Инородные тела в желудке домашних животных
Как понять, что животное что-то проглотило?
К сожалению, наши любимцы кроме пищи и воды иногда проглатывают совершенно несъедобные вещи – инородные тела. Это не связано с голодом, а скорее с психологическим поведением и избыточным любопытством. Самое неприятное не то, что эти вещи не перевариваются, а то, что своими размерами или структурой поверхности они наносят повреждения слизистой оболочки пищевода и желудка.
Инородные тела пищевода у кошек и собак могут частично или полностью перекрывать просвет: полная и частичная обтурация (закупорка) пищевода, наносить травмы органу с полным его разрывом (перфорация пищевода) и попаданием пищи и воды в грудную полость.
Инородные тела в желудке у животных, имеющие небольшие размеры, продвигаются в двенадцатиперстную кишку с последующей обструкцией (непроходимостью) кишечника, большие остаются в желудке, нанося травму слизистой оболочке. Длительная травма слизистой приводит к сильному воспалению и изменению структуры с потерей нормальной функции и опухоль пищевода у кошек.
Симптомы и признаки
Как понять что у собаки инородное тело в желудке?
Признаки инородного тела в желудке у собаки и симптомы в острой фазе:
- повышенное слюнотечение,
- отказ от корма у кошки и собаки,
- рвота не переваренной пищей.
При хронической форме происходит фаза нарушения моторики органа (атония). Симптомами могут служить:
- отказ от корма,
- специфический запах из ротовой полости,
- обезвоживание.
При частичной непроходимости пищевода и желудка аппетит может быть сохранён, однако, периодически возникает рвота не переваренными фрагментами пищи.
Копростаз
Копростаз — что это такое? Это непроходимость кишечника у кошек. Очень опасное заболевание которое может привести к летальному исходу если вовремя не оказать помощь животному.
Копростаз у кошек бывает хронического характера из-за запоров. Но частой причиной непроходимости кишечника у кошки становится инородное тело, проглоченное во время игры. В этом случае использование слабительных средств очень опасно. Лучше сразу обратиться к ветеринару для оказания должного лечения.
Диагностика инородных тел
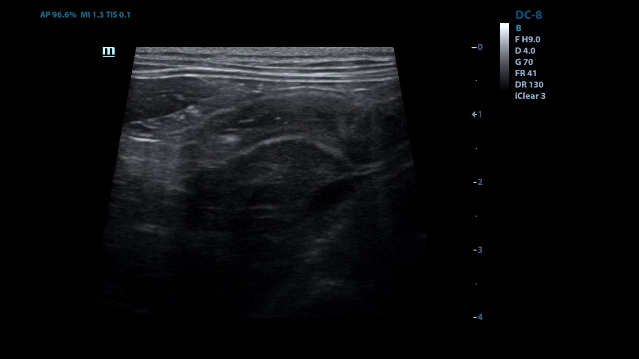
Диагностика инородных тел пищевода и желудка включает в себя обязательное использование инструментальных методов, таких как: рентген, контрастная рентгенография пищевода и желудка, эзофагогастроскопия.
Существуют инородные тела рентгеноконтрастные – они визуализируются на рентгене, и не рентгеноконтрастные – они не визуализируются на рентгене (например, дерево). Дополнительное введение рентгеноконтрастных веществ (сульфат бария, йодсодержащие препараты), при проведении рентгена пищевода и желудка, позволяют в некоторых случаях определить не рентгеноконтрастные инородные тела (фото 1).
Наиболее объективной диагностикой является эндоскопический метод – эзофагогастроскопия.
Инородное тело в пищеводе у собаки и у кошки можно определить с помощью эзофагогастроскопии и даже выявить последствия их пребывания в пищеводе и желудке, оценить состояние слизистой оболочки (фото 2, 3).
Лечение
Эндоскопические и открытые операции
Основным достоинством эндоскопического исследования является не только диагностика заболевания, но и возможность проводить лечение. На сегодняшний день мы в 90 % случаев инородных тел пищевода и желудка извлекаем их эндоскопически без разрезов и лишь в 10 % проводим хирургические открытые операции.
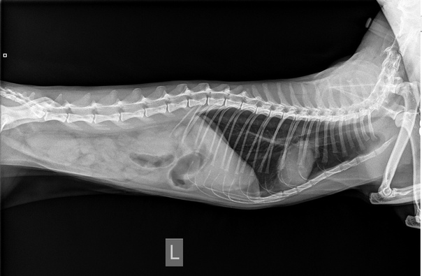
Особую проблему представляет собой хирургия пищевода грудного отдела. Операция проходит в грудной полости в условиях искусственной вентиляции лёгких. Для проведения подобного оперативного вмешательства необходимо чётко знать местоположение инородного тела в пищеводе, так как разное положение определяет место доступа в грудную полость. Для этого необходимо провести эзофагогастроскопию животному (фото 4,5,6,7).
Фото 4а, 4б, 4в: Кость в пищеводе грудной части у йоркширского терьера
На фото 5а, 5б, 5в: Кость в пищеводе грудной части у грифона
Фото 6а, 6б, 6в: Инородное тело (игрушка) в желудке лабрадора
На фото 7а, 7б, 7в, 7д: Иголка в желудке у кокер-спаниеля
Внедрение эндоскопических методик в гастроэнтерологию у животных позволяет не только проводить объективное и безболезненное исследование, ставить окончательные диагнозы, Операция на желудок у кошек и собак позволяет удалять инородные тела пищевода и желудка без разрезов.
Эндоскопия кошек проводится в нашем центре с применением новейшего оборудования и лучшими специалистами в этой области.
Проглоченные предметы могут привести к гибели вашего питомца. Диагностику и хирургическое лечение необходимо провести как можно быстрее! При любых подозрениях на заболевание, приходите к нам в ветеринарный центр.
Ветклиника Воронцова находится в ЮАО, недалеко от пересечения МКАД и Каширского шоссе. Точный адрес: Совхоз им. Ленина, дом 3а (смотрите схему проезда), метро Домодедовская, Орехово, Зябликово, Красногвардейская.
Инородные тела в пищеварительном тракте собак
Какая же собака не любит вкусно поесть? Нет, встречаются, конечно, отдельные экземпляры с плохим аппетитом, но это скорее исключение, чем правило. Основная же масса наших питомцев, плотно позавтракав или поужинав, отправляется на прогулку с тайным желанием отыскать что-нибудь этакое, запретное, но очень привлекательное…
Часто в качестве деликатеса выступает неизвестного происхождения косточка, селедочная голова, а иногда совсем несъедобные (с нашей точки зрения) предметы, такие как куски резины, полиэтиленовые пакеты, мелкие игрушки и т. п. И если вожделенное «лакомство» найдено, а хозяин отвернулся, пес может заглотить его в считанные секунды.
Если собака проглотила что-то несъедобное, возможны два сценария развития событий. В случае, когда предмет небольшой и не имеет острых краев, через некоторое время удивленный хозяин обнаружит его в конечном продукте собачьей жизнедеятельности. А вот если пес постарался и проглотил что-то большое и совсем уж неудобоваримое, история может закончиться печально. Инородный предмет (а именно так называют доктора проглоченные вещи) застревает в пищеварительном тракте, и тогда спасти собаку может только ветеринарный врач.
Инородные тела могут остановиться в любом отделе пищеварительного тракта, начиная от пасти и заканчивая кишечником. Во рту чаще всего застревают кости, лески, нити, различные резиновые предметы. Понять это можно по поведению собаки: она становится беспокойной, не может сомкнуть челюсти, у нее начинается слюнотечение, или она трет морду лапами, пытаясь вытащить мешающий предмет.
Сомнительное удовольствие удаления постороннего предмета из пасти чаще всего выпадает на долю владельца собаки.
А вот если он застрял в гортани, без помощи доктора уже не обойтись. И лучше обратиться в ветклинику как можно быстрее, так как инородное тело может поранить ткани и вызвать их воспаление. Если же оно дошло до пищевода и застряло там, может возникнуть полная или частичная его закупорка. В этом случае у собаки появляются такие симптомы, как срыгивание твердой пищи непосредственно после еды и неприятный запах пищевых масс. При непроходимости пищевода животное может длительное время недоедать и терять вес.
Но даже если проглоченный собакой предмет благополучно миновал пищевод, он может застрять в желудке и даже в кишечнике.
