Отек легких у собак: симптомы, диагностика, лечение, восстановление
Содержание статьи
Всегда очень печально, когда кто-то болеет. Мы так привыкаем к своим домашним питомцам, что считаем их членами своей семьи, и болезнь собаки становится для нас причиной беспокойства и плохого настроения.
К сожалению, иногда заболевания животных бывают очень серьезными и даже угрожающими жизни питомца. К такому типу недугов относится отек легких у собак. Чтобы вовремя сориентироваться, не запустить это тяжелое состояние и тем самым спасти собаке жизнь, надо знать, что приводит к отеку, каковы его симптомы и что надо делать в этом случае.
Что такое отек легких?
Главный орган, отвечающие за дыхание — это легкие, состоящие из двух частей, которые поделены на маленькие «долечки» — сегменты. Сегменты, в свою очередь, образованы из легочных пузырьков или альвеол, со всех сторон окруженных тончайшими сосудиками — капиллярами.
Отек легких у собак происходит вследствие излишнего количества крови и плазмы в капиллярах и сосудах, в результате артериальное давление «выдавливает» из них экссудат, заполняющий альвеолы и проникающий в межтканевое пространство.
Процесс, при котором жидкость накапливается в легких, идет постепенно, снизу-вверх, что дает возможность уловить ухудшение состояния здоровья пса и вовремя оказать ему помощь.
Причины возникновения отека
Отек легких у собак может быть самостоятельным заболеванием, но может развиваться и на фоне каких-либо других патологий.
Причинами кардиогенного отека чаще всего являются болезни сердечно-сосудистой системы:
- различные пороки сердца;
- гипертоническая болезнь;
- ревматизм;
- ишемия;
- образование тромба в легочной артерии.
Некардиогенный отек может быть спровоцирован различными внешними воздействиями и заболеваниями, не имеющими отношение к недостаточности сердца:
- травмирование головы;
- новообразования, воспаления или разрыв сосудов в головном мозге;
- воспаление легких или сложная форма бронхита у собак;
- вдыхание газов или химических веществ;
- удушение из-за сдавливания дыхательных путей или из-за попадания в них постороннего предмета;
- стрессовое состояние;
- удар электрическим током;
- укус ядовитой змеи или насекомого;
- тепловой удар;
сильная аллергическая реакция.
Как мы видим, отек легких у собаки имеет самые разнообразные причины и может произойти, например, после пироплазмоза, которым пес заразился через укус клеща во время прогулки на улице. Поэтому за своим питомцем вы должны внимательно следить на прогулке и дома, чтобы он не перегрелся, не лез в опасные места, вовремя делать ему все необходимые прививки и пользоваться защитными средствами от укусов опасных насекомых.
Проявления отека легких
Отек легких имеет разные симптомы, и может протекать у собаки, как в острой форме, так и достаточно медленно. Если вы заметите у своего любимца какие-то из нижеперечисленных признаков, то немедленно обращайтесь к ветеринару, так как счет может идти на часы:
- Апатичное и угнетенное состояние, при котором животное не реагирует на ласку, любимую еду.
- Возникновение одышки, сопровождающейся нетипичным поведением собаки — она вытягивает голову, максимально раздвигает передние лапы и при этом может дышать с открытой пастью.

- Частое, неглубокое дыхание, при котором видно, что собака «дышит животом».
- Сухой, отрывистый кашель.
- Бледная или синюшная окраска слизистых оболочек, вызванная недостатком кислорода.
- Вытекание из ноздрей и пасти жидкости или пены, иногда с примесью крови.
- Снижение температуры тела.
Как мы видим симптомы сами по себе достаточно тревожные и приносят собаке страдания, а не вовремя оказанная помощь может привести к трагическому исходу.
Как вести себя при появлении симптомов отека?
Во-первых, успокойтесь сами и постарайтесь успокоить собаку, так как волнение будет только усугублять ее и без того тяжелое состояние. После этого немедленно отправляйтесь в ветеринарную клинику.
