[стоит ли бояться, как уберечь]
Микоплазмоз у кошек или кошачья инфекционная анемия – заболевание, которое вызывают паразиты микоплазмы (Mycoplasma haemofelis). Эти простейшие организмы паразитируют в эритроцитах – красных кровяных тельцах. Чем больше клеток крови заражено паразитами, тем хуже становится состояние питомца.
Опасна ли болезнь, чем она лечится, как от нее защитить своего питомца? Попробуем найти ответы на все вопросы в этой статье.
Что такое микоплазмоз у кошки
Микоплазмоз – заразная болезнь, от которой не существует вакцины. Но бояться ее не стоит – она не смертельная. Современная ветеринария располагает всеми необходимыми средствами для борьбы с инфекцией.
Формы заболевания
Кошачий микоплазмоз бывает двух типов:
- Острый. Характеризуется коротким инкубационным периодом – 8-10 дней, ярко выраженными симптомами заболевания и проходит за несколько дней.
- Хронический. Инкубационный период длится от 3 до 5 недель.

Курс лечения составляет несколько месяцев. Клиническая картина – смазанная, болезнь протекает вяло.
Важно!
Без своевременного лечения у зараженных кошек могут развиться тяжелые осложнения.
Что вызывает заболевание
Кошачий микоплазмоз вызывают одноклеточные паразиты – микоплазмы, которые могут развиваться и размножаться только внутри организма кошки. Во внешней среде они быстро погибают.
Как действуют микоплазмы
Паразиты попадают в организм животного и проникают в клетки крови, используя их как питательные вещества для своего существования и развития. Когда паразит присоединяется к поверхности эритроцита, формируется иммунный ответ – это вызывает разрушение красного кровяного тельца. По мере роста численности поврежденных эритроцитов у кошки развивается анемия.
В процессе жизнедеятельности микоплазмы выделяют опасные токсины, которые пагубно влияют на органы и системы животного. Это приводит к развитию различных заболеваний вторичного типа.
Очаги локализации паразитов: дыхательная, мочеполовая, пищеварительная системы, суставы, конъюнктива.
Важно!
Микоплазмы – условно патогенные микроорганизмы. Они обитают в окружающей среде и выявляются у 80 % кошачьего поголовья. Для животных с сильным иммунитетом они безвредны. Патологические состояния возникают у ослабленных особей, молодых и стареющих кошек.
Как можно заразиться микоплазмозом
Заражение кошки происходит следующими путями:
- Контактным. От больного животного к здоровому при тесном контакте или через укус.
- Через общие предметы ухода: лоток, игрушки, лежанки, миски для еды и питья.
- Воздушно-капельным.
- Во время переливания крови.
- Через укусы кровососущих насекомых (комары, мошки).
- Половым. Во время вязки.
- Внутриутробным.
- Паразитарным (блохи, клещи, вши, власоеды).
- Натуральным. Во время прохождения по родовым путям.
- При грудном вскармливании.

Котята заражаются от матери.
Важно!
Микоплазмоз долгое время может протекать бессимптомно, в этот период кошки являются латентными носителями и представляют опасность для своих сородичей. У таких животных высокий риск развития патологии.
Группа риска
- Животные после болезни.
- Новорожденные котята.
- Истощенные и ослабленные коты.
- Питомцы с плохим иммунитетом.
- Бродячие кошки.
- Животные зараженные внешними и внутренними паразитами.
- Кошки, перенесшие стресс.
- Беременные и кормящие кошки.
Авитаминоз, ненадлежащее питание и плохой уход ослабляют иммунную систему кошки и способствуют росту популяции микоплазм.
Представляет ли больная кошка опасность для человека
Можно ли заразиться от кошки – с этим вопросом чаще всего приходят владельцы пушистых питомцев к ветеринару.
Ответ на этот вопрос – отрицательный.
Микоплазмы животных не передаются человеку.
Больное животное не нужно изолировать от членов семьи и других видов домашних животных. Заболевание передается только представителям семейства кошачьих.
Как понять, что питомец заразился микоплазмой
У заболевания длительный инкубационный период. Хозяева инфицированных животных могут на протяжении нескольких недель не догадываться о том, что у питомца проблемы со здоровьем. Усложняет диагностику и тот факт, что в ряде случаев микоплазмоз протекает бессимптомно.
Клиническая картина патологии расплывчатая и зависит от места локализации паразитов, иммунного статуса кошки и ее возраста. Симптомы могут варьироваться и проявляться с различной степенью интенсивности и тяжести. На ранних стадиях болезнь может напоминать обычную простуду.
Общие симптомы микоплазмоза у кота
- Анемия.
- Вялость, апатия, сонливость.
- Снижение аппетита, анорексия.
- Снижение физической активности, слабость.
- Повышенная температура тела, лихорадка.

- Желтушный цвет кожи.
- Бледность кожи и слизистых оболочек.
- Изменения в поведении, депрессия.
- Слезоточивость.
- Гнойные и серозные выделения из глаз и носа.
Признаки в зависимости от места локализации паразитов
- Ринит, чихание, сухой кашель.
- Затрудненное дыхание, одышка.
- Припухлость и болезненность суставов. Артрит.
- Нарушение походки, проблемы с перемещением.
- Инфекционные заболевания мочевыводящих путей. Цистит.
- Простатит.
- Непроизвольное мочеиспускание.
- Пневмония, бронхит.
- Конъюнктивит.
- Увеличение лимфатических узлов и селезенки.
- Гнойные воспаления, язвы и эрозии на коже.
- Репродуктивные проблемы: самопроизвольный аборт, бесплодие, мертворождение.
Диагностика
Микоплазма у кошек выявляется только лабораторным путем.
На глаз эта патология не выявляется – необходима глубокая, вдумчивая диагностика.
Этапы диагностических мероприятий:
- Сбор анамнеза и визуальный осмотр кошки.
- Анализ мочи.
- Общий и биохимический анализы крови.
- Исследование кровяного мазка под микроскопом для выявления паразитов.
- Лабораторные исследования смывов с мочеполовых органов кошки.
- ПЦР диагностика на наличие антигенов.
- Исследование смывов с конъюнктивы.
- Мазок из ротовой полости.
- Иммуноферментный анализ крови.
