Как Вылечить Грибок Малассезия В Ушах У Собаки
Малассезия у собак
Ветеринары встречаются регулярно с грибковыми заболеваниями кожи домашних животных встречаются регулярно. Однако наличие дрожжевого гриба на коже собаки и инфицирование организма не взаимосвязаны. Malassezia pachydermatis, грибок, способный вызвать малассезию у собак, при обследовании обнаружится на шкуре любого, даже самого ухоженного животного. Заметим, что грибок в большинстве случаев не только не опасен, но и способствует созданию на кожном покрове собаки микрофлоры, уничтожающей золотистый стафилококк и прочие опасные инфекции. Но когда-нибудь возникают обстоятельства, при которых приходится лечить малассезию собак. Этому способствует снижение иммунитета, гормональные нарушения и аллергическое состояние животного.
Симптомы малассезии у собак
В первую очередь отметим, что некоторые породы собак имеют предрасположенность к заболеванию. Поэтому владельцам немецких овчарок, английских сеттеров, мальтийских болонок, английских кокеров, некоторых видов терьеров и китайских красавцев Ши Тцзу нужно быть всегда настороже.
Человеку грибок не опасен, а вот у собаки заболевание сопровождается неприятными симптомами:
• шелушение кожного покрова;
• эритемой и жирной себореей.
В результате собака постоянно чешется. У паразита есть излюбленные места – складки шеи и меж пальцевые промежутки, а также слизистые оболочки, уши. Основной признак малассезии – кожа постоянно чешется. В результате животное травмирует шкуру, от чего на ней появляются раны, способствующие проникновению вторичной инфекции. Первичное поражение на морде и в ушах может развиться во вторичную себорею с появлением чешуйчатой жирной кожи.
Грибок на морде собака постоянно расчесывает. Если же инфекция поразила лапы между пальцами, то ситуация усугубляется тем, что пес постоянно слюнявит пораженные места и, таким образом, создает для грибка еще более комфортные условия. В результате состояние собаки стремительно ухудшается – теряется волосяной покров, возникает и усугубляется пигментация, коже утолщается.
Малассезия в ушах у собак зачастую осложняется ушным клещом.
В такой ситуации состояние животного усугубляется– собака в результате нестерпимого зуда становится почти неконтактной и постоянно чешет уши, качает головой.
Диагностика
Для выявления грибка требуется микроскопическая диагностика. Если под микроскопом обнаружено боле двух экземпляров грибка, значит налицо начальная стадия заболевания. Если грибков в окуляре микроскопа более десятка, то заболевание уже находится в запущенной стадии. Альтернативный способ диагностики – выращивание посева дрожжевого грибка в питательной среде. Грибок малассезии имеется в шерсти любой собаки. Для определения его количестваопытному ветеринару достаточно произвести цитологическое исследование соскобов с ушей и коже с помощью лейкопластыря.
Самостоятельно владелец собаки грибок малассезии не обнаружит и сделать правильный диагноз не сможет. При обнаружении тревожных симптомов немедленно обращайтесь в в ветеринарную клинику.
Малассезия у собак: лечение
При лечении заболевания основная задача – создать невыносимые условия для грибка-возбудителя.
Это, в первую очередь, обработка шкуры препаратами (шампунями и мазями), содержащими серу или хлоргексин. Интересно, что некоторые шампуни от перхоти для людей оказываются эффективными средствами, снижающими симптоматику заболевания
Специальные противогрибковые мази, назначенные ветеринаром, применяются на протяжении нескольких недель не реже двух раз в день.
Как и чем лечить малассезию у собак?
При рецидиве заболевания требуется поддерживающая терапия с применением местных противогрибковых средств.
При малассезии у собаки в ушах чистить уши борным спиртом и капать противогрибковые капли придется 2-3 раза в день. Высохшее после чистки ухо обрабатывается нистатином, кломитразолом или тиабендозолом.
Имейте в виду, что грибы малассезия у собак за пару дней не выводятся. Готовьтесь к нескольким неделям усиленной терапии. При этом самостоятельная ваша работа должна контролироваться ветеринаром, поскольку не все препараты безвредны для вашего питомца. Ничего удивительного не будет, если вскоре после начала лечения у собаки появится рвота или неадекватное поведение.
Это буде означать, что вашему питомцу нужно для излечения изменить некоторые препараты.
Нередко приходится производить обработку всей кожи собаки, поскольку она, даже после удаления грибка из кожных складок и ушных раковин, может оставаться источником повторного заражения.
Малассезионный дерматит у собак и кошек: патогенез, диагностика и лечение. Malassezia pachydermatis вызванные дерматиты
Malassezia pachydermatis представляет собой комменсальные виды дрожжей, которые живут на кожных покровах собак и кошек, обычно изолируются из губ, межпальцевых складок, слизистой оболочки анального отверстия и наружного слухового прохода. Это оппортунистические или условно-патогенные виды дрожжей, которые обычно проявляются после развития других заболеваний. Малассезиозный дерматит очень распространен у собак и менее часто встречается у кошек. При неправивльном спользовании антибактериальной терапии может привести к развитию или избыточному росту кожных форм M.
Как распознать и лечить малассезию у собак
pachydermatis у собак, что также проявляется нарушениями кератинизации и реакциями гиперчувствительности.
Собаки пород басетхаунд, кокер-спаниель, вест-айленд-уайт-терьер более предрасположены к инфекциям кожи, вызванным грибком рода Malassezia pachydermatis.
Наиболее распространенным клиническим проявлением малассезионного дерматита у собак и кошек является наличие умеренного или интенсивного зуда. Эритема, лихенификация, жирная кожа, неприятный запах, алопеция и эрозия также выявляются у больных собак и кошек посредством общих клинических исследований. Malassezia pachydermatis ассоциированные дерматиты у собак и кошек которые могут быть генерализованными или локальными.
Цитология является диагностическим методом выбора и позволяет микроскопически идентифицировать увеличенное количество дрожжей вида Malassezia pachydermatis на коже больных мелких домашних животных. Образцы могут быть получены с помощью соскобов кожи, тампонов, прямого отпечатка или скотч-теста. Грибковая культура не рекомендуется в качестве диагностической процедуры, поскольку она не является методом количественной оценки.
Идентификация и коррекция предрасполагающих заболеваний необходимы для успешного лечения малассезионного дерматита у собак и кошек. В легких случаях можно лечить шампунями миконазола, 2-3 % хлоргексидина, кетоконазола или уксусной кислоты. Ванны следует давать два раза в неделю в течение как минимум шести недель. Пациенты, нуждающиеся в системном лечении, должны получать оральные противогрибковые средства, такие как кетоконазол, итраконазол или флуконазол в дозах 5 мг/кг один раз в день в течение минимум 30 дней. Тербинафин в дозе 30 мг/кг каждые 24 часа в течение двух последовательных дней в неделю, в течение шести недель, также может быть эффективным лечением малассезиозного дерматита у собак и кошек. Для предотвращения рецидивов заболевания может потребоваться регулярная поддерживающая терапия у многих собак и кошек. Целесообразно применять иммуностимулирующие препараты.
Данная статья посвящена аспектам течения и развития малассезионного дерматита у собак и кошек, а также аспектам его лечения и диагностики.
Malassezia pachydermatis и вызываемые ею дерматиты чрезвычайно распространены у собак, достаточно редки у кошек.
Полезно знать
В большинстве случаев явное улучшение состояния кожи наступает через неделю при комбинации системного и наружного лечения, 7–14 дней при только системной терапии и более чем через две недели при только наружных обработках. Средняя продолжительность терапии составляет около 4 недель. Есть лекарство, применяемое внутрь, Кетоканозол или Флюконазол. Регулярный короткий курс поможет собаке убрать проблемы.В случае часто рецидивирующего малассезионного дерматита необходима поддерживающая наружная терапия (шампуни, ополаскивания) 1 – 2 раза в неделю или пероральный прием антимикотика каждые 3 дня.
В любом случае, при проявлении данного заболевания у вашего бульмастифа, надо срочно обращаться к ветеринарному врачу, чем скорее будет назначено правильное лечение, исход будет положительным.
Нарушение тироидной функции также могут вызвать эти проблемы.
Низкий уровень этих гормонов у бассет хаунда встречается часто и большинство ветеринаров считают это нормой, хотя многие проблемы возникают именно по этой причине. Применение антибиотиков также является причиной разрастания грибка.
Качественное питание необходимо при проблемах с кожей. Необходимо избегать употребления пшеницы и сои, в некоторых случаях полностью исключаются зерновые. Белый рис не очень хорош, но приемлем, хотя нужно убрать весь сахар. Омега 3 -очень важны для кожи. Добавки такие, как витамин Е или рыбий жир, также успешно применяются. Только помните, что у собак ускоренный метаболизм и все добавки нужно удваивать.
Собакам необходимо очень мало углеводов. Если говорить, что они всеядны, то это означает-мясо и зелень. Зерновые и клейковина -это только наполнители. Дрожжевым грибкам нужны сахара для их роста. А углеводы распадаются на сахара.Чеснок и орегано также хорошие помощники для борьбы с грибками.Нос, подушечки лап, уши наиболее подвержены грибкам, особенно во влажные жаркие месяцы, когда рост грибка наиболее активен.
Малассезия у собак: когда полезный грибок становится вредным
Эти области нужно лечить, также как и область подмышек, подвес и паховые зоны. Летом нужно быть наиболее бдительным в отношении чистоты и диеты. Даже собаки, у которых нет кожных проблем и аллергии, могут быть подвержены развитию грибка в складках и в тех местах, где наиболее влажно. Держите собак чистыми и Сухими, сухими, сухими! Как правило, шерсть в таких местах редкая и кожа подвержена большему риску.
Не используйте шампунь на основе овса, поскольку это зерно способствует развитию крахмала/сахаров на коже.
Используйте шампунь низорал.Сначала купайте собаку 2 раза в неделю, когда кожа будет лучше выглядеть, переходите на 1 раз в две недели. У собак с большими проблемами, продолжайте также (2 раза в неделю ). Вы не должны позволить грибку расти. Очень помогает промывание 50/50 яблочный уксус и вода.
Не забывайте об ушах, и вы можете также почистить уши внутри. Шампунь нужно оставить на собаке 5 мин, если шерсть короткая , но 10 мин -лучше.
Если поражены пара зон, то местная обработка должна помочь.Это можно сделать, взяв немного шампуня на влажную тряпочку и протереть , затем просушить полотенцем. Смывать не нужно.
Рецепт из народной медицины:
6 унций изопропиленового спирта налить в бутылку, добавить 1/2 ложки борной кислоты, встряхнуть, чтобы порошок полностью растворился и добавить 2 унции белого уксуса. Встряхнуть, и еще -1 чайная ложка бетадина. Хорошо взболтать. Протирать этим раствором места локализации малассезии.
Грибковые заболевания
Малацезиоз
Малацезиоз ( malasseziasis)– это заболевание вызываемое дрожжевым грибком малацезией (malassezia dermatitis), который в норме в небольшом количестве может находится на коже и в наружном ушном канале собаки и лечения не требует. Малацезия не заразна для людей и других животных. Кожное заболевание этим грибком происходит при нарушениях в организме собаки. Это например:
- аллергические реакции,
- гормональные нарушения,
- снижения в работе иммунитета.

В результате чего происходит изменения микроклимата на коже, и грибок начинает активно размножаться. Для малацезии наиболее благоприятны — влажность, тепло, воспаленная кожа на плохо проветриваемых участках тела, поэтому чаще всего поражаются периоральная и периональная области, складки кожи, наружный слуховой проход.
На участках тела пораженных малацезией появляется покраснение или потемнение, происходит утолщение кожи, может появится специфический запах и зуд от невыраженного до сильного.
Диагностика малацезиоза
Для постановки диагноза с кожи или наружного слухового прохода берется соскоб или мазок для цитологического исследования. Диагноз подтверждается при обнаружении в цитологии большого количества малацезий. Так как малацезия в небольшом количестве в норме присутствует на коже исследование на малацезиос метом посева не имеет диагностической ценности.
Лечение малацезиоза
Для лечения назначаются местные или системные противогрибковые препараты.
В некоторых случаях лечение достаточно длительное. Так как малацезиоз как правило вторичен, необходимо диагностировать и лечить основное заболевание.
Кандидоз (candidiasis) — кожная инфекция требующая лечения, результат разрастания грибков кандида, которые в норме в небольшом количестве присутствуют на слизистых оболочках. Его разрастание происходит в результате предрасполагающих факторов таких как:
- хронические травмы,
- имунносупрессия,
- длительный прием цитотоксических препаратов или антибиотиков широкого сектора действия.
Заболевание кандидозом у собак встречается редко. Поражения слизистых характеризуются эрозиями и поверхностными язвами, как на самих слизистых, так и на слизисто-кожных зонах. Это могут быть единичные или множественные незаживающие язвы, покрытые серовато-белым налетом или бляшки.
Кожные поражения характеризуются незаживающими эрозиями, эритемами, экссудацией и корками на коже и в области когтевого ложа.
Диагностика кандидоза
Диагноз ставят с помощью цитологического исследования. В цитологии обнаруживают признаки гнойного воспаления с многочисленными дрожжевыми грибками, редко псевдо гифы. Еще проводят гистологическое исследование. Можно провести культуральное исследование методом посева, но так как кандида в норме в небольшом количестве может присутствовать на слизистых оболочках, то положительный посев нужно подтверждать цитогистологически.
Лечение кандидоза
Для лечения применяются местные или системные противогрибковые препараты.
Прогноз на выздоровление хороший, но зависит от причины вызвавшей рост кандиды.
Заболевание не заразно для человека и других животных.
Дерматофития (лишай)
Дерматофития — это грибковое заболевание, которое вызывают грибки microsporum canis, Microsporum gypseum, Trichophyton mentagrophytes. Поражаются поверхностные слои кожи, волосы и когти. Дерматофития очень заразное заболевание. МОЖЕТ БОЛЕТЬ ЧЕЛОВЕК! Поэтому требуется обязательное лечение и контроль заболевания.
Наиболее часто встречается M.canis. Некоторые животные могут являться носителями дерматофитий, без проявления клинических признаков. Бессимптомное течение у собак встречается редко, иногда у йоркширских терьеров.
Кожные проявления дерматофитии очень разнообразны. Поражения могут быть разные по количеству, форме и локализации. При поражении дерматофитозом на теле появляются одиночные (локализованная форма) или множественные (генерализованная форма) очаги, чаще округлой формы. Это может быть просто очаг алопеции, без признаков воспаления. Иногда волосы в очаге могут казаться обломленными, или как бы подстриженными, может быть покраснение, папулы корочки или себорея. Одно из проявлений дерматофитий это фолликулит или фурункулез на морде животного очень похожее на пиодермию. Иногда встречается поражение креон – узелковое образование в результате иммунного ответа на внедрение дерматофита.
Диагностика дерматофитии
Из-за того что внешние проявления дерматофитии разнообразно для постановки диагноза внешнего осмотра недостаточно, необходимы дополнительные методы обследования.
Malassezia — Ветеринар для бульмастифа, вызов ветврача на дом
Один из самых простых и недорогих методов это использование лампы Вуда. Под ее светом некоторые виды микроспорий дают зеленовато-салатовое свечение на стержне волоса. Следующий метод это микроскопия волос — для обнаружения спор дерматофитов. Обнаружение спор достаточно для подтверждения диагноза. Так же для постановки диагноза делаются посевы на специальные среды, с последующий микроскопией выросших культур.
Лечение дерматофитии
Тактика лечения зависит от тяжести заболевания, возраста и иммунной системы животного, условий содержания. Иногда лечение может длиться несколько месяцев. Для лечения применяются местные и системные противогрибковые препараты. Длинношерстные собаки должны быть пострижены для облегчения местных обработок и для снижения разноса ими спор в окружающей среде. Существуют специальные вакцины для лечения и профилактики дерматофитий.
Заболевание очень контагиозное, все животные находящиеся в контакте должны быть обследованы.
Если в доме несколько животных, то лучше всего обрабатывать всех полностью при помощи лечебных шампуней. Дерматофиты могут сохранятся в окружающей среде до 18 месяцев, поэтому чтобы избежать рецидивов необходимо проводить обработку окружающей среды. Контроль эффективности лечения осуществляется осмотром животного и поражений на коже, микроскопией и посевами. Прогноз на выздоровление зависит от состояния здоровья собаки, условий содержания и вида грибка.
Специалисты клиник «Кот и Пес» на Васильевском острове окажут вашему питомцу своевременную и профессиональную помощь.
В первую очередь отметим, что некоторые породы собак имеют предрасположенность к заболеванию. Поэтому владельцам немецких овчарок, английских сеттеров, мальтийских болонок, английских кокеров, некоторых видов терьеров и китайских красавцев Ши Тцзу нужно быть всегда настороже. Человеку грибок не опасен, а вот у собаки заболевание сопровождается неприятными симптомами:
• шелушение кожного покрова;
• эритемой и жирной себореей.![]()
В результате собака постоянно чешется. У паразита есть излюбленные места – складки шеи и меж пальцевые промежутки, а также слизистые оболочки, уши. Основной признак малассезии – кожа постоянно чешется. В результате животное травмирует шкуру, от чего на ней появляются раны, способствующие проникновению вторичной инфекции. Первичное поражение на морде и в ушах может развиться во вторичную себорею с появлением чешуйчатой жирной кожи.
Грибок на морде собака постоянно расчесывает. Если же инфекция поразила лапы между пальцами, то ситуация усугубляется тем, что пес постоянно слюнявит пораженные места и, таким образом, создает для грибка еще более комфортные условия. В результате состояние собаки стремительно ухудшается – теряется волосяной покров, возникает и усугубляется пигментация, коже утолщается.
Малассезия в ушах у собак зачастую осложняется ушным клещом. В такой ситуации состояние животного усугубляется– собака в результате нестерпимого зуда становится почти неконтактной и постоянно чешет уши, качает головой.
Есть ли шансы на лечение малассезийного отита у собаки
Распространенное кожное заболевание, малассезия у собак. Ни одно животное не привязывается так к своему хозяину как пес, и именно за это мы их и любим. Но наши домашние животные тоже подвержены различным заболеваниям и хозяину нужно знать, как их распознать и лечить.
Что такое малассезия у собак
Вообще много микробов и бактерий располагаются на коже животных, но некоторые образуют симбиоз со своим носителем. Взаимо
Малассезиозный отит у собак это
Малассезия (Malassezia) — дрожжевой грибок, существующий на коже абсолютного большинства животных, включая собак, живущих в наших широтах. Лайки и северные олени счастливее в этом плане, так как холодный климат и отрицательную температуру воздуха этот микроорганизм не любит и в таких условиях не живет.
Теплокровные животные носят на своей коже большое количество различных грибков и других микроорганизмов. Причем многие из этих жителей в обычных условиях не оказывают никакого вреда здоровью своих хозяев, а иногда даже приносят определенную пользу.
Но стоит иммунитету упасть — все меняется. Безобидный грибок превращается в агрессивного возбудителя. Он атакует ослабленный инфекцией организм, распространяя свои колонии на слизистые оболочки и нежную кожу в местах природных складок (межпальцевые пространства, область губ, слуховые проходы). Малассезия у собак — один из таких коварных грибков.
