Лимфома у кошек: симптомы и лечение
Лимфома у кошек – злокачественное опухолевое заболевание лимфатической системы, состоящей из лимфоузлов, объединенных системой мелких сосудов. При лимфомах злокачественные лимфоидные клетки проникают в различные части лимфоидных тканей по всему организму. Лимфосаркома является одной из самых часто встречаемых злокачественных опухолей у кошек и, по некоторым данным, занимает первое место среди всех типов рака у кошек.
Лимфомы у кошек, в зависимости от гистологической классификации, делятся на две большие группы: В-клеточные лимфомы и Т-клеточные лимфомы. В зависимости от клинических признаков лимфомы кошек разделяются на:
- лимфосаркому средостения,
- алиментарную лимфосаркому,
- множественную лимфосаркому и
- лимфолейкоз кошек.
Отдельно выделяют относительно новый тип: MALT-лимфому – это внеузловая лимфома из клеток маргинальной зоны, поражающая, преимущественно, желудок и представляющая значительные трудности в ранней диагностике.
Рис. 1. Метастатическое поражение головного мозга при лимфосаркоме.
Этиология лимфом у кошек
Этиология развития лимфом у кошек сложна. В первую очередь причины появления лимфосарком связаны с носительством вируса лейкоза кошек (FeLV). Данный вирус является РНК-содержащим вирусом, передающимся посредством контакта с кровью и слюной больного животного или внутриутробно от матери к плоду. Большинство свободно гулящих кошек являются носителями данного вируса и представляют собой природный резервуар распространения данной болезни. К другим причинам, вызывающим развитие лимфосарком у кошек, относят ионизирующее излучение, хроническое отравление солями тяжелых металлов, ухудшение экологической обстановки в городах и прочие неблагоприятные воздействия окружающей среды.
Механизм развития лимфом крайне сложен, в сильно упрощенном варианте он выглядит так. Под воздействием этиологического фактора (вирус лейкоза кошек или другого) происходят изменения в лимфоцитах – они накапливают генетические изменения. Далее эти изменения приводят к развитию аномалий в ДНК, появлению отклонений и мутаций в клетках, самой важной из которых является подавление контроля над делением клеток, в результате чего клетки начинают бесконтрольно делиться, приводя к образованию опухоли. При лимфолейкозе в процесс вовлекается костный мозг, где опухолевые клетки начинают активно размножаться и распространяются током крови и лимфы в другие органы и ткани.
Симптомы лимфомы у кошек
Симптомы лимфом у кошек различны и зависят от вида лимфосаркомы, поразившей животное. Наиболее характерными симптомами является снижение активности, вялость, утомляемость, снижение веса. При развитии средостенной (или медиастинальной) лимфосаркомы отмечают выраженное затруднение дыхания.
Кошка часто принимает вынужденную позу: вытягивает шею, пытается вдохнуть побольше воздуха. Связано это с развитием крупного опухолевого поражения вилочковой железы – тимуса и со сдавлением легких опухолевой тканью. Также часто при лимфосаркоме тимуса у кошек отмечают скопление жидкости в грудной клетке, что приводит к еще большему сдавлению легких. При алиментарной лимфосаркоме, поражающей желудочно-кишечный тракт, часто отмечают появление рвоты и запоров, иногда развиваются поносы. Происходит развитие опухолевых поражений брыжеечного лимфоузла, кишечника, желудка. Часто развивается полная кишечная непроходимость, требующая экстренной хирургической операции. При множественной лимфосаркоме основным симптомом является увеличение лимфатических узлов о всему телу. При тщательном осмотре отмечают также увеличение селезенки и печени. При всех типах лимфом у кошек частой является анемия – снижение уровня гемоглобина в крови, а изменение количества лейкоцитов может происходить как в сторону увеличения (лейкоцитоз), так и в сторону их уменьшения (лейкопения).
Рис. 2. Лимфосаркома брыжеечного лимфоузла кошки.