Антибиотики при микоплазмозе – наиболее распространенная форма лечения. Поэтому к вышеперечисленным исследованиям добавляют тест на чувствительность к антибиотикам.
По результатам всех исследований врач ставит диагноз и назначает лечение.
Как лечится микоплазмоз
Схема лечения зависит от места локализации инфекции, степени активности паразитов, тяжести заболевания. Для снятия симптомов острой формы болезни достаточно нескольких дней.
Препараты:
- Антибиотики: тетрациклин, доксициклин, бициллин, азитромицин, энрофлоксацин, левомицетин.
- Анальгетики. Для снятия боли и лихорадки.
- Стероиды: преднизон.
- Иммуномодуляторы: фелиферон, интерферон, микоплазма имун.
Одновременно проводится симптоматическое лечение и поддерживающая терапия: обрабатываются слизистые оболочки от гнойных выделений, назначаются курсы пробиотиков и витаминов.
Читайте также о выборе витаминов для кошек.
Для снятия нагрузки на печень назначаются гепатопротекторы: карсил.
В особо тяжелых случаях (сильная анемия) кошкам делают переливание крови.
Важно!
Для предотвращения рецидива болезни во время всего периода лечения проводят дезинфекцию мест обитания животного. Здоровых кошек изолируют от больных.
Профилактика микоплазмоза
Вакцинация от этого заболевания не проводится, поэтому все меры профилактики должны быть направлены на поддержание высокого иммунитета животного, грамотный уход и полноценное питание.
Важно соблюдать сроки противоблошиной и антигельминтной обработки кошки, так как экто- и эндопаразиты могут распространять микоплазму.
Главное правило профилактики всех заболеваний – регулярные профилактические осмотры питомца помогут своевременно выявить патологию.
Видео
Источники:
https://pets.thenest.com/feline-mycoplasma-3911.html
Микоплазмоз кошек-симптомы, диагностика, лечение и профилактика
Для каждого из нас любимые питомцы – это не просто домашние животные, а полноправные члены семьи.
Поэтому любые тяготы жизни и проблемы со здоровьем четверолапых переносятся с особым трепетом. И одна из таких проблем, которая внезапно может настигнуть вашего любимца, является микоплазмоз у кошек. Давайте разберемся, как выявить болезнь на ранних стадиях и какие шаги нужно предпринимать в первую очередь.
Содержание:
-
Развитие микоплазмоза у кошек
-
Симптомы
-
Диагностика и рекомендуемые анализы
-
Лечение и профилактика
Развитие микоплазмоза у кошек
По статистике, около 70% питомцев инфицированы условно-патогенными штаммами микоплазм, но далеко не у каждого из них имеются признаки заболевания. Наиболее опасными являются только два вида возбудителей: M. gateae и M. felis, патогенная микоплазма кошек вызывает клиническую картину почти в 100% случаев.
Что же такое микоплазмы и чем они так опасны? В отличие от обычных бактерий у них нет клеточной стенки, а с вирусами их объединяет то, что они паразитируют внутриклеточной. В процессе жизнедеятельности вырабатывается много токсинов, которые вызывают повреждение эпителиальных клеток различных органов: дыхательные пути, конъюнктива и мочеполовая система.
Заболевание развивается вследствие контакта с зараженным животным. Возможны следующие пути передачи: аэрогенный, контактный, трансплацентарный (от матери к котенку). Бактерия проникает в клетки, где создаются оптимальные условия для развития: наличие углерода, аминокислот, глюкозы и температура 37-38 градусов.
Симптомы
Микоплазмоз у кошек проявляется через 3-5 суток после контакта с больным животным. Первый и самый важный симптом – это покраснение конъюнктивы глаз. При этом выделяется незначительно количество прозрачной или желтоватой жидкости (серозный конъюнктивит).
Общеклинические симптомы:
— повышение температуры до 38-39 градусов;
— слабость и отказ от приема пищи;
— чихание или кашель;
При легком течение симптомы исчезают в обратной последовательности и заболевание разрешается без специфического лечения. В некоторых случаях может присоединяться вторичная бактериальная инфекция или же наступать генерализация микоплазмоза. При этом поражается опорно-двигательный аппарат (фиброзно-язвенные полиартриты) и мочеполовая система (цистит, простатит, нефрит и т.д.).
В этом случае наблюдаются такие симптомы:
— хромота на одну или несколько лапок;
— выкидыши и мертворождения у беременных кошек.
Диагностика и рекомендуемые анализы
При обнаружении любых признаков заболевания и прогрессирующем ухудшении состояния кошки следует сразу отправиться на консультацию к ветеринарному врачу.
На основе клинических данных, анамнеза болезни и лабораторных исследований ставится диагноз микоплазмоз.
Все исследования можно провести в ветеринарной лаборатории «Шанс Био»:
- Mycoplasma felis, Mycoplasma gateae кошки (ПЦР) – для подтверждения наличия болезни или подтверждение успешного лечения.
- Общий анализ крови — для оценки состояния воспалительного процесса;
- Общий анализ мочи – скрининговое исследование для оценки мочеполовой системы;
- Комплексный посев мочи, количественный с чувствительностью к антибиотикам и микостатикам
Лечение и профилактика
В первую очередь терапия направлена на устранение самого возбудителя. Для этого применяются антибиотики. При назначении некорректного лечения, процесс переходит в хроническую форму и трудно поддается лечению.
Важной задачей врача является устранить симптомы, а также предотвратить развитие вторичных инфекций.
Самый лучший метод защитить своего питомца от микоплазмоза – это общие меры профилактики. Полноценное питание в сочетании с хорошим уходом благоприятно сказываются на уровне иммунной защиты. Даже если возбудитель попадает на слизистые оболочки, вероятность развития микоплазмоза снижается.
Также постарайтесь оградить кошку от контакта с животными, у которых есть признаки заболевания. Если это не представляется возможным, то при обнаружении первых симптомов не стоит медлить, а лучше сразу обращаться к врачу.
опасно ли заболевание для людей
Микоплазмоз — это бактериальное заболевание, которое развивается внутри клетки носителя, вырабатывает большое количество токсинов, которые поражают ткани в различных средах организма: дыхательных путях, мочеполовой системе, слизистой оболочке глаз.