При проникновении небольших инородных предметов в желудок симптомов практически нет, и они могут находиться там достаточно длительное время. Только при сильном раздражении слизистой, наличии эрозии или язвы желудка у собаки возникает рвота (как пищевыми массами, так и желудочным соком).
Иногда инородные предметы, попадая в пищеварительный тракт, проходят пищевод и желудок, а затем останавливаются в кишечнике.
Если вы подозреваете (или знаете наверняка), что собака проглотила что-то несъедобное, немедленно свяжитесь с ветеринарной клиникой и до врачебного осмотра не позволяйте животному ничего есть и пить. Доктор проведет обследование, которое подтвердит или опровергнет ваши опасения. Диагноз ставится комплексно: клинические признаки, анамнез, наблюдения владельца и специальные методы исследования, такие как рентген, УЗИ, эндоскопия.
Допустим, обследование подтвердило ваши худшие предположения – проглоченный псом предмет застрял в одном из отделов пищеварительного тракта. В этом случае врач может либо некоторое время наблюдать собаку, либо (если дело совсем плохо) назначить срочную операцию.
Если инородный предмет застрял в верхнем отделе пищевода, применяют инструментальные методы извлечения под общим наркозом. Пищевод собаки физиологически имеет три сужения, самое большое из них – диафрагмальное (место, где грудная часть пищевода, проходя диафрагму, превращается в брюшную). Именно здесь чаще всего происходит обструкция инородным предметом. В хирургической практике это место наиболее проблематично для проведения оперативного вмешательства, потому что приходится вскрывать грудную клетку и проводить весьма сложные манипуляции вблизи сердца, легких, крупных магистральных сосудов. Такие операции сложны, дорогостоящи и имеют наибольший процент вероятности возникновения послеоперационных осложнений.
Если предмет застрял в желудке или кишечнике, оперативное вмешательство также становится единственным выходом из положения.
К счастью, уже появился альтернативный способ извлечения инородных тел из пищеварительного тракта. В крупных хорошо оборудованных ветеринарных клиниках это делают с помощью видеоэндоскопа.
Трубку, на конце которой находится камера, вводят в пищевод. С ее помощью можно не только увидеть то, что недоступно невооруженному глазу, но и извлечь инородный предмет быстро и безболезненно, без единого разреза, без тяжелого послеоперационного периода. После эндоскопической операции животное в течение нескольких часов приходит в себя и может вести свой обычный образ жизни.
Коллекция предметов, извлеченных из желудочно-кишечного тракта собак, способна поразить любого, кто ее увидит. Мячики, латексные игрушки, палки, детские машинки, полиэтиленовые пакеты, куски черепицы, перчатки, гвозди и даже иголки и рыболовные крючки. Просто уму непостижимо, ЗАЧЕМ наши питомцы глотают все эти совершенно неаппетитные (с нашей точки зрения) вещи!
Можно ли избежать подобных неприятностей? Конечно, можно, и довольно просто! Никогда не оставляйте собаку без присмотра там, где она может что-нибудь проглотить. Мусор и остатки еды держите в недоступном для вашего питомца месте (помните, что собаки легко открывают крышку мусорного бачка!).
Приучайте пса к команде «Фу!», а заметив, что у собаки в пасти находится какой-то вам предмет, срочно отнимайте. Доброго здоровья вашим питомцам!
Инородные тела у собак
Довольно частой является проблема проглатывания собаками инородного тела. Наиболее часто от этого страдают щенки. Ведь они пытаются грызть и жевать всё, что плохо лежит. Да и взрослые собаки могут не специально проглотить ненужный предмет. В результате инородное тело попадает в ЖКТ и приводит к серьезным последствиям.
Данный предмет может застрять в любом участке ЖКТ и быть причиной самых разнообразных последствий. В случае, если предмет имеет любые заострения, он непременно приводит к разрывам или разрезам полости внутренних органов.
Если же предмет гладкий, он может застрять и полностью прекратить работу ЖКТ. Это приводит к непроходимости на разных участках, появлению язв и отмиранию тканей. В некоторых случаях предмет не полностью преграждает работу ЖКТ, но значительно усложняет её.
В результате, последствия такие же, просто их наступление немного оттянутое.
Как определить наличие инородного тела внутри домашнего любимца?
Первые признаки того, что собака проглотила инородное тело наблюдаться довольно скоро. Все они связаны с непроходимостью пищи и воды. У пса появляется жидкий стул или же рвота с частицами непереваренной пищи. Живот постоянно напряженный, а животное испытывает боли разной тяжести. Происходит постоянное истощение организма. Собака с каждым днем теряет часть сил и становиться более апатичной и менее энергичной. В следствии протекания болезни, пес полностью отказывается от еды.
Дальнейшая диагностика происходит в условиях клиники. Осмотр доктора подтверждается результатами анализа и эндоскопическими исследованиями. В зависимости от того, какой предмет проглотила собака, его наличие и точное расположении можно установить с помощью рентгена или УЗИ. Лучшие метода диагностики и лечения обеспечит ветеринарная клиника АВВА.
Специалисты данной клиники в городе Симферополь готовы оперативно помочь любому домашнему питомцу.
Лечение и профилактика
В некоторых случаях инородное тело самостоятельно проходит через ЖКТ и покидает организм. Но это единичные случаи. Если же у пса диагностируются боли, рвота и другие признаки, единственным вариантом лечения является хирургическое вмешательство. В разных случаях требуются различные методики. Но исход, как правило, благоприятный.
Исход операции зависит от того, насколько быстро было диагностировано инородное тело в организме собаки. Многие хозяева доставляют пса в клинику в крайне тяжелом состоянии. Стоит помнить, что с каждым днем болезни, шансы на успешное выздоровление уменьшаются.
От щенков стоит убирать небольшие предметы, ведь они наиболее часто проглатывают их. В случае наблюдение подозрительной реакции пса, его стоит немедленно доставить в клинику. Опытные специалисты сделают все, что бы пёс выздоровел поскорее.
Инородные тела в желудке собаки или кошки, симптомы, лечение
Попадание инородного тела в желудочно-кишечный тракт кошки или собаки может приводить к самым разным последствиям.
Иногда предмет покидает организм естественным путем, не доставляя животному (и его владельцу) никакого дискомфорта. Иногда же инородное тело перекрывает просвет ЖКТ, что приводит к нарушению его проходимости. К другим нежелательным последствиям относится нарушение перистальтики, отек слизистой оболочки, прободение стенок и т.д.
Характерная симптоматика
Довольно часто владельцы домашних животных фиксируют сам момент проглатывания постороннего предмета. Если же попадание инородного тела в желудок кошки или собаки не было замечено, то проблему можно диагностировать по таким признакам:
- Отсутствию стула (или нарушение дефекации).
- Внезапной рвоте.
- Вздутию живота.
- Болезненности брюшной полости.
Отмечаются и изменения в поведении животного. Оно становится беспокойным, не может лежать на животе, практически полностью отказывается от пищи.
Диагностика
Признаки закупорки ЖКТ инородным телом или других проблем с пищеварительной системой, вызванной попаданием постороннего предмета, заметны достаточно хорошо. При их обнаружении необходимо как можно быстрее доставить животное в ветеринарную клинику для диагностики.
Она включает:
Использование инструментальных методик диагностики позволяет не только подтвердить диагноз, но и максимально точно установить, где именно застряло инородное тело. Это дает ветеринарному врачу возможность спланировать лечение колки или собаки, выбрав оптимальный метод решения возникшей проблемы.
Первая помощь и лечение
Эффективность лечения зависит в первую очередь от того, насколько быстро животное будет доставлено в ветеринарную клинику, а также от скорости и точности постановки диагноза. Очень часто лечение осложняется тем, что животное попадает к ветеринару уже в истощенном состоянии, а проблема усугубляется развитием перитонита или сильного обезвоживания.
Единственная эффективная методика — извлечение инородного тела путем хирургического вмешательства. Операцию проводят только в ветеринарной клинике под общим наркозом. Врачу извлекает попавший в ЖКТ посторонний предмет, а также устраняет повреждения, которые были нанесены стенкам желудка. Кишечника или другим внутренним органам.
Восстановительная терапия зависит от характера операции, а также от состояния, в котором животное попало к врачу. В большинстве случаев при своевременном обращении прогноза положительный — даже при прободении стенок ЖКТ или других осложнениях кошка или собака выживают и уже скоро возвращаются к нормальной жизни.
