Мочекаменная болезнь у котов: причины, симптомы, лечение
У домашних питомцев нередко возникают различные заболевания мочеполовой сферы и мочекаменная болезнь — одна из них. При этой патологии появляется песок и камни, локализация может быть различной, как и величина, а также структура образований. Носит хронический характер, требует комплексного лечения для поддержания здоровья кошки.
Особенности течения заболевания
Камни образуются в результате отклонений внутренней среды от нормы. При рН мочи большой кислотности и слишком высоком содержании кальция образуются рыхлые оксалаты. У них пористая структура и острые края. При ощелачивании — струвиты. Предпосылки к их образованию. — избыток в корме фосфора и магния. В обоих случаях нарушение имеет хронический характер, лечится консервативным и хирургических путем, требует постоянного наблюдения и коррекции терапии питомца для обеспечения его хорошего самочувствия.
Обострение
На ранних стадиях МКБ явных симптомов нет до момента, пока камни и песок не придут в движение.
Причины развития мочекаменной болезни
Выделить единую причину практические невозможно. Специалисты склоняются к тому, что болезнь провоцирует совокупность факторов. Часть из них относится к внешним:
- Несбалансированное питание, перекосы в сторону недостатка или переизбытка витаминов и микроэлементов ведет к нарушению состава мочи и как следствие, образованию камней. К такому же результату приводят некоторые корма эконом класса, в которых преобладают красители, стабилизаторы, усилители вкуса, крахмалистые соединения вместо полноценного мяса и субпродуктов.

- Нарушение питьевого режима и плохое качество воды одинаково пагубно действует на организм и человека, и животного. Если есть подозрения или подтвержденные факты о том, что обнаружены сторонние органические и неорганические примеси, не стоит рисковать здоровьем питомца. Вода дается фильтрованная и четко отслеживается уровень ее свежести.
- Климатические особенности также влияют на самочувствие. Если долго держится жара, то питомца нужно поить чаще, иначе выделения уменьшаются в объеме, но становятся более концентрированными, что повышает риск образования песка и камней.
- При недостатке витамина А снижается общая сопротивляемость организма и увеличивается период регенерации клеток.
Помимо внешних условий существуют и внутренние предпосылки для развития МКБ. Даже при самом высоком уровне заботы и ухода возможно развитие патологии, если есть наследственная предрасположенность, хронические заболевания, очаги воспаления, врожденные нарушения в развитии мочеполовой системы.
Кто находится в группе риска
Замечены некоторые закономерности развития МКБ. Так, диагноз ставится чаще животным, живущим в жарком климате или в квартире с интенсивным отоплением. При повышенной температуре образование камней ускоряется на фоне более концентрированного состава мочи. Также склонность к МКБ наблюдается у длинношерстных особей на 4-6 году жизни, у кастрированных котов и нестерилизованных кошек. Генетическая склонность к уролитиазу проявляется у представителей персидской, бирманской, сиамской пород и мейн-кунов.
Насколько кастрация влияет на МКБ
Прямой взаимосвязи не найдено. Существует ряд предрасположенностей.
Так, кастрированный кот более спокоен, он больше есть и меньше двигается, что создает риск набора лишнего веса, если вовремя не скорректировать рацион и величину порций. При этом недостаток активности провоцирует застои в работе выделительной системы.
Важно: меняется гормональный фон, что тоже может ускорить развитие патологии. Но это не обязательно. По статистика, кошки страдают от данной патологии реже, но ни одно животное не застраховано от формирования песка и камней в мочеполовой системе.
Этапы развития МКБ
Симптоматика меняется в зависимости от стадии заболевания. Стоит учесть, что ранняя диагностика затруднена из-за бессимптомного протекания болезни и владелец может даже не связывать изменения в поведении с развитием патологии. Так, можно удивляться и негодовать, почему прежде аккуратный питомец начал справлять нужду не в лотке, а в любой точке дома. При этом поза становится напряженной, из-за боли кошка мяукает, а потом долго вылизывается.
Следующая стадия заболевания называется острой. В этот период наблюдается:
- недержание мочи;
- мокрые пятна на месте отдыха;
- характерная поза для облегчения боли;
- темный цвет мочи с капельками крови и резкий запах;
- подавленное состояние;
- уплотнение нижней части живота;
- сильная потеря в весе.
Кот демонстрирует беспокойство при движении песка по каналу, в отдельных случаях наблюдается гипертермия.
Самую тяжелую стадию можно определить по отсутствию мочи. При этом позывы сохраняются, но сходить в лоток животное не в состоянии. Застой жидкостей вызывает внутреннюю интоксикацию.
Диагностика
Звери разговаривать не умеют и вся надежда при заболевании на наблюдательность владельца, неравнодушного к состоянию питомца. Именно с его слов составляется карта здоровья и от того, насколько точно описаны симптомы и сроки развития недомогания, будет зависеть успех лечения. Чтобы оперативно и на ранней стадии выявить патологию, обращаться к ветеринару нужно при первых же тревожных признаках. Для постановки или уточнения диагноза используют:
- УЗИ;
- рентгенографию;
- анализ осадка, полученного при выделениях.
Это позволит определить причину МКБ, тип и стадию заболевания, разработать индивидуальную схему лечения.
Очень важно получить информацию о виде солевых кристаллов. Тогда можно скорректировать рацион таким образом, чтобы снизить риск обострения и поддерживать состояние питомца. Для проведения исследования применяют такие методы как световая микроскопия, Xray-дифракция. Многое удается выяснить по общему анализу крови. Желательно также перед визитом к специалисту записать все нюансы кормления, условия содержания, особенности поведения питомца, указывающие на ухудшение его здоровья и обозначить их примерные сроки.
Лечение
Оставлять животное без помощи нельзя, нарушение развивается быстро, переходя в тяжелую хроническую стадию. Чтобы сохранить его жизнь и здоровье, обеспечить годы активности без боли, нужно настроиться на длительный комплекс мероприятий. Начинается все с обеспечения проходимости мочеточника под местной или общей анестезией. Вычищается песок и удаляются жесткие кристаллы. Затем просвет уретры промывается антисептиком.
Консервативный метод направлен на растворение камней и вывод песка естественным способом.
Лазерная терапия относится к современным методам избавления от камней. Они дробятся и выводятся из организма кошки. Если вид кристалла не позволяет сделать это без вреда для внутренней системы, то без операции не обойтись.