В машине собаку надо устроить так, как ей будет удобно, придерживая, чтобы она не пострадала при движении. При этом необходимо продолжать успокаивать животное, вытирать слизь и пену, если они выделяются, и постоянно проветривать салон автомобиля.
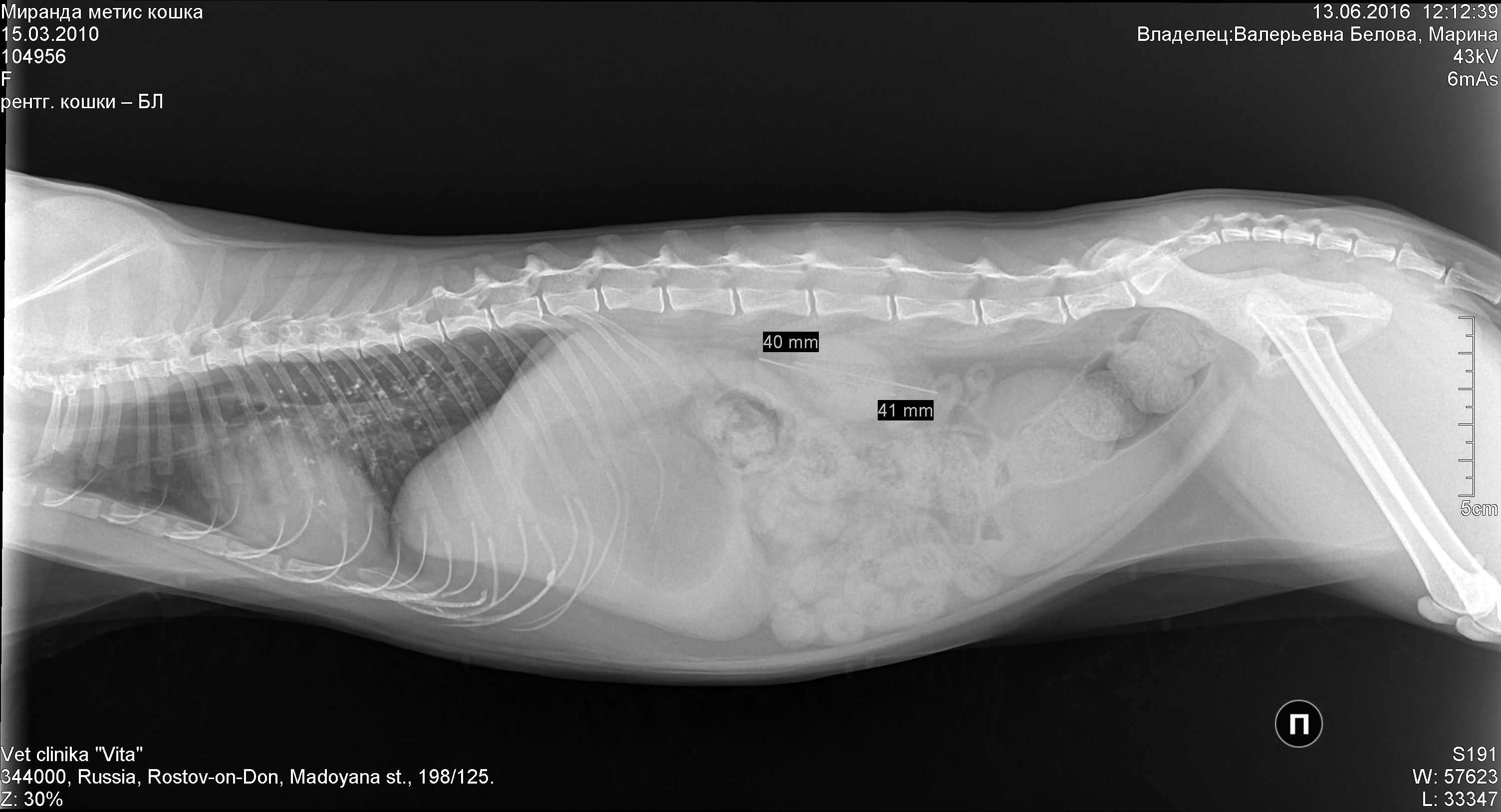
В клинике собаке сделают рентген, который подтвердит или опровергнет отек легких, а также проведут осмотр собаки, прослушают ее и выполнят ряд лабораторных исследований.