Собака проглотила инородное тело, что делать? — Ветеринарная клиника БиоРитм
Нередко братья наши меньшие преподносят нам немало сюрпризов, как приятных, так и не очень…Полиэтиленовый пакет, носки, камни, пуговицы, рыболовные крючки, монетки, игрушки.
.. Что только не пытаются попробовать назубок домашние питомцы. Желание проглотить что-то очень даже несъедобное и необычное связано у собак с любопытством и особенностями психики. Что делать в этом случае? Подождать пока предмет выйдет естественным путем или бежать к врачу? Поговорим об этом подробнее.
Когда срочно нужен ветеринар в Истринском районе
Самый опасный вариант – когда собака проглотила вещь, которая может повредить слизистую её кишечника, пищевода или желудка. В этом случае категорически нельзя вызывать у питомца рвоту, как советуют некоторые владельцы домашних питомцев. Нужно срочно отправляться к врачу! Для начала можно также получить помощь ветеринара по телефону.
Тревожные симптомы присутствия в организме собаки инородного тела:
- Обильное слюноотделение.
- Рвотный рефлекс.
- Отказ от еды.
- Удушье.
- Со стулом выделяется кровь.
- Запор.
- Сгорбленная спина.
В запущенной стадии ситуация усугубляется еще и нарушением моторики ЖКТ. Это выражается в болезненности брюха при пальпации, обезвоживании, плохом общем самочувствии. Если из-за инородного тела возникла частичная непроходимость кишечника, у домашнего питомца сохраняется аппетит, но наблюдается рвота непереваренными продуктами. Все вышеперечисленные симптомы – веский повод обратиться к врачу.
О том, сколько стоит вызов ветеринара в Павловской Слободе, можно узнать по номеру телефона: 8 (498) 67-504-64 или через другие контакты для обратной связи.
Особенности диагностики инородных тел в организме собаки
Сначала врач собирает сведения о животном – составляет, так называемый, анамнез. Имеющиеся симптомы позволяют поставить первоначальный диагноз и наметить план дальнейших действий.
Затем ветеринар начинает поиски инородного тела, выясняет его расположение, размер, форму, характеристики. Исследования проводятся с помощью следующих современных методов диагностики:
- Рентгенография – позволяет рассмотреть петли тонкого кишечника, располагающиеся в центральной зоне брюшной полости в двух проекциях – вентродорсальная и боковая. Аномальное расширение исследуемого материала сигнализирует о растяжении от постороннего предмета или от иных причин. На снимке можно обнаружить металлические вещи, кости, камни, стекло. Впрочем, не всегда инородные тела видны с помощью рентгенографии. Так, сложно обнаружить на снимке нитки, резиновые изделия, полиэтилен или тряпку. В этом случае применяют контрастную рентгенографию или другие способы исследования.
- УЗИ – еще один способ обнаружения инородных тел. Позволяет выявить наличие непроходимости по механическим причинам. Если есть инородный предмет, и двигательные функции кишечника сохранены, организм собаки будет пытаться его вытолкнуть.
Аппарат УЗИ дает возможность зафиксировать маятникообразное перемещение посторонней вещи по кишке.
Лечение собаки при глотании инородных тел и профилактика
Лучшая ветклиника в Новинках – «БиоРитм» – предлагает современные методы решения любых проблем, связанных со здоровьем домашних питомцев. В случае с попаданием в организм собаки инородного тела самый эффективный и быстрый способ – хирургическое вмешательство. Операция проводится методом лапаротомии. После хирургического вмешательства животному придется поставить несколько капельниц, чтобы восстановить его организм. После операции питомца лучше оставить на некоторое время в клинике, где за ним будет организованы правильные наблюдение и уход. Необходимые лекарства всегда готова предоставить наша аптека для животных, Истринский район.
Единственной профилактикой случаев глотания инородных тел является строгий контроль за питомцем, а также ограничения в его рационе.
Из меню собаки лучше исключить кости. Из жилища стоит убрать мелкие и острые игрушки, спрятать иголки, маникюрные ножницы и другие травмоопасные предметы.
Оптимальный сбалансированный корм для животных не дорого всегда можно приобрести в нашей аптеке.
Инородного тело в желудочно-кишечном тракте семилетнего Той-терьера
Автор: Иванов М. В.
Собака поступила в клинику с жалобами на: угнетенное состояние в течение примерно 6 часов, трехкратную рвоту за этот же промежутоквремени. В анамнезе отмечается то, что собака сутки назад могла съесть оберточный полиэтиленовый шпагат от коробки с тортом.
При первичном осмотре мы обнаружили умеренную абдоминальную болезненность и обезвоживание 3-4%. Общее состояние было удовлетворительным. Но на рентгенограммах были признаки нанизывания кишечника на линейное инородное тело.
В таких случаях наиболее правильной тактикой лечения является проведение диагностической лапаротомии (операции позволяющей со стопроцентной точностью выявить наличие или отсутствие инородного тела в желудочно-кишечном тракте пациента).
Важно не упустить время, т.к. при наличии инородного тела в кишечнике пациента, последний может подвергнуться сильной ишемии и с течением времени некрозу.
Поэтому в случае, когда в ЖКТ подозревается инородное тело операционный риск ниже, чем риск при отсутствии хирургического вмешательства.
Все возможные осложнения и хирургические риски были оговорены с владельцами собаки, и они дали свое согласие на операцию.
Анестезиологическое пособие осуществлялось в соответствии с принятыми нормами. При лапаротомии был выявлен воспаленный кишечник, нанизанный на полиэтиленовый шпагат от нижней трети двенадцатиперстной кишки до прямой кишки.
Рисунок 1. Фотография кишечника сильно нанизанного на линейное инородное тело с образованием плотных складок, правее кишечника мочевой пузырь, выдвинутый в лапаротомную рану
Затем была проведена энтеротомия с удалением инородного тела, новокаиновая блокада брыжейки. После того как мы удалили полиэтиленовый шпагат кишечник расправился и приобрел физиологичный вид.
Рисунок 2. После того как было удалено линейное инородное тело кишечник расправился и хотя он еще воспален и отечен угроза некротизирования ему уже не страшна.
Затем раны на кишечнике и лапоратомная рана были ушиты согласно принятым нормам. Назначена патогенетическая терапия. Через десять дней собака полностью поправилась. В профилактических целях на месяц была назначена специальная профессиональная диета, показанная при гастроэнтерите.
Если бы операция была отложена на три-четыре часа, то исход лечения не был бы таким благоприятным, скорее всего, пришлось бы удалять часть некротизированного кишечника, учитывая характер конкретного поражения – возможно часть тонкого кишечника, что существенно отягощает прогноз. Это в очередной раз доказывает, что в аналогичных случаях операционный риск намного меньше, чем риск проволочек и выжидания.
Удаление инородных тел у кошек и собак в Нижнем Новгороде
- Главная
- Услуги
- Операции
- Удаление инородных тел
Инородные тела в организме у домашних животных – это дело довольно-таки нередкое.
К нам в ветеринарный центр «Белая Медведица» часто попадают собаки с подобными проблемами, ведь они бегают на улице и хватают зубами посторонние предметы, а значит и шанс проглотить что-то постороннее очень высок. Кошки конечно тоже любит подобрать или вытащить что-нибудь ненужное из мусора.
Случается, что животные проглатывают даже самые причудливые предметы, несмотря на это пальму первенства уверенно держат мячики для игры, нитки, булавки, ткань, предметы одежды, такие как перчатки, различные палки и кости.
Наиболее опасной эта ситуация становится потому, что хозяева не всегда сами знают о том, что питомец что-то слопал, ведь постоянно следить за животным не получается, и попросту упустить момент легче легкого. Никогда нельзя наверняка знать, сколько времени собака проходит с инородным предметом внутри, до того, как это получится обнаружить. А значит судить можно по косвенным симптомам. Настоятельно рекомендуем срочно обратиться в ветклинику если у питомца обнаружены следующие признаки.