Лекарственная терапия
Показана на начальной стадии. Назначаются:
- диуретики;
- спазмолитики;
- курс антибиотиков;
- препараты для восстановления кислотно-щелочного баланса.
По симптоматике могут быть добавлены и другие медикаментозные средства. Для устранения продуктов распада используют катетер. Его устанавливают на несколько часов, в сложных ситуациях для очищения потребуется 2-3 дня.
Операционное лечение
При обнаружении крупных камней, не поддающихся дроблению, назначают уретростомию.
Это формирование отверстия в уретре, достаточного для вывода кристаллов. Существует еще цистотомия, при которой вскрывается мочевой пузырь и новообразования удаляются напрямую. Процедура сложная, применяется в крайнем случае.
Очень важно определить причину формирования конгломератов. Для того проводится их детальный анализ и на основании результатов составляется список рекомендаций для владельца по кормлению, организации оптимальных условий, чтобы избежать повторного обострения. Нужно понимать, что угроза рецидива сохранится на весь период жизни питомца, поэтому требуется придерживаться разработанной схемы в деталях.
Народные рецепты
Полагаться только на них опрометчиво. Для чистоты картины их вообще не рекомендуется применять до обследования. Позже допускается их использование в составе комплексной терапии под наблюдением специалиста. Самолечение исключено, оно может вызвать непредсказуемые осложнения.
Рацион в реабилитационный период
Пищевой режим будет зависеть от характера камней.
Не важно, сухой корм или домашнее питание у кота, принципы будут одинаковыми. При оксалатном варианте важно поддерживать уровень pH в моче в пределах 6.8 — 7.2. Определение струвитов требует снижения количества магния. О сухих кормах
эконом класса придется забыть, интересы лежат в области холистиков премиум класса. Ветеринары советуют при оксалатах Роял Каннин Urinary S/O LP34 и ему подобные корма того же уровня. При струвитах — Purina Pro Plan Veterinary Diets UR и тому подобные варианты. Более точно подобрать вид поможет специалист с учетом вкусов домашнего любимца. Если в приоритете домашнее питание, то нужно составлять меню, опираясь на детально разработанные рекомендации ветеринара, приобретать только качественное мясо и субпродукты, не готовить сразу на несколько дней, а обеспечивать питомцу свежую порцию.
Стоит учесть, что при кормлении натуралкой необходимо добавить витамины А и В, при оксалатах сделать упор на морковь, вареные яйца, белую свеклу, а при струвитах на сыр, творог, мясо, рис.
В любом случае из рациона, даже в виде лакомства, полностью убираются:
- кислые, жирные, острые продукты;
- свинина с сальной прослойкой;
- курица;
- колбасные изделия;
- консервы;
- субпродукты.
Для восстановления нормальной циркуляции жидкостей обеспечивается беспрепятственный доступ к воде. Желательно миски для кормления и поилку поставить в разных точках. После операции у кота наблюдается стресс, поэтому не стоит резко менять рацион, место для кормления. А вот лоток желательно поставить новый. Старый подсознательно вызывает воспоминание о боли и животное может отказываться от его посещения.
Профилактические меры
Важно не только прооперировать питомца, но и выходить его после хирургического вмешательства, а также выстроить его жизнь таким образом, чтобы не допустить повторного рецидива. Для этого необходимо:
- питание, подобранное по показаниям, индивидуально;
- контроль веса и уровня активности;
- обеспечение доступа к воде, бутилированной или отфильтрованной, о влаге из-под крана придется забыть;
- пристальное наблюдение за частотой посещение лотка и поведением животного при мочеиспускании;
- контрольный осмотр ветеринара с проведением базовых анализов и УЗИ.

Желательно не допускать перегрева и переохлаждения кота, фитосборы применять можно, они улучшают диурез, но перед их использованием необходимо получить консультацию врача ветеринарной клиники.
При своевременно проведенном лечении и соблюдении рекомендаций по уходу и кормлению питомца в дальнейшем, прогноз по МКб благоприятный.
Мочекаменная болезнь (МКБ) у кошки: симптомы и лечение — Royal Canin
Мочекаменная болезнь (МКБ) у кошек — распространенное заболевание, о котором наслышано большинство владельцев. И питание — один из основополагающих факторов профилактики и успешного лечения. В этой статье расскажем про развитие этой патологии, виды камней, симптомы, а также про кормление и лечение мочекаменной болезни у котов и кошек.
Мочекаменная болезнь у котов и кошек: причины
Мочекаменная болезнь — это формирование в мочевыделительной системе конкрементов (камней) по причине целого ряда предрасполагающих факторов.
В зависимости от локализации выделяют нефролитиаз (камни в почках), уретеролитиаз (камни в мочевыводящих путях, в частности, в мочеточниках), цистолитиаз (камни в мочевом пузыре).
Причин развития МКБ у кошек может быть несколько, вот самые распространенные из них:
- Несбалансированное питание — получение с пищей слишком большого количества предшественников камней (например, минералов), которые, попадая в мочу, увеличивают ее концентрацию;
- Избыточный вес или ожирение — увеличение веса является следствием неправильного питания и малоподвижного образа жизни. У животного с ожирением нарушается обмен веществ. Кроме того, питомец с лишним весом может полениться дойти до миски с водой и из-за этого не получить ее в достаточном количестве;
- Недостаточное потребление воды или потребление воды, насыщенной солями (например, из-под крана) — из-за недостатка жидкости моча становится более концентрированной, а песок, встречающийся у многих животных, может не вымываться из почек или мочевого пузыря, образуя со временем кристаллы;
- Врожденная предрасположенность — анатомические особенности некоторых животных (например, узкие мочеточники) или генетическое нарушение усвояемости или преобразования некоторых веществ, которые начинают выделяться с мочой в слишком большом количестве;
- Воздержание от мочеиспускания — некоторые кошки не ходят в лоток с грязным наполнителем и долго терпят, пока владелец его не поменяет.
Частое воздержание также приводит к повышению концентрированности мочи.
Кто в группе риска?
- Самцы. У котов более узкий и изогнутый мочеиспускательный канал, чем у кошек, поэтому через него хуже вымывается песок и в нем чаще возникает закупорка.
- Кошки персидской, британской короткошерстной, бирманской, гималайской и сиамской пород.
- Животные, ведущие малоподвижный образ жизни и пьющие мало воды.