Что представляет собой грибок
Всего известно около десяти разновидностей грибка малассезии, но на собаках живет только один его вид – pachydermatis. Жизнедеятельность этого микроорганизма достаточно хорошо изучена. Достоверно известно о нем следующее:
- Его колонии постоянно присутствуют на слизистых и кожных покровах у абсолютного большинства собак.
- Размножается он монополюсным почкованием. Любое изменение в состоянии здоровья хозяина вызывают мгновенную реакцию микроорганизма. Скорость образования его колоний резко возрастает. Остановить этот лавинообразный процесс может только противогрибковая терапия.
- Колонии грибка любят локализоваться в наружных слуховых проходах, на морде, на передней части шеи, в межпальцевых пространствах, в области анального отверстия.

- В обычных условиях организмы грибков малассезии и их хозяев — собак живут во взаимовыгодном симбиозе. Грибок находится в благоприятных для себя условиях, а на кожных покровах собаки благодаря ему формируется особая защитная среда. Она препятствует вторжению возбудителей некоторых инфекционных заболеваний (в частности, золотистого стафилококка).
- Ослабленный иммунитет собаки — сигнал для малассезии к переходу в агрессивную патологическую форму.
Предрасположенность к заболеванию
Процент грибковых поражений среди мужских и женских особей практически одинаков. Почтенный возраст делает вероятность заболевания более высокой, и это не удивительно. Пожилые собаки чаще подвержены инфекциям, имеют более низкий иммунитет, чем молодые и полные сил.
Малассезионный дерматит может встречаться у любой породы собак. Но есть несколько пород, больше других подверженных этому грибковому поражению. В этот список попали:
- таксы;
- английские сеттеры;
- кокер-спаниели;
- шотландские белые терьеры;
- миниатюрные пудели;
- бассет-хаунды.

Предполагается также, что влажная жаркая погода может благоприятствовать распространению грибковой инфекции, в то время как сухие и прохладные погодные условия мешают ему.
Основные провоцирующие факторы малассезии
Для того чтобы уберечь свою собаку от заболевания и при необходимости сразу же принять меры, нужно знать, какие факторы могут благоприятствовать активному росту грибка на коже и диагностировать возможные сопутствующие заболевания.
Достоверно известно, что заболевание незаразно. Оно не передается от собаки к собаке. Недуг имеет внутренние причины. Для людей и других животных собачий грибок малассезия тоже не заразен.
Многолетний опыт разведения собак позволил специалистам сделать вывод об основных причинах активной полиферации (распространения) грибка на коже животных, среди которых:
- ослабленный иммунитет;
- инфекционные заболевания;
- хронические заболевания;
- аллергические реакции различной этиологии;
- любые кожные заболевания, нарушающие целостность кожного покрова;
- прием гормональных средств и антибиотикотерапия;
- слишком частое применение шампуней и других моющих средств;
- плохой уход за густой длинной шерстью.

Ослабленный иммунитет
Основная причина болезни — ослабленный иммунитет. Низкая сопротивляемость кожным инфекциям может носить наследственный характер, а может представлять собой хроническое заболевание. Наследственный недуг диагностируется очень рано, когда кожные болезни начинают атаковать щенка в самом нежном возрасте.
Хронические болезни
Хронические болезни не менее опасны, так как они вызывают стойкое снижение иммунитета. Постоянно прогрессируя, они создают благоприятные условия для роста колоний грибка — захватчика. Кожный покров собаки для них становится патогенной средой, которую они стараются всеми силами подавить.
Инфекционные заболевания
Кожные инфекционные заболевания имеют тот же итог — иммунодефицит. К тому же многие из них характеризуются сильным неутихающим зудом. Расчесанная до крови кожа — это ворота для болезнетворных микроорганизмов. А патологические организмы для грибка — знак к бурному размножению для борьбы «за территорию».
Аллергические реакции различной этиологии
Аллергическая реакция на коже создает те же самые условия (расчесы, нарушение целостности кожного покрова, снижение иммунитета) побуждающие микроорганизмы активно размножаться.
Лечение гормональными препаратами и антибиотиками
Гормонозаместительная терапия в большинстве случаев имеет побочные эффекты. В частности, это неблагоприятное воздействие на органы эндокринной системы. Их функции могут нарушаться, отчего страдает выработка естественных гормонов. Все это не лучшим образом сказывается на состоянии кожных покровов. А это прямой путь к активизации роста грибков.
Прием антибактериальных средств тоже имеет свои отрицательные стороны. Активно подавляя рост болезнетворных бактерий, они в то же время наносят существенный удар по защитным функциям организма. Поэтому каждый прием антибиотиков должен сопровождаться параллельным приемом антимикотических и иммуностимулирующих средств.
Частое применение моющих средств
Один из главных факторов защиты от грибковой инфекции — это сохранение целостности кожного покрова.
Искусственно нарушить эту целостность могут часто применяемые шампуни и моющие средства. Они смывают защитный слой эпидермиса, и кожа становится сухой и восприимчивой к различным инфекциям.
Но в то же время, необходим тщательный уход за ушами. Там имеется благоприятная среда для развития малассезии — теплая и влажная среда. Ушные проходы следует своевременно чистить от серных выделений, каждый раз вытирая их насухо.
Плохой уход за шерстью
Длинная, плохо расчесанная шерсть создает препятствие для хорошего воздухообмена и проветривания кожного покрова. Влажность и высокая температура кожи делают возможным быстрое размножение на ней грибковых инфекций.
Клиническая картина заболевания
Малассезия определяется по характерным симптомам. Их список невелик, но дает довольно ясную картину заболевания. В зависимости от стадии болезни грибковое поражение кожи может быть локализованным или генерализованным (охватывающим весь кожный покров).
- Сильный зуд. Это основной и самый мучительный симптом.
Собака теряет покой. Зуд локализуется в местах грибковых поражений и захватывает новые участки в соответствии с распространением грибка по поверхности кожи. Пораженные места расчесаны до крови. Если собаку не подвергнуть лечению, то языком она будет разносить грибковую инфекцию еще дальше. - Шелушение кожи и жирная себорея. Пораженные участки шелушатся, ороговевшие чешуйки видны как перхоть на шерстном покрове.
- Эритема кожи. Этот симптом внешне характеризуется покраснениями, сыпью, расширенными капиллярами.
- Выпадение шерсти, образование проплешин.
- Гиперпигментация. Кожные покровы темнеют, теряют эластичность.
- Лихенизация. Так называется утолщение кожного покрова, изменение ее естественного рисунка.
- Экссудация. Резкая отечность пораженной кожи и слизистых оболочек. Гнойный экссудат может свидетельствовать о присоединении вторичной инфекции.
Все эти симптомы хорошо определяются при визуальном осмотре животного. Наблюдая, можно без труда заметить, что в его поведении есть некоторые особенности.
Еще один характерный симптом — неприятный запах от собаки.
Визуальный осмотр, наряду с микроскопическим, цитологическим и гистологическим исследованием взятого у собаки материала является неотъемлемой частью диагностического процесса. Если место локализации возбудителя — кожные покровы, диагноз обычно звучит как «малассезионный дерматит». Если затронуты ушные проходы, тогда диагностируют малассезионный отит.
Лечение малассезии
Суть лечения — создание условий, неблагоприятных для дальнейшего развития грибковой инфекции. Схема лечения должна составляться исключительно специалистом, а задача хозяев собаки — тщательно следовать ей. Воздействие на грибок должно быть комплексным и включать процедуры как местного, так и общего воздействия на организм:
- использование шампуней с хлоргексидином и миконазолом;
- применение противогрибковых препаратов «Флуконазол» и «Кетоконазол»;
- при поражении ушей — показан препарат «Отоназол»;
- ежедневная тщательная чистка ушей с применением борного спирта;
- использование антимикотических мазей «Клотримазол», «Нистатиновая»;
- восстановление сопротивляемости организма при помощи иммудомодулирующих и иммуностимулирующих препаратов.

Лечение малассезии у собак продолжается от 2 до 5 недель в зависимости от тяжести течения болезни. Лечебный процесс должен проходить под тщательным контролем ветеринара.
Правильно подобранное лечение обязательно даст свой эффект, и вы скоро не узнаете своего питомца: он повеселеет, шерсть заблестит, появится аппетит. Но знайте, что если у вашей собаки есть природная предрасположенность к малассезии, то ее ждет пожизненная иммуностимулирующая и антимикотическая терапия.
причины и клинические особенности грибкового заболевания, симптомы и диагностика, методы лечения и профилактики в домашних условиях
Как и стафилококки (см. Поверхностная пиодермия), грибки видов Malassezia являются нормальными комменсалами у большинства собак и кошек. Слизистые являются являются важным источником преходящей контаминации и инфекции, но защитные механизмы кожи в норме ограничивают колонизацию и инфекцию.
Этиология и патогенез
Малассезионный дерматит собак и кошек обычно вторичен по отношению к другим состояниям. Подавляющее большинство инфекций собак ассоциировано с не липидзависимыми видами Malassezia pachydermatis , хотя M. furfur также встречается. У кошек выделяется большее количество видов, включая M. рachydermatis и липидзависимые виды M. sympodialis и M. Furfur.
Клинические особенности
Малассезионный дерматит у собак может встречаться у любой породы. Некоторые породы (напр. бассет хаунд и вестхайленд уайт терьер) предрасположены, хотя это может быть предрасположенность в большей степени к первичным причинам, чем собственно к Malassezia .
Клинические проявления представляют собой наружный отит, зуд, эритему, шелушение, алопецию, лихенификацию, гиперпигментацию и прогорклый, плесневый, дрожжевой запах. Клинические симптомы могут быть фокальными и генерализованными, диффузными или хорошо отграниченными.
Часто поражаемый регионы включают ушные раковины, губы, морду, вентральную часть шеи, ступни, область подмышек, медиальные части лап и перианальную область.
Malassezia также может вызывать паронихию с воскоподобным экссудатом и обесцвечиванием когтей.
Зуд у кошек с малассезионным дерматитом наблюдается реже. Клинические симптомы включают наружный отит; акне кошек; себоррейный и чешуйчатый лицевой дерматит; генерализованное шелушение и эритема; паронихию с обесцвечиванием когтей (особенно у кошек Девон рекс).
Генерализованная эритема и шелушение ассоциированы с малассезионным дерматитом у кошек с тимомой, лимфоцитарным муральным фолликулитом и паранеопластической алопецией.
Дифференциальные диагнозы
Многие состояния кожи могут быть похожи на малассезионный дерматит (табл 1) и это осложняется тем фактом, что многие из них также могут быть запускающим механизмом для вторичной Malassezia инфекции.
Диагноз
Не существует согласованных критериев диагностики малассезионного дерматита собак и кошек, но обнаружение увеличенного количества Malassezia с хорошим клиническим и микологическим ответом является диагностичным.
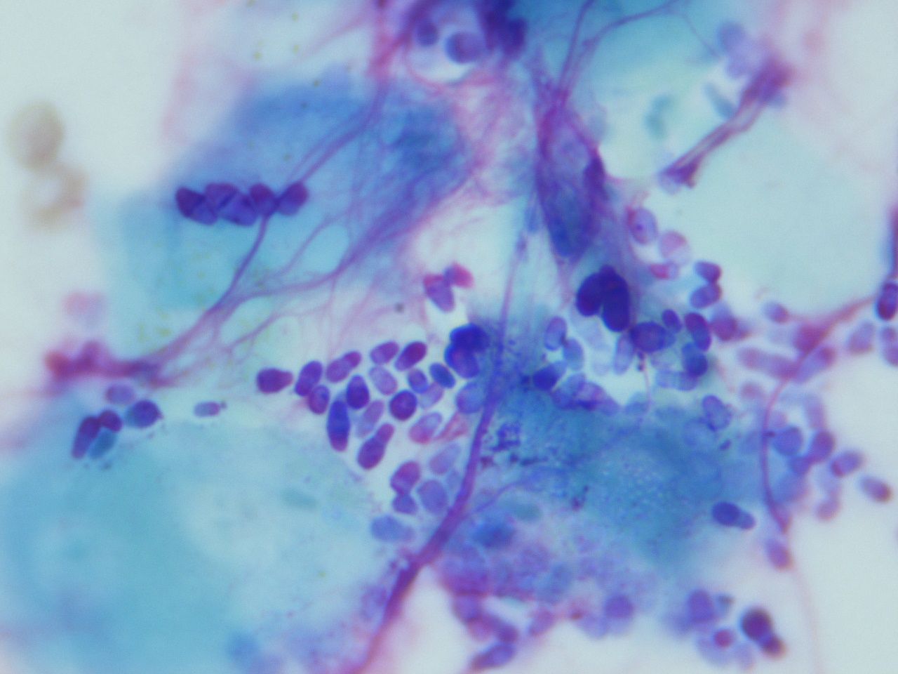
Грибки Malassezia легко визуализируются как маленькие, овальные,имеющие форму земляного ореха или снеговика,обьекты, часто формирующие скопления на поверхности чешуек, на полосках скотч -ленты и прямых или непрямых мазках -отпечатках. Они часто окрашиваются сине -фиолетовым цветом, но могут выглядеть бледно-красными или бледно-голубыми .
Некоторые Malassezia плохо окрашиваются, но их рефрактерную клеточную стенку можно различить при приближении конденсора. Не существует стандартных пороговых значений для диагностики малассезионного дерматита,тем более, что они могут быть неоднородно распределены на слайде. На практике, только случайные грибки Malassezia находятся на здоровой коже. M.
pachydermatis будет расти на среде Сабуро, хотя липидзависимые виды требуют поддерживающую среду, такую как модифицированный агар Диксона. Однако, поскольку Malassezia являются комменсалами, выделение их,особенно в небольших количествах, не обязательно является значимым.
Malassezia могут находиться в поверхностных кератиновых корочках и волосяных фолликулах, но часто удаляются при обработке кожи.
Malassezia могут быть также случайной находкой при выполнении биопсии кожи при других дерматозах. Гистопатологически, малассезионный дерматит характеризуется акантозом, гиперкератозом и поверхностным воспалительным инфильтратом.
Исследования показали, что у части атопичных собак развиваются специфические титры IgE и положительные интрадермальные тесты на введение экстрактов Malassezia, что говорит о том, что они могут действовать как аллергены. Специфические серологические и интрадермальные тесты на Malassezia доступны, хотя клиническая значимость гиперчувствительности на Malassezia и эффективность противогрибковой терапии при атопическом дерматите собак неясны.
Лечение
Местное лечение
Местное лечение, как правило, наиболее экономически эффективный и безопасный метод лечения малассезионного дерматита собак и кошек (Табл 2). Однако,это также наиболее трудоемкий метод и, поэтому,не обязательно подходит во всех случаях.Локализованные зоны малассезионного дерматита(напр.
складки тела) могут лечиться местной обработкой противогрибковыми препаратами,но при мультифокальной или генерализованной формах малассезионного дерматита должна обрабатываться вся кожа тела.Это, в частности, важно при лечении ушей, слизистокожных соединений и лап, поскольку они, вероятно, являются резервуарами Malassezia.
Лечение должно продолжаться ежедневно до трех раз в неделю до выздоровления, затем по мере необходимости, чтобы поддерживать улучшение. Лечение с обезжиривающими шампунями или антибактериальными продуктами также может быть необходимым первоначально.
Побочные реакции встречаются нечасто, хотя большинство из противогрибковых препаратов может высушивать и раздражать кожу и может возникнуть необходимость комбинировать их со смягчающими шампунями или ополаскивателями.
Другие методы лечения включают применение лосьонов, мазей и кремов,содержащих кетоконазол, клотримазол или миконазол, хотя они не лицензированы для применения у животных. Однопроцентный лосьон с тербинафином эффективен у людей с себоррейным дерматитом.
Системная терапия
Кетоконазол (5-10 мг/кг перорально, каждые 24 часа, не лицензирован у животных) и итраконазол (5 мг/кг перорально каждые 24 часа) высоко эффективны. Клиническое улучшение должно быть очевидным после 7-14 дней, хотя лечение должно продолжаться в течение 7-14 дней после клинического выздоровления.В некоторых случаях могут быть необходимы поддерживающие дозы 2-3 раза в неделю.
Побочные эффекты могут включать анорексию, рвоту, диарею,повреждение печени, васкулит и тератогенность. Итраконазол лучше переносится, чем кетоконазол. Системное назначение тербинафина (30 мг/кг перорально,каждые 24 часа) также эффективно и хорошо переносится, но не лицензировано для собак.
Табл 2.
Местное лечение малассезионного дерматита собак и кошек
| Препараты | Преимущества | Примечания |
| 2%миконазол/2%хлоргексидин | Отличные антибактериальные и антигрибковые свойства; остаточный эффект | Может быть высушивающим и раздражающим; безопасен для кошек |
| 2-4% хлоргексидин | Хорошее антибактериальное и антигрибковое действие; остаточная активность | Может быть высушивающим и раздражающим; безопасен для кошек |
| 2% сера/2% салициловая кислота | Антибактериальное,антигрибковое, кератолитическое, кератопластическое и противозудное действие | Хорошо переносится при длительном использовании; безопасен у кошек |
| Пироктона оламин и моносахариды | Регулирует микробный баланс и препятствует адгезии | Хорошо переносится при длительном использовании; безопасен у кошек |
| 1% сульфид селена | Хороший противогрибковый,противопаразитарный и кератолитический агент | Может быть высушивающим и раздражающим; безопасен для кошек |
| Энилконазол | Хороший противогрибковый эффект | Может быть токсичен у кошек |
Зоонотический потенциал
Продемонстрирован перенос инфекции M. Pachydermatis владельцам собак. Это не должно вызывать опасения у здоровых людей, но имеются сообщения о зоонотических инфекциях у взрослых и новорожденных с ослабленной иммунной системой.
Ключевые моменты
- Зуд, наблюдающийся при малассезионным дерматите собак и кошек, может быть рефрактерным к стероидной терапии.
- В большинстве случаев, но не во всех, инфекция ассоциирована с лежащим в основе заболеванием
Паттерн распределения при малассезионном дерматите собак и кошек
Фото 1 Малассезионный дерматит у собак и кошек. Выраженная алопеция, лихенификация и гиперпигментация кожи нижней части туловища и лап у вестхайленд уайт терьера. Грибковая инфекция была вторичной к аллергическому дерматиту.
Фото 2 Малассезионный дерматит у собак и кошек.. Алопеция, эритема и лихенификация вентральной части шеи у аллергичной собаки.
Фото 3 Малассезионный дерматит у собак и кошек.. Пододерматит, вызванный вторичной грибковой инфекцией, с типичной алопецией и лихенификацией, характерной для Malassezia дерматита.
Фото 4 Малассезионный дерматит у собак и кошек.. Выраженный пододерматит с интенсивным воспалительным ответом, вызванным реакцией гиперчувствительности к грибкам Malassezia Очевидны выраженная эритема, алопеция и лихенификация.
Фото 5 Малассезионный дерматит у собак и кошек. Межпальцевый дерматит у этого пациента был вызван вторичной Malassezia инфекцией. Жирная, облысевшая, воспаленная кожа между подушечками пальцев типична для грибкового пододерматита.