Как узнать, что пёс или кот что-то проглотил
- У кошки или собаки рвота
- Животное отказывается от еды
- Питомец постоянно старается откашляться
- Наблюдается запор или серьезные проблемы со стулом
- Вздутие живота
- У животного заметная апатия и вялое состояние
Все представленные симптомы в высокой долей вероятности говорят о наличии инородного тела во внутренних органах питомца. Обратившись к нам в ветцентр «Белая Медведица», вы получите комплексное обследование, специалисты осмотрят животное и сделают рентген, благодаря чему можно будет узнать, имеют ли почву ваши беспокойства. И если исследования показали наличие инородного предмета, то решение об удалении не ждет отлагательств.
Удаление инородных тел из желудка кошек и собак
Операция по удалению инородных тел из желудка животных проводится ветеринарными врачами очень часто. Если питомец проглотил посторонний предмет, последствия могут сильно различаться.
Все зависит как от самого предмета, его формы, величины и характеристик, так и от животного, его организма и размеров. Многие инородные тела сами выходят из организма во время рвоты иди дефекации.
Но предмет, который проглотила собака, может оказаться острым или слишком тяжелым и застрять в кишечнике или желудке.
Там он повредит стенки органов, вызвав острую боль у животного, что может привести к тяжелым последствиям. Если во время обследования стало известно о наличии инородного предмета в желудке у питомца, то его сразу же нужно удалять. Удаление производится оперативно, и в зависимости от ситуации может применяться метод эндоскопии. При удалении инородного тела из желудка, эндоскоп вводится через пасть животного. Все манипуляции абсолютно безвредны и не причиняют боль, и самое главное не требуют времени на восстановления после процедуры.
Удаление инородных тел из кишечника животного
Удаление инородных тел из кишечника является куда более сложной процедурой.
Обнаружить нахождение инородного предмета можно при помощи пальпации. И если вы, как владелец, случайно нащупали что-то в кишечнике у своего питомца, то не пытайтесь ничего предпринять и достать его собственноручно. Нельзя применять клизмы и давать слабительные! Помочь в этой ситуации может только опытный ветеринарный хирург.
Если при обследовании в ветклинике у кошки или собаки обнаружен инородный предмет в кишечнике, то животное отправляют на срочную операцию. По завершению всех манипуляцию, питомцу прописывается покой и специальная диета, которая не сможет повредить и травмировать внутренние органы во врем реабилитации. При соблюдении всех правил и рекомендаций ветеринара, восстановительный процесс не займет много времени.
Записаться на операцию по удалению инородных тел у собак и кошек
Проглатывание инородного тела собакой
Инородное тело — это предмет, который возникает вне тела. Большие предметы или предметы неправильной формы могут застрять где-нибудь в пищеварительной системе, в результате чего вашей собаке потребуется срочная ветеринарная помощь.
Некоторые породы чрезмерно представлены, поскольку они известны неизбирательными едоками (например, лабрадоры), причем более молодые собаки и щенки также имеют более высокий уровень заболеваемости.
Расположение и степень обструкции инородным телом будут определять имеющиеся признаки, вероятный прогноз, а также наиболее подходящий курс действий.Очень важно, чтобы вы связались с ветеринаром, как только вы узнаете или даже заподозрите, что ваш питомец съел инородное тело, чтобы он посоветовал вам наиболее подходящий способ действий.
Какие предметы обычно проглатывают собаки?Некоторые из наиболее распространенных инородных тел, вызывающих проблемы в желудочно-кишечной системе собаки, включают:
- кукурузные початки
- палочки
- кости
- нитки
- мячи
- рыболовные крючки
- косточковые косточки
- игрушки
- носки / чулки
Некоторые предметы достаточно маленькие и гладкие, чтобы проходить сквозь кишечник, не вызывая проблем.
Более крупные предметы могут застрять в кишечнике и препятствовать прохождению пищи, что поначалу вызывает рвоту у собаки. Другая проблема возникает из-за перистальтического (или сдавливающего) движения мышечной стенки кишечника, когда она пытается протолкнуть инородное тело. Если объект не удален, вокруг него повышается давление, что приводит к нарушению кровоснабжения стенки кишечника и его омертвеванию. В худшем случае стенка кишечника может разорваться, в результате чего бактерии и пища могут попасть в брюшную полость, вызывая сильную боль, перитонит, шок и, в конечном итоге, смерть.
Линейное инородное тело (например, веревка) может попасть в рот, но начнет перемещаться по кишечнику. Это приводит к тому, что кишечник начинает скучиваться, и существует высокий риск перерезания нити через кишечник.
Какие клинические признаки и симптомы я заметил, если мой питомец проглотил инородное тело? Наблюдаемые клинические признаки значительно различаются и зависят от степени обструкции, локализации, продолжительности и типа инородного тела.
Обычно отмечаемые признаки включают:
- рвота / срыгивание
- летаргия
- потеря аппетита
- боль в животе
- обезвоживание
- слюнотечение
- диарея (+/- кровь)
- свидетельство инородного тела (т.е. рот)
- учащенное дыхание (из-за боли)
Важно сразу же связаться с ветеринаром, чтобы сообщить ему, что это произошло.Даже если вы подозреваете, что ваша собака что-то съела, важно позвонить ветеринару. Вы получите совет относительно риска застревания предмета, а также наиболее подходящий способ действий.
Что будет делать ветеринар, чтобы диагностировать проблему? После того, как клиническое обследование, симптомы и информация об инородном теле и его вероятном местонахождении будут сопоставлены, ваш ветеринар сможет сообщить вам, что необходимо для лечения вашего питомца.
Если в остальном ваш питомец здоров и только что проглотил объект (и это безопасно), ваш ветеринар может дать вашей собаке лекарство от рвоты, что предотвратит возможную закупорку в кишечнике. Застрявший во рту предмет, например кость, застрявшую в зубе, можно легко удалить в консультации, под седативными препаратами или под легкой анестезией. В других случаях, если объект достаточно мал, можно следить за аппетитом вашей собаки, клиническими признаками и стулом, чтобы убедиться, что посторонний предмет прошел безопасно.
Вашему питомцу может потребоваться анализ крови, чтобы исключить другие причины клинических признаков, а также проверку электролитного дисбаланса, степени обезвоживания и других проблем, связанных с инородными телами. Внутривенные жидкости помогут восстановить водный баланс вашего питомца.
Ваш ветеринар может порекомендовать рентген брюшной полости, чтобы лучше понять, что происходит в брюшной полости. Они будут искать инородное тело, а также обнаруживать изменения в газовой структуре кишечника (что указывает на закупорку).
Инородное тело не всегда будет очевидным, и иногда рекомендуется исследование с контрастным веществом или барием, поскольку это может выделить инородное тело или выделить закупорку.Ультразвук брюшной полости также может быть полезен для оценки состояния живота и определения курса лечения.
Инородное тело, расположенное в пищеводе, может быть диагностировано и, возможно, удалено с помощью гибкого эндоскопа (небольшая трубчатая камера, помещенная в пищевод).
Может быть рекомендовано быстрое хирургическое вмешательство для удаления инородного тела из кишечника, чтобы предотвратить закупорку и возможные серьезные последствия. Чем дольше присутствует инородное тело, тем более проблематичным является результат. Иногда может потребоваться удаление части кишечника, поскольку она считается нездоровой и может разрушиться после операции.Разрыв кишечника и возникший в результате перитонит имеют гораздо худший прогноз.
Как предотвратить проглатывание моей собакой посторонних предметовЕсть несколько вещей, которые вы можете сделать, чтобы ваша собака не проглатывала инородные тела:
- Держите обычно глотаемые предметы в недоступном для них месте
- убирайте предметы из своего сада, например, .
камни, палки, косточковые фрукты - предотвращать доступ к мусору
- держать собаку на поводке на прогулке
- следить за своей собакой, когда она ест кости, удаляя их, когда мясо отсутствует.У некоторых собак не должно быть костей, так как они с большой вероятностью их проглотят. Посоветуйтесь со своим ветеринаром об альтернативных способах поддержания чистоты зубов вашей собаки.
Если вы подозреваете или видели, как ваша собака ест инородное тело любого вида, или если вы заметили, что ваша собака проявляет какие-либо клинические признаки, важно, чтобы вы связались с ветеринаром.
Удаление инородного тела из желудочно-кишечного тракта у собак и кошек
Желудочно-кишечные инородные тела у собак и кошек
- Желудочное инородное тело — это термин, который относится к любому материалу, кроме пищи, который съедается и который вызывает серьезные проблемы с пищеварением в желудке.