Как проявляется мочекаменная болезнь у кошек?
На начальном этапе болезнь может протекать бессимптомно. Она может никак не тревожить животное и оставаться незаметной на протяжении нескольких лет. Поэтому очень важно следить за поведением кошек из группы риска и регулярно проводить ветеринарное обследование.
Ниже приведены симптомы, характерные для МКБ.
- Болезненное мочеиспускание. Питомец может принимать напряженную позу при походе в туалет и/или мяукать.
- Мочеиспускание в неположенных местах. Из-за воспаления мочевого пузыря животное может ходить в туалет в неположенных местах.

- Учащенное мочеиспускание, при котором моча выделяется малыми порциями.
- Появление в моче крови или других примесей.
- Вылизывание кошкой уретры. При выходе из мочеиспускательного канала песок и уролиты раздражают слизистую оболочку и вызывают болевые ощущения.
- Болезненность живота в области паха.
- Вялое, малоактивное поведение.
- Полное прекращение мочеиспускания, которое свидетельствует о закупорке мочевыводящего канала.
- Повышение (выше 39,5 градусов Цельсия) или понижение (ниже 36 градусов Цельсия) температуры тела.
- Рвота.
Последние три симптома указывают на очень опасное состояние, при котором нужно немедленно доставить питомца к ветеринарному врачу.
При закупорке мочевыводящих путей начинается интоксикация организма, которая выражается в понижении температуры тела, рвоте, вялости, дрожании, судорогах. В этом случае действовать нужно экстренно, поскольку такое состояние быстро приводит к летальному исходу.
|
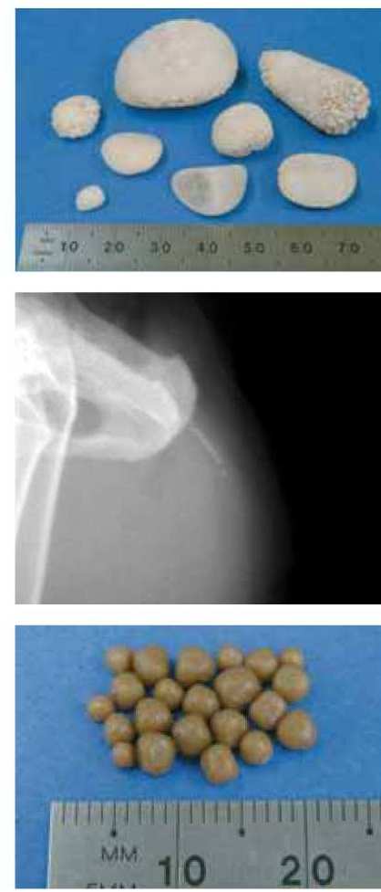
Виды камней у котов и кошек
В зависимости от типа солей, оседающих в почках или мочевом пузыре, у животных формируются разные виды конкрементов. Наиболее распространенные мочевые камни — это оксалаты и струвиты. На них приходится около 90% всех конкрементов. Остальные 10% — это ураты, цистины, ксантины и т. д.
Каждый тип камней формируется при разных условиях, например, струвиты образуются в щелочной среде и при переизбытке минералов, предшественников камней (таких как фосфор и магний), а оксалаты, напротив, образуются в подкисленной среде и при повышенном количестве выводимых с мочой кальция и щавелевой кислоты.
Диагностика и лечение мочекаменной болезни
Для диагностики МКБ ветеринарный врач проведет клинический осмотр животного и задаст некоторые вопросы в целях сбора анамнеза. Диагностика также включает анализ мочи, УЗИ органов брюшной полости, рентгенографию.
Лечение зависит от тяжести заболевания, локализации процесса и вида мочевых камней.
- Для лечения растворимых камней (например струвитов) в почках или мочевом пузыре может быть назначена ветеринарная диета, которая создает оптимальные условия для растворения данных конкрементов. При использовании лечебного рациона необходимо исключить любые другие продукты, в том числе приготовленные в домашних условиях.
- Для лечения нерастворимых камней (например оксалатов), как правило, применяется хирургическое вмешательство. Однако для профилактики рецидива также может назначаться ветеринарная диета.
- Для лечения камней в мочевыводящих путях может применяться уретральное промывание или катетеризация, после которой также проводится хирургическое удаление камней из мочевого пузыря.
- Любой из видов лечения сопровождается медикаментозной терапией для облегчения состояния животного и предотвращения развития осложнений. Терапия может включать в себя лечение антибиотиками, спазмолитиками, противовоспалительными средствами, анальгетиками, капельницами для восстановления водно-солевого баланса организма.

Питание кота при мочекаменной болезни
Если вашей кошке поставили диагноз мочекаменная болезнь, то обязательно спросите у ветеринарного врача, чем теперь ее кормить. Специалист порекомендует специализированную диету для животного. Ни в коем случае не переводите питомца на специальные лечебные корма без назначения — диетическое питание предназначено для решения конкретных проблем. Без тщательного обследования переход на новый корм может навредить здоровью питомца.
При лечении МКБ у кошек важным фактором становится предупреждение рецидивов образования камней.
ROYAL CANIN® разработал диетическое питание для лечения струвитов и профилактики оксалатов:Urinary S\O. Больше узнать о продукте и приобрести его можно по ссылке.
А для предупреждения рецидивов рекомендуется применение специализированного профилактического рациона. Чаще всего животные, когда-либо переболевшие МКБ, находятся в группе риска и нуждаются в диете, обеспечивающий низкий уровень насыщенности мочи.
В таких случаях может подойти рацион Neutered Satiery Balance, способствующий профилактике образования как струвитных, так и оксалатных типов камней. Узнать о продукте и приобрести его можно по ссылке.
Важно использовать диетотерапию только после консультации с ветеринарным врачом. Как правило, назначение курсовое — до полугода. Анализы мочи помогают принять правильное решение о продлении лечения или готовности к переходу на профилактическое питание.
Влияет ли стерилизация на развитие мочекаменной болезни?
Нередко у владельцев возникает вопрос, повышается ли риск развития МКБ у стерилизованных/кастрированных котов и кошек. Дело в том, что после операции у кошек значительно меняются потребности — если не подобрать для них подходящее питание, у них высок риск набора избыточного веса и снижения активности. А как уже рассматривалось ранее, ожирение и низкая активность — факторы риска развития МКБ. Так что сама операция не влияет на предрасположенность питомца к болезни, но игнорирование его новых особенностей значительно повышает этот риск.