Причины возникновения заболевания
Заболевание передается при контакте с зараженным животным, часто не имеет внешних проявлений.
Существует множество штаммов болезни, однако наиболее опасны два из них — M. gateae и M. Felis. Одной из разновидностей микоплазмы является штамм, который вызывает гемоплазмоз кошек. Это заболевание приводит к развитию анемии.
Кошка с запущенной болезнью
Бактерия находит благоприятные условия для размножения в клетке: питательные вещества, нужную температуру.
В группе риска находятся кошки с ослабленным иммунитетом и контактирующие с бездомными животными.
Пути заражения
Заболевание передается воздушно-капельным, половым путем, при родах от матери — котенку. Бактерии микоплазмы находятся во всех средах, в том числе в почве, кошка может заразиться, даже гуляя на улице. Среда обитания инфекции — конъюнктива, дыхательные пути.
Далее будут более подробно рассмотрено, как проявляется микоплазма у кошек, симптомы заболевания и способы лечения.
Признаки заболевания
Микоплазмоз у кошек имеет симптомы простудного заболевания, и часто неверное лечение проводится дома, без обследования ветеринарного врача.
Первые симптомы болезни проявляются через 5 дней после заражения:
- повышение температуры,
- отказ от пищи,
- вялость,
- кашель,
- обильные выделения из глаз,
- отечность суставов,
- увеличение лимфоузлов.
При осложнениях болезнь может провоцировать развитие цистита, нефрита, болезни суставов, выкидыши.
Бессимптомное течение микоплазмоза у кошек
При легком течении микоплазмоз у кошек может проходить без симптомов и проходить без лечения.
Микоплазмоз под микроскопом
Микоплазмоз может быть в спящей форме и также не проявлять никаких внешних симптомов, однако со временем есть риск перехода в хроническую форму, поэтому заболевание обязательно должно лечиться.
Диагностика микоплазмоза
Если у кошки появились признаки недомогания, нужно в кратчайшие сроки обратиться в ветеринарную клинику.
Обратите внимание! При обнаружении симптомов заболевания не следует откладывать визит к врачу.
Чем быстрее будет назначено лечение, тем меньший вред заболевание может нанести животному.
Для определения заболевания проводят внешний осмотр, измерение температуры, берут ряд анализов:
- анализ на микоплазмоз методом ПЦР;
- анализ крови для определения воспалительного процесса в организме;
- анализ мочи — определяет состояние мочеполовой системы и чувствительность к антибиотикам.
Как лечить питомца
Микоплазма у кошек лечится антибиотиками. Если болезнь запущена и уже поражены органы животного, назначают препараты для лечения осложнений. Важно правильно подобрать лекарства, так как неправильное лечение может усложнить течение болезни и перевести ее в хроническую форму.
Для скорейшего выздоровления, лечение нужно дополнять иммуностимулирующими препаратами интерферона.
Чтобы устранить выделения из глаз, носа, применяют капли для промываний этих органов.
Скорость выздоровления зависит от правильного подбора препаратов, иммунной системы кошки, качественного ухода за больным питомцем, гомеопатия может служить дополнением к лечению.
Примерная схема приема антибиотиков
Чтобы вылечить кошку назначают антибиотик тетрациклиновой группы. Продолжительность приема составляет 7-14 дней, зависит от запущенности заболевания.
Для поддержания функции печени нужно давать гепато-протекторы, прием проводить одновременно с антибиотиками. Вводят препараты для восстановления полезной флоры желудочно-кишечного тракта.
Рацион на время лечения
Во время лечения микоплазмоза у кошек нужно обеспечить кошку полноценным питанием с богатым содержанием белковой пищи, витаминами. Порции должны был небольшими, чтобы организм легче справлялся с переработкой. Сбалансированный рацион поможет кошке быстрее восстановиться.
Уход за больным питомцем
Симптомы болезни могут исчезнуть после 5 дней приема лекарств, запущенную форму придется лечить до нескольких месяцев.
Лечение кошки
В период лечения, кошке необходимо обеспечить покой, оборудовать удобную лежанку, обеспечить постоянный доступ к воде, стараться не докучать вниманием, постоянно очищать кошачий туалет.
Возможные осложнения
При неправильном или несвоевременном лечении у кошки может развиться пневмония, полиартрит, нефроз. Особенно опасно сочетание двух штаммов микоплазмоза одновременно. Запущенная болезнь может привести к смерти кошки!
Опасно ли заболевание для человека
Вид микоплазмоза, которым болеет кошка, не опасен для человека. Однако следует ограничить контакт с больным котом. Микоплазмоз может быть обнаружен у человека со сниженным иммунитетом.
Для организма мужчины микоплазмоз не представляет опасность, однако он может быть носителем инфекции, которая будет передаваться через прикосновения, одежду и уличную обувь.
Заражение микоплазмозом опасно для беременных женщин, так как заболевание снижает иммунитет, что создает благоприятные условия для заражения другими болезнями, более опасными для будущей матери и ребенка.
Опасность для других домашних питомцев
Наиболее подвержены заражению котята, так как еще не обладают крепким иммунитетом.
Микоплазмоз у котят может быть уже в утробе матери. Передаться болезнь может через предметы обихода — игрушки, коврики, обувь, верхнюю одежду человека.
Важно! Больное животное необходимо изолировать от остальных домашних питомцев, чтобы исключить их заражение
Профилактика
Для профилактики заболевания нужно исключить контакт кошки с возможными зараженными животными (бездомные, уличные коты). Особенно подвержены заражению породистые животные, такие как мэйн-кун, британец.
Больной британец
Правильное сбалансированное питание поможет сформировать хороший иммунитет, с пониженной восприимчивостью к болезням.
Периодический осмотр ветеринарным врачом, поможет на ранних стадиях выявить различные недуги животного, в том числе микоплазмоз у кота.
Заболевание часто протекает на фоне других болезней, поэтому нужно вакцинировать кошку.
Микоплазмоз — распространенное заболевание, которое может привести к развитию болезней многих органов кошки.
Несвоевременное лечение усугубит состояние здоровья животного и приведет к более дорогой и длительной реабилитации. Больное животное в доме — это опасность для остальных домочадцев. Поэтому нужно периодически проверять здоровье кошки у специалистов и лечить по необходимости.