- Инородные тела, такие как игрушки, веревки, одежда и пластик, могут застрять в желудке и создать препятствие.
Любой предмет домашнего обихода, который грызет ваш питомец, может стать проблемой инородного тела. - Собаки и кошки любого возраста подвержены развитию проблем с инородным телом, но чаще всего это наблюдается у молодых собак в возрасте до 2 лет. Эти молодые люди от природы любопытны и любят жевать.
- Хотя некоторые более мелкие инородные тела могут проходить через кишечник, не застревая, более крупные части могут вызвать серьезные желудочно-кишечные осложнения.
Симптомы:
- Внезапная потеря аппетита
- Рвота
- Чрезмерное слюнотечение
- Аномальные дефекации (неправильного цвета, консистенции или количества)
Диагноз:
- Полная и тщательная история болезни важна при диагностике инородного тела в желудке, включая недавнее воздействие или известное пережевывание инородного материала. Результаты физикального осмотра могут помочь вашему ветеринару определить соответствующие диагностические тесты.
Рекомендации теста могут включать: - Рентгенограммы брюшной полости (рентгеновские снимки) — важный тест. К сожалению, не все инородные материалы видны на первоначальном рентгеновском снимке. Иногда рекомендуется добавление красителя, такого как барий, чтобы определить наличие инородного тела или непроходимости желудка.
- После диагностики инородного тела в желудке можно выполнить анализов крови , чтобы оценить общее состояние здоровья собаки. Поскольку для удаления большинства инородных тел желудка требуется анестезия, настоятельно рекомендуются анализы крови.
Лечение:
- Большинство собак с обструкцией желудка инородным телом рвут или не ели в течение определенного периода времени.
- Это приводит к обезвоживанию и нарушению баланса электролитов. Ваш ветеринар порекомендует госпитализацию с внутривенным введением жидкости перед анестезией.
- Когда ваша собака станет более стабильной, ее анестезируют, и инородный объект удаляют одним из двух основных методов: эндоскопией или хирургическим вмешательством.

Эндоскопия .
- Этот метод позволяет удалить инородные предметы из желудка. Если в кишечнике находится значительное количество инородного материала, эндоскопия может быть неподходящим выбором.
- Эндоскоп — это гибкая трубка с насадкой для камеры. Трубка вводится через рот в желудок. После того, как инородное тело обнаружено, через эндоскоп вводится захватывающий инструмент. Направляя кончик эндоскопа, можно захватить инородный объект и медленно вывести его через пищевод изо рта.
- Преимущества эндоскопа — это отсутствие разреза, что сокращает время восстановления.
- Недостатки эндоскопического удаления — это невозможность определить, есть ли остаточный инородный материал в кишечнике. Кроме того, некоторые типы инородных материалов не могут быть захвачены маленькими эндоскопическими захватами, например, большие камни и шары.
Хирургия.
- Если у вашего ветеринара нет эндоскопических возможностей или инородный материал имеет низкую вероятность удаления эндоскопом, рекомендуется операция.
- После седации вашей собаке бриют середину живота. По центру живота делается разрез. Желудок и кишечник исследуются на предмет наличия посторонних предметов или препятствий. После локализации инородного материала в желудке или кишечнике делается небольшой разрез и удаляется инородный материал. Разрез желудка или кишечника зашивают. Затем зашивают стенку тела и кожу.
- Преимущества хирургического удаления инородного материала — это возможность исследовать весь кишечник на предмет наличия других препятствий.
- Недостатки включают в себя послеоперационную боль, длительное пребывание в больнице и возможность инфицирования через разрез желудка или кишечника.
- После удаления инородного материала собаке продолжают внутривенно вливать жидкости до тех пор, пока рвота не прекратится, и собака сможет есть и пить без рвоты.
Могут быть назначены послеоперационные обезболивающие, такие как бутопанол, а также антибиотики.
Госпитализация:
В зависимости от степени поражения кишечника вашей собаке может потребоваться госпитализация на 2-5 дней.
Уход на дому:
- Как только собака сможет есть и пить без рвоты, ее отправляют домой.
Для тех собак, которым была проведена эндоскопия, домашний уход минимален.
- Соблюдайте мягкую диету в течение двух-трех дней и постепенно возвращайтесь к обычному питанию. Следите за тем, чтобы не есть и не рвать.
- Уход на дому для собак, перенесших операцию, включает в себя уход за надрезом.
- Не позволяйте собаке лизать или жевать швы.
- Может понадобиться елизаветинский ошейник. Следите за разрезом на предмет припухлости или выделений.
- Обычно снимают швы через 10-14 дней.
- Соблюдайте мягкую диету в течение двух-трех дней и постепенно возвращайтесь к нормальному питанию.
Следите за тем, чтобы не есть и не рвать.
Профилактическая помощь:
- Лучший способ предотвратить попадание инородных тел в желудок — это предотвратить доступ к предметам, которые можно проглотить.
- Позвольте собаке жевать только игрушки, которые нельзя проглотить.
- Если вы подозреваете, что ваша собака могла проглотить что-то, что не могло пройти через его кишечный тракт, обратитесь к ветеринару.
- Если вы подождете, пока у вашей собаки начнется рвота, удаление инородного материала станет более трудным и дорогостоящим.
Она что съела ?! Хирургия инородного тела у домашних животных
Можете ли вы поверить, что будет есть ваш питомец? Они точно не привередливы в еде! На самом деле, домашние животные часто едят игрушки, веревки, предметы одежды и даже палки или камни. Однако такая неосмотрительность в питании может быть не только странной и раздражающей. Если предметы не могут пройти через пищеварительный тракт, они могут вызвать непроходимость, перфорацию и даже смерть.
Операция по удалению инородного тела — это неотложная процедура по удалению предмета, который препятствует нормальной работе пищеварительной системы. К счастью, здесь есть ветеринарная клиника Pets Place, где можно посоветовать, что делать, если ваш питомец пробует то, что ему нельзя.
Объекты-нарушители
Какие типы предметов обычно видны при хирургии инородных тел? У собак широко распространены сыромятные кожи, кукурузные початки, одежда и игрушки для собак, такие как пищалки и веревки. У кошек есть нитки и нитки — потенциально опасная, но странно распространенная привычка.
Признаки и симптомы
Признаки инородного тела могут различаться в зависимости от того, где застрял предмет, вызывающий нарушение. Для прохождения через организм вашего питомца предметов обычно требуется 10-24 часа. Если вы заметили какой-либо из следующих признаков, немедленно позвоните своему ветеринару:
- Рвота
- Диарея
- Слюноотделение, рвота
- Боль в животе, сутулость
- Отсутствие аппетита
- Напряжение при дефекации, запор
- Изменения поведения, такие как кусание или рычание при прикосновении
Диагностика 101
Как диагностировать инородное тело? В некоторых случаях ваш ветеринар может почувствовать предмет в кишечнике.
Однако в большинстве случаев диагноз устанавливается с помощью рентгенограмм (рентгеновских снимков) кишечного тракта вашей собаки или ультразвукового исследования брюшной полости.
Некоторые объекты легко увидеть с помощью рентгеновских лучей, а другие — нет. В этих случаях ваш ветеринар может назначить контрастное исследование, при котором ваш питомец должен проглотить барий, чтобы выделить объект в его пищеварительном тракте. Ваш ветеринар также может порекомендовать анализы крови и мочи, чтобы определить наличие других заболеваний, например панкреатита.
Хирургия инородного тела
Если вы знаете, что ваш питомец ел что-то, чего ему не следует есть, или если у него наблюдаются тревожные признаки проглатывания инородного тела, ваш ветеринар может порекомендовать исследовательскую операцию, чтобы найти объект и удалить его. В большинстве случаев время имеет значение. Инородные тела в желудке и кишечнике могут блокировать кровоснабжение органов, вызывая перфорацию и некроз, которые могут быть опасными для жизни.
В зависимости от того, где находится объект, ваш ветеринар сделает анестезию вашему питомцу и откроет желудок / кишечник для извлечения инородного тела.Это инвазивная процедура, включающая разрезы в области живота, груди или пищеварительного тракта. Несмотря на некоторые риски, обструкция инородным телом может привести к летальному исходу без экстренной операции. Ваш ветеринар предоставит вам подробный план лечения и прогноз.