Профилактика мочекаменной болезни у кошек
Мочекаменная болезнь — крайне неприятное и болезненное заболевание, которое может приводить к серьезнейшим осложнениям. Профилактировать эту болезнь гораздо легче, чем лечить, поскольку нередко помочь животному может только хирургическое вмешательство.
Вот несколько советов, которые помогут вам предотвратить развитие МКБ у вашего питомца.
- Оцените предрасположенность животного к развитию МКБ: если он находится в зоне повышенного риска (кошка с избыточным весом и малоподвижным образом жизни, употребляющая мало воды), увеличьте частоту профилактических осмотров хотя бы до двух в год.
- Подберите сбалансированный рацион, учитывающий особенности вашего питомца. Неправильное питание — одна из основных причин появления камней, поэтому ему нужно уделить первостепенное внимание. При выборе корма учитывайте возраст питомца, его породу и особые чувствительности.
- Стимулируйте кошку чаще пить. Если ваш питомец не любит пить воду, попробуйте установить разные источники влаги, например питьевой фонтан.
Также постарайтесь кормить кошку маленькими порциями как можно чаще — увеличение кратности приемов пищи стимулирует потребление воды. Помимо этого, можно применять смешанное питание, добавляя к сухому корму влажный (и адаптируя порцию сухого с учетом суточной калорийности). - Повышайте активность питомца. Чем подвижнее кошка, тем ниже риск развития МКБ.
Подходящее питание и профилактика — верный способ сохранить здоровье любимца на долгие годы.
Анастасия Николина Эксперт по научной поддержке Royal Canin, ветеринарный врач, специалист в области ветеринарной диетологии и зоопсихологии
Urinary S/O (паштет)
Посмотреть продукт
Urinary S/O (в соусе)
Посмотреть продукт
Urinary S/O (паштет)
Посмотреть продукт
Как питание влияет на здоровье кожи вашей кошки
Вопросы питания котенка
Восстановительное питание для кошки в послеоперационный период
Как хранить корм для кошек?
симптомы, лечение в домашних условиях
Абсцесс у кошек, собак
Абсцесс – это ограниченный участок нагноения, который приводит к появлению боли, температуры и слабости.
Часто воспалению предшествует проникновение бактерий в рану из окружающей среды или вторично через кровь…
Акне: угри у кошек
Наличие акне у кошек – частое явление, которое может осложниться дерматитом, привести к расчесыванию и нагноению. Если вы заметили у своего питомца угри, желательно посетить врача и сделать соскоб, чтобы исключить опасные инфекции и последующие осложнения…
Актиномикоз кошек
Актиномикоз – заболевание у животных, при котором образуются абсцессы (гнойники) преимущественно на шее или нижней челюсти, которые вызывает грибок из рода актиномицетов…
Алопеция (облысение) кошек: причины и лечение
Облысение – это чрезмерное выпадение волос с появлением на теле животного открытых участков кожи, на которых почти нет шерсти…
Асцит у кошек: причины, лечение
Асцит – это скопление большого количества жидкости в брюшинной полости, которая сдавливает внутренние органы и мешает их жизнедеятельности.
..
Бешенство у кошек: как распознать заболевание животного
Бешенство – опасное заболевание, которое приводит к гибели животного. Его вызывает вирус Rabiesvirus, который вызывает воспаление головного мозга и провоцирует тяжелые расстройства психики…
Гематурия у кошек: причины, схема лечения
Если в моче ваших пушистых питомцев заметили появление крови или кровяные сгустки, не стоит медлить. Это признак гематурии…
Герпес у кошек, собак
Герпес – заболевание острого или хронического течения, которое поражает слизистые оболочки у животных и сопровождается системными проявлениями…
Глаукома у собак, кошек
Глаукома – это заболевание, развивающееся на фоне повышения внутриглазного давления, из-за которого сдавливается сетчатка и мутнеет роговица, появляются местные симптомы…
Демодекоз у кошек, собак
Кошки и собаки часто страдают таким заболеванием, как демодекоз.
Его вызывают клещи Demodex, которые поражают кожу питомца, вызывают сильное раздражение и выпадение шерсти…
Дерматит у собак, кошек
Дерматит – распространенное заболевание у кошек и у собак. Его провоцируют расстройства различной природы, из-за которых появляется сильный зуд и раздражение кожи…
Жировая дистрофия печени у кошек
Этому заболеванию подвержены кошки и коты всех пород и любого возраста. Характеризуется накоплением жира в печени…
Блохи у кошки
Блохи – опасные насекомые, которые питаются кровью зараженного животного. Благодаря сплюснутому тельцу и округлой голове они могут быстро перемещаться даже в густой шерсти, а мощные и длинные задние лапки дают им возможность прыгать на дальние дистанции…
Кальцивироз у кошек
асто у домашних кошек появляется такое неприятное заболевание, как кальцивироз. Это вирусная инфекция верхних дыхательных путей, которая может поражать слизистые оболочки полости рта и характеризоваться системными проявлениями.
..
Катаракта у кошек
Катаракта – опасное заболевание у кошек, которое может привести к слепоте. Патология характеризуется помутнением капсулы хрусталика и нарушением его преломляющей способности…
Кератит у кошек
Кератит часто встречается у кошек – это поражение роговицы, при котором она мутнеет и перестает нормально функционировать…
Конъюнктивит у кошек
Домашние животные часто страдают конъюнктивитом, заболевание встречается и у кошек. Ему подвержены питомцы в любом возрасте – котята, молодые и взрослые особи…
Гепатит у кошек и собак
Гепатит – это поражение печеночных клеток вирусом, который вызывает их гибель. На месте отмерших гепатоцитов разрастается соединительная ткань, которая не может выполнять утраченные функции…
Гастрит у кошек и собак
Гастрит – это воспаление слизистой желудка, которое возникает под действием микробных агентов или в результате употребления некачественной пищи.
..