Фото 6 Малассезионный дерматит у собак и кошек. Коричневое окрашивание вокруг основания когтей является уникальным изменением, типичным для инфекции Malassezia
Фото 7 Малассезионный дерматит у собак и кошек. Коричневое окрашивание, вызванное грибковой инфекцией, более выражено на основании когтей и может дифференцироваться от нормальной пигментации пятнистым и прерывистым видом.
Фото 8 Малассезионный дерматит у собак и кошек. . Вторичный грибковый отит является частой находкой у пациентов с лежащей в основе первичной аллергией или эндокринным заболеванием. Наружный слуховой проход и ушная раковина демонстрируют алопецию, интенсивную эритему и лихенификацию, типичные для Malassezia дерматита.
Фото 9 Малассезионный дерматит у собак и кошек. Перианальный дерматит, вызванный вторичной грибковой, инфекцией у собаки с пищевой аллергией. Алопеция, эритема и лихенификация характерны для Malassezia дерматита.
Источник: http://veter96.ru/dermatologicheskij-atlas/dermatit-vyzyvaemyj-malassezi
Причины возникновения и методы лечения малассезии у собак
Малассезия (Malassezia) – дрожжевой грибок, существующий на коже абсолютного большинства животных, включая собак, живущих в наших широтах. Лайки и северные олени счастливее в этом плане, так как холодный климат и отрицательную температуру воздуха этот микроорганизм не любит и в таких условиях не живет.
Теплокровные животные носят на своей коже большое количество различных грибков и других микроорганизмов. Причем многие из этих жителей в обычных условиях не оказывают никакого вреда здоровью своих хозяев, а иногда даже приносят определенную пользу. Но стоит иммунитету упасть – все меняется.
Безобидный грибок превращается в агрессивного возбудителя. Он атакует ослабленный инфекцией организм, распространяя свои колонии на слизистые оболочки и нежную кожу в местах природных складок (межпальцевые пространства, область губ, слуховые проходы).
Малассезия у собак – один из таких коварных грибков.
Что представляет собой грибок
Всего известно около десяти разновидностей грибка малассезии, но на собаках живет только один его вид – pachydermatis. Жизнедеятельность этого микроорганизма достаточно хорошо изучена. Достоверно известно о нем следующее:
- Его колонии постоянно присутствуют на слизистых и кожных покровах у абсолютного большинства собак.
- Размножается он монополюсным почкованием. Любое изменение в состоянии здоровья хозяина вызывают мгновенную реакцию микроорганизма. Скорость образования его колоний резко возрастает. Остановить этот лавинообразный процесс может только противогрибковая терапия.
- Колонии грибка любят локализоваться в наружных слуховых проходах, на морде, на передней части шеи, в межпальцевых пространствах, в области анального отверстия.
- В обычных условиях организмы грибков малассезии и их хозяев – собак живут во взаимовыгодном симбиозе. Грибок находится в благоприятных для себя условиях, а на кожных покровах собаки благодаря ему формируется особая защитная среда. Она препятствует вторжению возбудителей некоторых инфекционных заболеваний (в частности, золотистого стафилококка).
- Ослабленный иммунитет собаки – сигнал для малассезии к переходу в агрессивную патологическую форму.
Предрасположенность к заболеванию
Процент грибковых поражений среди мужских и женских особей практически одинаков. Почтенный возраст делает вероятность заболевания более высокой, и это не удивительно. Пожилые собаки чаще подвержены инфекциям, имеют более низкий иммунитет, чем молодые и полные сил.
Малассезионный дерматит может встречаться у любой породы собак. Но есть несколько пород, больше других подверженных этому грибковому поражению. В этот список попали:
- таксы;
- английские сеттеры;
- кокер-спаниели;
- шотландские белые терьеры;
- миниатюрные пудели;
- бассет-хаунды.
Предполагается также, что влажная жаркая погода может благоприятствовать распространению грибковой инфекции, в то время как сухие и прохладные погодные условия мешают ему.
Основные провоцирующие факторы малассезии
Для того чтобы уберечь свою собаку от заболевания и при необходимости сразу же принять меры, нужно знать, какие факторы могут благоприятствовать активному росту грибка на коже и диагностировать возможные сопутствующие заболевания.
Достоверно известно, что заболевание незаразно. Оно не передается от собаки к собаке. Недуг имеет внутренние причины. Для людей и других животных собачий грибок малассезия тоже не заразен.
Многолетний опыт разведения собак позволил специалистам сделать вывод об основных причинах активной полиферации (распространения) грибка на коже животных, среди которых:
- ослабленный иммунитет;
- инфекционные заболевания;
- хронические заболевания;
- аллергические реакции различной этиологии;
- любые кожные заболевания, нарушающие целостность кожного покрова;
- прием гормональных средств и антибиотикотерапия;
- слишком частое применение шампуней и других моющих средств;
- плохой уход за густой длинной шерстью.
Ослабленный иммунитет
Основная причина болезни – ослабленный иммунитет. Низкая сопротивляемость кожным инфекциям может носить наследственный характер, а может представлять собой хроническое заболевание. Наследственный недуг диагностируется очень рано, когда кожные болезни начинают атаковать щенка в самом нежном возрасте.
Хронические болезни
Хронические болезни не менее опасны, так как они вызывают стойкое снижение иммунитета. Постоянно прогрессируя, они создают благоприятные условия для роста колоний грибка – захватчика. Кожный покров собаки для них становится патогенной средой, которую они стараются всеми силами подавить.
Инфекционные заболевания
Кожные инфекционные заболевания имеют тот же итог – иммунодефицит. К тому же многие из них характеризуются сильным неутихающим зудом. Расчесанная до крови кожа – это ворота для болезнетворных микроорганизмов. А патологические организмы для грибка – знак к бурному размножению для борьбы «за территорию».
Аллергические реакции различной этиологии
Аллергическая реакция на коже создает те же самые условия (расчесы, нарушение целостности кожного покрова, снижение иммунитета) побуждающие микроорганизмы активно размножаться.
Лечение гормональными препаратами и антибиотиками
Гормонозаместительная терапия в большинстве случаев имеет побочные эффекты. В частности, это неблагоприятное воздействие на органы эндокринной системы. Их функции могут нарушаться, отчего страдает выработка естественных гормонов. Все это не лучшим образом сказывается на состоянии кожных покровов. А это прямой путь к активизации роста грибков.
Прием антибактериальных средств тоже имеет свои отрицательные стороны. Активно подавляя рост болезнетворных бактерий, они в то же время наносят существенный удар по защитным функциям организма. Поэтому каждый прием антибиотиков должен сопровождаться параллельным приемом антимикотических и иммуностимулирующих средств.
Частое применение моющих средств
Один из главных факторов защиты от грибковой инфекции – это сохранение целостности кожного покрова. Искусственно нарушить эту целостность могут часто применяемые шампуни и моющие средства. Они смывают защитный слой эпидермиса, и кожа становится сухой и восприимчивой к различным инфекциям.
Но в то же время, необходим тщательный уход за ушами. Там имеется благоприятная среда для развития малассезии – теплая и влажная среда. Ушные проходы следует своевременно чистить от серных выделений, каждый раз вытирая их насухо.
Плохой уход за шерстью
Длинная, плохо расчесанная шерсть создает препятствие для хорошего воздухообмена и проветривания кожного покрова. Влажность и высокая температура кожи делают возможным быстрое размножение на ней грибковых инфекций.
Клиническая картина заболевания
Малассезия определяется по характерным симптомам. Их список невелик, но дает довольно ясную картину заболевания. В зависимости от стадии болезни грибковое поражение кожи может быть локализованным или генерализованным (охватывающим весь кожный покров).
- Сильный зуд. Это основной и самый мучительный симптом. Собака теряет покой. Зуд локализуется в местах грибковых поражений и захватывает новые участки в соответствии с распространением грибка по поверхности кожи. Пораженные места расчесаны до крови. Если собаку не подвергнуть лечению, то языком она будет разносить грибковую инфекцию еще дальше.
- Шелушение кожи и жирная себорея. Пораженные участки шелушатся, ороговевшие чешуйки видны как перхоть на шерстном покрове.
- Эритема кожи. Этот симптом внешне характеризуется покраснениями, сыпью, расширенными капиллярами.
- Выпадение шерсти, образование проплешин.
- Гиперпигментация. Кожные покровы темнеют, теряют эластичность.
- Лихенизация. Так называется утолщение кожного покрова, изменение ее естественного рисунка.
- Экссудация. Резкая отечность пораженной кожи и слизистых оболочек. Гнойный экссудат может свидетельствовать о присоединении вторичной инфекции.
Все эти симптомы хорошо определяются при визуальном осмотре животного. Наблюдая, можно без труда заметить, что в его поведении есть некоторые особенности. Еще один характерный симптом – неприятный запах от собаки.
Визуальный осмотр, наряду с микроскопическим, цитологическим и гистологическим исследованием взятого у собаки материала является неотъемлемой частью диагностического процесса. Если место локализации возбудителя – кожные покровы, диагноз обычно звучит как «малассезионный дерматит». Если затронуты ушные проходы, тогда диагностируют малассезионный отит.
Лечение малассезии
Суть лечения – создание условий, неблагоприятных для дальнейшего развития грибковой инфекции. Схема лечения должна составляться исключительно специалистом, а задача хозяев собаки – тщательно следовать ей. Воздействие на грибок должно быть комплексным и включать процедуры как местного, так и общего воздействия на организм:
- использование шампуней с хлоргексидином и миконазолом;
- применение противогрибковых препаратов «Флуконазол» и «Кетоконазол»;
- при поражении ушей – показан препарат «Отоназол»;
- ежедневная тщательная чистка ушей с применением борного спирта;
- использование антимикотических мазей «Клотримазол», «Нистатиновая»;
- восстановление сопротивляемости организма при помощи иммудомодулирующих и иммуностимулирующих препаратов.
Лечение малассезии у собак продолжается от 2 до 5 недель в зависимости от тяжести течения болезни. Лечебный процесс должен проходить под тщательным контролем ветеринара.
Правильно подобранное лечение обязательно даст свой эффект, и вы скоро не узнаете своего питомца: он повеселеет, шерсть заблестит, появится аппетит. Но знайте, что если у вашей собаки есть природная предрасположенность к малассезии, то ее ждет пожизненная иммуностимулирующая и антимикотическая терапия.
Источник: https://veterinargid.ru/dogs/bolezni/malasseziya-u-sobak.html
Симптомы и лечение малассезии у собак
Редкий владелец собаки не любит погладить своего домашнего питомца, потрепать его за шею, посадить любимца себе на коленки.
Омрачить радость общения может любое кожное заболевание у собаки, из которых малассезия является одним из самых широко распространённых.
Симптомы недуга нередко похожи на проявления других видов дерматита, а потому, чтобы выработать эффективное лечение, необходимо посещение ветеринарной клиники, где с помощью специального оборудования проведут грамотную диагностику.
Общие сведения
Малассезия является кожным заболеванием у собак, в роли возбудителя которого выступает одноименный дрожжевой грибок – Malassezia pachydermatis. Он обитает на шерстяном покрове практически каждой собаки.
В нормальных условиях между грибком и собакой наблюдается своеобразный взаимовыгодный синтез – дрожжевой микроорганизм оказывается в комфортных условиях существования, а у животного образуется микрофлора, являющаяся преградой на пути к проникновению в организм возбудителей многих опасных заболеваний. Особенно эффективно данные микроорганизмы действуют против золотистых стафилококков. Тем не менее, для взаимовыгодного сотрудничества требуется наличие крепкой иммунной системы собаки, в противном случае активность малассезии может привести к неприятным последствиям.
Малассезии локализуются в районе ушных отверстий, между пальцами задних лап, в области параанальных желёз, прямой кишке и влагалище собаки, под мышками, на хвосте. Возрастной и половой предрасположенности к заболеванию не выявлено.
Тем не менее, определённые породы собак страдают от недуга чаще других особей. Больше всего случаев заболевания зафиксировано у такс, кокер-спаниелей, сеттеров, ши-тцу, болонок, немецких овчарок, терьеров, а также у пород собак с многочисленными кожными складками.
Другим видам животных и людям малассезия не передаётся.
Малассезия относится к числу условно-патогенных микроорганизмов, сосуществующих с организмом носителя во взаимовыгодном синтезе. Сам грибок небольшой, овальной формы, похож на земляной орех.
Защитные механизмы на кожном покрове не позволяют грибку размножаться и распространяться настолько, чтобы это несло вред организму. Длится подобная идиллия ровно до того самого момента, как организм носителя не ослабевает.
В этом случае грибок, начиная активное размножение, провоцирует обострение хронических, инфекционных, наследственных заболеваний.
Другими факторами, способствующими активизации паразитарных микроорганизмов, называются развитие дерматита и наружного отита.
Грибок хорошо размножается во влажной тёплой среде, например, на коже, особенно если кожный покров затронут воспалительным процессом.
Усилению активности данных микроорганизмов способствуют нарушения гормонального фона в организме, аллергические реакции, низкий уровень иммунитета.
Если в организме собаки протекало в вялотекущем режиме кожное заболевание, то при разрастании колонии грибков животное начнёт яростно расчёсывать беспокоящий участок кожи.
Тем самым животное не только способствует разнесению микробов по всему телу, но и создаёт благоприятные условия для попадания в организм возбудителей вторичной инфекции.
Особую опасность увеличение количества болезнетворных микроорганизмов создаёт при заболеваниях, ведущих к образованию ушной серы.
Симптомы
На поверхности шерстяного покрова собаки появляются проплешины, происходит покраснение отдельных участков кожи (эритема), утолщение и гиперпигментация кожного покрова, некоторые места на коже начинают шелушиться. Локализация дрожжевого грибка в районе ушей может привести к активному размножению ушных клещей. Признаками подобного развития событий будет покачивание собаки головой и яростное расчёсывание ей своих ушей. В результате на поверхности ушей появляются расчёсы, царапины, разрывы, ушные раковины издают неприятный запах, похожий на смесь гнильцы и кислоты. Малассезия может привести к воспалению области около корней когтей.
Если инфекция затронула кожные складки на морде, собака будет постоянно тереть её лапами и царапать когтями. Когда грибок локализуется в межпальцевой области, питомец непрерывно облизывает пальцы лап, держит их во рту, грызёт. Это способствует ещё большему размножению грибка, так как слюна создаёт благоприятные условия для обитания болезнетворных микроорганизмов.
Диагностирование
Наличие грибка выявляется при помощи микроскопического метода диагностики. Обнаружение при помощи микроскопа двух и более экземпляров грибка является признаком начальной стадии инфекционного поражения. Если в окуляре микроскопа удалось увидеть более десяти экземпляров грибка, то это свидетельствует о запущенной стадии заболевания.
Другим надёжным средством обнаружения возбудителя заболевания является способ, при котором дрожжевые грибки выращиваются в специальной питательной среде. Если в посеве проявилось небольшое количество грибков, то результаты диагностического исследования не будут иметь ценности, так как такое явление характерно для здорового состояния собаки.
Малассезии присутствуют на шерсти почти любой собаки, поэтому определяющим аргументом в пользу положительного диагноза является реакция организма животного на проводимые терапевтические мероприятия.
Количество микроорганизмов определяется при помощи цитологического метода диагностирования, при котором ветеринар исследует полосы на лейкопластыре. В ходе исследования происходит окрашивание препаратов, взятых с кожи или ушных соскобов.
На скотч-ленте грибки окрашиваются в сине-фиолетовый, светло-красный, светло-голубой цвета.
Лечение
Основа лечения малассезии – формирование условий, неблагоприятных для обитания возбудителя болезни. В задачу ветеринара входит уменьшение количества паразитарных микроорганизмов на кожном покрове, а также сопутствующих им бактерий.
Перед началом лечения необходимо выяснить, какой именно слой эпидермиса поражён инфекцией. Если заболевание затронуло только поверхностный слой, то можно будет ограничиться местной терапией.
С её помощью можно уменьшить выделения экссудата и устранить неприятный запах.
Как правило, лечение проводится при помощи препаратов, содержащих хлоргексидин, серу, миконазол. Эффективно устранить симптомы помогут даже некоторые шампуни для людей.
Рекомендуется обрабатывать кожный покров собаки указанными средствами на протяжении не менее пяти недель для того, чтобы не допустить рецидива заболевания. Специальные мази следует наносить на поражённые участки как минимум два раза в день в течение нескольких недель.
Имейте в виду, что некоторые противогрибковые средства, выпускаемые в виде таблеток, могут привести к нежелательным побочным эффектам в виде анорексии, рвоты, диареи, болезненного состояния печени.
Если грибок локализуется в наружном слуховом проходе, то необходимо проводить регулярную очистку ушей. Вначале ухо промывается при помощи борной кислоты, а затем, как только ушная раковина просохнет, на поверхность уха наносится противогрибковая мазь.
Обычно лечение малассезии, как и любого заболевания грибкового происхождения, занимает несколько недель.
При этом состояние собаки должен наблюдать опытный ветеринар, так как противогрибковые препараты обладают побочными эффектами, к числу которых относятся рвота, изменения в поведении домашнего животного.
Основным признаком малассезиозного дерматита является наличие генерализованных и локализованных очагов, которые беспокоят собаку зудом.
Прежде чем начинать лечение малассезиозного дерматита, необходимо определить причину размножения болезнетворных микроорганизмов.
Заболевание возникает у пород собак со складчатым кожным покровом, особенно подвержены недугу бассет-хаунды. Зуд может быть как сильным, так и незначительным.
Лечение малассезиозного дерматита проводится при помощи системных противогрибковых средств и местных противогрибковых шампуней. Терапевтические мероприятия должны проводиться не менее трёх недель, а если первопричина малассезиозного дерматита не была устранена, то симптоматическое лечение необходимо продолжать и дальше.
В случае рецидива малассезиозного дерматита ветеринаром осуществляется поддерживающая терапия, основу которой составляет применение местных или системных противогрибковых средств.
Если лечение основной болезни, вызвавшей неконтролируемое размножение патогенных микроорганизмов, не увенчалось успехом, то насовсем удалить грибок с кожи не удастся.
Малассезиозный отит лечится местной терапией, основу которой составляют противогрибковые капли и чистка слухового прохода.
Впрочем, если возбудитель болезни локализуется в районе ушных раковин, слизистых кожных складок, межпальцевой области лап, то следует проводить обработку противогрибковыми препаратами всей поверхности кожи, так как данные участки являются резервуарами грибка.
Курс лечения можно считать успешным, если цитология, взятая через полторы недели после начала приёма препаратов, показывает отрицательные результаты. Иногда после использования обезжиривающих шампуней возможно возникновение побочных эффектов в виде сухой и раздражённой кожи. В таком случае рекомендуется ополаскивание собаки смягчающими средствами.
Источник: http://asmed-moscow.ru/news/simptomy-i-lechenie-malassezii-u-sobak.html
Малассезия у собаки
Патогенная роль малассезии в образовании дерматита у собак была обнаружена сравнительно недавно.
Этот микроорганизм считается постоянным обитателем кожи животного и лишь в редких случаях может приводить к воспалению.
Болезнь сопровождается поражением кожных желез – избыток секрета, шерсть становится жирной, приобретает неприятный запах. Для лечения используются местные и системные препараты, уничтожающие культуру грибка.