Когда будет ясен диагноз, то вашему питомцу окажут первую помощь и будут искать причину, вызвавшую отек легких. Возможно, пес проведет несколько дней в ветклинике, где ему будут проводить кислородные ингаляции, и он будет находиться под круглосуточным наблюдением.
Лечение
Устранив самые тяжелые симптомы и, поставив диагноз, ветеринар назначит лечение для вашей собаки. Если причинами отека легких стали проблемы с сердцем, то тактика лечения будет следующей:
- Устранение отеков, путем внутривенного введения или перорального приема мочегонных средств.
- Инъекции препаратов для стимуляции работы сердца.
- Кровопускание.
- Прием стероидных препаратов.
Прием седативных препаратов при чрезмерной нервной возбудимости собаки.- Облегчение кашля при помощи отхаркивающих средств.

Чтобы вылечить пневмонию, которая послужила причиной отека легких, ветеринар назначает курс антибиотиков.
После проведения экстренных мероприятий лечение может быть продолжено дома, но для собаки необходимо будет создать определенные условия, чтобы полностью вылечить вашего питомца.
Восстановительные меры и профилактика заболевания
В помещении, где живет пес, должен быть прохладный чистый воздух, а для отдыха собаки нужна не слишком мягкая гипоаллергенная подстилка. Физические и моральные нагрузки нужно уменьшить, то есть, если это охотничий или гончий пес, то нужно значительно ограничить его активность, а для остальных пород немного уменьшить продолжительность и интенсивность прогулок.
Очень важно строго придерживаться диеты режима питания и питья, назначенного ветеринаром. Так же нужно, чтобы ваш любимец не подвергался стрессам в процессе выздоровления, поэтому постарайтесь на него не ругаться и больше общайтесь с ним.
Чтобы избежать у собаки такого грозного недуга, как отек легких, обеспечьте ей надлежащий уход и хорошее помещение для жилья, равномерно чередуйте нагрузки и отдых, соблюдайте график прививок и вовремя лечите появившиеся заболевания, и все это станет хорошей профилактикой возникновения данной болезни.
Запомните — быстрое обращение к ветеринару при первых появлениях одышки, кашля или нетипичного дыхания собаки, является гарантией того, что ваш любимец выживет, поправится, и по-прежнему будет радовать всю вашу семью!
Авторы статей: коллектив клиники Беланта
Отек легких у собак: симптомы и терапия
В этой статье AnimalPedia мы поговорим об отеке легких у собак , так как это проблема, которая может привести к летальному исходу и которая ставит под угрозу здоровье нашего лучшего друга. Мы также расскажем о причинах, которые могут его вызвать и от которых будет зависеть лечение, а также о синонимах, на которые нужно обратить внимание, чтобы выявить это заболевание. Наконец, мы расскажем о профилактических методах и лечении, которые потребуются собаке.
- Что такое отек легких?
- Отек легких у собак: причины
- Отек легких у собак: симптомы
- Отек легких у собак: диагностика и лечение
- Отек легких у собак: профилактика
- Отек легких у собак: можно ли его вылечить?
Что такое отек легких?
Отек легких у собак образуется в результате накопления жидкости в легких.