Гемобартонеллез у кошек
Гемобартонеллез – это инфекционное заболевание, сопровождающееся анемией. Его вызывают различные вирусы, которые поражают красные кровяные тельца и вызывают их гибель…
Глисты у кошек, собак
Паразитарные заболевания у домашних животных встречаются довольно часто, особенно если питомец свободно гуляет по улице и контактирует с другими особями…
Лишай у кошек
Многим знакомо такое заболевание у животных, как лишай. Инфекция часто встречается у кошек и характеризуется выпадением кожного покрова вплоть до облысения…
Мозжечковая атаксия кошек
Атаксия – это нарушение координации и произвольных движений. Причиной этого состояния является поражение двигательных нейронов головного мозга …
Запах изо рта у кошки
Если у кошки появился неприятный запах изо рта – стоит задуматься о наличии заболеваний.
Он может присутствовать постоянно, появляться утром, в обед или вечером…
Рак кишечника у кошки
Злокачественные опухоли кишечника встречаются редко, но протекают тяжело и дают обширные метастазы. Такие новообразования провоцируют мучительные боли…
Рак крови у кошек
Рак крови или лейкоз – это поражение костного мозга ретровирусом FeLV, в результате чего вырабатываются дефектные…
Рак лёгких у кошек
При таком заболевании в легких возникает первичная опухоль – онкология сопровождается одышкой и слабостью, на фоне которой отмечается…
Рак груди у кошек – как распознать болезнь?
Рак груди обычно встречается в старшем возрасте, когда у животного прошла лактация. Научно доказано, что кошки, которые вынашивали…
Хламидиоз у кошек
Хламидиоз – это инфекция, поражающая преимущественно конъюнктиву глаза.
Ее вызывает внутриклеточный паразит Chlamydophila psittaci…
Цистит у кошек
При переохлаждении или заражении инфекцией у кошек может развиваться цистит – воспаление слизистой мочевого пузыря…
Энтерит у кошек
Одна из разновидностей инфекционных заболеваний у кошек – энтерит. Это вирусное поражение желудочно-кишечного тракта…
Энцефалит у кошек
Энцефалит – это воспаление оболочек головного мозга, данное заболевание сопровождается общей симптоматикой и проявляется…
Лечение эпилепсии у кошек
Эпилепсия у кошек – опасная патология, которая может серьезно навредить животному. Это неврологическое заболевание…
Язва желудка у кошки
В современных условиях животные страдают от заболеваний пищеварительной системы и язва желудка занимает лидирующие позиции…
Угри у собак
Угри или прыщи у собак – не просто косметический дефект, это воспалительные заболевания кожи.
..
Актиномикоз у собак
Актиномикоз – опасная инфекция, которая часто развивается у собак. Ее провоцируют лучистые грибки-актиномицеты…
Алопеция у собак
Алопеция – это заболевание, при котором выпадает шерсть до полного облысения. Патологические зоны могут быть…
Вывести блох у собаки
Блохи – распространенная неприятность у собак. Кровососущие не только доставляют дискомфорт, но и передают опасных паразитов, которыми животное может заболеть уже при первом укусе…
Кальцивироз у собак
Кальцивироз – патология, которой могут болеть даже домашние собаки, получающие должное внимание от хозяев…
Лечение катаракты у собаки
Катаракта часто приводит к слепоте, встречается у собак, которые получают хороший уход. При заболевании…
Лечение кератита у собаки
Кератит – заболевание, при котором появляются язвы на роговице, в результате чего отмечается раздражение и воспалительная реакция.
..
Лечение конъюнктивита у собак
Воспаление конъюнктивы – частая проблема у собак. Эта оболочка выстилает наружную поверхность склеры и глазницу изнутри, формируя…
Ожирение у собак
Лишний вес может доставить серьезные неприятности домашним питомцам, включая осложнения заболеваний сердечно-сосудистой систем и опорно-двигательного…
Панкреатит у собак
Панкреатит – это воспаление поджелудочной железы с развитием клинических признаков, из которых самым выраженным является боль…
Панлейкопения у собак
Панлейкопения – опасное смертельное вирусное заболевание у собак, которое в первую очередь поражает желудочно-кишечный тракт…
Паротит у собаки
Паротит – это воспаление слюнных желез, при котором нарушается процесс жевания и глотания, клиника сопровождается болью и расстройством.
..
Перикардит у собак
Перикардит – это воспаление околосердечной сумки и опасное заболевание, которое характеризуется тяжелой клиникой…
Пиелонефрит у собак
Пиелонефрит – воспалительное заболевание почек с поражением чашечно-лоханочной системы…
Пироплазмоз у собак
Пироплазмоз – опасная патология, которую провоцирует иксовидный клещ…
Плеврит у собак
Плеврит – это воспаление плевры, оболочки, покрывающей легкие снаружи и грудную клетку изнутри…
Пневмония у собак
Пневмония или воспаление легких – часто встречающееся заболевание у собак, особенно в холодное время года…
Рак молочной железы у собаки
Среди всех онкологических заболеваний рак молочной железы занимает первые позиции…
Рак челюсти у собак
Рак челюсти – это злокачественная опухоль, склонная к разрастанию и к повреждению окружающих тканей.
..
Рак груди у собак
Рак груди у собак – опасная патология, которая чаще встречается у сук…
Рак лёгких у собак
Новообразования дыхательной системы считаются одними из самых опасных…
Рак крови у собак
Рак крови или лейкоз – опасная патология у собак, которая часто приводит к гибели животного…
Рак кишечника у собаки
Злокачественные новообразования занимают первые места среди патологий с высокой смертностью у животных…
Ринит у собаки
Ринит – распространенное заболевание верхних дыхательных путей….
Ринотрахеит у собак
Ринотрахеит – простудное заболевание верхних дыхательных путей, которое чаще всего появляется…
Себорея у собак
Себорея – распространенное кожное заболевание у собак, которое может спровоцировать осложнения.
..
Токсоплазмоз у собак
Токсоплазмоз – тяжелое заболевание, которое вызывает внутриклеточные паразиты Toxoplasma gondii…
Трихофития у собак
Кожные заболевания у собак относятся к одним из самых распространенных, среди них часто встречается трихофития…
Угри у кошек
Наличие угрей у кошек хозяева не сразу замечают, принимая их за перхоть или обычную грязь…
Уретрит у собаки
Болезни мочеполовой системы у животных часто вызывают местные инфекции, среди таких патологий выделяют уретрит…
Фарингит у собак
Фарингит – это воспаление гортани, при котором отекает слизистая оболочка и появляются местные симптомы…
ФИП у собак
ФИП (FIP) – вирусное поражение брюшины (перитонит), которое провоцирует возбудитель из семейства коронавирусов…
Флегмона у собаки
Иногда у питомцев развиваются гнойные процессы, среди которых часто встречается флегмона.