- известно больше десяти видов;
- наиболее распространены M. Sympodialis и M. Pachydermatis;
- мицелий не образуют;
- форма овальная;
- стенки у грибков толстые;
- на внутренней части мембраны имеется отросток спиральной формы;
- дрожжи постоянно присутствуют на коже и слизистых;
- локализация – межпальцевые области, слуховой проход, влагалище, прямая кишка;
- отмечаются симбиотические связи между дрожжами и стафилококками.
Малассезии в большинстве случаев постоянно присутствуют на коже собаки, поэтому для проявления клинических признаков требуется дополнительное воздействие внешних и других патогенных факторов. К ним можно отнести изменение физических и химических свойств кожи. А также понижение общего иммунного статуса у собаки.
Развитие болезни связывают с усиленным ростом культуры дрожжей. Часто к этому приводит патология сальных и других желез, в результате чего образуется большое количество секрета – питательной субстанции для инфекции.
Кроме того, обнаружено, что данные грибки вырабатывают определенный вид ферментов, преобразующих кожное сало в более питательную среду, выгодную для инфекционного роста.
А также отмечено выделение малассезиями определенных веществ, подавляющих развитие другой флоры.
Отмечается индивидуальная повышенная чувствительность у некоторых собак к дрожжевой инфекции, вызванной нарушением лимфоцитарной активности.
К предрасполагающим факторам, способствующим развитию дрожжевого дерматита, относят аллергические реакции, нарушение кератинизации, первичные кожные инфекции (микроспория, кандидоз) и инвазии (саркоптоз, демодекоз). Породная предрасположенность отмечена у некоторых терьеров, спаниелей, овчарок и такс. Механизм наследственной предрасположенности не изучен.
Методы диагностики
Проявление поражений кожи, вызванных дрожжевыми грибками зависит от множества факторов (первичных и вторичных осложнений) и часто клиническая картина смазывается.
Но в большинстве случаев у собак отмечают усиление образования кожного сала – шерсть становится жирной, появляется неприятный прогорклый запах. Местные поражения сводятся к покраснению кожи, образованию серых чешуек. Зуд чаще всего незначительный.
Постепенно может появиться усиление образования кожного пигмента и чешуек.
Распространенная локализация поражений:
- морда – уши, губы;
- между пальцами;
- на сгибах конечностей;
- на анальных складках.
В начале болезни пораженные участки локализованы, но при осложнениях возможно развитие генерализованых форм, затрагивающих обширные регионы кожи. Также отмечается развитие воспаления среднего уха, фурункулез на подбородке и кисты в межпальцевых щелях. Выявлено изменение пигментации когтей у собак – они становятся коричневыми при воздействии дрожжей.
Для постановки диагноза требуются специальные исследования. Чаще применяется цитологическое обследование. Для этого берут соскоб кожи, мазок-отпечаток, биопсию, отпечаток на скотче, пробу ватным тампоном.
Самым простым вариантом является надавливание на участок кожи предметным стеклом – затем следует немного повозить по области, чтобы получить некоторое количество материала.
Пробы из ушных ходов проще брать тампонами или ватными палочками.
Изучение патологического материала:
- фиксация на пламени спиртовки;
- окрашивание по Граму;
- нанесение иммерсионного масла и изучение под большим увеличением;
- диагноз считают установленным при обнаружении свыше двух грибков.
Культивирование дрожжей на питательных средах чаще не дает полезной информации. Но если клиническая картина предполагает малассезию, а другие факторы (паразиты, инфекции) исключены, то необходимо провести диагностическое лечение.
Особенности лечения
Терапия должна совмещать подавление дрожжевой культуры и устранение факторов, способствующих ее росту. Полное уничтожение грибка практически невозможно, так как он является облигатной микрофлорой кожи. Таким образом, основополагающим моментом лечения является именно устранение причин, повлекших развитие кожной болезни.
Дрожжи уничтожаются местными и системными средствами. Использование одних местных обработок не эффективно – малассезии живут на коже собак в различных участках, что осложняет борьбу с ними. Обработка пораженных участков позволяет скорее избавиться от воспалительного процесса на коже, предотвратить осложнения и рецидивы.
- обработки проводятся не менее 2-х раз в неделю;
- контакт средства с кожей должен составлять 10-20 минут;
- купания продолжают до полного исчезновения признаков болезни.
Системное лечение лучше проводить во всех случаях заболевания, кроме небольших местных поражений. Собакам с кормом дают кетоконазаол (флуконазол, итраконазол).
В первой половине болезни дают максимальную концентрацию, по мере улучшения состояния у собаки суточную дозу понижают до минимального порога.
Если не отмечается улучшения, то дозировку повышают, в противном случае можно давать лекарство собаке раз в 1-2 дня. Применение гризеофульвина чаще всего оказывается неэффективным.
Профилактические мероприятия
Малассезия является постоянным обитателем кожных покровов у собаки. В большинстве случаев на протяжении всей жизни эти дрожжевые грибки не причиняют вреда животному, а, по мнению ряда исследователей, они наоборот защищают организм от развития более патогенных микроорганизмов.
Специфических мер профилактики нет, кроме того, в них нет необходимости. Для защиты собаки от малассезиоза необходимо сохранять высокий уровень ее резистентности. Правильная работа иммунной и других систем обеспечивает гомеостаз, что исключает развитие данной патологии.
Для профилактики необходимо защитить кожу и весь организм:
- ежеквартально обрабатывать собаку от клещей и других паразитов;
- предупреждать заражение питомца любыми инфекциями;
- проводить прививки в обязательном порядке;
- при необходимости сдавать анализы;
- лечить любые болезни на раннем этапе их развития.
Важным моментом в обеспечении здоровья собаки является грамотное кормление и содержание. Недостаток витаминов (А и В), микроэлементов (цинк), общее истощение приводят к поражению кожи и шерсти. А также ошибки в кормлении становятся причинами понижения резистентности и системных патологий. Их развитию способствуют плохие условия содержания.
Владелец обязан обеспечить питомца полноценным рационом, учитывающим возрастные, половые и другие особенности. Если хозяин будет внимательно относиться к своей собаке, отмечать изменения в ее поведении и клиническом состоянии, то можно избежать большинства болезней.
Источник: https://yarus-spb.ru/sobaki/bolezni/malassezia-sobak.html
Малассезия или «что за гриб»?
Дрожжевые грибы рода Malassezia в норме обитают на коже кошек, собак и человека. Если рассматривать их под микроскопом на увеличении Х 1000, они напоминает по виду матрешку, так как размножается путем почкования.
Основной вид – Malassezia pachydermatis, заселяет поверхностные слои кожи (наружный слуховой проход, межпальцевое пространство, подбородок, складки кожи) и слизистые оболочки (рот, прямая кишка, влагалище, параанальные железы).
В качестве среды обитания предпочитает места с повышенной секрецией сальных желез.
Патогенез
Сама по себе малассезия не вызывает никаких кожных поражений, но при определенных условиях, способна сыграть свою роль в развитии патологического процесса. Существует ряд предрасполагающих факторов, способствующих возникновению малассезиозного дерматита:
- повышенная влажность окружающей среды (частые купания), а так же влажность, связанная с анатомическими особенностями организма (складки кожи, висячие уши) и гиперсекрецией сальных желез
- повышение температуры окружающей среды (лето, весна)
- рН кожи от 4.0 до 8.0
- некоторые заболевания: атопический дерматит, пищевая аллергия, эндокринные заболевания; вирусный лейкоз и иммунодефицит у кошек
- повышение размножения стафилококков (данный гриб находится в симбиотических отношениях со стафилококками кожи)
Так же на малассезию может развиваться аллергическая реакция (гиперчувствительность I типа).
Важно помнить, что малассезиозный дерматит не является заразным заболеванием.
Возрастной и половой предрасположенности у животных не наблюдается, однако есть породы, генетически предрасположенные к появлению малассезиозного дерматита: немецкие овчарки, бассеты, вест – хайленд- вайт терьеры, ши-тцу, таксы, боксеры, пудели. У некоторых пород кошек (сфинксы, девон рексы), данная проблема возникает чаще, чем у других.
Клинические признаки:
Клинические признаки разнобразны, но наиболее часто малассезиозный дерматит сопровождается зудом (хотя он может быть проявлением основного заболевания).
Кожа приобретает специфический сладковатый запах. Когти и когтевые ложа приобретают коричневый оттенок. Коричневое окрашивание характерно для выделений из наружных слуховых проходов, кожи и/ или шерсти.
Кожа становится «сальной», утолщенной.
Поражения могут быть локализованными и генерализованными. Наиболее часто поражаются складки на губах, межпальцевые пространства и когтевые ложа, уши, подмышечные впадины и пах.
Диагностика
- Диагностика малассезиозного дерматита основана на наличии клинических признаков у животного, цитологическом исследовании (нахождении более одной малассезии в поле зрения при исследовании материала под микроскопом) и ответе на противогрибковую терапию.
- Цитологическое исследование включает в себя:
- взятие материала с поверхности кожи при помощи клейкой ленты или прижатия стекла к коже, окрашивание препарата специальными красителями ( Лейкодиф, Diff-Quik), исследования под микроскопом на увеличении Х1000.
Важно помнить, что данное заболевание почти всегда является вторичной проблемой.
Даже после исчезновения клинических признаков, рекомендуется провести диагностику патологии, лежащей в основе малассезиозного дерматита, во избежание рецидивов.
Лечение
В большинстве случаев для лечения малассезиозного дерматита достаточно использование наружных средств. В зависимости от локализации процесса и площади поражения используют:
- шампуни, ушные капли, мази, гели, спреи содержащие 2 – 4% хлоргексидин, 2% миконазол, кетоконазол
- раствор 2 – 3% уксуса
- лайм сульфур (сернистая известь)
Системное лечение используется в тех случаях, когда местные обработки не привели к желаемому результату или площадь поражения слишком велика. Обычно врачи дерматологи отдают предпочтение азолам и тербинафину.
Длительность лечения составляет в среднем 2 – 4 недели.
Во избежание нанесения вреда любимому питомцу, рекомендуем Вам не заниматься лечением самостоятельно, а пройти обследование у врача – специалиста. Здоровья Вам и вашим питомцам!
Источник: https://www.svoydoctor.ru/vladeltsam/poleznoe/stati/malasseziya-ili-chto-za-grib/
Advantage Multi для собак для животных
(имидаклоприд + моксидектин ) Решение для местного применения
Производитель: Bayer Animal HealthРаз в месяц местное решение для профилактики сердечного червя, убивает взрослых блох, показано для лечения заражения блохами, а также для лечения и контроля кишечных паразитарных инфекций у собак и щенков в возрасте не менее 7 недель Возраста и весом не менее 3 фунтов.
Advantage Multi for Dogs Внимание
Федеральный (U.S.A.) Закон ограничивает использование этого препарата лицензированным ветеринаром или по его приказу.
Описание
Advantage Multi ™ для собак (10% имидаклоприда + 2,5% моксидектина) — это готовый к применению раствор от бесцветного до желтого цвета, упакованный в одноразовые тюбики-аппликаторы для местного лечения собак. Состав и схема дозировки разработаны таким образом, чтобы обеспечить минимум 4,5 мг / фунт (10 мг / кг) имидаклоприда и 1,1 мг / фунт (2,5 мг / кг) моксидектина в зависимости от массы тела.
Имидаклоприд — инсектицид на основе хлорникотинилнитрогуанидина. Химическое название имидаклоприда — 1 — [(6-хлор-3-пиридинил) метил] -N-нитро-2-имидазолидинимин. Моксидектин представляет собой полусинтетический макроциклический лактоновый эндектоцид, полученный из актиномицета Streptomycetes cyaneogriseus noncyanogenus . Химическое название моксидектина [6R, 23E, 25S (E)] — 5-O-Деметил-28-дезокси-25- (1,3-диметил-1-бутенил) -6,28-эпокси-23- ( метоксиимино) милбемицин B.
Advantage Multi для собак Показания
Advantage Multi for Dogs показан для профилактики сердечного червя, вызываемого Dirofilaria immitis . Advantage Multi for Dogs убивает взрослых блох и показан для лечения блох (Ctenocephalides felis) . Advantage Multi for Dogs также показан для лечения и борьбы со следующими кишечными паразитами:
Кишечные паразиты
Кишечная стадия | ||||
Взрослый | Незрелые взрослые | Личинки четвертой стадии | ||
Виды анкилостомы | Ancylostoma caninum | х | х | х |
Uncinaria stenocephala | х | х | х | |
Виды круглых червей | Toxocara canis | х | х | |
Виды | Toxascaris leonina | х | ||
Власоглав | Trichuris vulpis | х | ||
Противопоказания
Не применяйте этот продукт устно.(см. предупреждения.)
Не используйте этот продукт (содержащий 2,5% моксидектина) на кошках.
Предупреждения
Первые 30 минут после подачи заявки
Убедитесь, что собаки не могут слизывать продукт с мест нанесения на себя или других собак, прошедших лечение, и отделяйте собак, которых лечили, друг от друга и от других домашних животных, чтобы снизить риск случайного проглатывания.
Проглатывание этого продукта собаками может вызвать серьезные побочные реакции, включая депрессию, слюноотделение, расширение зрачков, нарушение координации движений, одышку и общий мышечный тремор.
У собак, чувствительных к авермектину, a Признаки могут быть более серьезными и могут включать кому и смерть. b
a Некоторые собаки более чувствительны к авермектинам из-за мутации в гене Mdr1. У собак с этой мутацией могут развиться признаки серьезной токсичности авермектина, если они проглотят этот продукт. Наиболее распространенные породы, связанные с этой мутацией, включают колли и кроссы.
b Хотя не существует специфического антагониста для токсичности авермектина, даже сильно пораженные собаки полностью избавились от токсичности авермектина с помощью интенсивной ветеринарной поддерживающей терапии.
человеческих предупреждений
Не для использования людьми. Хранить в недоступном для детей месте.
Дети не должны контактировать с сайтом приложения в течение двух (2) часов после подачи заявления.
Вызывает раздражение глаз. Вред при проглатывании. Не допускать попадания в глаза или на одежду. Избегайте контакта с кожей. После работы тщательно вымойте руки теплой водой с мылом. При попадании в глаза приоткрыть веки и промыть большим количеством воды в течение 15 минут.Если раздражение глаз не проходит, обратитесь к врачу. В случае проглатывания немедленно обратитесь в токсикологический центр или к врачу для получения рекомендаций по лечению. Попросите человека выпить стакан воды, если он может проглотить. Не вызывайте рвоту, если об этом не сказал токсикологический центр или врач. Людям с известной гиперчувствительностью к бензиловому спирту, моксидектину или имидаклоприду следует применять продукт с осторожностью. В случае аллергической реакции обратитесь к врачу. При попадании на кожу или одежду снимите загрязненную одежду.Немедленно промыть кожу большим количеством воды с мылом. Обратитесь в токсикологический центр или к врачу за советом по лечению. Паспорт безопасности материала (MSDS) предоставляет дополнительную информацию по охране труда.
Чтобы получить копию паспорта безопасности материала (MSDS) или сообщить о побочных реакциях, позвоните в ветеринарную службу Bayer по телефону 1-800-422-9874. По вопросам потребителей звоните по телефону 1-800-255-6826.
Меры предосторожности
Не отпускайте трубки аппликатора дозы без полной информации о безопасности и применении.
Применять с осторожностью у больных, ослабленных или страдающих недостаточным весом животных. Безопасность Advantage Multi for Dogs не была доказана для племенных, беременных или кормящих собак. Безопасное использование Advantage Multi for Dogs не было установлено для щенков и собак в возрасте менее 7 недель или менее 3 фунтов. масса тела.
Перед введением Advantage Multi for Dogs собак следует проверить на наличие инфекции сердечного червя. По усмотрению ветеринара, инфицированных собак следует обработать антибиотиками для удаления взрослых сердечных червей. Advantage Multi for Dogs не эффективен против взрослых особей D. immitis . Хотя количество циркулирующих микрофилярий может уменьшиться после лечения, Advantage Multi for Dogs неэффективен для выведения микрофилярий. (См. БЕЗОПАСНОСТЬ ЖИВОТНЫХ — Исследование безопасности у собак с положительным сердечным червем.)
Побочные реакции
Полевые исследования
После обработки Advantage Multi for Dogs или активного контроля владельцы собак сообщили о следующих реакциях после лечения:Наблюдение | Advantage Multi n = 128 | Активное управление N = 68 |
Зуд | 19 собак (14.8%) | 7 собак (10,3%) |
Остаток | 9 собак (7,0%) | 5 собак (7,4%) |
Лекарственный запах | 5 собак (3,9%) | Отсутствуют |
Летаргия | 1 собака (0,8%) | 1 собака (1,5%) |
Отсутствие аппетита | 1 собака (0.8%) | 1 собака (1,5%) |
Гиперактивность | 1 собака (0,8%) | Отсутствуют |
Во время полевого исследования с участием 61 собаки с ранее существовавшим дерматитом, вызванным аллергией на блох, одна (1,6%) собака испытала локальный зуд сразу после применения имидаклоприда, а один исследователь отметил гиперкератоз в месте нанесения у одной собаки (1,6%).
Исследования эффективности лабораторий
Одна собака в лабораторном исследовании эффективности испытала слабость, депрессию и неустойчивость в период между 6 и 9 днями после нанесения Advantage Multi for Dogs .Признаки исчезли без вмешательства на 10-й день после обработки. Признаки у этой собаки могли быть связаны с пиковыми уровнями моксидектина в сыворотке крови, которые у разных собак различаются и возникают между 1 и 21 днем после применения Advantage Multi for Dogs .Следующие клинические наблюдения также имели место в лабораторных исследованиях эффективности после применения Advantage Multi for Dogs и могут быть напрямую связаны с препаратом или могут быть вторичными по отношению к кишечным паразитам или другим основным состояниям у собак: диарея, кровянистый стул, рвота, анорексия, летаргия, кашель, выделения из глаз и носа.Наблюдения на местах нанесения включали влажные, жесткие или жирные волосы, появление белого налета на волосах и легкую эритему, которая исчезла без лечения в течение 2-48 часов.
Опыт зарубежного рынка
Поскольку следующие события были зарегистрированы добровольно во время использования продукта на зарубежных рынках после утверждения, не всегда возможно надежно установить причинно-следственную связь с воздействием лекарства.Сообщалось о следующих побочных эффектах у людей: раздражение глаз, аллергические реакции, раздражение кожи, покалывание кожи, боль в горле и химический запах.Побочные эффекты, зарегистрированные у собак, получавших местно имидаклоприд + моксидектин для собак, включали: рвоту, диарею, кровавую диарею, слюноотделение, плохой аппетит, летаргию, слабость, беспокойство, возбуждение, дезориентацию, атаксию, мышечный тремор, судороги, одышку, затрудненное дыхание, острый отек легких, крапивница, сыпь, опухшее лицо и уши, зуд, эритема, алопеция, горячие точки, местный дискомфорт и изменение цвета волос в месте нанесения. Случайный прием внутрь у собак вызвал слюноотделение, рвоту, мышечный тремор, судороги, мидриаз, атаксию, летаргию, дезориентацию, возбуждение и плохой аппетит.Побочные реакции, о которых сообщалось у кошек, получавших местно имидаклоприд + моксидектин для собак, включали реакции на месте нанесения и кожные реакции, рвоту, летаргию, возбуждение и неврологические симптомы.