Диагностика лимфом у кошек
Диагностика лимфом у кошек многоэтапный процесс. Необходимо провести тщательный осмотр кожи, видимых слизистых оболочек, пальпировать поверхностные лимфоузлы животного, оценить качество шерстного покрова и мышечной массы. При исследовании крови обращают внимание на развитие анемии, уровень лейкоцитов, повышение ферментов в сыворотке крови: щелочной фосфатазы, лактатдегидрогеназы, печеночных трансаминаз (АлТ, АсТ). При проведении ультразвуковой диагностики отмечают состояние лимфоузлов брюшной полости, селезенки, печени, почек, наличие опухолевых поражений кишечника. По данным рентгенологического обследования проводят оценку лимфоузлов грудной клетки и тимуса, оценивают состояние легочной ткани. Следующим шагом в диагностике лимфом у кошек проводят цитологическую диагностику пораженных лимфоузлов, определяют причину их увеличения и наличие в нем опухолевых клеток. Далее проводят открытую биопсию и берут материал (лучше пораженный узел целиком) для проведения гистологического и иммуногистохимического анализа.
Также проводят исследование крови на носительство вируса лейкоза кошек. Только после всех диагностических процедур можно поставить точный диагноз, сделать вывод о тяжести патологического процесса, определить прогноз и разработать оптимальную для каждого конкретного случая схему лечения.
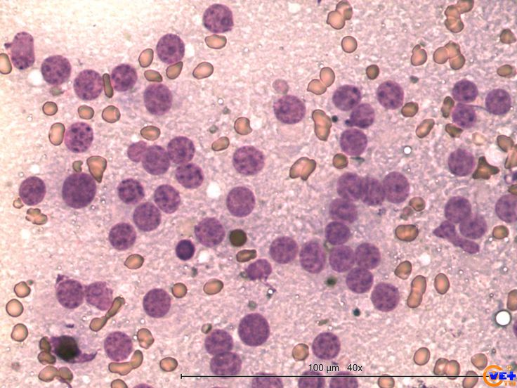
Рис. 3. Цитологическая картина лимфомы.
Лечение лимфом у кошек
Лечение лимфом у кошек заключается в применении различных схем химиотерапии. Принцип действия химиотерапии сводится к введению цитотоксических препаратов и уничтожению ими всех активно делящихся клеток. К сожалению, под удар химиотерапии попадают не только злокачественные клетки, но и клетки костного мозга, половых желез, внутренних органов. Данный факт необходимо строго учитывать при расчете доз химиотерапии для лечения лимфосарком кошек. Животному, страдающего лимфомой, предстоит проходить длительные курсы химиотерапии для достижения контроля над заболеванием. Большинство кошек переносят сеансы химиотерапии хорошо и ведут обычный образ жизни.
Химиотерапия лимфосарком представляет собой введение цитотоксических препаратов, поэтому животному необходимо регулярно наблюдаться у лечащего врача и осуществлять контроль крови и роста опухоли вплоть до исчезновения симптомов (ремиссии) данного заболевания.
Продолжительность ремиссии при лимфоме у кошек
Поскольку большинство лимфом кошек хорошо чувствительны к химиотерапии, а современные препараты и новые разработанные схемы лечения позволяют проводить длительные курсы химиотерапии с наименьшим токсическим воздействием на организм, то появляются все основания рассчитывать на длительную стойкую ремиссию данного онкологического заболевания. Продолжительность жизни кошек с лимфосаркомой различна и напрямую зависит от стадии заболевания. В среднем 1 год с лимфомой переживает около 65% кошек, 2 года около 30% и более 3-х лет – 15%.
Даже в самом тяжелом случае лимфосаркому кошек квалифицированный врача предложит проведение сеансов химиотерапии, так как чувствительность опухоли к цитостатикам может оказаться очень высокой и можно будет добиться полной ремиссии заболевания.
Рис. 4. Кот до сеанса химиотерапии. Видно заполнение легких жидкостью по причине лимфомы средостения.
Рис. 5. Тот же пациент через 7 дней, после сеанса химиотерапии. Отчетливо видны улучшения, лимфома средостения не визуализируется.
Автор статьи:
Ветеринарный врач-онколог
Кандидат ветеринарных наук
Каблуков Александр Дмитриевич
Лимфома у кошек: симптомы, диагностика и лечение — Официальный сайт сети ветклиник АМВет в Москве
Лимфома ― онкологическое заболевание, поражающее лимфатическую систему. Лимфоидная ткань в теле человека и животных находится желудочно-кишечном тракте, некоторых внутренних органов, костном мозге и многочисленных лимфатических узлах. При патологических изменениях структуры лимфоцитов происходит их малигниризация ― озлокачествление, превращение из здоровых в раковые. Данное заболевание не заразно для человека и других животных.
