспрессируются и создают черно-оранжевый черепаховый или ситцевый рисунок.
Самцы кошек имеют только одну Х-хромосому, поэтому их гены не могут одновременно выражать черный и оранжевый цвета. И наоборот, это дает им преимущество благодаря яркой оранжевой шерсти, поэтому большинство оранжевых кошек — самцы. Самки могут быть оранжевыми только в том случае, если оба родителя внесли оранжевый ген.
Несмотря на все это, трехцветные кошки-самцы существуют. Однако эти кошки невероятно редки и произошли от мутации. Оранжевый ген является мутацией черного гена, поэтому ген изначально был черным. Находясь в утробе матери, кот с оранжевым геном может внезапно вернуться к черному гену. Поскольку развитие началось, части кошки останутся первоначальными оранжевыми, а остальные станут черными, придавая ей ситцевый рисунок.
Еще один, более редкий путь развития самцов коленкора — химеризм. Это редкое состояние возникает, когда две оплодотворенные яйцеклетки сливаются, образуя два набора уникальных ДНК в одном организме. Если оплодотворенные яйца происходят от черного самца и оранжевого самца, кошка может быть трехцветной. Однако у него по-прежнему будет два генетически различных состава ДНК.
- См. также: Можно ли генетически модифицировать кошек? Правда ли, что кошки светятся в темноте?
Белые кошки с голубыми глазами
Белые кошки с голубыми глазами прекрасны, но за эту красоту приходится платить. Согласно Полному руководству ASPCA для кошек, 17–20% белых кошек с неголубыми глазами глухие; 40% «разноглазых» белых кошек с одним голубым глазом глухие; 65–85% голубоглазых белых кошек глухие».
Эта врожденная глухота может коррелировать с геном KIT, который определяет, какая часть меха белая. Ген может проявляться у полностью белой кошки, кошки с белыми пятнами, кошки с белыми перчатками или кошки без белого цвета.