Чтобы сообщить о предполагаемой побочной реакции, позвоните по телефону 1-800-422-9874.
Advantage Multi для собак, дозировка и введение
Рекомендуемая минимальная доза составляет 4,5 мг / фунт (10 мг / кг) имидаклоприда и 1,1 мг / фунт (2,5 мг / кг) моксидектина один раз в месяц для местного применения.
Не наносить на раздраженную кожу.
1. Извлеките из упаковки трубку аппликатора одной дозы (тюбик). Как указано в следующей таблице, введите все содержимое пробирки Advantage Multi ™ для собак , которое правильно соответствует массе тела собаки.
Собака (фунты) | Advantage Multi для собак | Объем (мл) | Имидаклоприд (мг) | Моксидектин (мг) |
3–9 | Преимущество Мульти 9 | 0.4 | 40 | 10 |
9,1 — 20 | Преимущества Мульти 20 | 1,0 | 100 | 25 |
20,1–55 | Преимущество Мульти 55 | 2,5 | 250 | 62.5 |
55,1 — 88 * | Преимущества Multi 88 | 4,0 | 400 | 100 |
* Собаки весом более 88 фунтов. следует обработать соответствующей комбинацией пробирок Advantage Multi for Dogs .
2. Удерживая трубку в вертикальном положении, снимите с трубки крышку.
3. Переверните колпачок и наденьте другой конец на кончик пробирки.
4. Поверните колпачок, чтобы сломать уплотнение, а затем снимите колпачок с трубки.
5. Собака должна стоять для аппликации. Разделите шерсть на спине собаки между лопатками, пока не станет видна кожа. Для собак весом 20 фунтов. или меньше, поместите кончик тюбика на кожу и нанесите все содержимое непосредственно на открытую кожу в одном месте между лопатками. Для собак весом более 20 фунтов поместите кончик трубки на кожу и нанесите все содержимое непосредственно на открытую кожу в 3 или 4 местах на верхней части спины от основания шеи до верхней части спины. область, недоступная для лизания.Не наносите количество раствора в любом месте, которое может сбить собаку.
Не допускайте попадания этого продукта в рот или глаза вашей собаки. Не позволяйте собаке лизать любой из участков приложения в течение 30 минут. В семьях с несколькими домашними животными держите каждую обработанную собаку отдельно от других обработанных собак и других домашних животных в течение 30 минут после нанесения, чтобы предотвратить вылизывание участков нанесения. (См. ПРЕДУПРЕЖДЕНИЯ.)
У некоторых животных на месте нанесения могут наблюдаться жесткие, влажные волосы, розовая кожа или легкий порошкообразный осадок.Это временно и не влияет на безопасность и эффективность продукта.
Мытье шампунем через 90 минут после обработки не снижает эффективность Advantage Multi for Dogs в профилактике сердечного червя.
Мытье шампунем или погружение в воду через 4 дня после обработки не снизит эффективность Advantage Multi for Dogs при лечении заражения блохами. Однако мытье шампунем один раз в неделю может снизить эффективность продукта против блох.
Профилактика сердечных червей
Для профилактики сердечного червя Advantage Multi for Dogs следует вводить с интервалом в один месяц. Advantage Multi for Dogs можно вводить круглый год или, как минимум, начинать за месяц до первого ожидаемого контакта с комарами и продолжать с ежемесячными интервалами до одного месяца после последнего контакта с комарами. Если доза пропущена и 30-дневный интервал между дозами превышен, немедленно введите Advantage Multi for Dogs и возобновите ежемесячный график дозирования.При замене другого средства для профилактики сердечных гельминтов в программе профилактики сердечных гельминтов первое лечение препаратом Advantage Multi for Dogs следует проводить в течение одного месяца после приема последней дозы предыдущего лекарства.Средство от блох
Для лечения заражения блохами Advantage Multi for Dogs следует вводить с интервалом в один месяц. Если собака уже заражена блохами, когда вводится первая доза Advantage Multi for Dogs , взрослые блохи на собаке погибнут.Однако повторное заражение от появления ранее существовавших куколок в окружающей среде может продолжаться в течение шести недель или дольше после начала лечения. У собак, получавших имидаклоприд, в том числе с уже имевшимся дерматитом, вызванным аллергией на блох, клиническое улучшение было прямым результатом устранения блох у собаки.Лечение кишечных нематодных инфекций и борьба с ними
Для лечения и контроля кишечных инфекций анкилостомы, вызванных Ancylostoma caninum и Uncinaria stenocephala (взрослые особи, неполовозрелые взрослые особи и личинки четвертой стадии) и инфекций круглых червей, вызванных Toxocara canis (взрослые особи и личинки четвертой стадии), и Toxascaris leonina (взрослые) и инфекции, вызванные власоглавами, вызванными Trichuris vulpis (взрослые), Advantage Multi for Dogs следует вводить однократно в виде однократной местной дозы.Безопасность животных
В контролируемом полевом исследовании безопасности с двойной маской препарат Advantage Multi for Dogs вводили 128 собакам различных пород в возрасте от 3 месяцев до 15 лет и весом от 4 до 157 фунтов. Advantage Multi for Dogs безопасно применялось у собак, одновременно получавших ингибиторы АПФ, противосудорожные препараты, антигистаминные, противомикробные препараты, хондропротекторы, кортикостероиды, иммунотерапевтические средства, ингибиторы МАО, НПВП, офтальмологические препараты, симпатомиметики, синтетические эстрогены и мочевыводящие препараты.Владельцы сообщали о следующих признаках у своих собак после применения Advantage Multi for Dogs : кожный зуд, шелушащиеся / жирные остатки на участке обработки, лекарственный запах, летаргия, отсутствие аппетита и гиперактивность.
(см. Побочные реакции.)
Исследование безопасности щенков
Advantage Multi for Dogs применяли местно в 1, 3 и 5 раз рекомендуемой дозе 7-недельным щенкам бигля один раз в 2 недели в течение 6 процедур в дни 0, 14, 28, 42, 56 и 70.Жидкий стул и диарея наблюдались во всех группах, включая контрольную, на протяжении всего исследования. Рвота наблюдалась у одного щенка из группы лечения 1Х (день 57), у двух щенков из группы лечения 3Х (дни 1 и 79) и у одного щенка из группы лечения 5X (день 1). У двух щенков в группах 1X, 3X и 5X снизился аппетит в течение 24 часов после введения дозы. У одного щенка в группе лечения 1Х был зуд в течение одного часа после пятого лечения. Щенок из группы, получавшей 5X, показывал учащенное, затрудненное дыхание через 4-8 часов после второй обработки.Исследование переносимости дозы на кожу
Advantage Multi for Dogs вводили местно 8-месячным собакам породы бигль однократно в 10-кратной рекомендуемой дозе. Одна собака показала признаки раздражения места обработки после нанесения. Двух собак вырвало: одну через 6 часов и одну через 6 дней после лечения. В группе лечения наблюдалось повышение эритроцитов, гемоглобина, активированного частичного тромбопластина и прямого билирубина. Собаки в группе, получавшей лечение, не прибавили в таком весе, как в контрольной группе.Исследование безопасности у собак, инфицированных сердечным гельминтом
Advantage Multi for Dogs вводили местно в 1- и 5-кратной рекомендуемой дозе каждые 14 дней в течение 3 процедур собакам с инфекциями сердечного червя у взрослых и циркулирующими микрофиляриями.На 5X у одной собаки наблюдалась рвота через три часа после второй обработки. Реакции гиперчувствительности не наблюдались в группе лечения 5X. Количество микрофилярий уменьшилось при лечении.Исследование оральной безопасности у гончих
Advantage Multi for Dogs однократно вводили перорально в рекомендуемой местной дозе 12 собакам. Шесть собак вырвало в течение 1 часа после получения испытуемого вещества, 2 из этих собак снова вырвало через 2 часа и 1 собака снова вырвало через 18 часов после введения дозы.Одна собака показала дрожь (нервозность) через 1 час после введения дозы. У другой собаки наблюдались аномальные неврологические признаки (кружение, атаксия, генерализованный мышечный тремор и расширенные зрачки с медленной световой реакцией зрачков), начиная с 4 часов после приема и через 18 часов после введения дозы. Без лечения эта собака была неврологически нормальной через 24 часа и имела нормальный аппетит через 48 часов после введения дозы. (См. ПРОТИВОПОКАЗАНИЯ.)Исследование кожной безопасности у колли, чувствительных к ивермектину
Advantage Multi for Dogs вводили местно в 3- и 5-кратной рекомендуемой дозе каждые 28 дней в течение 3 сеансов лечения колли, которые были предварительно проверены на чувствительность к авермектину.Клинических отклонений не наблюдалось.Исследование пероральной безопасности у колли, чувствительных к ивермектину
Advantage Multi for Dogs вводили перорально 5 предварительно отобранным ивермектин-чувствительным колли. У колли не было симптомов после приема 10% минимальной указанной дозы. При 40% минимальной рекомендуемой дозы для местного применения у 4 собак наблюдались неврологические симптомы, указывающие на токсичность авермектина, включая депрессию, атаксию, мидриаз, слюноотделение, фасцикуляцию мышц и кому, и их усыпили.(см. Противопоказания.)
Информация о хранении
Хранить при температуре от 4 ° C (39 ° F) до 30 ° C (86 ° F), избегая чрезмерного тепла или холода.
Как поставляется
Код | приложений в пакете |
088 | 6 пробирок по 0,4 мл |
088 | 6 пробирок по 1,0 мл |
088 | 6 х 2.Пробирки 5 мл |
088 | 6 пробирок по 4,0 мл |
Advantage Multi защищен одним или несколькими из следующих патентов США: 6,232,328 и 6,001,858.
08944698, р.0 | Октябрь 2006 г. |
NADA № 141-251, одобрено FDA
© 2006 Bayer HealthCare LLC
Bayer, Bayer Cross и Advantage Multi являются товарными знаками Bayer.
Bayer HealthCare LLC, Отдел здоровья животных, Миссия Шони, Канзас 66201 США
Правила использования продукта устанавливаются в разных странах. Информация, содержащаяся на этом сайте, относится только к Соединенным Штатам Америки и не предназначена для предоставления адекватной информации по использованию продукта. Перед использованием или выдачей любого продукта прочтите и внимательно соблюдайте указания на этикетке.
Авторские права © 2020 Animalytix LLC. Обновлено: 2020-10-21
Золетил для инъекций для животных
Компания: Jurox(тилетамин и золазепам для инъекций)
НДЦ 49480-718-05
Всего 100 мг / мл
(эквивалент 50 мг / мл тилетамина и 50 мг / мл золазепама)
Только для внутримышечного введения собак и кошек
Золетил для инъекций Осторожно
Федеральный закон ограничивает использование этого препарата лицензированным ветеринаром или по его указанию.
Описание
Zoletil ™ для инъекций (тилетамин и золазепам для инъекций) является ненаркотическим, небарбитуратов, инъекционным анестетиком для собак и кошек. С химической точки зрения Zoletil ™ для инъекций представляет собой комбинацию равных частей по массе основания гидрохлорида тилетамина (гидрохлорид 2- [этиламино] -2- [2-тиенил] циклогексанона), диссоциативного анестетика ариламиноциклоалканона и гидрохлорида золазепама (4- [ о-фторфенил] -6,8-дигидро-1,3,8-триметилпиразоло [3,4-e] [1,4] диазепин-7 [1H] -1-гидрохлорид), нефенотиазиндиазепинон, имеющий незначительное транквилизатор свойства.Поставляется в стерильных флаконах. Добавление 5 мл разбавителя дает раствор, содержащий эквивалент 50 мг основания тилетамина, 50 мг основания золазепама и 57,7 мг маннита на миллилитр. Этот раствор имеет pH от 2 до 3,5 и рекомендуется для глубокого внутримышечного введения.
Золетил по показаниям для инъекций
Собаки
Zoletil ™ для инъекций показан собакам для сдерживания и незначительных краткосрочных процедур (30 мин. В среднем), требующих обезболивания от легкой до умеренной.Незначительной хирургией считается заживление ран, дренирование абсцессов, кастрации и другие процедуры, требующие обезболивания от легкой до умеренной. (См. Собаки при дозировке и применении.)
Кошки
Zoletil ™ для инъекций показан кошкам для сдерживания или анестезии в сочетании с расслаблением мышц.
Золетил для инъекций и введения
Доза определяется общей комбинированной концентрацией 100 мг / мл (см. КАК ПОСТАВЛЯЕТСЯ)
Собаки
Внутримышечно (IM) для обездвиживающих и небольших краткосрочных процедур, требующих обезболивания от легкой до умеренной:
У здоровых собак начальная внутримышечная доза от 3 до 4.5 мг / фунт (от 6,6 до 9,9 мг / кг) Золетил ™ для инъекций рекомендуется для диагностических целей; От 4,5 до 6 мг / фунт (от 9,9 до 13,2 мг / кг) для незначительных краткосрочных процедур, таких как лечение разрывов и ран, кастрации и другие процедуры, требующие обезболивания от легкой до умеренной. Когда требуются дополнительные дозы Zoletil ™ для инъекций, такие индивидуальные дополнительные дозы должны быть меньше начальной, а общая введенная доза (начальная доза плюс дополнительная доза или дозы) не должна превышать 12 мг / фунт (26.4 мг / кг). Максимальная безопасная доза составляет 13,6 мг / фунт (29,92 мг / кг). (См. Безопасность животных.) Результаты применения Zoletil ™ для инъекционной анестезии у собак будут более удовлетворительными, если процедуры будут завершены в течение одного часа и если процедуры могут быть выполнены после введения однократной дозы. Чтобы сохранить как минимум двукратный запас прочности у собак, использование этого продукта ограничено процедурами, требующими низких доз (см. Показания). Исследования показывают, что реакция на различные дозы тилетамина и золазепама варьируется, и что низкие дозы не дают адекватного уровня анестезии, а в некоторых случаях не дают адекватного обезболивания при обширных процедурах.
Кошки
У здоровых кошек начальная доза Zoletil ™ для инъекций от 4,4 до 5,4 мг / фунт (от 9,7 до 11,9 мг / кг) внутримышечно рекомендуется для таких процедур, как стоматология, лечение абсцессов, удаление инородных тел и связанных с ними хирургических вмешательств; От 4,8 до 5,7 мг / фунт (от 10,6 до 12,5 мг / кг) для незначительных процедур, требующих обезболивания от легкой до умеренной, таких как заживление ран, кастрации и другие краткосрочные процедуры. Начальные дозы от 6,5 до 7,2 мг / фунт (от 14,3 до 15,8 мг / кг) рекомендуются для гистерэктомии оварио и онихэктомии.Когда требуются дополнительные дозы Zoletil ™ для инъекций, такие индивидуальные дополнительные дозы следует вводить с шагом, меньшим начальной, а общая введенная доза (начальная доза плюс дополнительные дозы) не должна превышать максимально допустимую безопасную дозу 32,7 мг / фунт (72 мг / кг). (См. Безопасность животных.)
Общая информация о дозировании
Голодание перед введением общей анестезии с Zoletil ™ для инъекций не обязательно; однако при подготовке к плановой операции рекомендуется воздерживаться от еды по крайней мере за 12 часов до введения Zoletil ™ для инъекций.
Как и в случае с другими инъекционными анестетиками, индивидуальная реакция на Zoletil ™ для инъекций несколько различается в зависимости от дозы, общего физического состояния и возраста пациента, продолжительности хирургической процедуры и любых используемых преанестетиков.
Следовательно, рекомендации по режимам дозирования не могут быть однозначными. Конкретные требования к дозировке должны определяться путем оценки состояния здоровья и состояния пациента, а также процедуры, которую необходимо выполнить.
Восстановление зависит от возраста и физического состояния животного, а также от введенной дозы Zoletil ™ для инъекций.
Выздоровление продлевается при высоких дозах или множественных инъекциях, особенно кошкам.
Внутримышечная инъекция собакам и кошкам:
При инъекции может возникнуть боль. Это особенно часто встречается у кошек.
После однократной глубокой внутримышечной инъекции Zoletil ™ для инъекций кошкам и собакам анестезиологический эффект обычно наступает в течение 5–12 минут.Расслабление мышц оптимально примерно в течение первых 20-25 минут после введения Zoletil ™ для инъекций, а затем уменьшается.
Повторные дозы увеличивают продолжительность действия Zoletil ™ для инъекций, но не могут дополнительно снизить мышечный тонус. Качество анестезии при повторных дозах варьируется, поскольку соотношение двух компонентов в организме животного изменяется с каждой инъекцией. Это связано с разницей в скорости метаболизма и выведения двух компонентов.Качество анестезии будет улучшено и более предсказуемо, если вся доза будет вводиться в виде одной инъекции, а не в виде нескольких доз. Лучший метод оценки глубины анестезии Zoletil ™ для инъекций — это наблюдение за пациентом на предмет сознательной реакции на ноцицептивные раздражители.
Если рекомендуемая схема дозирования не дает адекватной анестезии, показана дополнительная анестезия или другое средство. Это включает использование барбитуратов и летучих анестетиков.При одновременном применении с Zoletil ™ для инъекций дозу этих агентов следует уменьшить.
Приготовление раствора для введения
В каждый флакон добавить 5 мл стерильной воды для инъекций, USP. Незначительное перемешивание будет способствовать полному восстановлению. Полученный раствор будет содержать 100 мг Zoletil ™ для инъекций на один миллилитр (50 мг тилетамина и 50 мг золазепама на мл).
Отменить неиспользованный раствор через 4 дня при хранении при комнатной температуре или через 14 дней при хранении в холодильнике.Используйте только прозрачный раствор. Цвет раствора может быть от бесцветного до светло-янтарного.
Противопоказания
Использование Zoletil ™ для инъекций противопоказано собакам и кошкам с заболеванием поджелудочной железы. Zoletil ™ для инъекций не следует применять у собак и кошек с тяжелой сердечной или легочной дисфункцией.
Поскольку тератогенный потенциал Zoletil ™ для инъекций неизвестен, его не следует использовать у беременных сук или кошек на любой стадии беременности. Кроме того, исследование показало, что инъекции тилетамина и золазепама проникают через плацентарный барьер и вызывают угнетение дыхания у новорожденного; поэтому его использование при кесаревом сечении противопоказано.
Предупреждения
ТОЛЬКО ДЛЯ СОБАК И КОШЕК.
При использовании Zoletil ™ для инъекций для индукции анестезии пациенты должны находиться под постоянным наблюдением. Должны быть доступны помещения для поддержания проходимости дыхательных путей, искусственной вентиляции и кислородного голодания.
Сообщалось о возникновении отека легких у кошек при использовании тилетамина и инъекций золазепама. Признаки и симптомы включают одышку, летаргию, анорексию и ненормальное поведение.Иногда сообщалось о смертельных случаях среди серьезно пострадавших людей. За кошками следует внимательно следить за любыми признаками и симптомами, которые могут указывать на отек легких, чтобы можно было назначить соответствующую терапию.