..
Фурункулёз у собак
Фурункулез – заболевание, характеризующееся появлением на коже волдырей и признаков раздражения…
Хламидиоз у собак
Среди всех инфекций у собак хламидиоз является одной из самых опасных – при этой патологии встречаются системные поражения…
Цистит у собак
Среди всех заболеваний мочеполовой системы цистит у собак встречается довольно часто – это воспаление слизистой оболочки мочевого пузыря…
Экзема у собаки
Собаки в силу своей активности и насыщенной жизни подвержены заболеваниям кожи, среди которых встречается экзема…
Энтерит у собаки
Энтерит – это воспаление тонкого кишечника с расстройством его функции…
Энцефалит у собаки
Из всех заболеваний центральной нервной системы энцефалит считается одним из самых опасных и сопровождается тяжелыми осложнениями.
..
Эпилепсия у собаки
Эпилепсия – неврологическое заболевание, характеризующееся возникновением очага возбуждения в головном мозге, который…
Язва желудка у собаки
Язва желудка – распространенное заболевание у домашних питомцев, от него страдают и собаки…
Атлантоаксиальная нестабильность у собак
Неврологические нарушения у собак – серьезная проблема, требующая незамедлительного вмешательства ветеринара…
Разрыв ахиллова сухожилия
Кошки и собаки – активные животные, которые ежедневно рискуют получить травму…
Ампутация конечностей собаки
Для лечения некоторых серьезных заболеваний рекомендована ампутация конечностей – если ее делает профессиональная ветеринарная служба…
Ампутация конечностей у кошки
Кардинальные операции, как ампутация – часто назначаются только в тех случаях, когда без них обойтись нельзя.
..
Камни мочевого пузыря у кошек: симптомы, причины и лечение Камни мочевого пузыря у кошек
Камни в мочевом пузыре, также известные как «уролиты», представляют собой каменистые скопления минералов, кристаллов и органических материалов, которые накапливаются в мочевом пузыре. Люди могут получить их, но и ваша кошка тоже. Они возникают в результате какого-то воспаления или заболевания. Эти камни могут оставаться маленькими у кошек или могут вырасти до нескольких миллиметров в диаметре или больше. Камни могут тереться о стенки мочевого пузыря, вызывая воспаление и боль.
Камни мочевого пузыря также могут закупорить мочеиспускательный канал и затруднить или даже сделать невозможным мочеиспускание вашей кошки. В зависимости от минералов, входящих в состав камня, его форма и размер будут различаться.
Двумя наиболее распространенными типами камней мочевого пузыря являются струвитные и оксалатно-кальциевые камни.
Симптомы камней в мочевом пузыре у кошек
Не всегда легко определить, когда ваша кошка травмирована или больна. Кошки часто прячутся, когда им неудобно, потому что показывать слабость в дикой природе может быть опасно. Кошки — одинокие существа, поэтому демонстрация боли не принесет помощи от других, если они сами по себе. Вам нужно будет обратить внимание, чтобы определить, есть ли у вашей кошки камни в мочевом пузыре.
Общие признаки, которые могут указывать на наличие камней в мочевом пузыре:
- Потуги при мочеиспускании
- Частое мочеиспускание
- генитальное лизание
- Кровь в моче (гематурия)
- болезненное мочеиспускание
- Хронические инфекции мочеиспускания
- Обструкция мочеиспускания.
Причины образования камней в мочевом пузыре у кошек
Нет двух абсолютно одинаковых кошек.
Поскольку могут образовываться несколько различных типов камней мочевого пузыря, причины образования камней в мочевом пузыре у кошек могут быть разными. Некоторые из этих причин могут включать:- Неправильное питание
- Обезвоживание
- Инфекция или воспаление мочевыводящих путей
- Избыток фосфатов, аммония или магния в моче
- Несбалансированный рН мочи
- Породная предрасположенность
Бывают ли у кошек камни в мочевом пузыре в определенном возрасте? Камни мочевого пузыря у кошек могут появиться в любом возрасте. Некоторые типы камней чаще образуются на разных этапах жизни. Например, риск образования камней из оксалата кальция увеличивается с возрастом вашей кошки. Они обычно появляются у кошек в возрасте от 5 до 14 лет.
Есть ли у некоторых кошек повышенный риск образования камней в мочевом пузыре? Распространено мнение, что кастрированные коты бирманских, персидских, сиамских и гималайских кошек могут быть генетически предрасположены к образованию камней из оксалата кальция, но для подтверждения этого необходимы дополнительные исследования.
У кошек с избыточным весом, кошек мужского пола и пожилых кошек также выше вероятность развития этих камней.Диагностика камней мочевого пузыря у кошек
Существует два метода диагностики камней мочевого пузыря у кошек. Во-первых, если камень достаточно большой, ваш ветеринар может почувствовать его, надавив на живот вашей кошки. Большинство более мелких камней должны быть диагностированы с помощью ультразвука или рентгенограммы. Эти методы также помогают определить причину камней. Ваш ветеринар может начать с анализа мочи, который может указать на вероятность наличия камней или помочь определить вероятный тип камня.
Лечение камней мочевого пузыря у кошек
Лечение вашей кошки будет зависеть от типа образовавшегося камня. После осмотра камня ветеринар может назначить один или несколько видов лечения, в том числе:
- Специальная диета для растворения и предотвращения образования камней
- Улучшение гидратации
- Промывание мочевого пузыря
- Литотрипсия или разрушение камней с помощью ударных волн
Ветеринар может порекомендовать хирургическое удаление камня как для лечения закупорки, так и для определения того, из чего сделан камень.
Иногда ветеринары также могут порекомендовать вам просто подождать и посмотреть, выходит ли у вашей кошки камень естественным путем. Женщины-кошки часто могут самостоятельно выделять более мелкие камни в мочевом пузыре.Возможные осложнения камней в мочевом пузыре у кошек
Иногда камни в мочевом пузыре могут быть признаком серьезной проблемы со здоровьем у вашей кошки. И если камни мочевого пузыря не лечить, они могут вызвать и другие проблемы. Важно получить лечение, чтобы понять, что их вызвало, и убедиться, что они больше не вызывают проблем.