симптомы и лечение, анализы, препараты, опасность для человека
Микоплазмоз у кошек характеризуется способностью передаваться от больного животного здоровому. Микоплазмы — это одноклеточные микроорганизмы (бактерии), поражающие дыхательную, мочевыделительную, иммунную систему, слизистые оболочки, суставы.
Присутствие в организме таких вредных бактерий обуславливает разрушение эритроцитов, что приводит к аутоиммунной гемолитической анемии и развитию инфекционного заболевания.
Пути заражения
Возбудитель микоплазмоза у кошек поражает животных с ослабленным иммунитетом или подверженных стрессу. Они чаще попадают в зону риска. Учеными была установлена связь между развитием микоплазмоза, вирусной лейкемией и вирусом иммунодефицита кошек.
Микоплазмоз животных, как заболевание инфекционной природы, передается при прямом контакте (укусы, царапины, во время полового акта) зараженного и здорового животного или через элементы окружающей среды (воздух, вода, почва, предметы ухода).
Микоплазма живет в окружающей среде недолго, поэтому заразиться извне практически невозможно. У котят заболевание развивается после родоразрешения кошки.
Причины болезни могут скрываться в потенциальном переносчике инфекции — кошачьих блохах.
Симптомы
Специфические признаки микоплазмоза у кошек не проявляются. Ему свойственна разрозненная симптоматика, он поражает одновременно несколько систем организма. Кошачий микоплазмоз на ранних стадиях легко спутать с другими заболеваниями.
Признаком заболевания становится пассивность питомца. Потеря аппетита может стать причиной снижения веса. Поражается дыхательная система, проявляются конъюнктивиты и обильное слюнотечение.
На смену им приходят более серьезные симптомы:
- начинает выпадать шерсть;
- возникают болезненные ощущения в области ребер;
- кожные покровы и белки глазного дна желтеют;
- на коже и слизистых оболочках появляются гнойники;
- увеличивается селезенка;
- возникают проблемы с мочеполовой системой.
Выявленные у кошек, симптомы могут свидетельствовать о поражении организма микоплазмами, а могут указывать на развитие заболевания любой системы органов.
Владелец кошки должен незамедлительно обратиться к ветеринару и провести комплексное обследование питомца для получения адекватного лечения заболевания. При микоплазмозе у кошки симптомы и лечение зависят от фактора, вызвавшего развитие болезни.
Диагностика
Врачом-ветеринаром проводится общий анализ крови, по результатам которого оценивается количество эритроцитов, тромбоцитов и лейкоцитов.
Низкое количество эритроцитов может свидетельствовать о наличии микоплазмы в организме.
Выявить микоплазмоз у кошки возможно при помощи ПЦР-анализа — молекулярный метод, при котором особые ферменты копируют РНК и ДНК возбудителя болезни, после чего лаборанты сверяют полученные данные с базой и выявляют тип возбудителя.
К методам диагностики заболевания относится мазки, взятые из половых органов и глаз при конъюнктивите.
Лечение микоплазмоза включает курс приема антибиотиков, поэтому дополнительным станет анализ на восприимчивость к компонентам антибиотика.
Бессимптомное течение микоплазмоза у кошек
Особенностью микоплазмоза является его возможное бессимптомное протекание. В этом случае диагностировать заболевание очень сложно. При бессимптомном течении микоплазмоза кошка становится сонливой и слабой. Сонливость и слабость являются признаками ослабления иммунной системы животного.
Как лечить микоплазмоз у кошек
ВНИМАНИЕ, ТЕСТ! Ответь на несколько простых вопросов и узнай, какой ты хозяин для своей кошки:
Есть ли имя у твоей кошечки?
Микоплазмоз у кошек — симптомы, лечение и опасность для человека
Многие хозяева сталкиваются с различными заболеваниями своих питомцев.
Микоплазмоз у кошек – это болезнь инфекционного характера, во время которой можно наблюдать обширный конъюнктивит и явное покраснение. Часто такой диагноз становится настоящим испытанием для любящих владельцев.
Возбудитель микоплазмоза
Ключевой причиной возникновения микоплазмоза у кошек может стать один из возбудителей. Они обитают в организмах больных и даже выздоровевших животных, поэтому очень важно следить за иммунитетом питомца. Иначе существует риск активизации инфекции. Всего существует порядка 80 типов возбудителей микоплазмоза у кошек.
© shutterstock
Чаще всего недуг вызывают:
- Mycoplasmagatae;
- Mycoplasmafelis.
Первый микроорганизм нередко располагается в дыхательных путях кошки. Также он отлично себя чувствует на конъюнктиве. При этом он не так часто приводит к каким-то серьезным поражениям. Очень редко возникают существенные осложнения подобного заболевания.
А вот второй возбудитель микоплазмоза имеет очевидные клинические последствия.
Фактически его сложно назвать отдельным недугом, ведь причина его возникновения – ослабленный иммунитет кошки. В связи с этим, усложняется и процесс лечения, который требует избавления от симптомов и определения первоначальной инфекции.
По сути механизм появления данной болезни до сих пор остается неизвестным. Дело в том, что пока этот вопрос детально не изучен. Однако очевидно, что микоплазмоз очень опасен и сложен по своей природе. Фактически он заставляет организм кошки думать, что является его неотъемлемой частью. Поэтому иммунитет не может активно бороться с ним. Таким образом, заболевание постепенно приобретает хроническую форму. Поэтому важно – не запустить его.
Симптомы заболевания
Несмотря на то, что исследования на тему микоплазмоза до сих пор активно проводятся, существуют некоторые знания, которые помогают справляться с этим недугом. По большей части, они описывают симптомы и лечение микоплазмоза у кошек.
© shutterstock
Определить заболевание можно по следующим признакам:
- прозрачные выделения из носа и глаз;
- лихорадка, кашель;
- покраснение конъюнктивы;
- частичные эрозии;
- проблемы с кишечником.

Также у микоплазмоза есть особые характеристики. К примеру, об инфекционной природе заболевания может говорить одновременное покраснение обоих глаз кошки. В противном случае, можно судить о незаразном происхождении недуга. Сама по себе болезнь проходит в течение 10 дней. За это время крепнет иммунная система. Если же этого не происходит, заболевание становится хроническим.