Основным путем выведения обоих компонентов из организма кошки является моча; Таким образом, Zoletil ™ для инъекций не рекомендуется для кошек, страдающих почечной недостаточностью.
Исследования баланса на собаках показали обширную биотрансформацию обоих компонентов, при этом менее 4% дозы выводится в неизмененном виде с мочой.
Zoletil ™ для инъекций выводится преимущественно почками. Имеющаяся ранее почечная патология или нарушение функции почек могут привести к увеличению продолжительности анестезии.
Препараты на основе производных фенотиазина не следует использовать с Zoletil ™ для инъекций в дозировках, указанных для внутримышечных (IM) инъекций, поскольку комбинация вызывает угнетение дыхания и миокарда, гипотонию и гипотермию.
Безопасное использование Zoletil ™ для инъекций беременным животным или при репродукции не установлено.Золетил ™ для инъекций проникает через плацентарный барьер и вызывает угнетение дыхания у новорожденного.
Меры предосторожности
Дозировку Zoletil ™ для инъекций следует уменьшить у пожилых собак и кошек, у животных в ослабленном состоянии и у животных с нарушением функции почек. После внутримышечного введения Zoletil ™ для инъекций как у кошек, так и у собак наступила смерть. Существовавшее ранее заболевание легких, почек (см. Противопоказания и предупреждения) и шок были причинно связаны при вскрытии трупа; однако смерть была отнесена на счет наркотиков по крайней мере у одной собаки (из 1072) и одной кошки (из 1095).
Кошки и маленькие собаки с небольшой массой тела по сравнению с большой поверхностью тела должны быть защищены от потери тепла во время анестезии Zoletil ™ для инъекций. Следует контролировать температуру тела, и может потребоваться дополнительное нагревание для контроля переохлаждения. Как и в случае с другими анестетиками, во время любой хирургической процедуры целесообразно обеспечить гемостаз.
Во время анестезии Zoletil ™ для инъекций может произойти атетоидное движение. Этот атетоз не следует ошибочно принимать за отсутствие анестезии и не свидетельствует об отсутствии обезболивания.Не давайте дополнительной анестезии, чтобы устранить атетоидное движение. Попытки устранить атетоидные движения с помощью дополнительных доз Zoletil ™ для инъекций могут привести к передозировке анестетика.
Zoletil ™ для инъекций не устраняет гортанный, глоточный, перистальтический, пальпебральный и педальный рефлексы и может не подходить в качестве единственного анестетика при хирургических вмешательствах в этих областях. Эндотрахеальные трубки плохо переносятся кошками в сочетании с Zoletil ™ для инъекционной анестезии, и их использование может привести к нарушению дыхания.После удаления трубки нормальное дыхание должно восстановиться.
Стимуляция хирургических процедур помогает поддерживать адекватную вентиляцию легких. Пациент, находящийся под наркозом, должен находиться под наблюдением на протяжении всей процедуры, и в случае возникновения сердечно-легочных проблем необходимо принять меры для обеспечения сохранения альвеолярной вентиляции и сердечно-сосудистых функций.
Глаза обычно остаются открытыми, а зрачки расширены. Рекомендуется использование мягкой офтальмологической мази для защиты роговицы от высыхания.Одновременное применение хлорамфеникола продлит продолжительность наркоза у кошек.
Во время анестезии Zoletil ™ для инъекций может возникнуть обильное слюноотделение. Птиализм можно контролировать у собак и кошек, вводя сульфат атропина 0,02 мг / фунт (0,04 мг / кг) массы тела (внутривенно, внутримышечно или подкожно) в качестве сопутствующего лекарства.
Чрезмерное глотание, рефлекторное действие и скопление слюны могут вызвать рвоту и рвоту.
Побочные реакции
Угнетение дыхания может возникнуть после приема высоких доз Zoletil ™ для инъекций.Если в какой-либо момент дыхание становится чрезмерно угнетенным и животное становится синюшным, следует незамедлительно принять меры по реанимации. В качестве реанимационной меры рекомендуется адекватная вентиляция легких с использованием кислорода или комнатного воздуха.
Сообщенные побочные реакции включают рвоту во время появления, чрезмерное слюноотделение, временное апноэ, вокализацию, неустойчивое восстановление и длительное восстановление, чрезмерную секрецию трахеи и бронхов, когда сульфат атропина не вводился перед анестезией, непроизвольные мышечные подергивания, гипертонус, цианоз, остановка сердца, отек легких. и ригидность мышц во время хирургических вмешательств.Сообщалось также о стимуляции центральной нервной системы и судорогах. Часто возникает тахикардия, особенно у собак. Это повышение частоты сердечных сокращений обычно длится около 30 минут. Также может возникнуть гипертония или гипотензия. Сообщалось о недостаточной анестезии у собак. Сообщалось о смерти собак и кошек после введения Zoletil ™ для инъекций.
Чтобы получить копию паспорта безопасности (SDS) или сообщить о побочных реакциях, позвоните в Jurox по телефону 1-844-253-2926. Дополнительную информацию можно найти на сайте http: // www.jurox.com/us.
Для получения дополнительной информации о неблагоприятных воздействиях на лекарства для животных, свяжитесь с FDA по телефону 1-888-FDA-VETS или http://www.fda.gov/reportanimalae.
Клиническая фармакология
Механизм действия
Zoletil ™ для инъекций — это быстродействующий анестетик, содержащий гидрохлорид тилетамина и гидрохлорид золазепама. Тилетамина гидрохлорид — диссоциативный анестетик, фармакологическое действие которого характеризуется глубоким обезболиванием, нормальными глоточно-гортанными рефлексами и каталептоидной анестезией.Произведенное анестезиологическое состояние не укладывается в общепринятую классификацию стадий анестезии, но вместо этого Zoletil ™ для инъекций вызывает состояние бессознательного, которое было названо «диссоциативной» анестезией, поскольку оно, по-видимому, выборочно прерывает ассоциативные пути к мозгу, прежде чем вызвать некоторая сенсорная блокада.
Черепные нервные и спинномозговые рефлексы остаются активными; однако эти рефлексы не следует путать с неадекватной анестезией. Анальгезия возникает в результате очевидного избирательного прерывания сенсорных сигналов в головном мозге и обычно сохраняется после того, как анестезирующий эффект утихнет.
Защитные рефлексы, такие как кашель и глотание, поддерживаются под анестезией тилетамином. Другие рефлексы, например роговичный, педальный, поддерживаются во время анестезии тилетамином и не должны использоваться в качестве критериев для оценки глубины анестезии. Глаза обычно остаются открытыми, а зрачок расширен. Рекомендуется наносить на роговицу мягкую офтальмологическую мазь, если анестезия продлевается.
Используемый отдельно тилетамина гидрохлорид не обеспечивает адекватного расслабления мышц при абдоминальных хирургических вмешательствах.В сочетании с гидрохлоридом золазепама хорошее расслабление мышц обычно достигается во время фазы глубокой хирургической анестезии.
Безопасность животных
Инъекции тилетамина и золазепама имеют более высокий предел безопасности для кошек, чем для собак. Собаки пережили повторные режимы дозирования в / м 13,6 мг / фунт (30 мг / кг) (максимальная безопасная доза) в течение восьми дней подряд. Это примерно в два раза больше максимальной рекомендованной терапевтической дозы. Кошки выжили при внутримышечном введении до 32 доз.7 мг / фунт (72 мг / кг) (максимальная безопасная доза) через день в течение семи эпизодов. Это в 4,6 раза больше максимальной рекомендованной терапевтической дозы для кошек. Однако эти отчеты не должны препятствовать разумной анестезиологической практике. Сообщалось о некоторой степени терпимости. Эта толерантность, по-видимому, зависит от вида.
Кошки
У кошек продолжительность действия золазепама превышает продолжительность действия тилетамина, так что по мере выздоровления животного наблюдается большая степень транквилизации, чем анестезия.В течение первого часа после инъекции наблюдается небольшое снижение артериального давления. Тилетамин и золазепам не влияют на частоту сердечных сокращений и показания электрокардиограммы. Уровни артериального pO 2 снижаются через три минуты после инъекции, но обычно возвращаются к норме в течение 15-35 минут.
Собаки
У собак продолжительность действия тилетамина превышает продолжительность действия золазепама, поэтому у этого вида существует меньшая степень транквилизации, чем анестезия.Общий эффект инъекции тилетамина и золазепама у собак более короткий, чем у кошек.
После введения собакам инъекции тилетамина и золазепама в течение двух минут после внутримышечной инъекции тилетамина и золазепама возникает выраженная стойкая тахикардия в течение двух минут после 4,5 или 9 мг / фунт (10 или 20 мг / кг) тилетамина и золазепама. Ударный объем уменьшается пропорционально увеличению частоты при дозе 4,5 мг / фунт (10 мг / кг) с небольшим изменением чистого сердечного выброса. Наблюдается первоначальное повышение систолического артериального давления с небольшим падением давления в течение пяти минут.Систолическое артериальное давление остается на этом пониженном уровне в течение всего периода действия анестетика. Диастолическое давление увеличивается в течение этого же периода.
После инъекции тилетамина и золазепама в дозе 9 мг / фунт (20 мг / кг) собакам связь между ударным объемом и частотой сердечных сокращений непропорциональна, что приводит к значительному снижению сердечного выброса. Сократимость и среднее артериальное давление снижаются, что указывает на прямую депрессию миокарда. Желудочковая функция в норме.Во время хирургических манипуляций могут наблюдаться тахикардия и гипертония, которые могут быть вызваны симпатической реакцией на болезненные раздражители. Адреналин значительно менее аритмогенен у животных, находящихся под наркозом путем инъекций тилетамина и золазепама, чем у животных, находящихся под наркозом галотаном.
Во время инъекционной анестезии тилетамином и золазепамом надежность проходимости дыхательных путей значительно повышается благодаря поддержанию глоточно-гортанных рефлексов. В течение первых 15 минут после внутримышечного введения 9 мг / фунт (20 мг / кг) инъекции тилетамина и золазепама частота дыхания удваивается, а дыхательный объем снижается до менее чем половины контрольных значений.Уровень рО 2 в артериальной крови также снижается. Об этом могут свидетельствовать гипоксемия и цианоз. Легочная функция обычно возвращается к норме в течение 35 минут после введения тилетамина и инъекции золазепама.
Условия хранения
Хранить при контролируемой комнатной температуре от 20 до 25 ° C (от 68 до 77 ° F).
Как поставляется
Zoletil ™ для инъекций (тилетамин и золазепам для инъекций) выпускается в индивидуальных флаконах с 5 мл раствора после восстановления.Добавление 5 мл разбавителя дает раствор, содержащий эквивалент 50 мг основания тилетамина, 50 мг основания золазепама и 57,7 мг маннита на миллилитр. Флакон 5 мл — 100 мг / мл всего (эквивалент 50 мг / мл тилетамина и 50 мг / мл золазепама) при восстановлении.
Произведено во Франции для Virbac AH, Inc.
Zoletil ™ for Injection является товарным знаком Virbac SA
.Распространяет:
Vedco, Inc., Сент-Джозеф, Миссури, 64507 США
Продается:
Jurox Inc., Н. Канзас-Сити, Миссури, 64116 США
1-844-253-2926
Ред. 10/2019
© Корпорация Virbac, 2019 г. Все права защищены.
Одобрено FDA согласно ANADA № 200-618
005U4040202
CPN: 1756003.0
Авторские права © 2020 Animalytix LLC. Обновлено: 2020-10-21
Дерматология собак и кошек
1. Введение
Кожа — самый большой орган тела, выполняющий множество различных функций, таких как терморегуляция, иммунная защита, сенсорное восприятие, выработка витамина D, и он действует как барьер между животным и окружающей средой.Помимо всех этих важных функций и заболеваний, которые непосредственно влияют на кожу, он также может разделять или отражать патологические процессы в других тканях. Из-за этих характеристик дерматологические проблемы являются одними из наиболее часто встречающихся заболеваний в ветеринарных больницах. Ветеринарному врачу важно знать и понимать физиологию кожи и наиболее распространенные дерматологические заболевания, поражающие собак и кошек, которые будут рассмотрены в этой главе.
2.Структура кожи
Кожа делится на три слоя: эпидермис, дерма и гиподерма (рис. 1). Эпидермис, самый внешний слой кожи, состоит из кератиноцитов, меланоцитов и клеток Лангерганса. Кератиноциты также расположены слоями в эпидермисе. Самый глубокий, базальный слой, образован одним рядом зародышевых кератиноцитов и также содержит меланоциты. Эти прорастающие кератиноциты генерируют другие слои путем деления и дифференцировки клеток. Следующий слой, stratum spinosum, отличается от stratum basale наличием межклеточных контактов.В этом слое также присутствуют клетки Лангерганса. Зернистый слой характеризуется большим количеством кератогиалиновых гранул внутри кератиноцитов, которые играют важную роль в процессе кератинизации кожи. Роговой слой, внешний слой эпидермиса, состоит из кератиноцитов в их максимальной степени дифференцировки (корнеоциты), вкрапленных в липидный матрикс [1].
Дерма, слой под эпидермисом, состоит из соединительной матрицы, в которой находятся ретикулярные, эластические и коллагеновые волокна.Клеточная структура дермы состоит из фибробластов, тучных клеток и гистиоцитов. Он также содержит придатки эпидермиса (волосы, ногти, сальные и потовые железы), мышцы, сокращающие пили, а также кровеносные и лимфатические сосуды. Гиподерма или подкожная ткань обеспечивает поддержку и защиту от физических травм. Он состоит из рыхлой соединительной ткани и эластических волокон, перемежаемых адипоцитами [1]. Волосяные фолликулы проявляют циклы активности, которые приводят к образованию волос. Анаген — это период активного роста, когда формируются новые волосы.Катаген — это когда рост волос прекращается и в основании фолликула происходят дегенеративные изменения. Телоген представляет собой период бездействия фолликула, когда волосы выпадают, так что может начать расти новый [1]. Активность цикла волос у некоторых пород собак сильно связана с колебаниями температуры и световым периодом, что приводит к снижению густоты волос в теплые месяцы, что способствует потере тепла у этих животных [2].
Рисунок 1.
Структура кожи.
3. Методы диагностики
Подход к диагностике кожных заболеваний зависит от получения подробного анамнеза с тщательным физическим и дерматологическим обследованием.Оценка предлагает ценную информацию и направляет процесс расследования. Следует проводить специальные тесты, а иногда и терапевтические испытания [3].
Соскоб кожи, трихограмма, посев на грибки и бактерии, цитологическая оценка и биопсия кожи являются важными диагностическими методами в дерматологии. Соскобы кожи используются при обнаружении клещей, и они могут быть поверхностными или глубокими, в зависимости от подозреваемого клеща. Полученный образец оценивают с помощью оптической микроскопии [3].Посев на грибок рекомендуется пациентам с подозрением на грибковые заболевания. Образцы волос и чешуйки кожи следует собирать с края поражения. Бактериальный посев проводится нечасто и рекомендуется при пиодермии, невосприимчивой к начальной терапии, или когда в цитологическом исследовании наблюдаются палочки [4]. Прямое исследование волос, трихограмма, выполняется путем выдергивания волос из пораженного участка с последующей микроскопией. С помощью этого метода можно определить аномалии фазы роста волос и наличие паразитов фолликулов и дерматофитов [3].Цитология — это анализ тканевых клеток, и это высокоэффективное и ценное исследование для оценки поражения, после которого можно определить следующий этап диагностического подхода. Образец может быть получен тонкоигольной аспирацией, мазком, соскобом кожи или отпечатком поражения [5]. Гистопатология, связанная с клиническими данными, обычно приводит к окончательному диагнозу. Биопсия кожи рекомендуется при необычных поражениях, возможно неопластических узелках, дерматозах с дорогостоящей терапией или когда это представляет риск для здоровья пациента, с плохой реакцией на предыдущую терапию и для исключения дифференциального диагноза [4].Для проведения гистопатологического исследования необходимо получить не менее трех репрезентативных образцов путем перфорации или хирургической резекции [3].
4. Бактериальные кожные заболевания
Пиодермия — это бактериальная кожная инфекция, одна из наиболее частых причин кожных заболеваний у собак [6], однако у кошек она встречается реже [7]. Поражения могут быть поверхностными и затрагивать только эпидермис, или они могут поражать более глубокие структуры дермы или подкожной ткани, и поэтому они делятся на поверхностную, поверхностную и глубокую пиодермию [6]. Staphylococcus pseudintermedius — это бактерии, наиболее часто выделяемые из кожи собак [8], и это одна из основных причин применения противомикробных препаратов у этих животных [9].
Поверхностная пиодермия характеризуется поверхностными эрозиями рогового слоя. Часто встречаются алопеция, эритема и зуд [10]. Интертриго — это поверхностная пиодермия, которая поражает кожные складки на губах, лице, вульве, хвосте и молочных железах некоторых пород, а также может поражать кожные складки животных с ожирением.Острый влажный дерматит, также известный как пиотравматический дерматит или горячие точки, имеет острое начало и редко возникает как первичное заболевание здоровой кожи, обычно являясь вторичным по отношению к другим заболеваниям [11]. Вероятно, локальное раздражение, вызванное первопричиной, приводит к самоповреждению, которое быстро превращается в обширные участки повреждения кожи [10].
Поверхностная пиодермия — наиболее частая причина бактериальной инфекции кожи у собак [6]. Они поражают поверхностную часть волосяных фолликулов (бактериальный фолликулит) или эпидермис (импетиго), вызывая пустулы [10, 11].Чаще всего встречаются покрытые коркой папулы из-за преходящего характера пустул у собак. Зуд, эпидермальные воротнички, гиперпигментация и алопеция также являются частыми проявлениями [6]. Импетиго поражает неполовозрелых собак, которые могут иметь подкорнеальные пустулы, образующиеся в паховой и подмышечной областях [10]. Поверхностный бактериальный фолликулит — наиболее частая форма пиодермии у собак [12]. Часто встречаются папулы, пустулы, связанные с волосяными фолликулами, эпидермальные воротнички, алопеция и гиперпигментация [10] (рис. 2).
Глубокая пиодермия не возникает спонтанно, часто начинается как поверхностная пиодермия [6]. Другие организмы, такие как Proteus spp., Pseudomonas spp. и E. coli могут быть вовлечены [12-14]. Бактериальная инфекция поражает самую глубокую часть волосяного фолликула (глубокий фолликулит), что может привести к разрыву стенки фолликула и высвобождению бактериального продукта в дерме (фурункулез), а также может затронуть более глубокую часть дермы и подкожную ткань ( целлюлит) [10, 15].Пораженная кожа выглядит эритематозной, гиперпигментированной, с наличием серозно-гнойных обломков от разорванных пустул; Также отмечаются переменный зуд, отек, жесткость кожи и явная боль [6].
Диагноз ставится на основе оценки клинических признаков, наличия характерных кожных повреждений, устранения других возможных причин фолликулита и цитологической оценки содержимого неповрежденных пустул, экссудативных поражений и кожных остатков. При лечении пиодермии важно определить возможное основное заболевание, которое может быть выполнено с помощью соскобов кожи, терапевтических испытаний чесотки, тестов на аллергию, обследований на эндокринопатии, испытаний гипоаллергенной диеты, строгого контроля эктопаразитов и биопсии кожи.[16].