Прогноз
Результат этих операций обычно очень хороший, но зависит от нескольких факторов:
- Общее состояние здоровья вашего питомца до операции
- Расположение объекта
- Внешний вид объекта
- Продолжительность непроходимости
Предотвращение хирургии инородных тел
Лучший способ предотвратить операцию на инородном теле — ограничить доступ к предметам, которые будут соблазнять вашего питомца.Убирайте с пола и двора мелкие жевательные предметы. Держите резинки и шнурки вне досягаемости.
Когда дело доходит до игрушек для собак, убедитесь, что они подходящего размера и сделаны из материалов, которые нелегко разбить на более мелкие и опасные части.
Если вы не уверены насчет игрушек вашего питомца или подозреваете, что он проглотил что-то опасное, свяжитесь с нами, чтобы записаться на прием. Мы всегда рады ответить на любые вопросы!
GI Инородное тело у молодой собаки
Домашнее животное: Максвелл
Возраст: 3.5 лет
Вид: Собака
Порода: Такса Крест чихуахуа
Окрас: Коричнево-белый
Пол: Самец, кастрированный
Нам пришлось сделать это делом недели, потому что он принадлежит одному из наших сотрудников, имя которого останется неназванным. 🙂 Макс был счастлив и здоров до вечера вторника. Когда хозяин Макса ушел на работу во вторник утром, он ел, пил и играл как щенок, как всегда.
Когда она вернулась с работы во вторник вечером, он не стал есть свой обед, что было для него ЧРЕЗВЫЧАЙНО необычным.
Вскоре после этого у него началась рвота, и его рвало всю ночь. Сначала рвотные массы содержали пищу, но после второго приступа рвоты это была чистая желчь. Он все еще пытался пить воду, но она немедленно вернулась. Другие признаки включали крайнюю летаргию и прятание под кроватью. Диареи и других внешних признаков не было.
Она привела его к себе на работу в среду утром. При медосмотре он был в депрессивном состоянии и имел температуру 99.8 (норма для собак составляет 101-102,5 ° F), его частота сердечных сокращений была повышена до 155 ударов в минуту (норма составляет приблизительно 120 ударов в минуту), а его десны были сухими и липкими, что указывает на уровень обезвоживания приблизительно 7%. При пальпации его живота в нижней части каудального отдела живота пальпировался твердый круглый предмет размером примерно 1 см. При пальпации он чувствовал дискомфорт. Никаких других отклонений при физикальном осмотре не обнаружено.
Рентгенограммы (рентгеновские снимки) были сделаны для оценки его живота.
Твердый объект располагался в кишечнике в каудальном левом квадранте брюшной полости.Поскольку он перекрывал толстую кишку, не сразу было очевидно, находится ли объект в тонком или в толстом кишечнике. Мы провели ультразвуковое исследование его брюшной полости и обнаружили объект в тонкой кишке, на полпути между желудком и толстой кишкой.
На этом этапе было принято решение продолжить операцию по удалению объекта. Другой вариант — начать введение жидкости с высоким потоком и слабительных средств, чтобы посмотреть, сможем ли мы пройти мимо объекта. Однако из-за его депрессивного состояния мы решили, что немедленное хирургическое вмешательство более целесообразно.
Анализ крови был проведен и показал только минимальные электролитные нарушения, а также неспецифические изменения, соответствующие обезвоживанию. Был установлен катетер для внутривенного введения и начата подача жидкости с высоким потоком. Макса доставили в операцию, и было проведено обследование брюшной полости.
(См. Изображения ниже. Щелкните эскизы, чтобы увеличить изображения.)
Объект-нарушитель был найден в тонком кишечнике, как и предполагалось. Оказалось, что это была ножка от резиновой игрушечной свиньи, которой обычно играла собака.По словам его владельца, эта игрушка у Макса была больше года, и он всегда носил ее с собой и играл с ней, никогда не грыз ее и не рвал. Она понятия не имеет, где сейчас свинья, сколько времени она пропала и целая ли она (без фута, конечно).
Макс восстановился нормально и все хорошо. Мораль этой истории заключается в том, что то, что ваш питомец никогда раньше не ел игрушку, не означает, что он этого не сделает сейчас или когда-нибудь в будущем. Мы все время слышим это: «Моя собака любит грызть носки, но никогда не рвет и не глотает.Фактически, это правило, а не исключение, когда мы в конечном итоге вынимаем носок из кишечника собаки. Другие инородные тела GI, которые мы удаляем на регулярной основе, включают полотенца (особенно кухонные полотенца и тряпки для посуды), нижнее белье, ковровое покрытие, монеты, резиновые игрушки (пищалка в резиновых игрушках является очень популярной мишенью для собак), а также пряжу и пряжу для кошек.
нитки особенно вкусны.
Так что не рассчитывайте, что ваша собака или кошка «никогда раньше не грызла и не глотала носки», поэтому не рассчитывайте на то, что она этого не сделает в будущем.Вместо этого всегда разумно использовать для игры качественные неразрушимые игрушки и удобные для домашних животных удобоваримые лакомства, которые они могут жевать, если они любят рвать вещи. К сожалению для нее, нашей сотруднице Тэмми 🙂 пришлось усвоить этот урок на собственном горьком опыте.
Удаление проглоченного инородного тела у собак
Процедура, используемая для удаления инородного тела у собак, будет зависеть от природы и местоположения препятствия. В большинстве случаев ветеринар оценит состояние собаки с помощью рентгеновских лучей или других изображений, чтобы определить наиболее безопасный и эффективный подход.Анализы крови, мочи и кала также могут проводиться для выявления связанных осложнений или состояний и определения того, подходит ли собака для анестезии, которая требуется для многих методов удаления инородных тел.
Эндоскопическое извлечение
Эндоскопическое извлечение — это минимально инвазивная процедура, которую можно использовать для извлечения многих материалов из верхних отделов пищеварительного тракта (рта, пищевода и желудка). В идеале, пациент должен голодать в течение нескольких часов перед процедурой, но в экстренных случаях ветеринар может провести промывание желудка, чтобы очистить его содержимое, прежде чем продолжить.
- Собаке сделают местную или общую анестезию и разместят для процедуры.
- Гибкий эндоскоп, оснащенный камерой и соответствующими инструментами, будет введен через рот и продвинут через пищевод для визуализации захваченного предмета и состояния пищеварительного тракта.
- Инородное тело будет захвачено и извлечено с помощью эндоскопических инструментов.

- Эндоскоп будет извлечен, и собаке позволят оправиться от анестезии.
Хирургическое удаление
Хирургическое удаление обычно требуется, если инородный предмет застрял в кишечнике или если его невозможно безопасно удалить из пищевода или желудка с помощью эндоскопии. Открытая операция является инвазивной и во всех случаях требует общей анестезии.
- Собака будет подвергнута анестезии, положена, побрита и очищена перед операцией.
- При необходимости будет сделан разрез груди или брюшной полости (торакотомия или лапаротомия).
- Хирург получит доступ к пищеводу, желудку или кишечнику по мере необходимости с помощью эзофаготомии, гастротомии или энтеротомии.
- Инородное тело будет удалено, место осмотра на предмет травм и хирургическое вмешательство при необходимости.

- Разрезы будут закрыты, и пациенту позволят оправиться от анестезии.
Инородные тела желудочно-кишечного тракта и пищевода — специализированный ветеринарный центр
Собаки и кошки часто едят посторонние предметы, такие как игрушки, веревки и монеты. Инородные предметы в пищеводе, желудке или кишечном тракте могут вызвать непроходимость или разрыв и могут быть опасными для жизни.
Причина
Щенки и котята проходят оральную фазу, как и человеческие дети, и грызут практически все, что есть под рукой.Взрослые домашние животные часто жуют или едят что-то необычное из-за стресса, скуки или беспокойства. Игрушки, сыромятные кожи и любые жевательные лакомства (в том числе зубные жевательные таблетки) могут застрять в кишечном тракте. Инородные тела, которые вызывают проблемы, гораздо чаще становятся «одобренными» игрушками для домашних животных или жевательными палочками, приобретенными семьей, чем другие посторонние предметы.
Как правило, щенки и котята не должны играть с игрушками или жевать какую-либо жевательную палочку, достаточно маленькую, чтобы поместиться в их рту.