Камни мочевого пузыря без лечения. Камни мочевого пузыря без лечения могут привести к ряду проблем. Если камни в мочевом пузыре блокируют мочеиспускательный канал, ваша кошка может быть полностью не в состоянии мочиться. Это может привести к таким симптомам, как рвота, тошнота, потеря аппетита и вздутие живота. В этом случае моча может вернуться в почки. Полная непроходимость мочевыводящих путей является неотложной ситуацией и может привести к летальному исходу для вашей кошки, поэтому немедленно обратитесь за медицинской помощью.

Основные проблемы со здоровьем. Да, камни в мочевом пузыре связаны с другими проблемами со здоровьем. Они могут развиваться из-за гипертиреоза или диабета, оба из которых могут вызывать инфекции мочевыводящих путей и воспаление.
Профилактика образования камней в мочевом пузыре у кошек
После диагностики у вас будет лучшее представление о причинах образования камней в мочевом пузыре у вашей кошки. Обладая этими знаниями, вы можете работать над тем, чтобы предотвратить их возвращение. Обеспечьте постоянный доступ к свежей воде и проконсультируйтесь с ветеринаром о постоянном изменении рациона вашей кошки.
Ваш ветеринар может порекомендовать регулярный анализ мочи на наличие новых камней не реже одного раза в три месяца. Они также, вероятно, порекомендуют регулярные частые рентгеновские снимки каждые 6–12 месяцев. Вы также можете поощрять кошку к физическим упражнениям, чтобы предотвратить образование новых камней.
Камни мочевого пузыря у кошек: симптомы, причины и лечение0003
В этой статье
- Симптомы камней мочевого пузыря у кошек
- Причины камней мочевого пузыря у кошек
- , диагностирующие камни мочевого пузыря у кошек
- лечения для мочевого пузыря
- .
Камни у кошек
Камни мочевого пузыря, также известные как «уролиты», представляют собой каменистые скопления минералов, кристаллов и органического материала, которые накапливаются в мочевом пузыре. Люди могут получить их, но и ваша кошка тоже. Они возникают в результате какого-то воспаления или заболевания. Эти камни могут оставаться маленькими у кошек или могут вырасти до нескольких миллиметров в диаметре или больше. Камни могут тереться о стенки мочевого пузыря, вызывая воспаление и боль.
Камни мочевого пузыря также могут блокировать уретру и затруднять или даже делать невозможным мочеиспускание вашей кошки. В зависимости от минералов, входящих в состав камня, его форма и размер будут различаться. Двумя наиболее распространенными типами камней мочевого пузыря являются струвитные и оксалатно-кальциевые камни.
Симптомы камней в мочевом пузыре у кошек
Не всегда легко определить, когда ваша кошка травмирована или больна. Кошки часто прячутся, когда им неудобно, потому что показывать слабость в дикой природе может быть опасно.
Кошки — одинокие существа, поэтому демонстрация боли не принесет помощи от других, если они сами по себе. Вам нужно будет обратить внимание, чтобы определить, есть ли у вашей кошки камни в мочевом пузыре.Общие признаки, которые могут указывать на камни мочевого пузыря:
- , натягивающиеся для мочеиспускания
- Частое моче особенно у кобелей)
- Разбрызгивание мочи
- Мочеиспускание в необычных местах
Причины образования камней в мочевом пузыре у кошек
Нет двух абсолютно одинаковых кошек. Поскольку могут образовываться несколько различных типов камней мочевого пузыря, причины образования камней в мочевом пузыре у кошек могут быть разными. Некоторые из этих причин могут включать:
- Неправильное питание
- Обезвоживание
- Инфекция или воспаление мочевыводящих путей
- Избыток фосфатов, аммония или магния в моче
- Несбалансированный рН мочи
- Породная предрасположенность
Бывают ли у кошек камни в мочевом пузыре в определенном возрасте? Камни мочевого пузыря у кошек могут появиться в любом возрасте.
Некоторые типы камней чаще образуются на разных этапах жизни. Например, риск образования камней из оксалата кальция увеличивается с возрастом вашей кошки. Они обычно появляются у кошек в возрасте от 5 до 14 лет.Есть ли у некоторых кошек повышенный риск образования камней в мочевом пузыре? Распространено мнение, что кастрированные коты бирманских, персидских, сиамских и гималайских кошек могут быть генетически предрасположены к образованию камней из оксалата кальция, но для подтверждения этого необходимы дополнительные исследования. У кошек с избыточным весом, кошек мужского пола и пожилых кошек также выше вероятность развития этих камней.
Диагностика камней мочевого пузыря у кошек
Существует два метода диагностики камней мочевого пузыря у кошек. Во-первых, если камень достаточно большой, ваш ветеринар может почувствовать его, надавив на живот вашей кошки. Большинство более мелких камней должны быть диагностированы с помощью ультразвука или рентгенограммы.
Эти методы также помогают определить причину камней. Ваш ветеринар может начать с анализа мочи, который может указать на вероятность наличия камней или помочь определить вероятный тип камня.Лечение камней мочевого пузыря у кошек
Лечение вашей кошки будет зависеть от типа образовавшегося камня. После осмотра камня ветеринар может назначить один или несколько видов лечения, в том числе:
- Специальная диета для растворения и предотвращения образования камней
- Улучшение гидратации
- Промывание мочевого пузыря
- Литотрипсия или разрушение камней с помощью ударных волн
Ветеринар может порекомендовать хирургическое удаление камня как для лечения закупорки, так и для определения того, из чего сделан камень. Иногда ветеринары также могут порекомендовать вам просто подождать и посмотреть, выходит ли у вашей кошки камень естественным путем. Женщины-кошки часто могут самостоятельно выделять более мелкие камни в мочевом пузыре.

Возможные осложнения камней в мочевом пузыре у кошек
Иногда камни в мочевом пузыре могут быть признаком серьезной проблемы со здоровьем у вашей кошки. И если камни мочевого пузыря не лечить, они могут вызвать и другие проблемы. Важно получить лечение, чтобы понять, что их вызвало, и убедиться, что они больше не вызывают проблем.
Камни мочевого пузыря без лечения. Камни мочевого пузыря без лечения могут привести к ряду проблем. Если камни в мочевом пузыре блокируют мочеиспускательный канал, ваша кошка может быть полностью не в состоянии мочиться. Это может привести к таким симптомам, как рвота, тошнота, потеря аппетита и вздутие живота. В этом случае моча может вернуться в почки. Полная непроходимость мочевыводящих путей является неотложной ситуацией и может привести к летальному исходу для вашей кошки, поэтому немедленно обратитесь за медицинской помощью.