Лечение варьируется в зависимости от представленных повреждений. Локальную поверхностную и поверхностную пиодермию можно лечить только местными антибиотиками, такими как мази сульфадиазина серебра, неомицина или 2% мупироцина, которые наносятся дважды в день на пораженные участки. Генерализованные поражения и глубокая пиодермия требуют комбинации пероральных и местных антибиотиков. Пациентам с сильным зудом рекомендуется перорально принимать противовоспалительные дозы преднизона в течение до двух недель [17]. К антибиотикам выбора для перорального применения относятся цефалексин (22–33 мг / кг каждые 12 часов) и амоксициллин, связанный с клавулановой кислотой (22 мг / кг каждые 12 часов) [18].Рецидивирующие случаи требуют посева и тестирования на чувствительность, чтобы выявить резистентность [16].
Рисунок 2.
Поверхностный бактериальный фолликулит у таксы. В области туловища видны множественные участки алопеции и эритемы.
5. Грибковые болезни
5.1. Дерматофития
Дерматофития — это поверхностный микоз, вызываемый грибами Microsporum , Trichophyton или Epidermophyton . Эти грибы изолированы от волос, ногтей и поверхности кожи, поскольку для роста им требуется кератин [19].Дерматофиты подразделяются на три группы в зависимости от среды их обитания: зоофильные, в основном встречающиеся у животных, передающиеся другим животным или людям; антропофильные, чаще всего встречаются у людей, передаются от человека к человеку, реже — животным, а геофильные дерматофиты, обнаруживаемые в почве, заражают людей и животных [20]. M. canis — наиболее часто выделяемый вид грибов у собак и кошек [21].
Клинически грибковые инфекции у собак и кошек различаются. Инфекции у собак часто вызывают поражения, в то время как можно выделить дерматофиты от клинически здоровых кошек, которые могут действовать как резервуар конидий гриба [22].Пораженные животные обычно имеют алопеции, чешуйчатые, покрытые коркой, эритематозные и папулезные поражения, особенно на лице и конечностях. Иногда дерматофиты могут иметь узловатую форму, известную как керионы. Для этой формы дерматофитии характерны глубокие воспалительные и гнойные поражения [23]. Зуд может варьироваться от отсутствующего до тяжелого [24].
Прямое микроскопическое исследование волос и чешуек может выявить наличие гиф или спор грибов. Грибковая культура является предпочтительным диагностическим тестом, и образец может быть получен путем чистки животного зубной щеткой или соскобов кожи [25].
Лучшая стратегия лечения дерматофитов — это сочетание системной и местной противогрибковой терапии. Целью лечения с помощью продуктов местного действия является устранение грибков, присутствующих на эпидермисе и поверхности волос, в то время как системное лечение направлено на устранение инфекции в стержнях волос [26]. Полоскание извести серой 6,5% два раза в неделю показало хорошие результаты у кошек, инфицированных M. canis [27, 28]. Варианты системного лечения включают итраконазол перорально в дозе 10 мг / кг один раз в день, гризеофульвин 50 мг / кг один раз в день или тербинафин 5 мг / кг один раз в день [27-29].Лечение необходимо продлить на 2–4 недели после клинического излечения и после получения двух или более отрицательных культур грибов [23].
5.2. Malassezia dermatitis
Malassezia pachydermatis — комменсальный кожный дрожжевой грибок, обычно выделяемый из губ, межпальцевой кожи, слизистой оболочки заднего прохода и наружного слухового прохода [30]. Это условно-патогенные дрожжи, которые обычно проявляются после установки других заболеваний. Это очень часто встречается у собак и реже всего у кошек [31].Предыдущая антибактериальная терапия связана с развитием кожных покровов M. pachydermatis по мере роста у собак [32], а также с нарушениями ороговения и гиперчувствительностью [33]. Бассет-хаунды, кокер-спаниели и вест-хайленд-уайт-терьеры более предрасположены к этому типу инфекции [32].
Наиболее частым клиническим проявлением дерматита Malassezia является наличие умеренного или интенсивного зуда [34]. Эритема, лихенификация, жирная кожа, неприятный запах, алопеция и эрозии также являются частыми клиническими проявлениями [35], которые могут быть генерализованными или локализованными [34].
Цитология — это предпочтительный метод диагностики, позволяющий идентифицировать повышенное количество дрожжевых грибков под микроскопом. Образцы могут быть получены с помощью соскобов кожи, мазков, прямого оттиска или с помощью лент. Посев на грибок не рекомендуется в качестве диагностической процедуры, потому что это не количественная оценка [36].
Выявление и коррекция предрасполагающих заболеваний необходимы для успешного лечения дерматита Malassezia [23]. В легких случаях можно использовать шампуни с миконазолом, хлоргексидином, кетоконазолом или уксусной кислотой.Ванны следует принимать два раза в неделю в течение минимум шести недель [36]. Пациенты, которым требуется системное лечение, должны получать пероральные противогрибковые препараты, такие как кетоконазол, итраконазол или флуконазол в дозе 5 мг / кг один раз в день в течение как минимум 30 дней [36]. Тербинафин 30 мг / кг каждые 24 часа два дня подряд в неделю в течение шести недель также может быть эффективным лечением [37]. Для предотвращения рецидивов заболевания многим собакам может потребоваться регулярная поддерживающая терапия [23].
5.3.Споротрихоз
Споротрихоз — это подкожный микоз, вызываемый диморфным грибом Sporothrix schenckii , который может инфицировать животных и людей [39]. Это зоонозное заболевание, передающееся человеку через укусы или царапины, а также при контакте с язвами кошек [40]. S. schenckii присутствует в разлагающейся растительности и почве, а заражение животных происходит через открытые поражения кожи, такие как перфорация, укусы и царапины. Попадая в организм хозяина, гриб может вызывать локальные поражения и, возможно, системные признаки [41].
Клинически споротрихоз имеет три формы: кожную, лимфокожную и генерализованную, и у одного и того же животного может одновременно развиваться более одной формы. Кожная форма обычно ограничивается зоной заражения грибком и проявляется после инкубационного периода продолжительностью один месяц. Если это поражение не лечить, может произойти прогрессирование лимфокожной формы. Лимфокожная форма характеризуется развитием узелков, которые превращаются в язвы, поражающие кожу, подкожную клетчатку, лимфатические сосуды и регионарные лимфатические узлы [41].Вялость, анорексия, депрессия и лихорадка при физикальном обследовании в анамнезе позволяют предположить наличие диссеминированной формы [42].
Диагноз основывается на анамнезе, физикальном осмотре, цитологическом исследовании, культуре грибов и гистопатологических данных [43]. Цитологическая оценка обычно выявляет овальные или удлиненные дрожжевые клетки, соответствующие форме S. schenckii , также могут присутствовать воспалительные клетки [45]. По гистопатологическим данным, наличие глубокого пиогранулематозного дерматита, клеточная инфильтрация полиморфно-ядерных и мононуклеарных клеток, а также наличие PAS-положительных структур, совместимых с S.schenckii [44]. Пероральный прием итраконазола в дозе 10 мг / кг каждые 24 часа является лечением выбора [46].
5.4. Криптококкоз
Cryptococcus spp. представляет собой сапрофитный гриб, присутствующий в окружающей среде и в фекалиях голубей, способный вызывать системную инфекцию у собак и кошек, чаще всего у кошек. В ветеринарии представляют интерес виды C. neoformans , которые имеют глобальное распространение, и C.gattii , имеющий ограниченное распространение [47]. C. neoformans обычно заражает животных при вдыхании и может вызывать поражения глаз, верхних дыхательных путей и центральной нервной системы. Могут присутствовать язвенные поражения слизистой оболочки носа, полости рта или глотки или носовые образования (рис. 3) [31]. Наиболее частыми находками являются микотический ринит и поражение кожной переносицы и носового зазора. У кошек с положительной серологией на вирус иммунодефицита кошек (FIV) криптококкоз имеет тенденцию проявляться в диссеминированной или запущенной форме [48].
Диагноз криптококкоза основывается на посеве грибов, цитологическом, гистологическом и серологическом исследованиях [49]. Цитологическое исследование может выявить лейкоциты, макрофаги и многочисленные инкапсулированные структуры (дрожжи) разного размера (рис. 3) [50, 51].
Медикаментозная терапия в большинстве случаев приводит к выздоровлению пациента [49] и состоит из перорального применения противогрибковых препаратов до полной ремиссии клинических признаков, обычно в течение 3–12 месяцев. Настоятельно рекомендуется не прерывать лечение до тех пор, пока титры антител против криптококкоза не снизятся до нуля [52].Обычно используемые препараты включают флуконазол в дозе 50 мг / кошку каждые 12 часов [48] и итраконазол в дозе 50–100 мг / кошку каждые 24 часа [52] или 10 мг / кг для собак и кошек каждые 24 часа [49]. Пациентам с новообразованиями в носоглотке требуется хирургическая резекция для проходимости верхних дыхательных путей и уменьшения инфицированной ткани, требующей медикаментозного лечения [52].
Рисунок 3.
Криптококкоз кошек. Рисунок слева: кошка с массой носа (красная стрелка). Рисунок справа: Цитология тонкоигольного аспирата носовой массы, показывающая несколько инкапсулированных структур (желтые стрелки), совместимых с C.neoformans (микроскопическое изображение, просматриваемое с помощью 100-кратного масляного объектива).
6. Паразитарные кожные болезни
6.1. Демодекоз
Демодекоз — очень распространенное кожное заболевание у собак, но редко — у кошек [53]. Это воспалительное заболевание, при котором в коже обнаруживается большое количество клещей Demodex [54]. Клещи размножаются в волосяных фолликулах и сальных железах, вызывая заболевание [55]. Это обычное заболевание, которое часто бывает серьезным у собак. Помимо Demodex canis , были зарегистрированы два менее распространенных вида [54, 55]: Demodex sp. cornei и Demodex injai [55]. Демодекоз кошек может быть вызван двумя разными видами клещей: Demodex cati и Demodex gatoi [53].
Клещи передаются от матери к потомству в раннем возрасте [56]. D. canis считается комменсалом в коже собак. Считается, что это заболевание является следствием специфической иммуносупрессии, которая способствует размножению клещей [57]. Генетические факторы, вероятно, очень важны в развитии генерализованного заболевания, поэтому разведение пораженных животных противопоказано [54].
Эритема, комедоны, шелушение, частичная или полная алопеция, папулы, фолликулярные цилиндры, пустулы и, в тяжелых случаях, фурункулез, образование корок, экссудация и изъязвление с очаговыми дренажными путями могут быть клиническими признаками. Обычно поражения начинаются на лице и конечностях, но могут стать генерализованными. Демодекоз можно разделить на генерализованный и локализованный. Поражение одного целого участка тела, пяти или более фокальных участков или поражение ног считается генерализованным демодекозом.Диагноз ставится на основании глубокого соскоба кожи или трихограммы. В некоторых редких случаях у ног или у некоторых пород, таких как шарпей, эти тесты могут быть отрицательными, что требует биопсии для обнаружения клещей [58].
У большинства собак локализованный демодекоз разрешается спонтанно, поэтому специфическая терапия клещами не требуется до тех пор, пока болезнь не станет генерализованной [53]. Лечение генерализованного демодекоза включает несколько подходов. В дополнение к акарицидному лечению необходимо также исследовать сопутствующие вторичные инфекции и основные заболевания [58].В качестве акарицидного лечения ивермектин рекомендуется перорально в дозе 0,3–0,6 мг / кг один раз в день, однако рекомендуется начинать лечение с более низкой дозы и постепенно увеличивать количество вводимого препарата. За животным следует наблюдать за появлением побочных эффектов. Доказана эффективность терапии моксидектином 0,2-0,5 мг / кг перорально один раз в день и дорамектином 0,6 мг / кг перорально или подкожно один раз в неделю при лечении генерализованного демодекоза. Такие же осторожные меры по постепенному введению дозы с ивермектином следует применять и для этих двух других препаратов.Оксим милбемицина также можно использовать в дозе 1-2 мг / кг перорально один раз в день с хорошими результатами [58]. Для лечения демодекоза кошкам показаны еженедельные ванны с 2% известковой серы. Имеются отдаленные доказательства, указывающие на еженедельное применение 0,025% амитраза и на применение дорамектина 0,6 мг / кг один раз в неделю подкожно [53]. Лечение следует продолжать в течение одного месяца после получения третьего отрицательного результата соскоба подряд [58].
6.2. Чесотка собак
Чесотка собак — обычное заболевание у собак и людей, но редко у кошек, у которых кожа колонизируется клещом Sarcoptes scabiei после контакта с донором-хозяином.Заражение этим клещом вызывает сильный зуд [59, 60]. Самки клещей роют ходы в роговом слое, чтобы отложить яйца, из которых вылупляются вылупляющиеся формы личинок, которые мигрируют на поверхность кожи, где достигают взрослой стадии [61].
Чрезвычайно раздражающие и зудящие папулезные высыпания, утолщение кожи, эритема, алопеция, экссудация с образованием корок и вторичная бактериальная инфекция с пустулами — частые клинические проявления (рис. 4). Хронические поражения обычно ограничиваются краями ушной раковины, локтей и скакательных суставов, что может проявляться утолщением кожи, минимальным образованием корки и стойким зудом [61].
Соскоб с кожи с микроскопической идентификацией S. scabiei — ценный диагностический метод, хотя во многих случаях клещей почти не обнаруживают. Диагноз обычно основывается на анамнезе животного, клинических признаках и положительном ушном-педальном рефлексе (края ушной раковины аккуратно расчесывают, и собака рефлекторно использует ипсилатеральную заднюю конечность, чтобы почесать источник раздражения) [62, 63].
Лечение рекомендуется больным и другим животным в их доме.Купание с 0,025% раствором амитраза один раз в неделю или два раза в неделю рекомендуется как эффективное лечение. После ремиссии клинических признаков терапию следует продолжить в течение двух недель. Во время лечения следует контролировать побочные эффекты [64]. Фипронил спрей 0,25% можно наносить на щенков трижды с трехнедельным интервалом [65]. Ивермектин можно вводить в дозе от 0,2 до 0,4 мг / кг перорально каждые семь дней или подкожно каждые 14 дней. Лечение обычно занимает от четырех до шести недель [66].Этот препарат противопоказан колли и их помесам [67]. Эффективным альтернативным лечением чесотки является точечное нанесение селамектина в дозе 6–12 мг / кг каждые 15–30 дней, по крайней мере, три раза, и, по-видимому, он хорошо переносится различными породами [67, 68]. Оксим милбемицина в дозе 2 мг / кг в неделю, вводимый до пяти раз, также обладает хорошей эффективностью [69].
ПРИМЕЧАНИЕ. Разрешение на использование макроциклических лактонов для лечения кошек и собак различается для каждой страны.Перед лечебным учреждением следует проверить правила, касающиеся его использования, и предупредить владельцев, чтобы разрешить любое использование этих лекарств вне маркировки.
Рисунок 4.
Чесотка. Рисунок слева: собака с эритематозными, алопецированными и лихенифицированными зудящими поражениями в дистальной части задних конечностей. Рисунок справа: владелец животного демонстрирует зудящие папулезные поражения брюшной полости, подчеркивающие зоонозный аспект чесотки.
7. Аллергические болезни
7.1. Блошиный аллергический дерматит
Ctenocephalides felis felis является наиболее важным эктопаразитом у собак и кошек в нескольких странах [70]. Его заражение может вызвать сильный зуд, травму, причиненную самому себе, и даже такие серьезные симптомы, как анемия. У некоторых животных развивается тяжелое состояние, известное как аллергический дерматит от блох (FAD). После сенсибилизации поражения могут быть инициированы всего несколькими укусами блох [71]. Аллергия на блох — одно из наиболее частых состояний у собак, особенно в странах с влажной и теплой погодой, где обычно встречаются блохи [72].Наиболее частыми клиническими признаками являются эритема, экскориация, образование корок и пустулы, которые обычно поражают медиальную каудальную сторону передних ног и брюшную полость; также может наблюдаться пиотравматический дерматит [73].
Диагноз основывается на косвенных доказательствах, таких как клиническая реакция на борьбу с блохами. Успешное лечение FAD зависит от устранения источника аллергии — блох. Цели терапии — полное уничтожение популяции блох в организме пациента и окружающей среде, а также у контактных животных.Также важно предотвратить новое заражение, что не всегда просто, поскольку у блох высокая репродуктивная способность и сложный жизненный цикл [71]. Достижения в области борьбы с блохами с помощью современных инсектицидов и регуляторов роста насекомых заметно снизили количество пораженных животных. Такие препараты, как фипронил, имидаклоприд, метафлумизон, нинтемпирам, селамектин и спиносад, оказались эффективными для борьбы с блохами у животных с ФАД [74]. Эти продукты доступны в нескольких формах: шампуни, ошейники, спреи, пудры, точечные и пероральные препараты [71].
7.2. Неблагоприятные пищевые реакции
Неблагоприятные пищевые реакции описаны в ветеринарии с 1920 года, сообщая о появлении желудочно-кишечных симптомов и кожных реакций в ответ на пищевые аллергены [75]. Под нежелательной пищевой реакцией понимается любой патологический клинический ответ, связанный с потреблением пищи или ее добавок [76]. Эта реакция классифицируется как пищевая аллергия (иммуноопосредованная) или пищевая непереносимость (неиммуноопосредованная). Большинство реакций у животных — это непереносимость пищи, они могут иметь фармакологическое или метаболическое происхождение, отравление, идиосинкразию [76, 77], токсичность или анафилактическую реакцию на пищу [77].Есть собаки с кожными кожными заболеваниями или отитом, который проходит с помощью ограничительной диеты, но остается недоказанной иммунологическая причина или гиперчувствительность (аллергия), связанная с кожными побочными реакциями на пищу (CAFR). Поскольку этиопатогенез еще не выяснен, следует избегать термина «пищевая аллергия», и более подходящим является CAFR [76, 78]
Нет предрасположенности по породе, полу или возрасту к появлению клинических признаков. Зуд является наиболее важным признаком, о котором сообщают, и он поражает в основном лицо, промежность и уши (наружный отит).Также могут наблюдаться желудочно-кишечные симптомы, такие как рвота и диарея. Лучший диагностический подход к CAFR у собак и кошек — кормить их диетой, содержащей только один источник белка, с которым животное никогда раньше не контактировало (новый белок). Диагноз ставится при исчезновении клинических признаков после пробной диеты и при возвращении этих признаков при повторном предложении предыдущей диеты. Испытание диеты должно проводиться не менее шести недель. Домашние диеты более подходят для исследования CAFR, описанного выше, но существуют также коммерчески доступные диеты по рецепту и гидролизованные [75].
Диеты по рецепту, коммерчески доступные в некоторых странах, состоят из необычного источника белка и неаллергенного источника углеводов, такого как картофельная или овсяная мука. Источниками белка, обычно содержащимися в этих диетах, являются баранина, утка, кролик и мясо кенгуру [77]. Другой вариант, который считается действительно гипоаллергенным, — это гидролизованная диета. Для человека известно, что большинство пищевых аллергенов представляют собой гликопротеины с молекулярной массой более 12000 d. Гидролизованная пища содержит меньшие по размеру пептиды, что делает их потенциально менее аллергенными [75].Однако небольшой процент собак с аллергией плохо реагирует на гидролизованную пищу. Возможность неблагоприятной пищевой реакции на гидролизованный корм у чувствительных собак редка, но ее следует учитывать [79].