В этом случае можно заметить поражение суставов. Это проявляется в том, что кошка начинает прихрамывать. Далее питомец становится менее активным, практически прекращает бегать. Более того, ему гораздо тяжелее просто вставать. Почти все время кошка лежит или спит. Все это сопровождается лихорадочным состоянием и отеком суставов.
Диагностика и лечение микоплазмоза
Диагностика микоплазмоза у кошек – дело весьма непростое. Обычно проблемы возникают с возможностью обнаружения возбудителей. Конечно, можно провести анализ на микоплазмы, если болезнь не отступит до этого времени.
Также есть смысл произвести биохимический тест крови. Врач может заметить небольшую анемию и выявить содержание белка в моче. В любом случае, он назначит антибиотики. Некоторые из них запрещено давать котенку, другие – беременным животным.
Лечение заболевания варьируется, в зависимости от этапа обнаружения микоплазмоза. Неплохо себя зарекомендовала терапия макролидами. В любом случае, категорически запрещено использовать любые виды лечения без назначения врача. Ведь у микоплазмоза есть симптомы, которые могут проявляться и в других заболеваниях котов. Поэтому следует провести тщательную диагностику у ветеринара.
© shutterstock
Профилактика
Единственным правильным и эффективным профилактическим средством от микоплазмоза у кошек является своевременная вакцинация. Это общая прививка от инфекций, которые имеют влияние на иммунную систему. Кроме того, стоит следить за правильным питанием питомца. За ним следует ухаживать должным образом, стараясь сохранять здоровье в норме.
В случае каких-либо подозрений на инфекцию, необходимо максимально быстро показать любимца ветеринару.
Опасность для человека
В связи с тем, что многие кошки страдают от микоплазмоза, хозяева стараются изучить этот вопрос максимально детально. Из-за сравнительно небольшого количества исследований по этому поводу, могут возникать различные трудности с пониманием природы болезни. К примеру, некоторых волнует опасность микоплазмоза кошек для человека. Стоит отметить, что возбудитель не воздействует на других животных, в частности, людей. Однако риск все же есть. Он возникает лишь в том случае, когда организм человека уже слаб по каким-то причинам.
© shutterstock
Уязвимой категорией, в данном случае, становятся женщины, которые могут заразиться во время менструации или беременности. Именно в этот период организм способен не справиться с инфекцией. Поэтому следует опасаться любого контакта с незнакомыми животными. При возможности, лучше исключить общение с четвероногими друзьями.
Кстати, у мужчин тоже существуют этапы, когда риск на заражение повышен. К примеру, это периоды, когда организм только справился с другим заболеванием, и иммунитет остается в немного ослабленном состоянии. В такой ситуации также рекомендуется ограничить контакт с кошками. Простые меры предосторожности помогут уберечься от неприятных последствий.
По сути определение симптомов микоплазмоза у кошек – это непростое испытание для хозяина. Однако, при своевременном выявлении инфекции, можно уберечь своего питомца от чрезмерного влияния и дать ему возможность максимально легко справиться с заболеванием. Главное – пользоваться помощью специалистов и не заниматься самостоятельным лечением. А также – применять все возможные профилактические средства от микоплазмоза.
Микоплазмоз у собак и кошек
Микоплазмозы — группа инфекционных болезней человека и животных, вызываемых микроорганизмами из класса Mollicutes.
Заболевание характеризуется преимущественно подострым и хроническим течением, с поражением слизистых оболочек (глаз, верхних дыхательных путей, урогенитального тракта), а также опорно-двигательного аппарата и кожи.
Возбудители микоплазмоза — это самые мелкие (0,2-0,3 мкм) и наиболее просто устроенные прокариоты, требовательные к питательным средам, грамотрицательные, факультативно анаэробные.
Микоплазмы чрезвычайно полиморфные микроорганизмы. В мазках, приготовленных из органов и культур, обнаруживаются округлые, кольцевидные, овальные, кокковидные и нитевидные образования. Клетки имеют различную величину, которая может варьировать от 125 до 600 нм.
Класс Mollicutes (лат.: mollis — «мягкий»; cutis — «кожа») включает более 80 родов; три семейства: микоплазма (Micoplasma), уреаплазма (Ureaplasma), и ахолеплазма (Acholeplasma).
Заражение микоплазмозом может происходить различными путями: респираторным, алиментарным, половым, контактным. Попав в организм, возбудитель прикрепляется к мембранам клеток, «сливается» с ними, и начинает размножаться.
В основе патогенетического действия этих микроорганизмов лежат их уникальные свойства мембранных паразитов. Заканчивается этот процесс либо откреплением микоплазм от клетки, либо поглощением их клеткой вследствие фагоцитоза.
В составе фагоцитирующих клеток микоплазмы из первичного очага поражения могут попадать в другие органы, а также длительно персистировать в организме. Токсинов микоплазмы не выделяют, их повреждающее действие на пораженные клетки реализуется через слаботоксичные продукты обмена, такие как ионы аммония или перекись водорода, которые оказывают неблагоприятное действие на мембраны пораженных клеток только в силу тесного контакта с этими микроорганизмами. Подобный характер мембранного и внутриклеточного паразитирования приводит нередко к хроническому или латентному течению микоплазмоза, а антигенная изменчивость, присущая возбудителю, создает для этого дополнительные условия.
В патогенезе микоплазмоза определенную роль играет способность микоплазм стимулировать пролиферацию окружающих их клеток макроорганизма.
Благодаря этому они могут способствовать непрямому повреждению тканей, вызывая усиление клеточных иммунных реакций (ГЗТ), а также повышая чувствительность клеток к вирусам, т.к. многие вирусы интенсивно размножаются именно в делящихся клетках.
Некоторые виды микоплазм являются частью сапрофитной микрофлоры, постоянно обитающей на слизистых оболочках ротовой полости, верхних дыхательных путей, желудочно-кишечного и урогенитального трактов человека и животных. Например, M. gatae является комменсалом слизистой оболочки глаз и верхних дыхательных путей кошек. Человек может быть естественным резервуаром, как минимум, для 17 видов микоплазм. Более 30 видов микоплазм являются возбудителями различных заболеваний.