Основные проблемы со здоровьем. Да, камни в мочевом пузыре связаны с другими проблемами со здоровьем.
Они могут развиваться из-за гипертиреоза или диабета, оба из которых могут вызывать инфекции мочевыводящих путей и воспаление.Профилактика образования камней в мочевом пузыре у кошек
После диагностики у вас будет лучшее представление о причинах образования камней в мочевом пузыре у вашей кошки. Обладая этими знаниями, вы можете работать над тем, чтобы предотвратить их возвращение. Обеспечьте постоянный доступ к свежей воде и проконсультируйтесь с ветеринаром о постоянном изменении рациона вашей кошки.
Ваш ветеринар может порекомендовать регулярный анализ мочи на наличие новых камней не реже одного раза в три месяца. Они также, вероятно, порекомендуют регулярные частые рентгеновские снимки каждые 6–12 месяцев. Вы также можете поощрять кошку к физическим упражнениям, чтобы предотвратить образование новых камней.
Камни в мочевом пузыре у кошек: типы, симптомы и лечение
Если вы делите свою жизнь с кошкой, вы, возможно, знаете, что проблемы с кошачьим туалетом не редкость.
Тем не менее, конкретное заболевание камней в мочевом пузыре у кошек не получает должного внимания. Читайте дальше, чтобы узнать о наиболее распространенных типах камней в мочевом пузыре у кошек — оксалате кальция и струвите, а также о том, как их предотвратить и лечить.Основные факты о камнях мочевого пузыря у кошек
Камни мочевого пузыря, или уролиты, представляют собой просто организованные скопления затвердевших минералов, обнаруживаемые в моче. Они могут возникать в любом месте мочевыводящих путей, от почек до уретры — узкой трубки, по которой моча выводится из мочевого пузыря наружу.
Камни разных размеров. У вашей кошки может быть крошечный камень или камень размером с мочевой пузырь. Камни также различаются по форме и цвету. Они могут быть гладкими или иметь неровные края. Камни создают проблемы, потому что они могут повредить окружающие ткани, вызвать воспаление, образование рубцовой ткани и предрасполагать кошку к инфекции, особенно если они имеют шероховатые или неровные края.

Кристаллы и камни
Если вы слышали о кристаллах мочи, вам может быть интересно, чем они отличаются от камней мочевого пузыря. Согласно Ветеринарному руководству Merck, когда кристаллы слипаются и растут, становясь видимыми невооруженным глазом, результат называется камнем. Однако следует отметить, что кристаллы могут присутствовать в определенных средах мочи, что способствует образованию камней, но не является окончательным предшественником.
Клинические признаки камней мочевого пузыря у кошек
Признаки, которые проявляются у кошек с камнями в мочевом пузыре, различаются в зависимости от того, где камни расположены в мочевыводящих путях. Часто кошки с камнями в мочевом пузыре вообще не проявляют никаких признаков. В других случаях камни могут вызывать раздражение мочевого пузыря или инфекции, которые могут проявляться частыми походами в лоток, частым мочеиспусканием, кровью в моче, пением во время мочеиспускания, нарушениями мочеиспускания и снижением мочеиспускания.

Если мочевой камень застревает, это может вызвать непроходимость мочевыводящих путей, также известную как закупорка уретры, поэтому кошка вообще не может мочиться. Это опасное для жизни состояние, которое требует немедленного вмешательства. Чаще всего это наблюдается у кошек мужского пола. Если вы заметили, что ваша кошка пытается помочиться, но делает это безуспешно, вам следует немедленно обратиться к ветеринару. Также важно учитывать, что кошка с непроходимостью мочевыводящих путей может вести себя так, как будто у нее запор. Хотя поведение может выглядеть похожим, результаты могут быть радикальными — если вы заметили такое поведение, вероятно, стоит позвонить своему местному ветеринару, чтобы получить его рекомендацию.
Типы камней мочевого пузыря у кошек
Двумя наиболее распространенными типами камней мочевого пузыря у кошек являются струвитные камни и камни из оксалата кальция. По данным Американского колледжа ветеринарных хирургов, несмотря на то, что образование этих камней является сложным процессом, определенную роль может играть пища кошки.
Они также редко образуются вторично при инфекциях мочевого пузыря у кошек.Рентгенограммы и микроскопическое исследование осадка мочи могут дать представление о том, какой тип камня у вашей кошки. Однако идентичность камня не может быть определена, если он не собран и не проанализирован.
Камни из оксалата кальция
Камни из оксалата кальция являются наиболее распространенными мочевыми камнями у кошек, согласно Ветеринарному руководству компании Merck. Они чаще всего наблюдаются у кошек среднего и старшего возраста. К породам, наиболее склонным к развитию камней из оксалата кальция, относятся рэгдолл, британская короткошерстная, экзотическая короткошерстная, гималайская, персидская и шотландская вислоухая. Камни из оксалата кальция могут образовываться в чрезмерно кислой моче. Их можно увидеть у кошек с повышенным уровнем кальция в крови и моче вследствие состояния, называемого идиопатической гиперкальциемией, или у кошек с хроническим заболеванием почек.
Этот тип камня требует хирургического удаления.
Инфекции и сопутствующие заболевания также необходимо лечить. После того, как камни были удалены, перевод вашей кошки на терапевтический корм, составленный для снижения содержания минералов в моче и увеличения потребления воды — например, путем перевода их на влажный корм — может помочь предотвратить рецидив. Необходимо, чтобы ваша кошка придерживалась плана питания, рекомендованного вашим ветеринаром.Струвитные камни
Струвитные камни обычно обнаруживаются у кастрированных молодых кошек. В отличие от камней из оксалата кальция, струвитные камни у кошек имеют тенденцию образовываться в высококонцентрированной щелочной моче. В то время как любая порода может быть затронута, наиболее подвержены риску домашние короткошерстные, экзотические короткошерстные, рэгдоллы и гималайские. Кошки, которые потребляют большое количество магния, фосфора, кальция, хлоридов и клетчатки, также более склонны к развитию струвитных камней.
Специальное лечебное питание, такое как Hill’s Prescription Diet, может помочь растворить струвитные камни.