Дифференциальный диагноз CAFR — это другие виды гиперчувствительности, такие как FAD, атопический дерматит, заболевания, вызываемые эктопаразитами, а также дрожжевые или бактериальные инфекции. Эти инфекции также могут возникать как осложнения зудящего процесса. Терапия должна включать вторичные инфекции и наружный отит.В некоторых случаях также требуется строгий контроль зуда при применении диеты. Любую лекарственную терапию следует прервать по крайней мере за три недели до окончания испытания диеты, чтобы врач мог оценить реакцию животного на диету [75]. До сих пор неизвестно, разовьется ли у животных толерантность к пищевым аллергенам после длительного периода отсутствия контакта, как сообщалось у людей, однако естественная гипосенсибилизация, по-видимому, встречается редко [77].
7.3. Атопический дерматит у собак
Атопический дерматит собак (CAD) — это аллергическое, наследственное, воспалительное и зудящее заболевание кожи с характерными клиническими признаками, связанными с выработкой иммуноглобулина E (IgE) против аллергенов окружающей среды [80].Атопический дерматит также поражает кошек, но его частота ниже, чем у собак [81].
Большинство собак с атопическим дерматитом начинают проявлять признаки в возрасте от шести месяцев до трех лет [82, 83]. Половой предрасположенности отсутствует, а клинические признаки могут быть сезонными или нет, в зависимости от аллергена. Обычно у пациентов в анамнезе есть зуд с вторичными кожными или ушными инфекциями или без них. Первичные поражения включают пятна и папулы, но часто пациенты имеют вторичные поражения в результате самоповреждения, такие как ссадины, алопеция, лихенификация и гиперпигментация.Поражения поражают лицо, вогнутую часть ушной раковины, брюшную часть шеи, подмышечную впадину, пах, брюшную полость, промежность, вентральную часть хвоста, суставы конечностей, медиальные стороны конечностей, стопы и уши [85].
У собак, как и у людей, нет патогномоничных признаков атопического дерматита, по которым можно было бы поставить диагноз, основанный только на анамнезе и физическом обследовании. Диагноз зависит от соответствия пациента нескольким критериям, связанным с заболеванием, и от исключения дифференциальных диагнозов.После клинического диагноза лабораторные или клинические тесты, такие как тесты на аллергию и гистопатологию, подтверждают диагноз. Однако эти тесты следует использовать не для установления диагноза, а для его подтверждения [82]. Важно подчеркнуть тот факт, что у некоторых собак с воспалительными и зудящими кожными заболеваниями, проявляющими клинические признаки, идентичные таковым при ИБС, может не быть продукции IgE в ответ на аллергены окружающей среды. Это состояние известно как «собачий атопический дерматит» [80].Другие дерматозы могут иметь сходные признаки с атопическим дерматитом собак или могут быть сопутствующими заболеваниями, и поэтому их следует устранять или контролировать до окончательного диагноза ИБС. Дифференциальные диагнозы ИБС: FAD, CAFR, зудящие паразитарные заболевания, бактериальная пиодермия, дерматит Malassezia и другие аллергические заболевания [82, 83]. Цели тестов на аллергию — определить аллергены, избегать контактов и включить их в иммунотерапию аллергии [83].Ни один тест на аллергию не является полностью чувствительным или специфическим, поэтому клинически нормальные животные могут иметь положительные ответы, а животные с отрицательными результатами могут иметь клинические характеристики заболевания [82]. Аллергенами, обычно связанными с патогенезом ИБС, являются клещи домашней пыли, споры плесени, пыльца деревьев и трав, антигены насекомых и эпидермиса [84].
Атопический дерматит — одно из наиболее распространенных кожных заболеваний у собак, однако его патогенез до конца не изучен, поэтому лечебной терапии пока нет [85].В настоящее время для лечения ИБС доступны разнообразные местные и системные методы лечения, такие как специфическая иммунотерапия от аллергии, кортикостероиды, ингибиторы кальциневрина, антигистамины и незаменимые жирные кислоты. К сожалению, эти методы лечения не во всех случаях эффективны или проявляют побочные эффекты при длительном применении [86]. Для большинства собак с атопическим дерматитом исключение или предотвращение контакта с аллергенами чрезвычайно сложно, а медикаментозная терапия не всегда бывает удовлетворительной, в этих случаях возможность модулировать иммунный ответ на аллергены является хорошим вариантом.Специфическая иммунотерапия против аллергии, также известная как гипосенсибилизация, десенсибилизация или вакцины против аллергии [85], определяется как действие по введению увеличивающихся количеств экстрактов аллергенов пациенту с аллергией для минимизации симптомов, связанных с воздействием аллергена. Иммунотерапия не подходит для пациентов, которые не продуцируют IgE против аллергенов, имеющих клиническое значение [87]. В результате у 50–100% собак, подвергнутых иммунотерапии, может наблюдаться улучшение клинических признаков после четырех месяцев лечения, а у некоторых из этих животных клинические признаки отсутствуют в течение длительного времени [88].Несмотря на то, что он широко применяется при лечении атопического дерматита у человека, существует лишь несколько исследований местного применения кортикостероидов в ветеринарии. Спрей триамцинолон 0,015% использовался с хорошими результатами в течение месяца с минимальными побочными эффектами [89]. Недавно спрей гидрокортизона ацепоната 0,0584%, применяемый один раз в день на пораженные участки в дозе двух спреев на каждые 100 см2 в течение 84 дней, был заметно эффективен, показывая результаты, аналогичные результатам, полученным при терапии циклоспорином, но без побочных эффектов [90] .Часто применяемыми пероральными глюкокортикоидами являются преднизон, преднизолон и метилпреднизолон, которые считаются эффективными и обладают быстрым противоаллергическим действием, в дозе 0,5–1,0 мг / кг один или два раза в день. После достижения желаемого эффекта доза может быть уменьшена с сохранением эффективности. Часто наблюдаемые побочные эффекты связаны с дозой и продолжительностью лечения [89]. Ингибиторы кальциневрина в виде 0,1% мази такролимуса, наносимые два раза в день на локализованные поражения, эффективны при лечении ИБС [91]. Хорошая эффективность также наблюдается при пероральном приеме циклоспорина в дозе 5 мг / кг один раз в день в течение четырех-шести недель.При использовании циклоспорина доза обычно снижается наполовину после улучшения клинических признаков, сохраняя эффективность. Возможны побочные эффекты в виде рвоты и преходящей диареи. Пероральные антигистаминные препараты использовались для лечения ИБС на протяжении десятилетий, однако исследований, показывающих убедительные доказательства их эффективности, нет. Побочные эффекты антигистаминных препаратов могут проявляться в виде седативного эффекта и летаргии, но эти признаки встречаются редко. Незаменимые жирные кислоты омега-3 и 6 из растительных или рыбных источников уже более 20 лет используются для лечения атопического дерматита.Они коммерчески доступны в капсулах, в жидкой или диетической форме. Преимущества терапии жирными кислотами при ИБС не ясны, несмотря на многочисленные исследования в этой области, однако они могут снизить дозу кортикостероидов после 8 недель одновременной терапии [89].
8. Иммунологические заболевания кожи
8.1. Pemphigus complex
Болезни, связанные с комплексом Pemphigus, возникают в результате производства аутоантител, направленных против эпидермального межклеточного содержимого, что приводит к разделению клеток с образованием внутриэпидермальных пузырей.Отложение антител способствует физическому разделению клеток; кроме того, считается, что происходит высвобождение клеточных протеаз, которые переваривают межклеточное вещество, что еще больше усугубляет состояние. Среди форм, наблюдаемых у собак и кошек, — красная пузырчатка, обыкновенная пузырчатка, вегетативная пузырчатка и листовидная пузырчатка, последняя является наиболее частым аутоиммунным заболеванием кожи у этих видов [92], которое будет обсуждаться в этой главе.
Pemphigus foliaceus чаще наблюдается у животных среднего возраста, особенно у домашних короткошерстных кошек и у собак некоторых предрасположенных пород, таких как бородатые колли, японские акиты, чау-чау, доберманы-пинчеры и ньюфаундленды [93, 94].Это пузырно-пузырчатое, эрозивное заболевание, которое вызывает явный гиперкератоз подушечек стопы. Также часто поражаются лицо, туловище и живот [95, 96]. Также могут присутствовать пустулы, покрытые коркой поражения, эритема, алопеция и вторичная пиодермия [94, 96]. В тяжелых случаях могут наблюдаться вторичные по отношению к инфекции кахексия и сепсис [97].
Пустулезные поражения, если они присутствуют, могут быть оценены цитологически и могут выявить невырожденные гранулоциты и акантоциты [94]. Гистологически наблюдаются внутриэпидермальные и внутрифолликулярные пустулы с наличием поверхностного периваскулярного дерматита и акантоцитов [92, 93, 98].Гистологическое присутствие акантолиза является отличительной чертой комплекса пузырчатки [98].
Терапия требует использования иммунодепрессантов или иммуномодуляторов. Преднизон, преднизолон и метилпреднизолон обычно используются при лечении пузырчатки. Первоначально рекомендуется доза от 2,2 до 4,4 мг / кг каждые 24 часа для всех трех препаратов. Если терапевтический ответ наблюдается через 14 дней, дозу следует постепенно снижать в течение 30-40 дней. После этого следует ввести альтернативную дневную дозу, достигая окончательного протокола 1 мг / кг каждые 48 часов или реже [98].В резистентных случаях пузырчатки у собак прием преднизолона можно сочетать с азатиоприном (2,2 мг / кг каждые 12 часов или каждые 24 часа) или циклофосфамидом (50 мг / м2 каждые 48 часов). Пемфигус кошек обычно хорошо поддается лечению преднизолоном, хотя в резистентных случаях может помочь комбинация преднизолона и хлорамбуцила (0,1–0,2 мг / кг каждые 24 часа или через день) [94]. Местные глюкокортикоиды могут использоваться в качестве единственной терапии при локализованных формах пузырчатки или использоваться при стойких поражениях в качестве дополнительной терапии к системному лечению [98].Случаи смерти при листовидной пузырчатке в основном связаны с побочными эффектами лекарств, вторичными инфекциями или, во многих случаях, владелец домашнего животного требует эвтаназии [97].
8.2. Дискоидная красная волчанка
Дискоидная красная волчанка (ДВС) — это иммуноопосредованное заболевание, при котором поражения аналогичны поражениям системной красной волчанки (СКВ), хотя и без присутствия флуоресцентных антинуклеарных антител и без участия других органов. системы, как это происходит в SLE [99].Этиология неизвестна, однако солнечный свет может ускорить или усугубить поражение. Чаще всего поражаются лицо и уши. Вначале наблюдаются депигментация, эритема и шелушение. Поражения прогрессируют до чешуйчатых и опухших бляшек. Окончательный диагноз ставится на основании характерной гистопатологии или иммунофлуоресценции. Пораженные животные обычно хорошо реагируют на системную терапию глюкокортикоидами, но местные препараты также являются вариантом лечения [100].Такролимус 0,1% для местного применения может быть альтернативой терапии глюкокортикоидами и был эффективным и безопасным для лечения ДВЭ у собак [101].
9. Болезни обмена веществ и эндокринные заболевания
9.1. Гипотиреоз
Гипотиреоз — это эндокринное заболевание, связанное со сниженной выработкой гормонов Т4 и Т3 щитовидной железой [102]. Редко поражает кошек [103], однако является наиболее частой эндокринопатией у собак [104]. Первичное разрушение щитовидной железы происходит более чем у 95% взрослых собак с гипотиреозом [104,105].Гормоны щитовидной железы чрезвычайно важны для поддержания нормальной функции кожи, а дерматологические состояния наблюдаются в 60–80% случаев гипотиреоза [106,107]. Обычно обнаруживаются изменения качества и цвета шерсти, алопеция (в большинстве случаев двусторонняя симметричная и щадящая голова и конечности), поверхностная пиодермия, сухая и шелушащаяся кожа, сухая или жирная себорея, ломкие и легко выдергиваемые волосы, гиперкератоз, гиперпигментация, комедоны, отит, недостаточное заживление ран, кожный зуд, микседема и ожирение [108].
Диагноз основывается на клинических признаках, а также на уровне общего ТТГ и свободного Т4 в сыворотке [109]. Гистопатология может выявить весьма подозрительные признаки гипотиреоза, такие как атрофия фолликулов, гиперкератоз, эпидермальный меланоз, наличие множества фолликулов в фазе телогена [110], гипертрофия и вакуолизация мышц arrector pili, увеличение количества слизистой оболочки дермы и утолщение дермы [111].
Левотироксин натрия (Т4) для перорального приема, 20 мкг / кг два раза в день, является препаратом выбора при гипотиреозе [108]. Пациент должен получать соответствующее лечение представленных дерматологических состояний, хотя они имеют тенденцию исчезать при введении левотироксина натрия.
9.2. Гиперадренокортицизм
Гиперадренокортицизм, также известный как синдром Кушинга, возникает в результате хронической чрезмерной секреции кортизола надпочечниками. Это происходит ятрогенно, после введения синтетических глюкокортикоидов, или спонтанно, как следствие первичной гиперфункции гипофиза или надпочечников. У собак и кошек от 80 до 85% спонтанного гиперадренокортицизма зависят от гипофиза [112]. Пудели, таксы, бостон-терьеры и боксеры — наиболее часто поражаемые породы собак и редко встречаются у кошек [113].
Обычно наблюдаются такие симптомы, как полиурия, полидипсия, полифагия, гепатомегалия и вздутие живота (пузатый вид). Дерматологические признаки включают гипотрихоз, облысение на спине, как правило, симметричное и двустороннее, комедоны, пиодермию и себорею [112]. Гиперпигментация, истончение кожи и кальциноз кожи встречаются реже [114]. Клинические признаки, связанные с лабораторной оценкой и результатами диагностической визуализации, позволяют поставить диагноз. АКТГ в плазме, тест на подавление низкой дозы дексаметазона, тест стимуляции АКТГ [113, 115] и соотношение кортизол / креатинин в моче [116] подтверждают гиперадренокортицизм.Также важно получить историю применения глюкокортикоидов для устранения ятрогенной причины [117].
Терапия гиперадренокортицизма зависит от этиологии, степени тяжести, злокачественности опухоли и наличия вариантов лечения [118]. В случаях гипофиз-зависимой дисфункции надпочечников хирургическая резекция гипофиза может быть выполнена с низким уровнем смертности. Адреналэктомия рекомендуется при новообразованиях надпочечников. Медикаментозная терапия для контроля гиперкортизолизма включает пероральное применение митотана (o, p’-DDD), 50 мг / кг один раз в день [113], или перорального трилостана, 2-3 мг / кг один раз в день.У некоторых собак может наблюдаться временное ухудшение дерматологических симптомов, особенно при использовании митотана. Для полного исчезновения дерматологических симптомов обычно требуются месяцы [118].
10. Приобретенная алопеция
10.1. Облысение по собачьему типу
Облысение по собачьему типу — распространенное состояние, которое поражает породы собак с короткой шерстью с развитием приобретенной алопеции в определенных областях тела, таких как постаурикулярная, вентральная шейная часть, грудь, живот и каудомедиальная сторона бедер [119] ( Рисунок 5).Облысение по собачьему типу — это эстетическая проблема, не имеющая последствий для здоровья пациентов, однако владельцы могут потребовать лечения. Можно попробовать лечение пероральным приемом мелатонина в дозе 5 мг (одна капсула) один раз в день в течение 30 дней для стимулирования роста волос в областях облысения [119, 120].
10.2. Фолликулярная дисплазия собак
Фолликулярная дисплазия — это наследственное заболевание, характеризующееся аномальным развитием волосяного фолликула, приводящим к структурным аномалиям волос и алопеции [121].Могут быть поражены шея, спина и задние конечности, частыми клиническими проявлениями являются вторичная пиодермия и комедоны [122]. Подтверждение диагноза с помощью гистопатологии обнаруживает большое количество диспластических фолликулов, диспластических стержней волос и агрегатов меланина в волосах [123]. У пациентов может наблюдаться спонтанная ремиссия дисплазии фолликулов, однако пероральный прием 3 мг мелатонина два раза в день может способствовать возобновлению роста волос [124].
Рис. 5.
Облысение по собачьему типу. Доберман с облысением груди, характерным для паттерна облысения (Ветеринарная больница Федерального университета Висозы).
10.3. Алопеция после стрижки
Облысение после стрижки или остановка волосяных фолликулов после стрижки [125] — распространенный, но малоизученный синдром у собак, характеризующийся отсутствием шерсти вследствие недостаточного роста ранее стриженной области [126]. В некоторых случаях для отрастания волос могут потребоваться годы. При клиническом осмотре кожа нормальная, с хорошо отграниченными участками облысения. Диагноз закрывается на основании истории облысения после стрижки без других дерматологических признаков.Если присутствуют какие-либо системные признаки или другие кожные заболевания, рекомендуется выполнить соответствующие лабораторные процедуры для поиска эндокринопатий [125]. Обычно лечение не требуется [122]
10.4. Алопеция X
Алопеция X — заболевание, ранее известное как врожденная гиперплазия надпочечников, болезнь Кушинга, дерматоз, реагирующий на кастрацию, и гипосоматотропизм у взрослых [127]. Это заболевание, связанное с отклонениями в цикле волосяного покрова, в основном встречается у немецких шпиц.У пораженных животных волосы проявляются в фазе телогена, что препятствует росту новых волос [128]. Эти животные клинически здоровы и демонстрируют прогрессирующее облысение, симметричное и без зуда, с различной степенью гиперпигментации [129]. Результаты гистопатологического исследования аналогичны результатам, обнаруженным при эндокринопатиях, таких как комедоны, поверхностная гиперкератинизация и гиперкератинизация воронки, однако наличие катагенизации с образованием фолликулов пламени подтверждает диагноз алопеции X [127].
Терапия половыми гормонами, гормоном роста, митотаном и кастрацией обычно не дает стабильных результатов.Трилостан 10,5 мг / кг один раз в день или два раза в день может вызвать полный рост волос у пораженных животных через четыре-восемь недель лечения [129].
Ампутация конечностей у собак и кошек
Показания к ампутации конечностей
Предоперационная оценка:
Хирург:
Время операции:
Риски и осложнения:
Госпитализация:
Послеоперационный уход и профилактика :
Протез ноги:
«Многие собаки нормально работают с протезом, очень хорошо переносят протез». К сожалению, когда нога собаки требует полной ампутации, как в случае с раком кости, протез конечности не может быть прикреплен.
Трёхногая собака на «треноге»:
Позаботьтесь о своей собаке и берегите ее:
|





Собака теряет покой. Зуд локализуется в местах грибковых поражений и захватывает новые участки в соответствии с распространением грибка по поверхности кожи. Пораженные места расчесаны до крови. Если собаку не подвергнуть лечению, то языком она будет разносить грибковую инфекцию еще дальше.