Нить, подстилка и ковровое покрытие являются особенно опасными инородными телами в кишечнике, поскольку часть их может перемещаться по кишечному тракту, а другая часть все еще застревает в желудке.Нить может действовать как «пила», рассекая части кишечника, вызывая разрыв. Эластичные резинки для волос — частое инородное тело у собак и кошек.
Некоторые монеты содержат цинк, который особенно токсичен для домашних животных.
Жевательные резинки из сыромятной кожи и зубов, хулиганские палки, высушенные копыта и кости также могут застрять в пищеводе. Если вы позволяете своему питомцу жевать сыромятную кожу или кости, важно вынуть кость, как только она станет достаточно маленькой, чтобы поместиться во рту.
Кукурузные початки, косточки персика и сливы, зубочистки и шпажки для барбекю — обычные предметы, которые собаки находят в мусоре или в окружающей среде, проглатывают и застревают в кишечнике.
Важно, чтобы собакам не разрешалось рыться в мусоре или собирать эти посторонние предметы на прогулке. Если вы когда-нибудь станете свидетелем того, как ваш питомец ест один из этих продуктов, сразу же принесите его для оценки.
Клинические признаки
Пациенты с непроходимостью пищевода часто проявляют драматические признаки сразу после проглатывания предмета, вызывающего нарушение.Они часто кашляют или давятся, изо рта возникает чрезмерная пена и неоднократно пытаются пощекотать себя. Если дать пищу или воду, у пациента сразу же появится рвотный рот.
Признаки инородного тела желудка или кишечника могут быть более незаметными, но в большинстве случаев у пациентов наблюдаются признаки желудочно-кишечного расстройства, такие как рвота, плохой аппетит или дискомфорт в животе. Если инородный материал выходит из желудка и попадает в кишечник, у пациента может быть плохой аппетит, неправильная осанка, такая как сгорбленная спина или положение для молитвы, напряжение при дефекации или просто вялость.
Пациенты, у которых развивается полная непроходимость кишечника, обычно рвут обильными количествами иногда пахнущей жидкости зеленого или желтого цвета. Пациенты, проглотившие мелкие монеты, в частности пенни, могут не иметь кишечных признаков, но быть бледными и слабыми из-за токсического действия цинка в монете. Поскольку признаки могут быть разными, особенно важно обратиться за медицинской помощью, если вы подозреваете, что ваш питомец мог проглотить что-то ненормальное или у него застряла игрушка, жева или веревка в пищеводе, желудке или кишечнике.
Диагностика
При подозрении на инородное тело рентгенограммы (рентгеновские снимки) часто являются первым рекомендуемым тестом. В случае подозрения на инородное тело пищевода, скорее всего, будет рекомендована рентгенография грудной клетки. Если есть подозрение на инородное тело в желудке или тонком кишечнике, будет рекомендована рентгенограмма брюшной полости. УЗИ брюшной полости часто используется, чтобы определить, какая часть кишечного тракта задействована, чтобы спланировать терапию.
Лабораторные тесты часто рекомендуются, если пациенту может потребоваться процедура по удалению инородного тела, если он выглядит обезвоженным или если есть подозрение на токсичность, связанную с инородным телом.
Важно отметить, что введение контрастного вещества, такого как барий, пациенту, у которого есть подозрение на наличие инородного тела, сопряжено со значительным риском и не рекомендуется. Пациенты, у которых рвота или срыгивание из-за инородного тела в пищеводе или желудке, часто бывает быстрой рвотой барием, иногда при аспирации или всасывании контрастного вещества в легкие.
Это может быть опасно для жизни пациентов. Кроме того, контрастное вещество с барием сделает невозможным эндоскопическое обследование.Барий не только закрывает глаза терапевту, но и опасен для оптики оборудования. Мы не рекомендуем использовать контрастное вещество с барием, если у пациента есть подозрение на инородное тело. К счастью, диагноз можно поставить почти во всех случаях с помощью рентгенографии и ультразвука.
Лечение
Инородные тела, находящиеся в пищеводе или желудке, иногда можно удалить с помощью эндоскопа. Если ультразвуковое исследование или другие тесты показывают, что инородное тело переместилось в нижнюю часть кишечника, или если имеется более одного инородного тела, иногда требуется операция.Эндоскопическое удаление обычно предпочтительнее, если инородное тело находится в желудке. Эндоскопия имеет меньший риск, меньше шансов вызвать образование рубцов и спаек в брюшной полости и быстрее восстанавливается.
Инородные тела пищевода особенно опасны, потому что слизистая оболочка пищевода склонна к образованию язв, рубцов и стриктур, которые могут иметь опасные для жизни последствия. Инородные тела пищевода следует удалить как можно быстрее, чтобы минимизировать этот риск. Инородные тела пищевода ВСЕГДА считаются неотложной ситуацией.К счастью, большинство из них можно удалить эндоскопически или ввести в желудок. Если инородное тело представляет собой перевариваемую кость или лакомство, маловероятно, что потребуется дополнительная операция для его удаления из желудка.
Прогноз
Пациенты с инородными телами пищевода или желудка, удаленными эндоскопически вскоре после приема внутрь, имеют отличный прогноз, обычно они отправляются домой в течение нескольких часов после процедуры.
Пациенты, которым требуется операция по удалению инородного тела, могут пройти более сложное выздоровление.Если кишечнику не было нанесено значительного ущерба, обычно пациенты могут отправиться домой через 1-2 дня после операции.
Инородные тела, вызывающие разрыв кишечника, могут вызывать опасные для жизни проблемы, требующие длительного пребывания в больнице и интенсивной терапии. Кроме того, пациентам с такими осложнениями, как отравление цинком, иногда требуется несколько переливаний крови и прием лекарств, чтобы уменьшить влияние металла на клетки крови пациента.
Долгосрочное наблюдение
Пациенты с неосложненными, эндоскопически удаленными инородными телами пищевода и желудка редко нуждаются в каких-либо дополнительных обследованиях.
Пациентам, которым требуется хирургическое вмешательство, особенно тем, у которых удалена значительная часть кишечника или длительное пребывание в больнице, может потребоваться помощь специалиста, чтобы вернуться к более функциональному кишечному тракту.
Рецидивистам, которым потребовалось более одной операции на инородном теле или эндоскопии, вероятно, будет полезно проконсультироваться с сертифицированным ветеринарным бихевиористом, тщательно удерживать и контролировать или (у собак) носить намордник-корзинуСледует отметить, что ветеринары-терапевты в специализированном ветеринарном центре обычно оставляют своих собак в клетках, когда они находятся без присмотра, чтобы снизить риск опасного жевания!
Как правило, мы НЕ рекомендуем разрешать домашним животным жевать кости любого вида. Сырые шкуры немного менее опасны, но если сыромятная кожа меньше головы вашего питомца, ее следует убрать. Существуют альтернативные игрушки для жевания, которые с меньшей вероятностью разобьются на мелкие кусочки (например, «нейлабоны» и «неразрушающие шары»).
Помните, что специализированный ветеринарный центр никогда не закрывается. Если вы подозреваете, что ваш питомец проглотил посторонний предмет, не стесняйтесь позвонить своему ветеринару первичного звена или в специализированный ветеринарный центр.
Операций по удалению инородных тел — 935 $
Что такое инородное тело?
Домашние животные иногда проглатывают предметы, которые не предназначены для проглатывания. Мы называем их инородными телами. «Посторонний», потому что предмет не принадлежит телу.
Собаки и кошки, часто кладут в рот что-нибудь, чтобы носить с собой или просто поиграть.Иногда эти предметы в конечном итоге проглатываются. Есть три возможных исхода, если ваш питомец проглотит то, чего ему не должно быть. Один… проглоченный предмет вырывается обратно изо рта, два… предмет проходит через желудочно-кишечный тракт и попадает в экскременты, или три… Он застревает внутри вашего питомца, и для его извлечения потребуется операция. Вот где мы можем протянуть руку помощи.
Наша цель — максимально безопасно вывести инородное тело из вашего питомца.
Размер, форма, текстура и время, в течение которого предмет находился внутри вашего питомца, определяют, насколько легко его можно удалить.Предметы с грубыми или зазубренными краями могут серьезно повредить желудок и кишечник. Даже небольшие мягкие предметы могут повредить их, если они будут оставаться в них достаточно долго. Таким образом, главное — как можно скорее доставить вашего питомца на операцию. Если произошло значительное повреждение, возможно, потребуется удалить некоторые сегменты кишечника. Домашние животные могут жить с удаленными частями кишечника, но в случае серьезных повреждений выживание может оказаться под угрозой.