Причины появления лимфомы у кошек
Механизм развития лимфосаркомы схематично выглядит так.
Вызванные воздействием патогенного фактора внешней или внутренней среды изменения в лимфоцитах приводят к мутации клеток, в результате чего эти клетки начинают бесконтрольно делиться, образуя опухоли.
Причиной развития лимфомы у кошек чаще всего служат РНК-содержащие вирусы лейкоза кошек (FeLV) и иммунодефицита кошек (FIV), передающиеся через кровь и слюну или внутриутробно.
Виды лимфомы у кошек
Существуют лимфоциты двух видов. В-лимфоциты образуются в костном мозге и отвечают за продуцирование иммуноглобулинов, Т-лимфоциты обеспечивают распознавание и уничтожение генетически чужеродных клеток. Поэтому по гистологической классификации лимфомы делятся В-клеточные и Т-клеточные. К В-клеточным относится лимфома Ходжкина (лимфогранулематоз), при котором опухолевые клетки образуются из зрелых В-лимфоцитов.
По скорости развития лимфомы подразделяются на индолентные и агрессивные. Индолентные формы (к ним относится мелкоклеточная) склонны к медленному росту и распространению, прогноз имеют относительно благоприятный.
Агрессивные формы, в частности, крупноклеточная диффузная лимфома, более опасны, развиваются быстро и поэтому требуют срочного лечения.
Лимфомы также классифицируют по зоне поражения:
- Мультицентрические. Это многоочаговые лимфосаркомы, поражающие чаще всего подкожные челюстные, паховые, подколенные лимфоузлы.
- Алиментарные. Опухоли, локализованные в ЖКТ ― лимфомы кишечника, желудка. У кошек это наиболее распространенный вид заболевания.
- Медиастенальные (средостенные). Лимфосаркомы, поражающие лимфатические узлы, расположенные в грудной клетке.
- Экстранодальные. Лимфомы такого вида поражают почки, печень, сердце, легкие, поджелудочную железу, головной и спиной мозг, глазное яблоко, носовые пазухи.
- Эпителиотропные. Лимфосаркомы кожи. Чаще всего эпителиотропные лимфомы обнаруживаются у котов пожилого возраста.
Симптомы лимфомы у кошек
Общими для всех видов лимфом у кошек являются такие симптомы, как вялость, сонливость, быстрая утомляемость, отсутствие аппетита, стремительная потеря веса.
При лабораторном обследовании обнаруживается снижение в крови уровня гемоглобина (анемия) и изменение количества лейкоцитов в большую или меньшую сторону (признаки лейкоцитоза или лейкопении).
Остальная симптоматика лимфом во многом зависит от их вида:
- При развитии медиастинальной (средостенной) формы лимфосаркомы, в связи со сдавливанием легких опухолью и жидкостью, скопившейся в грудной клетке, у кошек отмечается одышка, затруднение дыхания: животное принимает типичную при нехватке воздуха позу, вытягивая шею.
- Признаками поражающей желудочно-кишечный тракт алиментарной лимфомы обычно бывают рвота, поносы или запоры, при наличии большой опухоли может развиваться непроходимость кишечника.
- Симптомом диффузной лимфомы служит увеличение большинства лимфатических узлов, а также селезенки и печени.
- При эпилиотропной лимфоме у кошек обнаруживаются плотные подкожные узлы, нередко безболезненные, или облысевшие, покрытые изъязвлениями, участки кожи.
Диагностика лимфомы у кошек
Диагностика онкологических заболеваний, в том числе лимфом, включает, кроме внешнего осмотра и сбора анамнеза, большое количество лабораторных и аппаратных исследований.
При первичном осмотре оценивается состояние слизистых животного, кожи и шерсти, врач пальпирует лимфоузлы.
Потребуется сделать анализ крови, в его результатах акцентируют внимание на данные, свидетельствующие о развитии анемии (низкий гемоглобин, пониженный уровень железа). Повышение уровня ферментов в сыворотке крови лактатдегидрогеназы и печеночных трансаминаз может говорить о некрозе клеток печени. При подозрении на онкологию назначается анализ крови на вирус кошачьего лейкоза.