Эта жидкость в большей или меньшей степени мешает дыханию собаки. Это заболевание может проявляться как легкими симптомами, которые почти не мешают жизни собаки, так и гораздо более серьезными и опасными для ее здоровья. Можно также провести различие между отеком легких, который проявляется в острой форме , и другими, которые становятся хроническими , такими как кардиогенный отек , который возникает из-за проблем с сердцем. При отеке легких собака может кричать. Поэтому необходимо уточнить, что это не патология сама по себе, а симптом другого типа изменений.
Отек легких у собак: причины
В основном можно выделить три типа отека легких у собак: кардиогенный отек, некардиогенный отек и, наконец, неврологический отек, который встречается реже.
Кардиогенный отек легких у собак — это отек, который возникает в результате заболевания сердца . При проблемах с сердцем могут возникать кровоизлияния в легкие, печень и конечности. Этот обратный ток повышает сосудистое давление, что, в свою очередь, вызывает утечку жидкости в легкие или брюшную полость.
При наличии жидкости в легких собака кашляет. Итак, отек легких указывает на проблемы в левых отделах сердца. И наоборот, когда поражение происходит с правой стороны, жидкость скапливается в брюшной полости, вызывая асцит или отек ног, а также в грудной полости — явление, известное как плевральное кровоизлияние. Если жидкость скапливается в бронхиолах легких, собака может отхаркивать пенистую, красноватую жидкость. У собак с таким симптомом обычно наблюдается кардиомегалия (увеличение объема сердца) и отек легких.
Некардиогенный отек легких — это отек, который не связан с болезнью сердца. Некоторыми причинами могут быть асфиксия, септицемия, панкреатит, травма, пневмония, интоксикация и вдыхание дыма.
Наконец, неврологический отек легких — это тот, при котором возникают судорожные приступы, в которые вовлекается нервная система , а именно та ее часть, которая действует на непроизвольные функции внутренних органов. В этих случаях происходит излишнее увеличение притока крови к легким, что приводит к образованию избыточной жидкости.
Отек легких у собак: симптомы
Симптомы отека легких у собак следующие:
- Одышка или тахипноэ
- Затрудненное дыхание или диспноэ
- Слабость
- Нервозность
- Странные положения из-за воздушного поиска
- Выделения из носа или носовое кровотечение
- Сухой или даже постоянный и маслянистый кашель
- В тяжелых случаях слизистые оболочки собаки могут стать цианотичными из-за недостатка кислорода
В случае, если вы заметили один или несколько симптомов, вам следует быстро отвезти собаку к ветеринару для подтверждения или исключения диагноза.
Отек легких у собак: диагностика и лечение
Для диагностики отека легких у собак используются такие методы, как аускультация, рентгенография грудной клетки или ультразвуковое исследование, также требуется анализ крови. Электрокардиограмма, анализ мочи и измерение кровяного давления — другие важные тесты, позволяющие выяснить, есть ли у вашей собаки отек легких.
В тяжелых случаях необходимо быть осторожным, прикасаясь к животному , поскольку мы можем ухудшить ситуацию и усугубить респираторный кризис.
Как лечить отек легких у собак
Для того чтобы назначить соответствующее лечение, ветеринар должен определить основную причину. Если это экстренная ситуация, собаке дадут кислород, а в некоторых случаях могут дать успокоительное и мочегонное средство, чтобы вывести лишнюю жидкость, не вызывая обезвоживания. Собака также должна получать жидкостную терапию. Другие препараты, которые могут использоваться в лечении, — это сосудорасширяющие и гипертензивные средства. Собака должна оставаться под наблюдением, чтобы контролировать количество мочи и функцию сердца и почек (проблемы с почками часто связаны с проблемами с сердцем).
Отек легких у собак: профилактика
Отек легких у собак в острой форме может быть опасен для жизни собаки , поэтому необходимо быстро доставить собаку к ветеринару, чтобы спасти ее. Кардиогенный отек может быть причиной слабых симптомов сердечных заболеваний.
- Следуйте лечению, назначенному ветеринаром, особенно обращая внимание на дозировку лекарств и время приема.