Клиническое течение и выраженность симптомов микоплазмоза зависит от вида возбудителя и иммунорезистентности организма.
У иммунореактивных животных микоплазмоз протекает бессимптомно. Такие особи являются скрытыми носителями, выделяют возбудителя во внешнюю среду и являются источником инфекции для других животных.
Нередки сочетания микоплазмоза с респираторными вирусными инфекциями. Условно-патогенные микоплазмы могут вызывать заболевания у животных с иммунодефицитными состояниями. Это эндогенные инфекции, вызванные ассоциациями микоплазм с другими микроорганизмами.
Одним из наиболее частых симптомов является конъюнктивит. Воспаление слизистой оболочки глаз может быть одно- и двухсторонним. По характеру выделений: серозным, серозно-катаральным, и даже гнойным (в случае присоединения вторичной микрофлоры). При длительном течении, особенно в случае сочетания с вирусной инфекцией, или гноеродной микрофлорой, воспаление может распространиться на другие отделы глаза. Это может привести к серьезным офтальмологическим нарушениям.
При поражении органов дыхания при микоплазмозе могут наблюдаться различные симптомы: от ринита до бронхопневмонии. Отмечаются выделения из носовых ходов (от серозных до гнойных), чихание, кашель. При длительном течении микоплазмозного бронхита и бронхопневмонии в органах дыхания развиваются необратимые изменения, которые приводят к таким последствиям как бронхоэктатическая болезнь и хроническая обструктивная болезнь легких.
При микоплазмозе у собак и кошек очень часто наблюдаются поражения слизистой оболочки ротовой полости — гингивиты, которые, в зависимости от длительности течения, могут быть как поверхностными, так и эрозивно-язвенными (особенно, при сочетании микоплазмоза с другими возбудителями вирусной или бактериальной природы). Хронические гингивиты могут приводить к заболеваниям пародонта, что, в конечном итоге, приводит к потере зубов.
При поражении органов урогенитального тракта могут наблюдаться различные симптомы. При тяжелом течении микоплазмоза возможно рассасывание эмбрионов, абортирование, щенки и котята рождаются недоразвитыми, наблюдается высокая неонатальная смертность в первые дни. У сук регистрируются рецидивирующие вагиниты, выкидыши, мертворожденность; у кобелей – баланопоститы, уретриты, простатиты, орхоэпидидимиты, отек мошонки, снижение фертильности.
Микоплазменная инфекция, протекающая с поражением суставов (хронический фибринозно-гнойный полиартрит, тендосиновит) может развиться в результате распространения возбудителя из очагов активной или латентной инфекции со слизистых оболочек дыхательных путей, мочеполового тракта, конъюнктивы.
Такая клиническая картина характерна для ослабленных животных и животных с иммуносупрессией. Симптоматика проявляется в виде хронической перемежающейся хромоты, нежелании двигаться, болями в суставах, отеках и опухании суставов, возможно, с лихорадкой и общим недомоганием. По некоторым данным инфекция, вызванная М. spumans, ассоциирована с синдромом полиартрита у молодых грейхаундов.
Кожные поражения при микоплазмозе могут проявляться зудящими дерматозами различной степени выраженности.
Диагностика микоплазмоза может проводиться различными методами лабораторных исследований. Наиболее эффективными способами лабораторной диагностики являются серологические исследования (РСК, ИФА, РНГ
Микоплазмоз кошек
В организме кошек и других животных постоянно присутствует множество микроорганизмов. Они безвредны, пока иммунитет в норме. Но как только происходят какие-то изменения, связанные с перенесенной болезнью или травмой, они сразу же начинают свою деструктивную работу.
Это относится к различным грибам или организмам, таким как микоплазма. Зарубежные исследования выявили у этих 70% совершенно здоровых кошек на слизистых оболочках эти микроорганизмы.К счастью, микоплазмоз кошек не передается человеку. Для животных в одних случаях эти микоплазмы являются первичными возбудителями, а в других — вторичными возбудителями. Давайте подробнее рассмотрим эту группу инфекций, которые могут доставить неприятности нашим питомцам.
Лечение микоплазмоза у кошек
У кошек были выявлены следующие группы микоплазм: M. Фелис и М. Гате. Считается, что, скорее всего, патогенной может быть только первая группа.Чаще всего они проявляются вместе с такими инфекциями, как хламидиоз и герпесвирус. Каковы симптомы микоплазмоза у кошек? Это заболевание проявляется в виде отеков в глазах, слезотечения, гнойного и серозного конъюнктивита. Они поражают дыхательные пути, вызывая ринит, а также репродуктивную систему и мочевыводящие пути. Иногда болезнь охватывает сначала только один глаз, а уже потом переходит на второй глаз.
Затем поражает носоглотку и переключается на легкие.Бывают случаи, когда все начинается с простуды и чихания, и только со временем оттуда инфекция начинает распространяться на другие органы дыхания. Также существуют артриты, при которых разрушаются хрящи, что приводит к серьезным заболеваниям суставов. Чтобы поставить правильный диагноз, нужно взять мазки и полоскания, а затем все полученные материалы исследуются в лаборатории.
- лихорадка;
- кашель;
- боль в ребрах;
- диарея;
- отек конечностей и проседание;
- Выделения из носа;
- Чихание;
- Насморк.
В большинстве случаев диагностируются следующие заболевания: кошачий грипп, ринотрахеит, калитавирус, хламидиоз, глисты, различные аллергии.