Из аппаратных методов обследования при диагностике лимфом у кошек применяют УЗИ и рентреографию. УЗИ позволяет оценить состояние внутренних органов и лимфоузлов в брюшной полости, обнаружить наличие опухолей кишечника. По данным рентгенографии проводят оценку лимфоузлов грудной клетки и состояние легочной ткани.
При диагностике лимфом у кошек нередко требуется проведение гистологического и иммуногистохимического анализа ткани пораженного лимфоузла, пробу ткани берут методом открытой биопсии.
Только после проведения всех необходимых диагностических процедур врач ветеринарной клиники сможет поставить диагноз и разработать схему лечения и определить прогноз.
Лечение лимфомы у кошек
Выбор программы лечения зависит от установленных при обследовании кошки вида лимфомы и стадии заболевания. При первой стадии обычно поражен один лимфоузел, при второй – несколько соседних узлов. Третья стадия считается генерализованной, лимфосаркома распространяется на все лимфатические узлы. При четвертой и пятой стадии патологичесике клетки появляются в печени, селезенке, легких, поражается центральная и периферическая нервная система.
В лечении индолентной лимфомы в начальной стадии нередко используют хирургическое иссечение пораженных лимфоузлов. При более тяжелых стадиях индолентных лимфом и агрессивной форме заболевания предпочтение отдается химиотерапии. Наиболее эффективными схемами химиотерапевтического лечения считаются программы COP и CHOP, сочетающие использование нескольких антибластомных (противоопухолевых) и иммуносупрессивных (обеспечивающих угнетение иммунитета) препаратов.
Большинство кошек переносят химиотерапию хорошо. Побочные эффекты (потеря аппетита, рвота, жидкий стул) встречаются редко. Но под удар цитотоксических лекарственных препаратов попадают не только злокачественные, но и здоровые клетки. Поэтому при проведении курса химиотерапии кошке необходимо обеспечить наблюдение и мониторинг показателей крови.
Если по какой-то причине химиотерапию провести невозможно, кошке прописывают глюкокортикоиды.
Полностью вылечить лимфому у кошки невозможно, основная цель лечения ― улучшение качества и увеличение продолжительности жизни.
Прогноз лечения лимфомы у кошек
Жизненный прогноз при диагнозе лимфома у кошек разный. Сколько проживет больное животное, зависит от степени агрессивности заболевания, стадии его развития, своевременности начатого лечения.
По статистике, ремиссия при неагрессивной форме заболевания в начальной стадии его развития составляет 2-3 года. При поздней стадии лимфосаркомы ремиссии достигают менее 50% кошек, а ее продолжительность может составлять от 5 до 9 месяцев.
Средняя продолжительность жизни кошки без соответствующего лечения обычно не превышает 2 месяцев.
Если вы обнаружили у своей кошки описанные выше признаки, самым правильным решением будет не искать ответов и советов на форумах любителей животных, а немедленно обратиться за помощью к специалистам.
Современные препараты химиотерапии дают при лечении лимфом хороший эффект, и обладают минимальным токсическим воздействием. С их помощью во многих случаях можно достичь значительного ослабления симптомов заболевания и повысить шансы кошки на выживание. Чем раньше вашей питомице будет поставлен диагноз и начато лечение, тем больших успехов удастся добиться.
Наша ветеринарная клиника АМВет работает круглосуточно, записаться на прием можно обратившись к дежурному администратору или позвонив по контактному телефону.
Лимфома кошек | Ветеринарные специалисты Лонг-Айленда Ветеринарные специалисты Лонг-Айленда
Лимфосаркома (лимфома) является одним из наиболее распространенных видов рака, диагностируемых у кошек.
Это рак лимфоцитов (разновидность клеток крови) и лимфоидных тканей. Лимфоидная ткань обычно присутствует во многих местах тела, включая лимфатические узлы, селезенку, печень, желудочно-кишечный тракт и костный мозг.
Было показано, что вирус кошачьей лейкемии (FeLV) вызывает лимфосаркому у кошек. Кошки с вирусом иммунодефицита кошек (FIV) также подвержены более высокому риску развития лимфосаркомы. Могут быть затронуты кошки любого возраста, породы и пола. Как правило, мы наблюдаем лимфосаркому у молодых кошек, инфицированных вирусом кошачьей лейкемии, и у пожилых кошек в возрасте 9 лет.0005, а не заражены вирусом.