- Избегайте интенсивных физических упражнений для вашей собаки.
- Соблюдайте специальную диету для собак с проблемами сердца.
- Всегда давайте собаке много воды, так как при приеме диуретиков у нее может наступить обезвоживание.
- Имейте в виду, что после приема диуретиков у вашей собаки будет выделяться значительное количество мочи.
Отек легких у собак: можно ли его вылечить?
Наиболее тяжелые случаи отека легких у собак могут привести к смерти животного из-за проблем с оксигенацией. И наоборот, при кардиогенном отеке легких собака может » жить с » годами при условии надлежащего ветеринарного контроля. Одним словом, продолжительность жизни собаки зависит от причин, вызвавших отек легких у собаки.
Данная статья носит исключительно информационный характер, мы в AnimalPedia не имеем права назначать ветеринарное лечение или ставить какой-либо диагноз.
Мы рекомендуем вам отвести животное к ветеринару, если оно испытывает какой-либо дискомфорт или неприятные ощущения.
Если вы хотите прочитать другие статьи, похожие на Отек легких у собак: симптомы и лечение , рекомендуем вам посетить нашу категорию Другие проблемы со здоровьем.
Отек легких у собак — симптомы, причины, диагностика, лечение, выздоровление, лечение, стоимость
Что такое отек легких?
Животные, страдающие этим заболеванием, могут проявлять такие признаки, как затрудненное дыхание или дыхание с открытым ртом, нерешительность лечь или предпочитать лежать на груди. При аускультации грудной клетки можно услышать хрипы или хрипы. Отек легких может быть вызван многими различными состояниями, такими как обструкция верхних дыхательных путей, аллергические реакции, травма головы, или может возникать наряду с нарушением кровообращения.
Отек легких представляет собой накопление аномального количества жидкости в легочной ткани, дыхательных путях или воздушных мешочках. Это состояние обычно делят на кардиогенную и некардиогенную формы и могут быть клинически незначимыми или опасными для жизни.
Симптомы отека легких у собак
- Учащенное дыхание или респираторный дистресс
- Острый дистресс
- Вздутие яремной вены
- Сердечные аномалии, такие как шум или аритмия
- Слабый пульс
- Хрипы в грудной клетке
- Ожоги рта при поражении электрическим током
- Громкое или затрудненное дыхание
- Лихорадка
- Кашель
- Цианоз
Top
Причины отека легких у собак
Факторы риска для этого состояния включают:
- Хронические болезни сердца
- Плохая диета с высоким содержанием натрия
- Лечение чрезмерной инфузионной терапией
- Ожирение
- Кардиогенный отек легких вызывается повышением гидростатического давления в легочных капиллярах вследствие сердечной недостаточности с левой стороны; это часто вызвано хроническими состояниями, такими как дилатационная кардиомиопатия
- Некардиогенный отек легких обусловлен повышением проницаемости альвеолярно-капиллярного барьера; эта форма может быть вызвана фоновыми состояниями, такими как сепсис, тяжелая неврологическая стимуляция или поражение электрическим током
Диагностика отека легких у собак
Ветеринар проведет полное медицинское обследование, стараясь не подвергать собаку стрессу, особенно если у нее возникла одышка.
Если вашему питомцу требуется немедленная оксигенотерапия, может потребоваться поэтапное физикальное обследование с подачей кислорода между обследованиями. Ваш ветеринар будет слушать дыхание вашего питомца с помощью стетоскопа; при отеке легких можно услышать характерный треск. Слизистые оболочки вашего питомца будут исследованы на наличие признаков ожогов, которые могут указывать на ожоги от электрического шнура.