Прейскурант | BIOR
Перейти к основному содержанию- LV
- EN
- RU
Панировочные сухари
- Прейскурант
Cenrādis — Horizontālā izvēlne 2 līmenis
- Контакты
- Прейскурант
- Информация для отправителей образцов
- Самые востребованные услуги
- Прочие услуги лабораторий
- Бланки и брошюры
- Лабораторные услуги (872)
- Услуги рыболовства (38)
Виды животных
- Аквакультура (40)
- Пчела (17)
- Птица (71)
- КРС (150)
- Кот (104)
- Олень (96)
- Собака (109)
- Пушной зверь (95)
- Коза (126)
- Лошадь (110)
- Идентификация микроорганизмов (12)
- Лабораторное животное (90)
- Овца (125)
- Свинья (127)
Заболевание / обследование
- Аборт (3)
- Острый паралич пчел (1)
- Африканская чума лошадей (2)
- Африканская чума свиней (3)
- Алеутская болезнь (плазмоцитоз норки) (1)
- Американский гнилец (2)
- Анаплазмоз (1)
- Сибирская язва (сибирская чума) (2)
- Болезнь Ауески (4)
- Птичий грипп (7)
- Микоплазмоз птиц (1)
- Бактериальные инфекции (10)
- Паразитарные болезни пчел (3)
- Вирус черной королевы клетки (1)
- Голубой язык (5)
- Боррелиоз (1)
- Кампилобактериоз крупного рогатого скота (1)
- Коронавирусная инфекция крупного рогатого скота (2)
- Парагрипп крупного рогатого скота-3 (2)
- Респираторно-синцитиальный вирус крупного рогатого скота (2)
- Ротавирусная инфекция крупного рогатого скота (1)
- Губчатая энцефалопатия крупного рогатого скота (1)
- Вирусная диарея крупного рогатого скота (5)
- Бруцеллез (5)
- Кампилобактериоз (2)
- Козий артрит и энцефалит (2)
- Вирусы Capripox (1)
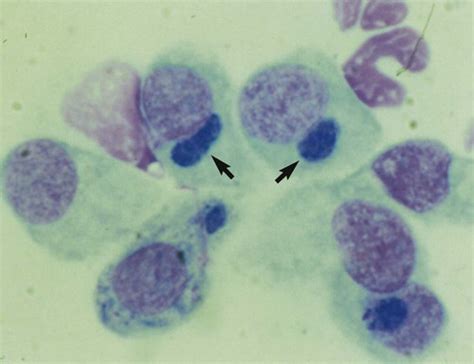
Гемотрофический микоплазмоз кошек
Что такое гемотрофический микоплазмоз кошек?
Гемотрофический микоплазмоз кошек (FHM) — современное название относительно редко встречающейся инфекции кошек.
При этом заболевании эритроциты кошки заражаются микроскопическим кровяным паразитом. Последующее разрушение инфицированных эритроцитов приводит к анемии. Анемия — это медицинский термин, обозначающий уменьшение количества красных кровяных телец (эритроцитов) или количества пигментного гемоглобина крови, переносящего кислород. В прошлом это заболевание называлось Инфекционная анемия кошек или гемобартонеллез
Что вызывает гемотрофический микоплазмоз кошек (FHM)?
«Анемия возникает, если инфицировано и уничтожено достаточное количество эритроцитов.«
FHM вызывается микроскопическим паразитом, который прикрепляется к поверхности красных кровяных телец кошки. Этот паразит был недавно реклассифицирован и назван Mycoplasma haemofelis (его старое название было Hemobartonella felis). Зараженные клетки крови могут разрушаются, или они могут быть обработаны иммунной системой кошки как «чужеродные» и уничтожены.
Анемия возникает, если инфицировано и уничтожено достаточно эритроцитов.
Каковы признаки FHM?
Анемия может быть мягкая и не вызывает явных признаков.Многие случаи заражения кошек FHM остаются незамеченными. Некоторые из этих субклинических кошек остаются долгосрочными носителями болезни и передают болезнь другим кошкам. Если другое заболевание или состояние снижает иммунитет кошки, FHM может стать клинически очевидным.
Если большое количество эритроцитов разрушается, возникает симптоматическая анемия. Слизистые оболочки, легко заметные на конъюнктивальной подкладке глаз и десен, будут бледными или белыми. Если желтуха сопровождает анемию, оболочки могут быть желтыми.Поскольку кислородная способность крови снижается, кошка может быстро утомляться, быть слабой и вялой, а также терять вес.
Как диагностируется FHM?
У кошек есть много причин для анемии, и даже если обнаружен M. haemofelis , это может не быть действительной причиной анемии.
Для диагностики FHM потребуется полное клиническое обследование с анализами крови и мочи. Хотя кровяной паразит имеет характерную форму на поверхности окрашенных эритроцитов, это очень маленький организм, и его трудно наблюдать, особенно когда инфицировано относительно небольшое количество эритроцитов.Доля инфицированных клеток может меняться день ото дня. Поскольку этот микроорганизм иногда можно найти у нормальных кошек, простое обнаружение M. haemofelis не подтверждает диагноз FHM, и нельзя упускать из виду другие возможные причины анемии.
Можно ли вылечить FHM?
«Важно дать пациенту полный курс антибиотиков».
Некоторые антибиотики широкого спектра действия, такие как тетрациклин, разрушают M.Гемофелис . В некоторых случаях после первоначального хорошего ответа на лечение антибиотиками может произойти рецидив. Кроме того, организм может сохраняться в местах, защищенных от антибиотика. Поэтому важно дать пациенту полный курс антибиотиков.
Если присутствует другое заболевание, его также необходимо лечить. Если есть подозрение на иммуноопосредованное заболевание, можно использовать иммунодепрессанты, такие как кортикостероиды. Если анемия очень тяжелая, может потребоваться переливание крови.
Как передается FHM и подвергаются ли другие мои кошки риску?
Считается, что основным путем передачи FHM являются кусающие кровососущие паразиты, такие как блохи. Прямая передача от кошки к кошке или передача через неодушевленные предметы, такие как зараженные миски с едой и подносы для туалета, маловероятны. Даже если в доме есть другие кошки, они могут остаться незараженными или, по крайней мере, без симптомов. Однако укус зараженной кошки может распространить инфекцию. Инкубационный период может длиться до семи недель, хотя двухнедельный инкубационный период является более нормальным.Из-за этого длительного инкубационного периода может быть трудно определить фактический источник инфекции. Поскольку вопрос о том, как он распространяется между кошками, не совсем понятен, следует соблюдать правила гигиены.
Микоплазмоз
Микоплазмоз птиц вызывается несколькими патогенными микоплазмами, включая Mycoplasma gallisepticum (MG) и M. synoviae (MS). MG вызывает хроническое респираторное заболевание у домашней птицы, характеризующееся конъюнктивитом, чиханием, синуситом и потерей яйценоскости.РС вызывает респираторные заболевания и синовит, а клинические признаки включают хромоту, отек суставов и волдыри на груди.