Позвоните нам
Типы лимфосаркомы Существуют различные типы лимфосаркомы (включая редкий тип, известный как LGL). Лимфосаркому можно разделить на несколько различных форм, которые зависят от первичной (преобладающей) локализации опухоли. Некоторые кошки имеют несколько участков поражения и не вписываются только в одну категорию.
Желудочно-кишечный тракт: Наиболее распространенной формой является поражение желудочно-кишечного тракта. Сюда входят желудок, кишечник и печень, а также некоторые лимфатические узлы, окружающие кишечник. У кошек с этим типом лимфосаркомы может быть рвота, диарея, потеря веса или снижение аппетита.
Средостение:
Лимфосаркома почек : Почки могут быть первичными местами поражения. Кошки с этим типом часто наблюдаются из-за признаков, связанных с почечной недостаточностью (повышенная жажда, учащенное мочеиспускание, потеря аппетита, рвота).
Костный мозг: Если бы рак ограничивался костным мозгом, мы бы назвали это лейкемией.
Наружные лимфатические узлы: У некоторых кошек единственным местом поражения являются наружные лимфатические узлы. Эти кошки могут быть замечены из-за таких проблем, как рвота и потеря аппетита, или из-за того, что владелец заметил у своей кошки «припухлости» (увеличенные лимфатические узлы).
Другие локализации: иногда мы можем видеть другие локализации, такие как кожа, нос, головной и спинной мозг, в качестве основного места поражения.
Для постановки диагноза лимфосаркомы требуется биопсия (ткань) или цитологический образец. В некоторых случаях мы можем поставить диагноз без хирургического вмешательства.
Однако в некоторых случаях может потребоваться хирургическая биопсия для получения адекватной ткани для подтверждения диагноза. Легкость постановки диагноза зависит от локализации опухоли.
Полное обследование кошки с подозрением на лимфосаркому включает поиск опухолей в других местах (это то, что мы называем определением стадии). Общий анализ крови (CBC), биохимический профиль сыворотки, анализ мочи и тестирование FeLV/FIV всегда выполняются и предоставляют важную информацию о влиянии рака на функции организма, а также о способности пациента переносить химиотерапию. УЗИ брюшной полости (сонограмма) позволяет нам оценить печень, селезенку, внутренние лимфатические узлы и кишечный тракт на предмет возможного вовлечения опухоли. Рентген грудной клетки позволяет нам искать внутренние лимфатические узлы, поражение легких, увеличенное средостение или жидкость вокруг легких. Как только мы получим эти результаты, мы сможем выбрать лучшее лечение для отдельной кошки.
Химиотерапия является основой лечения лимфосаркомы.
Лимфосаркома очень чувствительна к химиотерапии, и до 80% пролеченных кошек достигают ремиссии. Определение ремиссии – это полное исчезновение обнаруживаемого рака. Однако микроскопические количества опухолевых клеток могут оставаться скрытыми в организме. Ремиссия НЕ является лекарством, но она позволяет вашему питомцу жить более качественной жизнью. В связи с этим химиотерапию нельзя прекращать при достижении ремиссии. Продолжительность ремиссии зависит от многих факторов, включая первичный очаг, степень болезни животного в начале лечения и степень заболевания. В большинстве случаев среднее время ремиссии и выживания составляет от 10 до 12 месяцев в зависимости от локализации.
Точные препараты и схема будут зависеть от того, насколько агрессивно ведет себя рак, насколько больно животное в начале лечения и от любых нарушений функции органов (особенно важны изменения функции почек и печени). По обычному графику кошки будут получать лечение еженедельно в течение первых 2 месяцев, а затем лечение постепенно уменьшается. Несколько разных препаратов (L-аспарагиназа, винкристин, цитоксан, адриамицин) чередуются (или в некоторых случаях комбинируются), чтобы уменьшить вероятность того, что опухолевые клетки станут резистентными, и уменьшить риск побочных эффектов. Некоторые препараты вводятся в виде инъекций, а некоторые перорально. Пероральный преднизолон также включен в план лечения. Анализ крови и/или рентген/ультразвук обычно повторяют через равные промежутки времени, чтобы выявить побочные эффекты (например, низкое количество лейкоцитов) и определить, находится ли животное в состоянии ремиссии.