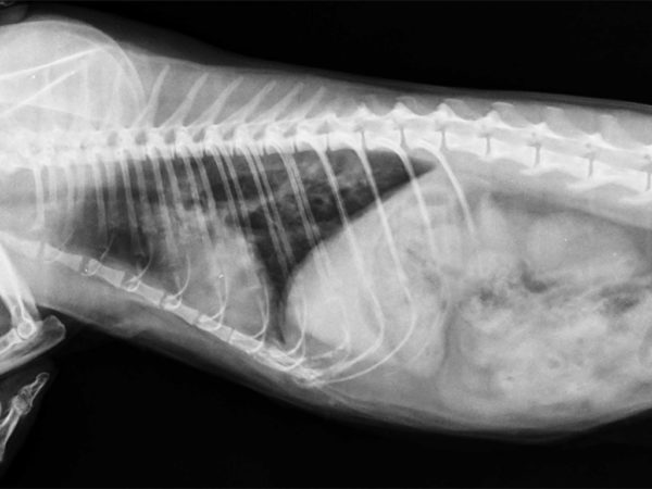
Если состояние вашего питомца стабильное, можно выполнить рентгенографию грудной клетки, положив собаку на спину. На этой рентгенограмме могут быть признаки отека легких, такие как повышенная интерстициальная или альвеолярная непрозрачность. У собак, страдающих кардиогенным отеком легких, также могут наблюдаться кардиомегалия и расширенные легочные вены.
Давление заклинивания в легочных капиллярах также можно измерить, чтобы определить, является ли причина кардиогенной или некардиогенной.
Это измеряется путем введения катетера с баллоном через яремную вену и сердце в легочную артерию. Затем баллон надувают и проводят измерения, пока он находится на месте. ДКВД, превышающее 18 мм рт. ст., считается диагностическим признаком сердечной дисфункции. Отечная жидкость также может быть протестирована для измерения содержания белка, поскольку кардиогенная отечная жидкость имеет низкий уровень, в то время как некардиогенная содержит высокие уровни, однако это часто невозможно, если животное не интубировано или не отхаркивает жидкость от кашля.
Другие диагностические тесты, которые могут быть выполнены для определения основной причины состояния, включают полный анализ крови, анализ мочи, биохимический анализ сыворотки и анализ газов крови, а также полное неврологическое обследование.
Top
Лечение отека легких у собак
Если ваш питомец страдает от дыхательной недостаточности, может потребоваться оксигенотерапия.
Это может быть сделано с помощью маски, подачи кислорода или помещения вашего питомца в кислородную клетку. В некоторых случаях через полость носа может быть введена назальная трубка.
Если у вашего питомца тяжелая дыхательная недостаточность, ему может потребоваться седация, интубация эндотрахеальной трубкой и вентиляция с положительным давлением.
В случаях кардиогенного отека легких также можно назначать диуретики и сосудорасширяющие средства. Ваш ветеринар будет использовать эту терапию с особой осторожностью, и ваш питомец будет тщательно контролироваться на предмет признаков гипотонии. Если у вашего питомца тахиаритмия (аномальный сердечный ритм), может быть назначена антиаритмическая терапия.
Для животных, страдающих некардиогенным отеком легких, лечение может включать противовоспалительные и диуретики.
В зависимости от основной причины, отдых в хорошо насыщенном кислородом месте может быть достаточным лечением. Вашему питомцу может потребоваться седация опиоидами для поддержки дыхания и снижения стресса.
Top
Беспокоитесь о стоимости лечения отека легких?
Страхование домашних животных покрывает стоимость многих распространенных заболеваний домашних животных. Подготовьтесь к неожиданностям, получив предложение от лучших поставщиков страховых услуг для домашних животных.
Узнать цену
Восстановление отека легких у собак
Прогноз при некардиогенном отеке варьируется от хорошего до серьезного, в то время как прогноз при кардиогенном отеке может быть осторожным, а выжившим животным требуется пожизненная кардиотерапия.