Наиболее частые признаки того, что у вашего питомца может быть инородное тело, — это рвота и потеря аппетита.Ваш ветеринар, вероятно, сделает рентгеновский снимок или проведет ультразвуковое исследование, чтобы определить, присутствует ли инородное тело и требуется ли операция.
Иногда инородное тело довольно очевидно, но часто само инородное тело не может быть замечено ни одним из этих визуальных тестов. Обструктивная картина вздутого кишечника может означать, что что-то вызывает закупорку. Попадая в операцию, мы иногда обнаруживаем, что инородного тела нет, а есть другая причина кишечной непроходимости, например, перекрученный кишечник или разрастание.В любом случае операция необходима, и мы сделаем все от нас зависящее, чтобы дать вашему питомцу благополучный исход. Если вы попадете на операцию как можно скорее, это даст вашему питомцу больше шансов на выживание. Непроходимость кишечника опасна для жизни!
Операция по удалению инородного тела
Во время операции будут исследованы все части желудочно-кишечного тракта от желудка до толстой кишки, чтобы убедиться, что все инородные материалы найдены и удалены. Иногда можно найти более одного предмета.Любая ткань, которая не подлежит восстановлению, будет идентифицирована и по возможности удалена.
К счастью, домашние животные могут выжить, если у них удалена большая часть желудочно-кишечного тракта. Пока ваш питомец находится в Helping Hands, мы предоставим ему жидкости для регидратации, антибиотики для предотвращения или лечения инфекции и хорошие обезболивающие.
«Руки помощи» — это амбулатория. Это означает, что ваш питомец будет выписан из нашей больницы в день операции. Мы не предлагаем послеоперационный уход, но рекомендуем его для улучшения исхода вашего питомца.Ваш выбор послеоперационного ухода включает в себя любой круглосуточный ветеринарный центр неотложной помощи, вашего обычного ветеринарного врача с полным комплексом услуг, если они работают допоздна, или брать вашего питомца с собой домой. Отправка вашего питомца в другое ветеринарное учреждение для послеоперационного ухода будет осуществляться за ваш счет, а расходы будут варьироваться в зависимости от учреждения или объема ухода, который потребуется вашему питомцу.
Восстановление после операции
Мы всегда надеемся, что не будет никаких осложнений и что выздоровление вашего питомца будет быстрым и без осложнений, но домашние животные — живые существа, и им часто может потребоваться медицинская поддержка и вмешательство сразу после операции, как и людям.
Осложнения могут включать инфекцию, вскрытие внутренних или внешних разрезов, сгустки крови, кровотечение, резкие скачки артериального давления, шок и, возможно, смерть. Помещение питомца в больницу, где в случае необходимости могут быть приняты немедленные меры, отвечает его интересам.
Когда ваш питомец вернется домой, ОТДЫХ очень важен для продолжения восстановления. Это ваша работа — заставлять отдыхать. Использование ящика — это самый простой способ убедиться, что они лежат неподвижно и отдыхают. В небольшой комнате или в загоне они по-прежнему смогут прыгать и передвигаться больше, чем они, вероятно, должны вскоре после операции.Мы очень усердно работаем над тем, чтобы они благополучно перенесли операцию, поэтому вам нужно будет работать так же усердно, чтобы убедиться, что они не слишком активны, слишком рано, что может привести к тому, что они откроют свои разрезы как внутри, так и снаружи, что приведет к серьезным осложнениям. Если вы в какой-то момент беспокоитесь о своем питомце, немедленно доставьте его к своему обычному ветеринару с полным спектром услуг или в любой ветеринарный центр неотложной помощи.
Быстрые действия могут помочь спасти им жизнь.
Некоторые животные съедят в ночь операции, другим потребуется некоторое время, чтобы снова начать есть.Небольшие, частые и мягкие блюда с мягкой диетой лучше всего в течение нескольких дней. Вы можете купить мягкий консервированный корм для домашних животных или просто отварить куриный фарш или гамбургер, смешанные с рисом / макаронами. Через несколько дней их можно вернуть к обычному рациону. Нам не нравится, что они проводят без еды более 24 часов. Обратитесь за помощью к своему обычному ветеринару с полным комплексом услуг или в любой ветеринарный центр неотложной помощи, если они отказываются есть более 24 часов.
Большинство домашних животных через несколько дней почувствуют себя намного лучше и захотят снова начать вести активный образ жизни.Пожалуйста, не позволяйте им проявлять активность слишком рано. Мы не считаем, что они готовы к полной активности в течение как минимум 2 недель, поэтому ваша задача — следить за тем, чтобы они не получали удовольствия в течение как минимум 2 недель после операции, независимо от того, насколько хорошо они кажутся.
Наша работа — вытащить инородное тело. Ваша работа состоит в том, чтобы убедиться, что они заживают должным образом, доставив их в ветеринарную больницу, если необходимо, обеспечив отдых (при необходимости используйте ящик), убедившись, что они принимают все прописанные лекарства, используя E-образный ошейник, чтобы они не облизывали разрез. и много-много TLC.
Большинство домашних животных не усваивают урок и повторят преступление, если представится такая возможность. Вы не можете наблюдать за своим питомцем 24 часа в сутки, 7 дней в неделю, поэтому постарайтесь, чтобы в доме и во дворе не было предметов, которые можно проглотить или жевать. Держите мусорные баки закрытыми, а двери закрытыми. Поговорите со своей семьей о том, почему так важно держать вещи подальше от пола. Вы также можете использовать ящик, когда вас нет дома, чтобы следить за ними.
Планирование операции по удалению инородного тела в «Руках помощи» Для вашего питомца требуется Bloodwork (90 долларов).
Анализ крови, который мы проводим в Helping Hands, показывает нам основные функции органов (почки и печень), чтобы помочь сделать наиболее безопасный выбор анестезии. Анализ крови, который мы проводим в Helping Hands, не является диагностическим. Если у вас есть какие-либо проблемы, всегда рекомендуется обсудить операцию и седацию с вашим основным ветеринаром, который следил за здоровьем вашего питомца. Важно помнить, что при введении седативного средства любому живому животному всегда существует риск.
Электронные ошейники (15 долларов США) Многие животные после операции жевают или зализывают свои разрезы.Мы НАСТОЯТЕЛЬНО рекомендуем, чтобы у каждого животного был электронный ошейник, чтобы предотвратить это. Если ваш питомец откроет разрез, вы должны будете закрыть рану. Также НАСТОЯТЕЛЬНО рекомендуется, чтобы во время выздоровления ваш питомец оставался спокойным и, если это возможно, был помещен в клетку, чтобы снизить риск открытия места разреза, особенно если образование находится в зоне с высокой подвижностью.
Пациентам, которым требуется операция в области глаз или ушей, потребуется электронный ошейник, чтобы не тереть лицо лапами.
Мы работаем амбулаторно, поэтому домашние животные отправляются домой в тот же день.Хотя многие наши клиенты забирают своих питомцев домой после операции, мы всегда рекомендуем вам поговорить со своим ветеринаром, чтобы узнать, рекомендуют ли они проводить ночное наблюдение с ними или в больницу неотложной помощи. Мы всегда рекомендуем владельцам рассмотреть вопрос о переводе на послеоперационный уход после операции.
В этом случае вы можете вернуться к своему ветеринару с полным комплексом услуг или в круглосуточное учреждение для продолжения лечения за ваш счет. Мы здесь, чтобы помочь вашему питомцу пройти операцию и вернуть его в руки вашего ветеринарного врача.
ЗАПРОСИТЕ ЗАРУБЕЖНУЮ ХИРУРГИЮ ПО УДАЛЕНИЮ ТЕЛА
Дополнительные ресурсы для получения дополнительной информации о хирургии удаления инородных тел:
www.pethealthnetwork.
Аппарат УЗИ дает возможность зафиксировать маятникообразное перемещение посторонней вещи по кишке.
камни, палки, косточковые фрукты
Любой предмет домашнего обихода, который грызет ваш питомец, может стать проблемой инородного тела.
Рекомендации теста могут включать:
Могут быть назначены послеоперационные обезболивающие, такие как бутопанол, а также антибиотики.
Следите за тем, чтобы не есть и не рвать.