Существует неагрессивная форма лимфосаркомы у кошек. Это известно как «маленькая ячейка» или «низкосортная». Прогрессирование рака в этом случае часто происходит медленно в течение нескольких месяцев, хотя в некоторых случаях может иметь место прогрессирование до высокозлокачественных форм. Лечение в этих случаях часто проводится с помощью химиотерапевтических таблеток с низкими дозами (лейкеран) и стероидов (преднизолон). Для достижения ремиссии может потребоваться несколько месяцев, но долгосрочный прогноз часто бывает благоприятным: 50% кошек живут более 2 лет. В некоторых случаях требуется пожизненная терапия, в то время как в других можно постепенно отказаться от лекарств, если они находятся в ремиссии в течение как минимум года при лечении.
Большинство кошек хорошо переносят химиотерапию и имеют минимальные побочные эффекты. Серьезные побочные эффекты наблюдаются только у 5-10% пролеченных пациентов. Побочные эффекты включают тошноту, рвоту и потерю аппетита, диарею, сильную усталость или инфекцию.
Лимфома у кошек | AVIM&O
Лимфома является одним из наиболее распространенных видов рака, диагностируемых у кошек. Это рак лимфоцитов (разновидность лейкоцитов), который встречается во многих частях тела, включая лимфатические узлы, селезенку, печень, желудочно-кишечный тракт и костный мозг.
В отличие от лимфомы у собак, вирусные причины лимфомы кошек четко определены, и было показано, что вирус кошачьей лейкемии (FeLV) вызывает значительное (примерно в 60 раз) увеличение риска развития лимфомы у кошек. Обычно лимфому диагностируют у молодых кошек, инфицированных вирусом кошачьей лейкемии, и у пожилых кошек, не инфицированных этим вирусом. Другие возможные факторы риска включают воздействие вторичного табачного дыма, хроническую иммуносупрессивную терапию, а также хронические воспалительные заболевания.
Типы лимфомы
Лимфому можно разделить на несколько различных форм в зависимости от локализации опухоли.
Эти локализации могут включать:
Желудочно-кишечный тракт: Наиболее распространенной формой является поражение желудочно-кишечного тракта (ЖКТ). Сюда входят желудок, кишечник и печень; а также некоторые лимфатические узлы, окружающие кишечник. Кошки с этим типом лимфомы часто имеют клинические признаки, состоящие из рвоты, диареи, потери веса или снижения аппетита.
Средостение: Средостение — это термин, используемый для особого скопления лимфоидной ткани в грудной клетке. Кошки с этим типом лимфомы обычно молодые и часто наблюдаются из-за внезапного появления затрудненного дыхания, снижения уровня энергии и снижения аппетита.
Почки: Почки могут быть первичными местами поражения. Кошки с этим типом часто наблюдаются из-за признаков, связанных с почечной недостаточностью (повышенная жажда, учащенное мочеиспускание, потеря аппетита, рвота).
Костный мозг: Если рак ограничен костным мозгом, это считается лейкемией.
Большинство пациентов поступают в больницу по поводу снижения энергии и аппетита. Анализ крови обычно показывает изменение количества эритроцитов и лейкоцитов.
Наружные лимфатические узлы: У некоторых кошек единственным местом поражения являются наружные лимфатические узлы. Этих кошек можно увидеть из-за таких проблем, как рвота и потеря аппетита, или из-за того, что владелец обнаружил у своей кошки «шишки» (увеличенные лимфатические узлы).
Другие органы: Время от времени мы будем видеть другие участки, такие как кожа, нос, головной и спинной мозг, в качестве основного места поражения
Диагностика и начальная оценка необходимо для постановки диагноза лимфомы. В некоторых случаях мы можем поставить диагноз с помощью тонкоигольной аспирации, но в других ситуациях для подтверждения диагноза необходима биопсия для получения большего фрагмента ткани. Легкость постановки диагноза зависит от локализации опухоли.
Первым шагом для любого пациента с подозрением на лимфому является определение распространенности заболевания, известное как определение стадии.