В обоих случаях животное должно находиться под тщательным наблюдением во время восстановления его частоты дыхания и усилия, частоты сердечных сокращений, температуры и насыщения кислородом. Вашему питомцу следует предлагать очень вкусную пищу и максимально утешать его, чтобы уменьшить стресс. Если возможно, держитесь подальше от других животных и принесите из дома предметы, например постельное белье, чтобы обеспечить комфорт.
Если ваш питомец лежит лежа, убедитесь, что ему предоставлена мягкая впитывающая подстилка, которую часто меняют, и его регулярно переворачивают, чтобы предотвратить ожоги мочой или образование пролежней.
Top
Отек легких у собак
Отек легких , обычно называемый жидкостью в легких , часто вызывается пневмонией , но имеет несколько других причин.
В этом состоянии крошечные воздушные мешочки ( альвеол ) внутри легких наполняются жидкостью, что затрудняет выполнение легкими функции вдоха 9.0099 кислород и выдыхая углекислый газ .
Общие симптомы отека легких включают кашель , затрудненное дыхание , хрипы или шумное дыхание , слабость и синеватый язык или губы . В зависимости от основной причины состояние может возникать быстро или развиваться медленно как часть другого хронического заболевания. В то время как жидкость в легких может быть легкой, управляемой проблемой для здоровья, тяжелые случаи опасно для жизни , и любой собаке с затрудненным дыханием требуется немедленная ветеринарная помощь .
Что такое отек легких?
Отек легких не является заболеванием или состоянием, которое возникает само по себе, а скорее является признаком основной проблемы, которая вызывает утечку жидкости из кровеносных сосудов вокруг и внутри легких.
Затем эта жидкость накапливается в крошечных воздушных мешочках в легких, которые осуществляют газообмен. Жидкость уменьшает объем пространства в альвеолах, поэтому животное не может втягивать столько воздуха, и ухудшает способность альвеол осуществлять газообмен, поэтому легкие пораженной собаки не могут эффективно обменивать углекислый газ на свежий кислород.
Отек легких обычно подразделяют на две категории в зависимости от основной причины: кардиогенный отек легких, вызванный проблемами с сердцем, и некардиогенный отек легких, причина которого не связана с болезнью сердца.
Симптомы отека легких у собак
В зависимости от первопричины отека легких симптомы могут различаться и могут возникать внезапно или нарастать медленно с течением времени. Ниже приведены наиболее распространенные симптомы, на которые следует обратить внимание.
Симптомы
- Кашель
- Одышка или учащенное дыхание
- Свистящее или шумное дыхание
- Летаргия
- Слабость
- Потеря веса
- Вздутие яремной вены сбоку на шее
- Голубоватые губы и язык
- Свернуть
Когда отек легких развивается медленно, симптомы вначале могут быть малозаметными.
Вы можете просто заметить, что ваша собака кажется менее активной, чем обычно, и дышит тяжелее, чем можно было бы ожидать. Или у вашей собаки может быть постоянный кашель. Однако в более тяжелых случаях ваша собака будет заметно работать над дыханием. Он будет тяжело дышать, и вы можете увидеть, как бока собаки двигаются вперед и назад с каждым вдохом.
Собаки с затяжным отеком легких часто теряют вес из-за отсутствия аппетита и общего плохого самочувствия. У вашей собаки будет мало энергии для обычных занятий, таких как игры или прогулки.
Тяжелый отек легких значительно снижает способность легких доставлять кислород в организм собаки. Если уровень кислорода в крови падает до опасного уровня, вы можете заметить, что язык и десны вашей собаки приобретают синеватый цвет. Это называется цианозом и требует экстренного вызова ветеринара.
Что вызывает отек легких?
Различают две основные категории отека легких: кардиогенный и некардиогенный.
Кардиогенный отек легких
Кардиогенный означает исходящий от сердца.
При этом типе отека легких у собаки имеется основное заболевание сердца, вызвавшее левостороннюю сердечную недостаточность. Сердечная недостаточность увеличивает давление в капиллярах (крошечных кровеносных сосудах) в легких собаки, вызывая утечку жидкости из капилляров, которая медленно накапливается в воздушных мешочках легких.