ProFLOK® MG Ab
Виды: Цыпленок | Тип образца : Сыворотка | Время проверки : Менее 2 часов
Набор для тестирования антител ProFLOK ® MG Ab Mycoplasma gallisepticum представляет собой быстрый и специфичный предполагаемый иммуноферментный анализ (ELISA) для обнаружения антител к MG в образцах куриной сыворотки.Этот ELISA был одобрен Национальным планом улучшения птицеводства. Положительные результаты должны быть подтверждены общепринятыми методиками.
ProFLOK® MG T Ab
Породы: Турция | Тип образца : Сыворотка | Время проверки : Менее 2 часов
Набор для тестирования антител ProFLOK ® MG T Ab Mycoplasma gallisepticum представляет собой быстрый и специфический презумптивный ELISA для обнаружения антител к MG в образцах сыворотки индейки.Этот ELISA был одобрен Национальным планом улучшения птицеводства. Положительные результаты должны быть подтверждены общепринятыми методиками.
ProFLOK® MS Ab
Виды: Цыпленок | Тип образца : Сыворотка | Время проверки : Менее 2 часов
Набор для тестирования антител ProFLOK ® MS Ab Mycoplasma synoviae представляет собой быстрый и специфичный презумптивный скрининговый ELISA для обнаружения антител к MS в образцах куриной сыворотки.Этот ELISA был одобрен Национальным планом улучшения птицеводства.
Положительные результаты должны быть подтверждены общепринятыми методиками.
ProFLOK® MS T Ab
Породы: Турция | Тип образца : Сыворотка | Время проверки : Менее 2 часов
Набор для тестирования антител ProFLOK ® MS T Ab Mycoplasma synoviae представляет собой быстрый и специфический презумптивный скрининговый ELISA для обнаружения антител к MS в образцах сыворотки индейки.Этот ELISA был одобрен Национальным планом улучшения птицеводства. Положительные результаты должны быть подтверждены общепринятыми методиками.
ProFLOK® MG-MS Ab
Виды: Цыпленок и индейка | Тип образца : Сыворотка | Время проверки : Менее 2 часов
ProFLOK ® MG-MS Ab Mycoplasma gallisepticum -M. synoviae antibody test kit — это быстрый и специфичный презумптивный скрининговый ELISA для обнаружения антител к MG и MS в образцах сыворотки курицы и индейки.
Этот ELISA был одобрен Национальным планом улучшения птицеводства. Положительные результаты должны быть подтверждены общепринятыми методиками.
ProFLOK® MM Ab
Породы: Турция | Тип образца : Сыворотка | Время проверки : Менее 2 часов
Набор для тестирования антител ProFLOK ® MM Ab Mycoplasma meleagridis (MM) представляет собой быстрый и предполагаемый серологический скрининговый ELISA для обнаружения антител к MM в образцах сыворотки индейки.Этот ELISA был одобрен Национальным планом улучшения птицеводства. Положительные результаты должны быть подтверждены общепринятыми методиками.
определение микоплазмоза и синонимов микоплазмоза (английский)
микоплазмоз: определение микоплазмоза и синонимы микоплазмоза (английский)арабский болгарский китайский язык хорватский чешский язык Датский Голландский английский эстонский Финский французский язык Немецкий Греческий иврит хинди венгерский язык исландский индонезийский Итальянский Японский корейский язык Латышский Литовский язык Малагасийский Норвежский Персидский Польский португальский румынский русский сербский словацкий словенский испанский язык Шведский Тайский турецкий вьетнамский
арабский болгарский китайский язык хорватский чешский язык Датский Голландский английский эстонский Финский французский язык Немецкий Греческий иврит хинди венгерский язык исландский индонезийский Итальянский Японский корейский язык Латышский Литовский язык Малагасийский Норвежский Персидский Польский португальский румынский русский сербский словацкий словенский испанский язык Шведский Тайский турецкий вьетнамский
содержание сенсагента
- определения
- синонимов
- антонимов
- энциклопедия
Решение для веб-мастеров
Александрия
Всплывающее окно с информацией (полное содержимое Sensagent), вызываемое двойным щелчком по любому слову на вашей веб-странице.
Предоставьте контекстные объяснения и перевод с вашего сайта !
Попробуйте здесь или получите код
SensagentBox
С помощью SensagentBox посетители вашего сайта могут получить доступ к надежной информации на более чем 5 миллионах страниц, предоставленных Sensagent.com. Выберите дизайн, который подходит вашему сайту.
Бизнес-решение
Улучшите содержание своего сайта
Добавьте новый контент на свой сайт из Sensagent by XML.
Сканирование продуктов или добавление
Получите доступ к XML для поиска лучших продуктов.
Индексирование изображений и определение метаданных
Получите доступ к XML, чтобы исправить значение ваших метаданных.
Напишите нам, чтобы описать вашу идею.
Lettris
Lettris — любопытная игра-тетрис-клон, в которой все кубики имеют одинаковую квадратную форму, но разное содержание. На каждом квадрате есть буква. Чтобы квадраты исчезли и сэкономили место для других квадратов, вам нужно собрать английские слова (left, right, up, down) из падающих квадратов.
болт
Boggle дает вам 3 минуты, чтобы найти как можно больше слов (3 буквы и более) в сетке из 16 букв. Вы также можете попробовать сетку из 16 букв. Буквы должны располагаться рядом, и более длинные слова оцениваются лучше. Посмотрите, сможете ли вы попасть в Зал славы сетки!
Английский словарь
Основные ссылки
WordNet предоставляет большинство определений на английском языке.
Английский тезаурус в основном заимствован из The Integral Dictionary (TID).
English Encyclopedia лицензирована Википедией (GNU).
Перевод
Измените целевой язык, чтобы найти перевод.
Советы: просмотрите семантические поля (см. От идей к словам) на двух языках, чтобы узнать больше.
7917 онлайн посетителей
вычислено за 0,032 с
.



Фактически его сложно назвать отдельным недугом, ведь причина его возникновения – ослабленный иммунитет кошки. В связи с этим, усложняется и процесс лечения, который требует избавления от симптомов и определения первоначальной инфекции.