Это включает в себя полный анализ крови (CBC), химический профиль сыворотки (который рассматривает такие вещи, как функция печени и почек, уровень белка, уровень сахара в крови и электролиты), анализ мочи и тестирование FeLV / FIV всегда рекомендуются и предоставляют важную информацию о последствиях. рака на функции организма, а также на способность пациента переносить химиотерапию или другие виды лечения. Дополнительные тесты включают рентгенограммы грудной клетки, УЗИ брюшной полости, а также возможный аспират костного мозга и КТ/МРТ. После того, как мы определим степень заболевания, мы сможем принять решение о наилучшем лечении вашего питомца.
Лечение и прогноз
Химиотерапия является основой лечения лимфомы; однако могут быть ситуации, когда также показаны хирургическое вмешательство и/или лучевая терапия. Лучевая терапия может быть рекомендована, если рак локализован в одном месте, например в носовой полости. Конкретные рекомендации будут обсуждаться в зависимости от конкретной ситуации вашего питомца.
К счастью, лимфома очень чувствительна к химиотерапии, при этом у 50-70% пролеченных кошек наступает ремиссия. Определение ремиссии — это полное исчезновение обнаруживаемого рака; однако микроскопические количества опухолевых клеток могут оставаться скрытыми в организме. Ремиссия НЕ является излечением, но она позволяет вашему питомцу вести качественный образ жизни без клинических признаков, связанных с его заболеванием. Продолжительность ремиссии зависит от многих факторов, включая первичную локализацию, состояние вашего питомца на момент постановки диагноза и степень заболевания. В большинстве случаев среднее время ремиссии и выживаемости (при химиотерапии) составляет от шести до двенадцати месяцев; при этом 25% кошек контролируют заболевание в течение более одного года и примерно 10-15% кошек живут более двух лет.
Солитарная лимфома, такая как носовая, обычно лечится лучевой +/-химиотерапией. Облучение можно считать окончательным с намерением долгосрочного контроля или паллиативным средством для облегчения симптомов, чтобы
улучшить и/или сохранить качество пациента с минимальным негативным воздействием.
Прогноз для солитарной лимфомы, такой как назальная лимфома, обычно лучше, у многих кошек достигается локальный контроль в течение 1-1,5 лет, хотя все еще существует опасение, что рак может распространиться в течение 3-6 месяцев. Если солитарную лимфому лечат лучевой терапией, а рак в дальнейшем прогрессирует, то в это время можно рассмотреть возможность химиотерапии.
Точный выбор химиотерапевтических препаратов и их схема будут зависеть от того, насколько агрессивно ведет себя рак, насколько болен ваш питомец в начале лечения, каких-либо отклонений в работе органов (особенно почек и печени) и целей лечения. Химиотерапия наиболее эффективна, когда мы использовали комбинированный протокол; поэтому большинство протоколов обычно состоят из 4-6 различных препаратов. Это называется многокомпонентным протоколом. Протоколы с несколькими препаратами чаще всего включают Элпсар (L’аспарагиназа), Винкристин (Онковин), Цитоксан (Циклофсофамид), Адриамицин (Доксорубицин) и Преднизолон. Первоначально лечение назначается чаще (т.
е. один раз в неделю), а затем, в зависимости от ответа и используемого протокола, постепенно расширяется и/или прекращается. Другие варианты терапии могут состоять в использовании одного химиотерапевтического препарата (терапия одним агентом) с интервалом в 3 недели или в паллиативной помощи, которая просто предназначена для того, чтобы ваш питомец чувствовал себя комфортно дома как можно дольше. Анализы крови и/или рентген/ультразвук обычно повторяют через определенные промежутки времени, чтобы отслеживать побочные эффекты (такие как низкий уровень лейкоцитов) и определять реакцию вашего питомца на лечение.
Побочные эффекты
К счастью, большинство кошек очень хорошо переносят химиотерапию и имеют минимальные побочные эффекты. Серьезные побочные эффекты наблюдаются только у 5% пациентов, которым требуется амбулаторное лечение, и менее 1% требуют госпитализации или испытывают какие-либо опасные для жизни побочные эффекты. Если побочные эффекты серьезны или непереносимы, мы можем рассмотреть вопрос о снижении дозы вызывающего раздражение препарата или замене его другим препаратом.