Общие сердечные заболевания, которые приводят к отеку легких у собак, включают дилатационную кардиомиопатию, которая представляет собой увеличенное сердце, гипертрофическую кардиомиопатию, что означает, что стенки сердца толще, чем обычно, и дефекты митрального клапана внутри сердца. Обычно отек легких, вызванный болезнью сердца, развивается медленно.
Некардиогенный отек легких
Некардиогенный отек легких, что неудивительно, означает отек, вызванный фоновыми состояниями, не связанными с сердцем. При этих типах отека легких не высокое давление в капиллярах вызывает утечку жидкости, а изменение нормальной проницаемости кровеносных сосудов, которое позволяет жидкости вытекать и заполнять альвеолы.
Существует довольно много некардиогенных причин отека легких, хотя наиболее распространенной является пневмония. Другие причины включают рак, недостаток белка в крови, анемию, почти утопление, поражение электрическим током, змеиный яд, вдыхание дыма, обструкцию дыхательных путей и сердечных червей. Как правило, этот тип отека легких возникает внезапно.
Как ветеринары диагностируют отек легких у собак?
Рентгеновские снимки являются основным инструментом для диагностики отека легких, поскольку они выявляют жидкость внутри легких собаки. Рентген также может выявить увеличенное сердце или другие аномалии сердечной мышцы.
Ваш ветеринар также прослушает легкие и сердце вашей собаки с помощью стетоскопа. Нередко при отеке легких выслушиваются характерные хрипы в легких. При кардиогенном отеке легких тоны сердца также часто бывают ненормальными.
Как правило, ваш ветеринар проведет анализы крови, чтобы оценить общее состояние здоровья вашей собаки, и может провести определенные анализы крови, чтобы исключить или диагностировать различные основные состояния здоровья, которые могли вызвать отек легких.
Также будет проведен полный медицинский осмотр.
Лечение и профилактика
Лечение отека легких в некоторой степени зависит от основной причины, но, как правило, любой собаке с респираторным дистресс-синдромом немедленно дают дополнительный кислород через маску.
Если установлено, что причина отеков кардиогенная, будут назначены диуретики – препараты, способствующие уменьшению избыточной жидкости в организме. Фуросемид является наиболее распространенным мочегонным средством, используемым для этой цели у собак. Также часто назначают сосудорасширяющие средства, такие как нитроглицерин. Эти препараты помогают открывать кровеносные сосуды, тем самым уменьшая работу, необходимую сердцу для перекачивания крови. Возможно, вашей собаке придется принимать эти лекарства в течение длительного времени, возможно, до конца жизни. Наряду с лекарствами обычно рекомендуют отдых и диету с низким содержанием натрия.
Если отек некардиогенный, лечение может сильно различаться в зависимости от причины.
Часто назначают диуретики, а также противовоспалительные средства. При обструкции дыхательных путей может потребоваться немедленная операция или эндоскопия, тогда как при пневмонии требуются антибиотики. Если отек вызван несчастным случаем, таким как почти утопление, поражение электрическим током или отравление дымом, лечение в основном состоит в том, чтобы дать собаке отдохнуть, получая дополнительный кислород.
В зависимости от причины отека и состояния вашей собаки, животному может потребоваться остаться в ветеринарной больнице для наблюдения и длительного лечения, или вы можете забрать своего питомца домой в тот же день вместе с прописанными лекарствами.
Поскольку отек легких имеет много причин, большинство из которых трудно предсказать или предотвратить, это состояние нелегко предотвратить, кроме как поддерживать здоровье вашего питомца и регулярно посещать ветеринара для осмотров, которые могут выявить проблемы со здоровьем до того, как они станут серьезными.
Прогноз для собак с отеком легких
Трудно обобщать прогноз для собак с отеком легких, потому что причин очень много.![]()


